JavaScript is disabled in your browser. Please enable JavaScript to view this website.
AB320743

Anti-GIRK1 antibody [EPR29281-68]

  • BOND RX™ Validated
  • 20ul selling size
  • Recombinant
  • RabMAb
  • What is this?

Be the first to review this product! Submit a review

|

(0 Publication)

Rabbit Recombinant Monoclonal GIRK1 antibody. Suitable for WB, IHC-P and reacts with Human, Mouse, Rat samples.

View Alternative Names

Girk1, G protein-activated inward rectifier potassium channel 1, GIRK-1, Inward rectifier K(+) channel Kir3.1

7 Images
Immunohistochemistry (Formalin/PFA-fixed paraffin-embedded sections) - Anti-GIRK1 antibody [EPR29281-68] (AB320743)
  • IHC-P

Supplier Data

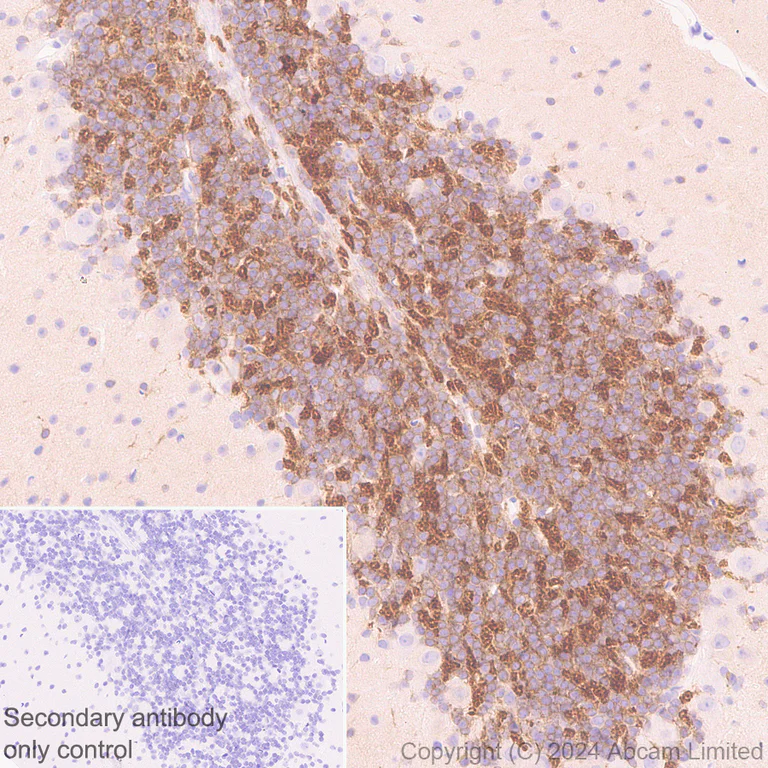
Immunohistochemistry (Formalin/PFA-fixed paraffin-embedded sections) - Anti-GIRK1 antibody [EPR29281-68] (AB320743)

Immunohistochemical analysis of paraffin-embedded Rat cerebellum tissue labeling GIRK1 with ab320743 at 1/1000 (0.502 ug/ml) dilution, followed by a ready to use LeicaDS9800 (Bond™ Polymer Refine Detection). Positive staining in rat cerebellum (PMID : ©8604043). The section was incubated with ab320743 for 30 mins at room temperature. The immunostaining was performed on a Leica Biosystems BOND® RX instrument Counterstained with Hematoxylin. Secondary antibody only control : Secondary antibody is a ready to use LeicaDS9800 (Bond™ Polymer Refine Detection). Heat mediated antigen retrieval was performed with Citrate buffer (pH 6.0, Epitope Retrieval Solution 1) for 20 mins

Immunohistochemistry (Formalin/PFA-fixed paraffin-embedded sections) - Anti-GIRK1 antibody [EPR29281-68] (AB320743)
  • IHC-P

Supplier Data

Immunohistochemistry (Formalin/PFA-fixed paraffin-embedded sections) - Anti-GIRK1 antibody [EPR29281-68] (AB320743)

Immunohistochemical analysis of paraffin-embedded Mouse skeletal muscle tissue labeling GIRK1 with ab320743 at 1/1000 (0.502 ug/ml) dilution, followed by a ready to use LeicaDS9800 (Bond™ Polymer Refine Detection). Negative control : No staining in mouse skeletal muscle. The section was incubated with ab320743 for 30 mins at room temperature. The immunostaining was performed on a Leica Biosystems BOND® RX instrument Counterstained with Hematoxylin. Secondary antibody only control : Secondary antibody is a ready to use LeicaDS9800 (Bond™ Polymer Refine Detection). Heat mediated antigen retrieval was performed with Citrate buffer (pH 6.0, Epitope Retrieval Solution 1) for 20 mins

Immunohistochemistry (Formalin/PFA-fixed paraffin-embedded sections) - Anti-GIRK1 antibody [EPR29281-68] (AB320743)
  • IHC-P

Supplier Data

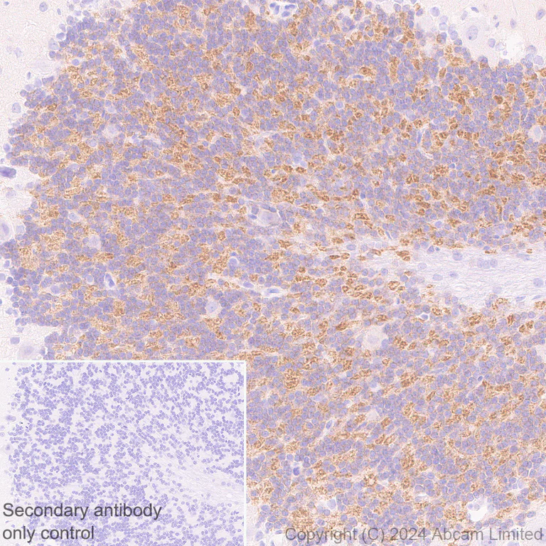
Immunohistochemistry (Formalin/PFA-fixed paraffin-embedded sections) - Anti-GIRK1 antibody [EPR29281-68] (AB320743)

Immunohistochemical analysis of paraffin-embedded Mouse cerebellum tissue labeling GIRK1 with ab320743 at 1/1000 (0.502 ug/ml) dilution, followed by a ready to use LeicaDS9800 (Bond™ Polymer Refine Detection). Positive staining in mouse cerebellum. The section was incubated with ab320743 for 30 mins at room temperature. The immunostaining was performed on a Leica Biosystems BOND® RX instrument Counterstained with Hematoxylin. Secondary antibody only control : Secondary antibody is a ready to use LeicaDS9800 (Bond™ Polymer Refine Detection). Heat mediated antigen retrieval was performed with Citrate buffer (pH 6.0, Epitope Retrieval Solution 1) for 20 mins

Immunohistochemistry (Formalin/PFA-fixed paraffin-embedded sections) - Anti-GIRK1 antibody [EPR29281-68] (AB320743)
  • IHC-P

Supplier Data

Immunohistochemistry (Formalin/PFA-fixed paraffin-embedded sections) - Anti-GIRK1 antibody [EPR29281-68] (AB320743)

Immunohistochemical analysis of paraffin-embedded Rat skeletal muscle tissue labeling GIRK1 with ab320743 at 1/1000 (0.502 ug/ml) dilution, followed by a ready to use LeicaDS9800 (Bond™ Polymer Refine Detection). Negative control : No staining in rat skeletal muscle (PMID : ©8604043). The section was incubated with ab320743 for 30 mins at room temperature. The immunostaining was performed on a Leica Biosystems BOND® RX instrument Counterstained with Hematoxylin. Secondary antibody only control : Secondary antibody is a ready to use LeicaDS9800 (Bond™ Polymer Refine Detection). Heat mediated antigen retrieval was performed with Citrate buffer (pH 6.0, Epitope Retrieval Solution 1) for 20 mins

Immunohistochemistry (Formalin/PFA-fixed paraffin-embedded sections) - Anti-GIRK1 antibody [EPR29281-68] (AB320743)
  • IHC-P

Supplier Data

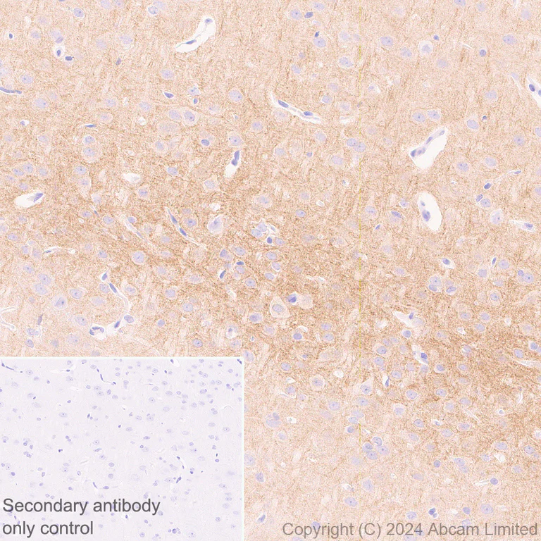
Immunohistochemistry (Formalin/PFA-fixed paraffin-embedded sections) - Anti-GIRK1 antibody [EPR29281-68] (AB320743)

Immunohistochemical analysis of paraffin-embedded Mouse cerebral cortex tissue labeling GIRK1 with ab320743 at 1/1000 (0.502 ug/ml) dilution, followed by a ready to use LeicaDS9800 (Bond™ Polymer Refine Detection). Positive staining in mouse cerebral cortex. The section was incubated with ab320743 for 30 mins at room temperature. The immunostaining was performed on a Leica Biosystems BOND® RX instrument Counterstained with Hematoxylin. Secondary antibody only control : Secondary antibody is a ready to use LeicaDS9800 (Bond™ Polymer Refine Detection). Heat mediated antigen retrieval was performed with Citrate buffer (pH 6.0, Epitope Retrieval Solution 1) for 20 mins

Immunohistochemistry (Formalin/PFA-fixed paraffin-embedded sections) - Anti-GIRK1 antibody [EPR29281-68] (AB320743)
  • IHC-P

Supplier Data

Immunohistochemistry (Formalin/PFA-fixed paraffin-embedded sections) - Anti-GIRK1 antibody [EPR29281-68] (AB320743)

Immunohistochemical analysis of paraffin-embedded Rat cerebral cortex tissue labeling GIRK1 with ab320743 at 1/1000 (0.502 ug/ml) dilution, followed by a ready to use LeicaDS9800 (Bond™ Polymer Refine Detection). Positive staining in rat cerebral cortex. The section was incubated with ab320743 for 30 mins at room temperature. The immunostaining was performed on a Leica Biosystems BOND® RX instrument Counterstained with Hematoxylin. Secondary antibody only control : Secondary antibody is a ready to use LeicaDS9800 (Bond™ Polymer Refine Detection). Heat mediated antigen retrieval was performed with Citrate buffer (pH 6.0, Epitope Retrieval Solution 1) for 20 mins

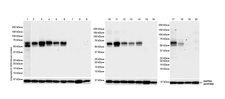
Western blot - Anti-GIRK1 antibody [EPR29281-68] (AB320743)
  • WB

Supplier Data

Western blot - Anti-GIRK1 antibody [EPR29281-68] (AB320743)

Blocking and diluting buffer and concentration : 5% NFDM/TBST.

Negative control : spleen, pancreas, skeletal muscle (PMID : 8604043).

The expression profile/ molecular weight observed is consistent with what has been described in the literature (PMID : 30136838, 8604043).

Samples are non-boiled as boiling may cause protein aggregation.

Lanes 1-16 are applied with Goat Anti-Rabbit IgG, (H+L), Peroxidase conjugated (ab97051) at 1/20000 and lanes 17-20 are applied with Goat Anti-Rabbit IgG (HRP) with minimal cross-reactivity with human IgG at 1/2000.

The lanes 17-20 were developed using a high sensitivity ECL substrate.

The high-sensitivity ECL substrate allows for the detection of proteins in the mid-femtogram range.

In Western blot, Anti-GAPDH antibody [EPR16891] - Loading Control  (ab181602) staining at 1/200000 dilution.

Exposure time : Lane 1 : 180 seconds, lanes 2-16 : 37 seconds, lanes 17-20 : 59 seconds

All lanes:

Western blot - Anti-GIRK1 antibody [EPR29281-68] (ab320743) at 1/1000 dilution

Lane 1:

Mouse heart tissue lysate at 20 µg

Lane 2:

Mouse brain tissue lysate at 20 µg

Lane 3:

Mouse cerebral cortex tissue lysate at 20 µg

Lane 4:

Mouse hippocampus tissue lysate at 20 µg

Lane 5:

Mouse cerebellum tissue lysate at 20 µg

Lane 6:

Mouse olfactory bb tissue lysate at 20 µg

Lane 7:

Mouse spleen tissue lysate at 20 µg

Lane 8:

Mouse skeletal muscle tissue lysate at 20 µg

Lane 9:

Mouse pancreas tissue lysate at 20 µg

Lane 10:

Rat hippocampus tissue lysate at 20 µg

Lane 11:

Rat cerebral cortex tissue lysate at 20 µg

Lane 12:

Rat brain tissue lysate at 20 µg

Lane 13:

Rat cerebellum tissue lysate at 20 µg

Lane 14:

Rat olfactory bulb tissue lysate at 20 µg

Lane 15:

Rat skeletal muscle tissue lysate at 20 µg

Lane 16:

Rat spleen tissue lysate at 20 µg

Lane 17:

human hippocampus tissue lysate at 20 µg

Lane 18:

Human cerebellum tissue lysate at 20 µg

Lane 19:

Human spleen tissue lysate at 20 µg

Lane 20:

Human skeletal muscle tissue lysate at 20 µg

Secondary

Lanes 1 - 16:

Western blot - Goat Anti-Rabbit IgG H&L (HRP) (<a href='/en-us/products/secondary-antibodies/goat-rabbit-igg-h-l-hrp-ab97051'>ab97051</a>) at 1/20000 dilution

Lanes 17 - 20:

Goat Anti-Rabbit IgG (HRP) with minimal cross-reactivity with human IgG at 1/2000 dilution

Observed band size: 50-75 kDa,36 kDa

false

  • Carrier free

    Anti-GIRK1 antibody [EPR29281-68] - BSA and Azide free

Key facts

Host species

Rabbit

Clonality

Monoclonal

Clone number

EPR29281-68

Isotype

IgG

Carrier free

No

Reacts with

Human, Mouse, Rat

Applications

WB, IHC-P

applications

Immunogen

The exact immunogen used to generate this antibody is proprietary information.

Specificity

Unsuitable for human IHC.

Reactivity data

{ "title": "Reactivity Data", "filters": { "stats": ["", "Species", "Dilution Info", "Notes"], "tabs": { "all-applications": {"fullname" : "All Applications", "shortname": "All Applications"}, "WB" : {"fullname" : "Western blot", "shortname":"WB"}, "IHCP" : {"fullname" : "Immunohistochemistry (Formalin/PFA-fixed paraffin-embedded sections)", "shortname":"IHC-P"}, "ICCIF" : {"fullname" : "Immunocytochemistry/ Immunofluorescence", "shortname":"ICC/IF"}, "FlowCyt" : {"fullname" : "Flow Cytometry", "shortname":"Flow Cyt"} }, "product-promise": { "all": "all", "testedAndGuaranteed": "tested", "guaranteed": "expected", "predicted": "predicted", "notRecommended": "not-recommended" } }, "values": { "Human": { "WB-species-checked": "testedAndGuaranteed", "WB-species-dilution-info": "1/1000", "WB-species-notes": "<p></p>", "IHCP-species-checked": "notRecommended", "IHCP-species-dilution-info": "", "IHCP-species-notes": "<p></p>", "ICCIF-species-checked": "notRecommended", "ICCIF-species-dilution-info": "", "ICCIF-species-notes": "", "FlowCyt-species-checked": "notRecommended", "FlowCyt-species-dilution-info": "", "FlowCyt-species-notes": "" }, "Mouse": { "WB-species-checked": "testedAndGuaranteed", "WB-species-dilution-info": "1/1000", "WB-species-notes": "<p></p>", "IHCP-species-checked": "testedAndGuaranteed", "IHCP-species-dilution-info": "1/1000", "IHCP-species-notes": "<p></p> Perform heat-mediated antigen retrieval with citrate buffer pH 6 before commencing with IHC staining protocol.", "ICCIF-species-checked": "notRecommended", "ICCIF-species-dilution-info": "", "ICCIF-species-notes": "<p></p>", "FlowCyt-species-checked": "notRecommended", "FlowCyt-species-dilution-info": "", "FlowCyt-species-notes": "<p></p>" }, "Rat": { "WB-species-checked": "testedAndGuaranteed", "WB-species-dilution-info": "1/1000", "WB-species-notes": "<p></p>", "IHCP-species-checked": "testedAndGuaranteed", "IHCP-species-dilution-info": "1/1000", "IHCP-species-notes": "<p></p> Perform heat-mediated antigen retrieval with citrate buffer pH 6 before commencing with IHC staining protocol.", "ICCIF-species-checked": "notRecommended", "ICCIF-species-dilution-info": "", "ICCIF-species-notes": "<p></p>", "FlowCyt-species-checked": "notRecommended", "FlowCyt-species-dilution-info": "", "FlowCyt-species-notes": "<p></p>" } } }

Product details

Patented technology
Our RabMAb® technology is a patented hybridoma-based technology for making rabbit monoclonal antibodies. For details on our patents, please refer to RabMAb® patents.

What are the advantages of a recombinant monoclonal antibody?
This product is a recombinant monoclonal antibody, which offers several advantages including:

  • - High batch-to-batch consistency and reproducibility
  • - Improved sensitivity and specificity
  • - Long-term security of supply
  • - Animal-free batch production

For more information, read more on recombinant antibodies.

Properties and storage information

Form
Liquid
Purification technique
Affinity purification Protein A
Storage buffer
pH: 7.2 - 7.4 Preservative: 0.01% Sodium azide Constituents: PBS, 40% Glycerol (glycerin, glycerine), 0.05% BSA
Shipped at conditions
Blue Ice
Appropriate short-term storage duration
1-2 weeks
Appropriate short-term storage conditions
+4°C
Appropriate long-term storage conditions
-20°C
Aliquoting information
Upon delivery aliquot
Storage information
Avoid freeze / thaw cycle

Supplementary information

This supplementary information is collated from multiple sources and compiled automatically.

GIRK1 also known as Kir3.1 or KCNJ3 is a potassium channel protein that contributes to the regulation of potassium ion flow across cell membranes. It has a molecular mass of approximately 56 kDa. GIRK1 forms an important part of the inwardly rectifying potassium channels (Kir) and is expressed in various tissues most notably in the brain and heart. These channels allow the inward flow of K+ ions which are essential for many cellular processes.
Biological function summary

GIRK1 plays an important role in maintaining the resting membrane potential and neuronal excitability. It often forms a functional complex with other GIRK subunits such as GIRK2 and GIRK4 to mediate its effects. By responding to different neurotransmitters and coupling with G-protein-coupled receptors GIRK1 helps in neurotransmission regulation and contributes to the heart rate control.

Pathways

GIRK1 is involved in the G-protein coupled receptor (GPCR) signaling pathway and the atrial muscarinic acetylcholine receptor signaling pathway. This protein works closely with G-protein beta-gamma subunits which activate these pathways leading to increased potassium permeability. This regulation influences vital physiological processes like slowing the heart rate and modulating neural signals.

GIRK1 has connections to cardiac arrhythmias and epilepsy. Dysfunction in GIRK1-mediated channels can result in abnormal heart rhythms often linked with other proteins like GIRK4. In the nervous system aberrant GIRK1 function contributes to epilepsy by disrupting proper neuronal firing sometimes in association with altered G-protein signaling components. These associations highlight GIRK1 as a valuable target for therapeutic interventions in related disorders.

Product protocols

For this product, it's our understanding that no specific protocols are required. You can visit:

Target data

Inward rectifier potassium channels are characterized by a greater tendency to allow potassium to flow into the cell rather than out of it. Their voltage dependence is regulated by the concentration of extracellular potassium; as external potassium is raised, the voltage range of the channel opening shifts to more positive voltages. The inward rectification is mainly due to the blockage of outward current by internal magnesium. This potassium channel is controlled by G proteins. This receptor plays a crucial role in regulating the heartbeat (By similarity). Forms a functional channel in association with KCNJ5/GIRK4 or KCNJ6/GIRK2 or KCNJ9/GIRK3 (PubMed : 10341034).
See full target information Kcnj3

Product promise

We are committed to supporting your work with high-quality reagents, and we're here for you every step of the way. In the unlikely event that one of our products does not perform as expected, you're protected by our Product Promise.
For full details, please see our Terms & Conditions

Please note: All products are 'FOR RESEARCH USE ONLY. NOT FOR USE IN DIAGNOSTIC OR THERAPEUTIC PROCEDURES'.

For licensing inquiries, please contact partnerships@abcam.com