JavaScript is disabled in your browser. Please enable JavaScript to view this website.
AB188591

Anti-GIPR antibody - N-terminal

Be the first to review this product! Submit a review

|

(1 Publication)

Rabbit Polyclonal GIPR antibody. N-terminal. Suitable for IHC-P and reacts with Human samples. Cited in 1 publication. Immunogen corresponding to Synthetic Peptide within Human GIPR.

View Alternative Names

Gastric inhibitory polypeptide receptor, GIP-R, Glucose-dependent insulinotropic polypeptide receptor, GIPR

1 Images
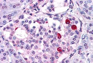
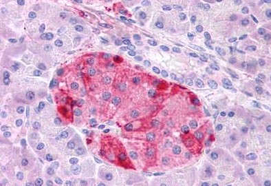
Immunohistochemistry (Formalin/PFA-fixed paraffin-embedded sections) - Anti-GIPR antibody - N-terminal (AB188591)
  • IHC-P

Supplier Data

Immunohistochemistry (Formalin/PFA-fixed paraffin-embedded sections) - Anti-GIPR antibody - N-terminal (AB188591)

Immunohistochemical analysis of formalin-fixed, paraffin-embedded Human pancreas tissue labeling GIPR with ab188591 at 21 μg/ml.

Key facts

Host species

Rabbit

Clonality

Polyclonal

Isotype

IgG

Carrier free

No

Reacts with

Human

Applications

IHC-P

applications

Immunogen

Synthetic Peptide within Human GIPR. The exact immunogen used to generate this antibody is proprietary information.

P48546

Specificity

BLAST analysis of the peptide immunogen showed no homology with other Human proteins, except GHRHR (100%).

Reactivity data

{ "title": "Reactivity Data", "filters": { "stats": ["", "Species", "Dilution Info", "Notes"], "tabs": { "all-applications": {"fullname" : "All Applications", "shortname": "All Applications"}, "IHCP" : {"fullname" : "Immunohistochemistry (Formalin/PFA-fixed paraffin-embedded sections)", "shortname":"IHC-P"} }, "product-promise": { "all": "all", "testedAndGuaranteed": "tested", "guaranteed": "expected", "predicted": "predicted", "notRecommended": "not-recommended" } }, "values": { "Human": { "IHCP-species-checked": "testedAndGuaranteed", "IHCP-species-dilution-info": "8-21 µg/mL", "IHCP-species-notes": "<p></p> Perform heat-mediated antigen retrieval before commencing with IHC staining protocol." }, "Common marmoset": { "IHCP-species-checked": "predicted", "IHCP-species-dilution-info": "", "IHCP-species-notes": "" }, "Gorilla": { "IHCP-species-checked": "predicted", "IHCP-species-dilution-info": "", "IHCP-species-notes": "" }, "Monkey": { "IHCP-species-checked": "predicted", "IHCP-species-dilution-info": "", "IHCP-species-notes": "" } } }

Properties and storage information

Form
Liquid
Purification technique
Affinity purification Immunogen
Storage buffer
pH: 7.4 Preservative: 0.1% Sodium azide Constituents: 99% PBS
Shipped at conditions
Blue Ice
Appropriate short-term storage duration
1-2 weeks
Appropriate short-term storage conditions
+4°C
Appropriate long-term storage conditions
-20°C
Aliquoting information
Upon delivery aliquot
Storage information
Avoid freeze / thaw cycle

Supplementary information

This supplementary information is collated from multiple sources and compiled automatically.

The gastric inhibitory polypeptide receptor (GIPR) sometimes called glucose-dependent insulinotropic polypeptide receptor is a member of the class B1 family of G-protein-coupled receptors. GIPR weighs approximately 52 kDa and is widely expressed in pancreatic beta-cells adipose tissue and the central nervous system. It binds to its ligand the gastric inhibitory polypeptide (GIP) which is critical for its functional activities.
Biological function summary

Without directly naming GIPR it plays significant roles in glucose homeostasis and lipid metabolism. GIPR is not part of a larger protein complex but binds to GIP to initiate signaling pathways that stimulate insulin secretion. This receptor-ligand interaction is essential in regulating postprandial (after meals) insulin release influencing glucose and fat utilization and storage in the body.

Pathways

GIPR participates critically in the incretin signaling pathway. It associates with other incretin receptors like the glucagon-like peptide-1 receptor (GLP-1R) which collectively enhance glucose-induced insulin release. Within the glucose-regulatory network GIPR's interaction with these pathways highlights its role in managing energy balance and promoting beta-cell function.

With reference to obesity and type 2 diabetes GIPR has a substantial impact. Disruptions in GIPR signaling have been linked to impaired insulin secretion and glucose intolerance contributing to these metabolic disorders. Researchers also explore potential connections between GIPR and other proteins like insulin receptor substrate proteins in these conditions as these interactions are critical in understanding the receptor's role in metabolic dysregulation.

Product protocols

For this product, it's our understanding that no specific protocols are required. You can visit:

Target data

This is a receptor for GIP. The activity of this receptor is mediated by G proteins which activate adenylyl cyclase.
See full target information GIPR

Publications (1)

Recent publications for all applications. Explore the full list and refine your search

Journal of medicinal chemistry 64:12865-12876 PubMed34428050

2021

Reduction of Progranulin-Induced Breast Cancer Stem Cell Propagation by Sortilin-Targeting Cyclotriazadisulfonamide (CADA) Compounds.

Applications

Unspecified application

Species

Unspecified reactive species

Karoline Berger,Eva Pauwels,Gabrielle Parkinson,Göran Landberg,Truc Le,Violeta G Demillo,Liezel A Lumangtad,Dylan E Jones,Md Azizul Islam,Ryan Olsen,Topprasad Kapri,Amarawan Intasiri,Kurt Vermeire,Sara Rhost,Thomas W Bell
View all publications

Product promise

We are committed to supporting your work with high-quality reagents, and we're here for you every step of the way. In the unlikely event that one of our products does not perform as expected, you're protected by our Product Promise.
For full details, please see our Terms & Conditions

Please note: All products are 'FOR RESEARCH USE ONLY. NOT FOR USE IN DIAGNOSTIC OR THERAPEUTIC PROCEDURES'.

For licensing inquiries, please contact partnerships@abcam.com