JavaScript is disabled in your browser. Please enable JavaScript to view this website.
AB240655

Anti-GITR antibody [EPR20566] - BSA and Azide free

Be the first to review this product! Submit a review

|

(0 Publication)

Rabbit Recombinant Monoclonal GITR antibody. Carrier free. Suitable for ICC/IF, WB, IHC-P and reacts with Human samples.

View Alternative Names

CD357, AITR, GITR, UNQ319/PRO364, TNFRSF18, Tumor necrosis factor receptor superfamily member 18, Activation-inducible TNFR family receptor, Glucocorticoid-induced TNFR-related protein

4 Images
Immunocytochemistry/ Immunofluorescence - Anti-GITR antibody [EPR20566] - BSA and Azide free (AB240655)
  • ICC/IF

Supplier Data

Immunocytochemistry/ Immunofluorescence - Anti-GITR antibody [EPR20566] - BSA and Azide free (AB240655)

Immunofluorescent analysis of 4% paraformaldehyde-fixed 0.1% Triton X-100 permeabilized HEK-293T (human epithelial cell line from embryonic kidney transformed with large T antigen) cells, transfected with GFP only or with GFP-tagged GITR expression vector, labeling GITR with ab223841 at 1/500 dilution followed by by Goat Anti-Rabbit IgG H&L (Alexa Fluor® 647) (ab150079) secondary antibody (white) at 1/500 dilution. Confocal image showing cytoplasmic staining in HEK-293T cells transfected with GFP-tagged GITR expression vector.

The nuclear counter stain is DAPI (blue). Tubulin is detected with Anti-alpha Tubulin antibody [DM1A] - Microtubule Marker (Alexa Fluor® 594) (ab195889) (red) at 1/200 dilution.

Secondary antibody only control : Used PBS instead of primary antibody, secondary antibody is Goat Anti-Rabbit IgG H&L (Alexa Fluor® 647) (ab150079) secondary antibody at 1/500 dilution.

This data was developed using the same antibody clone in a different buffer formulation containing PBS, BSA, glycerol, and sodium azide (ab223841).

Immunohistochemistry (Formalin/PFA-fixed paraffin-embedded sections) - Anti-GITR antibody [EPR20566] - BSA and Azide free (AB240655)
  • IHC-P

Supplier Data

Immunohistochemistry (Formalin/PFA-fixed paraffin-embedded sections) - Anti-GITR antibody [EPR20566] - BSA and Azide free (AB240655)

Immunohistochemical analysis of paraffin-embedded human tonsil tissue labeling GITR using ab223841 at 1/1000 dilution, followed by Goat Anti-Rabbit IgG H&L (HRP) Ready to use. Cytoplasmic staining in sporadic cells (arrows) in human tonsil (PMID : 25787078; PMID : 23785514). Counter stained with hematoxylin.

Secondary antibody only control : Used PBS instead of primary antibody, secondary antibody is Goat Anti-Rabbit IgG H&L (HRP) Ready to use.

This data was developed using the same antibody clone in a different buffer formulation containing PBS, BSA, glycerol, and sodium azide (ab223841).

Perform heat mediated antigen retrieval with Tris/EDTA buffer pH 9.0 before commencing with IHC staining protocol.

Immunohistochemistry (Formalin/PFA-fixed paraffin-embedded sections) - Anti-GITR antibody [EPR20566] - BSA and Azide free (AB240655)
  • IHC-P

Supplier Data

Immunohistochemistry (Formalin/PFA-fixed paraffin-embedded sections) - Anti-GITR antibody [EPR20566] - BSA and Azide free (AB240655)

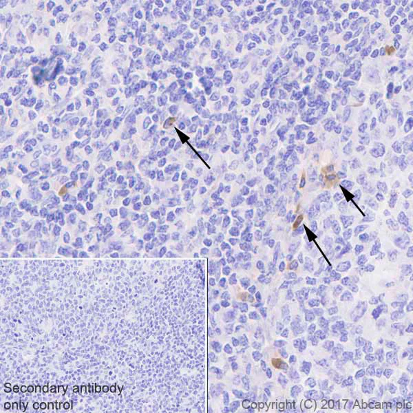
Immunohistochemical analysis of paraffin-embedded human Hodgkin's lymphoma tissue labeling GITR with ab223841 at 1/1000 dilution, followed by Goat Anti-Rabbit IgG H&L (HRP) Ready to use. Cytoplasmic staining in sporadic cells (arrows) in human Hodgkin's lymphoma (PMID : 25787078; PMID : 23785514). Counter stained with hematoxylin.

Secondary antibody only control : Used PBS instead of primary antibody, secondary antibody is Goat Anti-Rabbit IgG H&L (HRP) Ready to use.

This data was developed using the same antibody clone in a different buffer formulation containing PBS, BSA, glycerol, and sodium azide (ab223841).

Perform heat mediated antigen retrieval with Tris/EDTA buffer pH 9.0 before commencing with IHC staining protocol.

Immunohistochemistry (Formalin/PFA-fixed paraffin-embedded sections) - Anti-GITR antibody [EPR20566] - BSA and Azide free (AB240655)
  • IHC-P

Supplier Data

Immunohistochemistry (Formalin/PFA-fixed paraffin-embedded sections) - Anti-GITR antibody [EPR20566] - BSA and Azide free (AB240655)

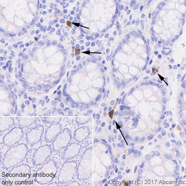
Immunohistochemical analysis of paraffin-embedded human colon tissue labeling GITR with ab223841 at 1/1000 dilution, followed by Goat Anti-Rabbit IgG H&L (HRP) Ready to use. Cytoplasmic staining in stromal cells (arrows) in human colon (PMID : 25787078; PMID : 23785514). Counter stained with hematoxylin.

Secondary antibody only control : Used PBS instead of primary antibody, secondary antibody is Goat Anti-Rabbit IgG H&L (HRP) Ready to use.

This data was developed using the same antibody clone in a different buffer formulation containing PBS, BSA, glycerol, and sodium azide (ab223841).

Perform heat mediated antigen retrieval with Tris/EDTA buffer pH 9.0 before commencing with IHC staining protocol.

Key facts

Host species

Rabbit

Clonality

Monoclonal

Clone number

EPR20566

Isotype

IgG

Carrier free

Yes

Reacts with

Human

Applications

ICC/IF, WB, IHC-P

applications

Immunogen

The exact immunogen used to generate this antibody is proprietary information.

Specificity

We found ab223841 worked well in WB with recombinant protein only. The glycosylation of the endogenous target resulted in different molecular masses on the blot.

Reactivity data

{ "title": "Reactivity Data", "filters": { "stats": ["", "Species", "Dilution Info", "Notes"], "tabs": { "all-applications": {"fullname" : "All Applications", "shortname": "All Applications"}, "ICCIF" : {"fullname" : "Immunocytochemistry/ Immunofluorescence", "shortname":"ICC/IF"}, "WB" : {"fullname" : "Western blot", "shortname":"WB"}, "IHCP" : {"fullname" : "Immunohistochemistry (Formalin/PFA-fixed paraffin-embedded sections)", "shortname":"IHC-P"} }, "product-promise": { "all": "all", "testedAndGuaranteed": "tested", "guaranteed": "expected", "predicted": "predicted", "notRecommended": "not-recommended" } }, "values": { "Human": { "ICCIF-species-checked": "testedAndGuaranteed", "ICCIF-species-dilution-info": "", "ICCIF-species-notes": "<p></p>", "WB-species-checked": "guaranteed", "WB-species-dilution-info": "", "WB-species-notes": "<p></p>", "IHCP-species-checked": "testedAndGuaranteed", "IHCP-species-dilution-info": "", "IHCP-species-notes": "<p></p>" } } }

Product details

ab240655 is the carrier-free version of ab223841.

Patented technology
Our RabMAb® technology is a patented hybridoma-based technology for making rabbit monoclonal antibodies. For details on our patents, please refer to RabMAb® patents.

What are the advantages of a recombinant monoclonal antibody?
This product is a recombinant monoclonal antibody, which offers several advantages including:

  • - High batch-to-batch consistency and reproducibility
  • - Improved sensitivity and specificity
  • - Long-term security of supply
  • - Animal-free batch production

For more information, read more on recombinant antibodies.

Conjugation ready
Our carrier-free antibodies are typically supplied in a PBS-only formulation, purified and free of BSA, sodium azide and glycerol. This conjugation-ready format is designed for use with fluorochromes, metal isotopes, oligonucleotides, and enzymes, which makes them ideal for antibody labelling, functional and cell-based assays, flow-based assays (e.g. mass cytometry) and Multiplex Imaging applications.

Use our conjugation kits for antibody conjugates that are ready-to-use in as little as 20 minutes with 1 minute hands-on-time and 100% antibody recovery: available for fluorescent dyes, HRP, biotin and gold.

Compatibility
This product is compatible with the Maxpar® Antibody Labeling Kit from Fluidigm, without the need for antibody preparation. Maxpar® is a trademark of Fluidigm Canada Inc.

Properties and storage information

Form
Liquid
Purification technique
Affinity purification Protein A
Storage buffer
pH: 7.2 - 7.4 Constituents: PBS
Shipped at conditions
Blue Ice
Appropriate short-term storage conditions
+4°C
Appropriate long-term storage conditions
+4°C
Storage information
Do Not Freeze

Supplementary information

This supplementary information is collated from multiple sources and compiled automatically.

GITR also known as TNFRSF18 is a 241 amino acid protein with a mass of approximately 27 kDa. It belongs to the tumor necrosis factor receptor superfamily. GITR is highly expressed on activated T cells and regulatory T cells (Tregs). The gene encoding GITR is located on chromosome 1 in humans. High surface expression is also observed in immune tissues such as the thymus spleen and lymph nodes playing an important role in immune responses.
Biological function summary

GITR acts as a costimulatory molecule that enhances T cell activation and proliferation. It does not function as part of a complex but interacts directly with ligand GITRL triggering downstream signaling cascades. This interaction is key in the modulation of immune responses notably in enhancing the activity of effector T cells and regulating Treg functions. Activation of GITR can reduce Treg-mediated suppression leading to enhanced immune responses.

Pathways

The mechanistic role of GITR involves NF-kB and MAPK signaling pathways. Through these GITR impacts immune responses by stimulating the production of cytokines and promoting cell survival and proliferation. GITR signaling intersects with pathways involving proteins such as NF-kB further integrating with the immune system's regulation crescendo.

GITR appears to play a role in autoimmune conditions like rheumatoid arthritis and potential cancer immunotherapy. In autoimmune diseases GITR modulates immune activity influencing the balance between inhibition and activation of T cells. In oncology GITR targeting aims to enhance immune responses against tumors. Through these conditions GITR shows connections to proteins such as CTLA-4 which also contributes to immune regulatory processes.

Product protocols

For this product, it's our understanding that no specific protocols are required. You can visit:

Target data

Receptor for TNFSF18. Seems to be involved in interactions between activated T-lymphocytes and endothelial cells and in the regulation of T-cell receptor-mediated cell death. Mediated NF-kappa-B activation via the TRAF2/NIK pathway.
See full target information TNFRSF18

Product promise

We are committed to supporting your work with high-quality reagents, and we're here for you every step of the way. In the unlikely event that one of our products does not perform as expected, you're protected by our Product Promise.
For full details, please see our Terms & Conditions

Please note: All products are 'FOR RESEARCH USE ONLY. NOT FOR USE IN DIAGNOSTIC OR THERAPEUTIC PROCEDURES'.

For licensing inquiries, please contact partnerships@abcam.com