JavaScript is disabled in your browser. Please enable JavaScript to view this website.
AB249673

Anti-GIT1 antibody [EPR10368] - BSA and Azide free

Be the first to review this product! Submit a review

|

(1 Publication)

Rabbit Recombinant Monoclonal GIT1 antibody. Carrier free. Suitable for IHC-P, WB and reacts with Human samples. Cited in 1 publication.

View Alternative Names

ARF GTPase-activating protein GIT1, ARF GAP GIT1, Cool-associated and tyrosine-phosphorylated protein 1, G protein-coupled receptor kinase-interactor 1, GRK-interacting protein 1, p95-APP1, CAT-1, CAT1, GIT1

4 Images
Immunohistochemistry (Formalin/PFA-fixed paraffin-embedded sections) - Anti-GIT1 antibody [EPR10368] - BSA and Azide free (AB249673)
  • IHC-P

Supplier Data

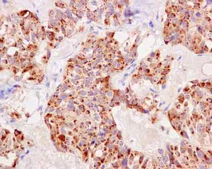
Immunohistochemistry (Formalin/PFA-fixed paraffin-embedded sections) - Anti-GIT1 antibody [EPR10368] - BSA and Azide free (AB249673)

This data was developed using ab171956, the same antibody clone in a different buffer formulation.

Immunohistochemical analysis of paraffin-embedded Human thyroid carcinoma tissue labeling GIT1 using ab171956 at 1/100 dilution

Perform heat mediated antigen retrieval with citrate buffer pH 6 before commencing with IHC staining protocol.

Western blot - Anti-GIT1 antibody [EPR10368] - BSA and Azide free (AB249673)
  • WB

Supplier Data

Western blot - Anti-GIT1 antibody [EPR10368] - BSA and Azide free (AB249673)

This data was developed using ab171956, the same antibody clone in a different buffer formulation.

All lanes:

Western blot - Anti-GIT1 antibody [EPR10368] (<a href='/en-us/products/primary-antibodies/git1-antibody-epr10368-ab171956'>ab171956</a>) at 1/1000 dilution

Lane 1:

Human fetal brain tissue lysate at 10 µg

Lane 2:

HeLa cell lysate at 10 µg

Lane 3:

SH-SY5Y cell lysate at 10 µg

Predicted band size: 84 kDa

false

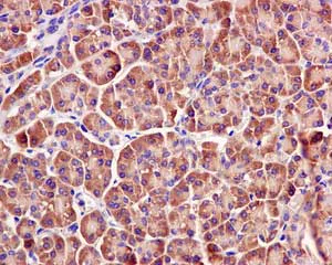
Immunohistochemistry (Formalin/PFA-fixed paraffin-embedded sections) - Anti-GIT1 antibody [EPR10368] - BSA and Azide free (AB249673)
  • IHC-P

Supplier Data

Immunohistochemistry (Formalin/PFA-fixed paraffin-embedded sections) - Anti-GIT1 antibody [EPR10368] - BSA and Azide free (AB249673)

This data was developed using ab171956, the same antibody clone in a different buffer formulation.

Immunohistochemical analysis of paraffin-embedded Human pancreas tissue labeling GIT1 using ab171956 at 1/100 dilution

Perform heat mediated antigen retrieval with citrate buffer pH 6 before commencing with IHC staining protocol.

Western blot - Anti-GIT1 antibody [EPR10368] - BSA and Azide free (AB249673)
  • WB

Lab

Western blot - Anti-GIT1 antibody [EPR10368] - BSA and Azide free (AB249673)

This data was developed using ab171956, the same antibody clone in a different buffer formulation.

Lanes 1-4 : Merged signal (red and green). Green - ab171956 observed at 98 kDa. Red - loading control ab8245 observed at 36 kDa.

ab171956 Anti-GIT1 antibody [EPR10368] was shown to specifically react with GIT1 in wild-type HeLa cells. Loss of signal was observed when knockout cell line ab265230 (knockout cell lysate ab257965) was used. Wild-type and GIT1 knockout samples were subjected to SDS-PAGE. ab171956 and Anti-GAPDH antibody [6C5] - Loading Control (ab8245) were incubated overnight at 4°C at 1 in 1000 dilution and 1 in 20000 dilution respectively. Blots were developed with Goat anti-Rabbit IgG H&L (IRDye® 800CW) preadsorbed (ab216773) and Goat anti-Mouse IgG H&L (IRDye® 680RD) preadsorbed (ab216776) secondary antibodies at 1 in 20000 dilution for 1 hour at room temperature before imaging.

All lanes:

Western blot - Anti-GIT1 antibody [EPR10368] (<a href='/en-us/products/primary-antibodies/git1-antibody-epr10368-ab171956'>ab171956</a>) at 1/1000 dilution

Lane 1:

Wild-type HeLa (Human epithelial cell line from cervix adenocarcinoma) whole cell lysate at 20 µg

Lane 2:

G1T1 knockout HeLa (Human epithelial cell line from cervix adenocarcinoma) whole cell lysate at 20 µg

Lane 2:

Western blot - Human GIT1 knockout HeLa cell line (<a href='/en-us/products/cell-lines/human-git1-knockout-hela-cell-line-ab265230'>ab265230</a>)

Lane 3:

Human brain tissue nuclear fraction lysate at 20 µg

Lane 4:

SH-SY5Y (Human neuroblastoma cell line from bone marrow) whole cell lysate at 20 µg

Secondary

All lanes:

Western blot - Goat anti-Rabbit IgG H&L (IRDye® 800CW) preadsorbed (<a href='/en-us/products/secondary-antibodies/goat-rabbit-igg-h-l-irdye-800cw-preadsorbed-ab216773'>ab216773</a>) at 1/10000 dilution

Predicted band size: 84 kDa

Observed band size: 98 kDa

false

Key facts

Host species

Rabbit

Clonality

Monoclonal

Clone number

EPR10368

Isotype

IgG

Carrier free

Yes

Reacts with

Human

Applications

WB, IHC-P

applications

Immunogen

The exact immunogen used to generate this antibody is proprietary information.

Reactivity data

{ "title": "Reactivity Data", "filters": { "stats": ["", "Species", "Dilution Info", "Notes"], "tabs": { "all-applications": {"fullname" : "All Applications", "shortname": "All Applications"}, "IHCP" : {"fullname" : "Immunohistochemistry (Formalin/PFA-fixed paraffin-embedded sections)", "shortname":"IHC-P"}, "IP" : {"fullname" : "Immunoprecipitation", "shortname":"IP"}, "FlowCyt" : {"fullname" : "Flow Cytometry", "shortname":"Flow Cyt"}, "WB" : {"fullname" : "Western blot", "shortname":"WB"}, "ICCIF" : {"fullname" : "Immunocytochemistry/ Immunofluorescence", "shortname":"ICC/IF"} }, "product-promise": { "all": "all", "testedAndGuaranteed": "tested", "guaranteed": "expected", "predicted": "predicted", "notRecommended": "not-recommended" } }, "values": { "Human": { "IHCP-species-checked": "testedAndGuaranteed", "IHCP-species-dilution-info": "", "IHCP-species-notes": "<p></p> Perform heat-mediated antigen retrieval with citrate buffer pH 6 before commencing with IHC staining protocol.", "IP-species-checked": "notRecommended", "IP-species-dilution-info": "", "IP-species-notes": "<p></p>", "FlowCyt-species-checked": "notRecommended", "FlowCyt-species-dilution-info": "", "FlowCyt-species-notes": "<p></p>", "WB-species-checked": "testedAndGuaranteed", "WB-species-dilution-info": "", "WB-species-notes": "<p></p>", "ICCIF-species-checked": "notRecommended", "ICCIF-species-dilution-info": "", "ICCIF-species-notes": "<p></p>" }, "Mouse": { "IHCP-species-checked": "notRecommended", "IHCP-species-dilution-info": "", "IHCP-species-notes": "<p></p> Perform heat-mediated antigen retrieval with citrate buffer pH 6 before commencing with IHC staining protocol.", "IP-species-checked": "notRecommended", "IP-species-dilution-info": "", "IP-species-notes": "<p></p>", "FlowCyt-species-checked": "notRecommended", "FlowCyt-species-dilution-info": "", "FlowCyt-species-notes": "<p></p>", "WB-species-checked": "notRecommended", "WB-species-dilution-info": "", "WB-species-notes": "<p></p>", "ICCIF-species-checked": "notRecommended", "ICCIF-species-dilution-info": "", "ICCIF-species-notes": "<p></p>" }, "Rat": { "IHCP-species-checked": "notRecommended", "IHCP-species-dilution-info": "", "IHCP-species-notes": "", "IP-species-checked": "notRecommended", "IP-species-dilution-info": "", "IP-species-notes": "", "FlowCyt-species-checked": "notRecommended", "FlowCyt-species-dilution-info": "", "FlowCyt-species-notes": "", "WB-species-checked": "notRecommended", "WB-species-dilution-info": "", "WB-species-notes": "", "ICCIF-species-checked": "notRecommended", "ICCIF-species-dilution-info": "", "ICCIF-species-notes": "" } } }

Product details

ab249673 is the carrier-free version of ab171956.

Patented technology
Our RabMAb® technology is a patented hybridoma-based technology for making rabbit monoclonal antibodies. For details on our patents, please refer to RabMAb® patents.

What are the advantages of a recombinant monoclonal antibody?
This product is a recombinant monoclonal antibody, which offers several advantages including:

  • - High batch-to-batch consistency and reproducibility
  • - Improved sensitivity and specificity
  • - Long-term security of supply
  • - Animal-free batch production

For more information, read more on recombinant antibodies.

Conjugation ready
Our carrier-free antibodies are typically supplied in a PBS-only formulation, purified and free of BSA, sodium azide and glycerol. This conjugation-ready format is designed for use with fluorochromes, metal isotopes, oligonucleotides, and enzymes, which makes them ideal for antibody labelling, functional and cell-based assays, flow-based assays (e.g. mass cytometry) and Multiplex Imaging applications.

Use our conjugation kits for antibody conjugates that are ready-to-use in as little as 20 minutes with 1 minute hands-on-time and 100% antibody recovery: available for fluorescent dyes, HRP, biotin and gold.

Compatibility
This product is compatible with the Maxpar® Antibody Labeling Kit from Fluidigm, without the need for antibody preparation. Maxpar® is a trademark of Fluidigm Canada Inc.

Properties and storage information

Form
Liquid
Purification technique
Affinity purification Protein A
Storage buffer
pH: 7.2 - 7.4 Constituents: PBS
Shipped at conditions
Blue Ice
Appropriate short-term storage conditions
+4°C
Appropriate long-term storage conditions
+4°C
Storage information
Do Not Freeze

Supplementary information

This supplementary information is collated from multiple sources and compiled automatically.

GIT1 also known as G protein-coupled receptor kinase interacting protein 1 is a multi-domain protein with a mass of approximately 90 kDa. It plays a central role in cellular signaling processes. GIT1 contains a GTPase-activating protein (GAP) domain and a number of other domains that interact with protein partners. This protein is expressed ubiquitously in various tissues with higher expression levels in the brain and heart. Its presence in different cell types indicates its involvement in numerous cellular functions.
Biological function summary

GIT1 interacts with several proteins to form multi-protein complexes essential for cellular dynamics. It functions in regulating the actin cytoskeleton impacting cell adhesion migration and membrane trafficking. GIT1 participates in the reorganization of the cytoskeleton by activating small GTPases which are important for these processes. Additionally it interacts with paxillin and ARF GTPases further playing a role in focal adhesion signaling.

Pathways

GIT1 serves an important role in the ERK and JNK signaling pathways. It acts as a scaffolding protein facilitating the assembly of signaling complexes that promote the transfer of signals from the membrane to the nucleus. GIT1 modulates the activity of proteins such as MEK1/2 and paxillin which ultimately regulate cellular responses like proliferation and differentiation. This function positions GIT1 at an important junction of pathways controlling cellular architecture and stress responses.

GIT1 has been linked to cardiovascular diseases and neurological disorders. Dysregulation of GIT1 and its associated pathways can lead to pathological changes in the heart contributing to conditions such as cardiac hypertrophy. In the nervous system altered GIT1 activity can affect synaptic functions associated with disorders like schizophrenia. In these contexts interactions between GIT1 and other proteins such as beta-arrestins become significant impacting disease progression and therapeutic targeting.

Product protocols

For this product, it's our understanding that no specific protocols are required. You can visit:

Target data

GTPase-activating protein for ADP ribosylation factor family members, including ARF1. Multidomain scaffold protein that interacts with numerous proteins and therefore participates in many cellular functions, including receptor internalization, focal adhesion remodeling, and signaling by both G protein-coupled receptors and tyrosine kinase receptors (By similarity). Through PAK1 activation, positively regulates microtubule nucleation during interphase (PubMed : 27012601). Plays a role in the regulation of cytokinesis; for this function, may act in a pathway also involving ENTR1 and PTPN13 (PubMed : 23108400). May promote cell motility both by regulating focal complex dynamics and by local activation of RAC1 (PubMed : 10938112, PubMed : 11896197). May act as scaffold for MAPK1/3 signal transduction in focal adhesions. Recruits MAPK1/3/ERK1/2 to focal adhesions after EGF stimulation via a Src-dependent pathway, hence stimulating cell migration (PubMed : 15923189). Plays a role in brain development and function. Involved in the regulation of spine density and synaptic plasticity that is required for processes involved in learning (By similarity). Plays an important role in dendritic spine morphogenesis and synapse formation (PubMed : 12695502, PubMed : 15800193). In hippocampal neurons, recruits guanine nucleotide exchange factors (GEFs), such as ARHGEF7/beta-PIX, to the synaptic membrane. These in turn locally activate RAC1, which is an essential step for spine morphogenesis and synapse formation (PubMed : 12695502). May contribute to the organization of presynaptic active zones through oligomerization and formation of a Piccolo/PCLO-based protein network, which includes ARHGEF7/beta-PIX and FAK1 (By similarity). In neurons, through its interaction with liprin-alpha family members, may be required for AMPA receptor (GRIA2/3) proper targeting to the cell membrane (By similarity). In complex with GABA(A) receptors and ARHGEF7, plays a crucial role in regulating GABA(A) receptor synaptic stability, maintaining GPHN/gephyrin scaffolds and hence GABAergic inhibitory synaptic transmission, by locally coordinating RAC1 and PAK1 downstream effector activity, leading to F-actin stabilization (PubMed : 25284783). May also be important for RAC1 downstream signaling pathway through PAK3 and regulation of neuronal inhibitory transmission at presynaptic input (By similarity). Required for successful bone regeneration during fracture healing (By similarity). The function in intramembranous ossification may, at least partly, exerted by macrophages in which GIT1 is a key negative regulator of redox homeostasis, IL1B production, and glycolysis, acting through the ERK1/2/NRF2/NFE2L2 axis (By similarity). May play a role in angiogenesis during fracture healing (By similarity). In this process, may regulate activation of the canonical NF-kappa-B signal in bone mesenchymal stem cells by enhancing the interaction between NEMO and 'Lys-63'-ubiquitinated RIPK1/RIP1, eventually leading to enhanced production of VEGFA and others angiogenic factors (PubMed : 31502302). Essential for VEGF signaling through the activation of phospholipase C-gamma and ERK1/2, hence may control endothelial cell proliferation and angiogenesis (PubMed : 19273721).
See full target information GIT1

Publications (1)

Recent publications for all applications. Explore the full list and refine your search

Oxidative medicine and cellular longevity 2021:8379962 PubMed34630853

2021

circ_0023461 Silencing Protects Cardiomyocytes from Hypoxia-Induced Dysfunction through Targeting miR-370-3p/PDE4D Signaling.

Applications

Unspecified application

Species

Unspecified reactive species

Kai Ren,Buying Li,Liqing Jiang,Zhiheng Liu,Fan Wu,Yi Zhang,Jincheng Liu,Weixun Duan
View all publications

Product promise

We are committed to supporting your work with high-quality reagents, and we're here for you every step of the way. In the unlikely event that one of our products does not perform as expected, you're protected by our Product Promise.
For full details, please see our Terms & Conditions

Please note: All products are 'FOR RESEARCH USE ONLY. NOT FOR USE IN DIAGNOSTIC OR THERAPEUTIC PROCEDURES'.

For licensing inquiries, please contact partnerships@abcam.com