JavaScript is disabled in your browser. Please enable JavaScript to view this website.
AB237714

Anti-GITR antibody [CAL8]

Be the first to review this product! Submit a review

|

(1 Publication)

Rabbit Recombinant Monoclonal GITR antibody. Suitable for Flow Cyt (Intra), IHC-P and reacts with Human samples. Cited in 1 publication.

View Alternative Names

CD357, AITR, GITR, UNQ319/PRO364, TNFRSF18, Tumor necrosis factor receptor superfamily member 18, Activation-inducible TNFR family receptor, Glucocorticoid-induced TNFR-related protein

4 Images
Flow Cytometry (Intracellular) - Anti-GITR antibody [CAL8] (AB237714)
  • Flow Cyt (Intra)

Lab

Flow Cytometry (Intracellular) - Anti-GITR antibody [CAL8] (AB237714)

Intracellular flow cytometric analysis of 2% paraformaldehyde-fixed,0.1% Tween-20permeabilized human peripheral blood mononuclear cell (PBMC) treated with 10μg/ml PHA for 48hrs, labeling GITR with ab237714 at 1/500 (right) compared with a rabbit IgG (left). Goat anti rabbit IgG (Alexa Fluor® 488, ab150077), at 1/5000 dilution was used as the secondary antibody. Cells were surface stained with anti-CD25 conjugated to BV421. Then fixed with 2% PFA followed by intracellular staining rabbit IgG (Left) or ab237714 (Right).

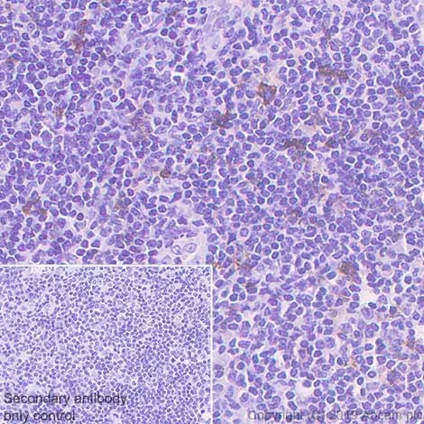
Immunohistochemistry (Formalin/PFA-fixed paraffin-embedded sections) - Anti-GITR antibody [CAL8] (AB237714)
  • IHC-P

Lab

Immunohistochemistry (Formalin/PFA-fixed paraffin-embedded sections) - Anti-GITR antibody [CAL8] (AB237714)

Immunohistochemical analysis of paraffin-embedded human tonsil tissue labeling GITR with ab237714 at 1/500 dilution, followed by a ready to use Goat Anti-Rabbit IgG H&L (HRP). Positive staining on the human tonsil tissue is observed. Counterstained with hematoxylin.

Secondary antibody only control : Used PBS instead of primary antibody, secondary antibody is a ready to use Goat Anti-Rabbit IgG H&L (HRP).

Perform heat mediated antigen retrieval using ab93684 (Tris/EDTA buffer, pH 9.0).

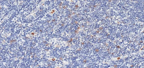
Immunohistochemistry (Formalin/PFA-fixed paraffin-embedded sections) - Anti-GITR antibody [CAL8] (AB237714)
  • IHC-P

Supplier Data

Immunohistochemistry (Formalin/PFA-fixed paraffin-embedded sections) - Anti-GITR antibody [CAL8] (AB237714)

Formalin-fixed, paraffin-embedded human tonsil tissue stained for TNFSF18 using ab237714 at 0.5 μg/ml in immunohistochemical analysis.

Flow Cytometry (Intracellular) - Anti-GITR antibody [CAL8] (AB237714)
  • Flow Cyt (Intra)

Lab

Flow Cytometry (Intracellular) - Anti-GITR antibody [CAL8] (AB237714)

Flow cytometry staining of human peripheral blood mononuclear cells (PBMCs) (top) or PBMCs treated with anti-CD3 and anti-CD28 antibodies (72 hours) (bottom), with ab237714 (right) or Recombinant Rabbit IgG, monoclonal [EPR25A] - Isotype Control (left). Cells were fixed and permeabilised with BD Cytofix/Cytoperm™ for 20 min. PBMCs were incubated for 30 min at 4°C in 1x PBS containing 10 μg/ml human IgG and 10 % normal goat serum to block FC receptors and non-specific protein-protein interaction followed by the antibody ab237714 or Recombinant Rabbit IgG, monoclonal [EPR25A] - Isotype Control (1x 106 in 100 μl at 0.2 μg/ml (1/10200)) for 30 min at 4°C . The cells were simultaneously stained with CD8.

The secondary antibody Goat Anti-Rabbit IgG H&L (Alexa Fluor® 488) preadsorbed was incubated at 1/4000 for 30min at 4°C

Acquisition of >30000 events were collected using a 50 mW Blue laser (488nm) and 525/40 bandpass filter. Events were gated on viable cells.

  • 519 Alexa Fluor® 488

    Alexa Fluor® 488 Anti-GITR antibody [CAL8]

  • Carrier free

    Anti-GITR antibody [CAL8] - BSA and Azide free

  • 578 PE

    PE Anti-GITR antibody [CAL8]

  • 665 Alexa Fluor® 647

    Alexa Fluor® 647 Anti-GITR antibody [CAL8]

  • 660 APC

    APC Anti-GITR antibody [CAL8]

Key facts

Host species

Rabbit

Clonality

Monoclonal

Clone number

CAL8

Isotype

IgG

Carrier free

No

Reacts with

Human

Applications

IHC-P, Flow Cyt (Intra)

applications

Immunogen

The exact immunogen used to generate this antibody is proprietary information.

Reactivity data

{ "title": "Reactivity Data", "filters": { "stats": ["", "Species", "Dilution Info", "Notes"], "tabs": { "all-applications": {"fullname" : "All Applications", "shortname": "All Applications"}, "IP" : {"fullname" : "Immunoprecipitation", "shortname":"IP"}, "WB" : {"fullname" : "Western blot", "shortname":"WB"}, "ICCIF" : {"fullname" : "Immunocytochemistry/ Immunofluorescence", "shortname":"ICC/IF"}, "FlowCytIntra" : {"fullname" : "Flow Cytometry (Intracellular)", "shortname":"Flow Cyt (Intra)"}, "IHCP" : {"fullname" : "Immunohistochemistry (Formalin/PFA-fixed paraffin-embedded sections)", "shortname":"IHC-P"} }, "product-promise": { "all": "all", "testedAndGuaranteed": "tested", "guaranteed": "expected", "predicted": "predicted", "notRecommended": "not-recommended" } }, "values": { "Human": { "IP-species-checked": "notRecommended", "IP-species-dilution-info": "", "IP-species-notes": "<p></p>", "WB-species-checked": "notRecommended", "WB-species-dilution-info": "", "WB-species-notes": "<p></p>", "ICCIF-species-checked": "notRecommended", "ICCIF-species-dilution-info": "", "ICCIF-species-notes": "<p></p>", "FlowCytIntra-species-checked": "testedAndGuaranteed", "FlowCytIntra-species-dilution-info": "1/500", "FlowCytIntra-species-notes": "<p></p>", "IHCP-species-checked": "testedAndGuaranteed", "IHCP-species-dilution-info": "1/500", "IHCP-species-notes": "<p></p>" } } }

Properties and storage information

Form
Liquid
Purification technique
Affinity purification Protein A
Purification notes
Purity >99%.
Storage buffer
pH: 7.2 - 7.4 Preservative: 0.05% Sodium azide Constituents: PBS
Shipped at conditions
Blue Ice
Appropriate short-term storage duration
1-2 weeks
Appropriate short-term storage conditions
+4°C
Appropriate long-term storage conditions
-20°C
Aliquoting information
Upon delivery aliquot
Storage information
Avoid freeze / thaw cycle

Supplementary information

This supplementary information is collated from multiple sources and compiled automatically.

GITR also known as TNFRSF18 is a 241 amino acid protein with a mass of approximately 27 kDa. It belongs to the tumor necrosis factor receptor superfamily. GITR is highly expressed on activated T cells and regulatory T cells (Tregs). The gene encoding GITR is located on chromosome 1 in humans. High surface expression is also observed in immune tissues such as the thymus spleen and lymph nodes playing an important role in immune responses.
Biological function summary

GITR acts as a costimulatory molecule that enhances T cell activation and proliferation. It does not function as part of a complex but interacts directly with ligand GITRL triggering downstream signaling cascades. This interaction is key in the modulation of immune responses notably in enhancing the activity of effector T cells and regulating Treg functions. Activation of GITR can reduce Treg-mediated suppression leading to enhanced immune responses.

Pathways

The mechanistic role of GITR involves NF-kB and MAPK signaling pathways. Through these GITR impacts immune responses by stimulating the production of cytokines and promoting cell survival and proliferation. GITR signaling intersects with pathways involving proteins such as NF-kB further integrating with the immune system's regulation crescendo.

GITR appears to play a role in autoimmune conditions like rheumatoid arthritis and potential cancer immunotherapy. In autoimmune diseases GITR modulates immune activity influencing the balance between inhibition and activation of T cells. In oncology GITR targeting aims to enhance immune responses against tumors. Through these conditions GITR shows connections to proteins such as CTLA-4 which also contributes to immune regulatory processes.

Product protocols

For this product, it's our understanding that no specific protocols are required. You can visit:

Target data

Receptor for TNFSF18. Seems to be involved in interactions between activated T-lymphocytes and endothelial cells and in the regulation of T-cell receptor-mediated cell death. Mediated NF-kappa-B activation via the TRAF2/NIK pathway.
See full target information TNFRSF18

Publications (1)

Recent publications for all applications. Explore the full list and refine your search

Molecular medicine (Cambridge, Mass.) 31:278 PubMed40819077

2025

Targeting LINC02544/miR-497-5p/CAPRIN1 axis via exosome-based siRNA to overcome immunotherapy resistance in triple-negative breast cancer.

Applications

Unspecified application

Species

Unspecified reactive species

Bin Lian,Jiayi Li,Shihui Tang,Ting Li,Jinping Li
View all publications

Product promise

We are committed to supporting your work with high-quality reagents, and we're here for you every step of the way. In the unlikely event that one of our products does not perform as expected, you're protected by our Product Promise.
For full details, please see our Terms & Conditions

Please note: All products are 'FOR RESEARCH USE ONLY. NOT FOR USE IN DIAGNOSTIC OR THERAPEUTIC PROCEDURES'.

For licensing inquiries, please contact partnerships@abcam.com