JavaScript is disabled in your browser. Please enable JavaScript to view this website.
AB303499

Anti-GJB2 antibody [EPR26418-19] - BSA and Azide free

Be the first to review this product! Submit a review

|

(0 Publication)

Rabbit Recombinant Monoclonal GJB2 antibody. Carrier free. Suitable for IHC-P, IHC-Fr and reacts with Mouse, Rat samples.

View Alternative Names

Cxn-26, Gjb2, Gap junction beta-2 protein, Connexin-26, Cx26

7 Images
Immunohistochemistry (Formalin/PFA-fixed paraffin-embedded sections) - Anti-GJB2 antibody [EPR26418-19] - BSA and Azide free (AB303499)
  • IHC-P

Supplier Data

Immunohistochemistry (Formalin/PFA-fixed paraffin-embedded sections) - Anti-GJB2 antibody [EPR26418-19] - BSA and Azide free (AB303499)

This data was developed using ab303498, the same antibody clone in a different buffer formulation.Immunohistochemical analysis of paraffin-embedded (A) HEK-293T cells t tissue labeling GJB2 with ab303498 at 1/500 (0.974 ug/ml) followed by a ready to use LeicaDS9800 (Bond™ Polymer Refine Detection) was used. Positive staining on (A) HEK-293T cells transfected with a GJB2 expression vector containing a his tag. No staining on (B) HEK-293T cells transfected with a GJB6expression vector containing a his tag and (C) HEK-293T cells transfected with empty vector containing a his tag.The section was incubated with ab303498 for 30 mins at room temperature.The immunostaining was performed on a Leica Biosystems BOND® RX instrument Counterstained with Hematoxylin. Secondary antibody only control : Secondary antibody is a ready to use LeicaDS9800 (Bond™ Polymer Refine Detection).Heat mediated antigen retrieval was performed with Tris-EDTA buffer (pH 9.0, Epitope Retrieval Solution2) for 20 mins

Immunohistochemistry (Formalin/PFA-fixed paraffin-embedded sections) - Anti-GJB2 antibody [EPR26418-19] - BSA and Azide free (AB303499)
  • IHC-P

Supplier Data

Immunohistochemistry (Formalin/PFA-fixed paraffin-embedded sections) - Anti-GJB2 antibody [EPR26418-19] - BSA and Azide free (AB303499)

This data was developed using ab303498, the same antibody clone in a different buffer formulation.Immunohistochemical analysis of paraffin-embedded Mouse liver tissue labeling GJB2 with ab303498 at 1/500 (0.974 ug/ml) followed by a ready to use LeicaDS9800 (Bond™ Polymer Refine Detection) was used. Positive staining on the gap junctions in mouse liver.The section was incubated with ab303498 for 30 mins at room temperature.The immunostaining was performed on a Leica Biosystems BOND® RX instrument Counterstained with Hematoxylin. Secondary antibody only control : Secondary antibody is a ready to use LeicaDS9800 (Bond™ Polymer Refine Detection).Heat mediated antigen retrieval was performed with Tris-EDTA buffer (pH 9.0, Epitope Retrieval Solution2) for 20 mins

Immunohistochemistry (Formalin/PFA-fixed paraffin-embedded sections) - Anti-GJB2 antibody [EPR26418-19] - BSA and Azide free (AB303499)
  • IHC-P

Supplier Data

Immunohistochemistry (Formalin/PFA-fixed paraffin-embedded sections) - Anti-GJB2 antibody [EPR26418-19] - BSA and Azide free (AB303499)

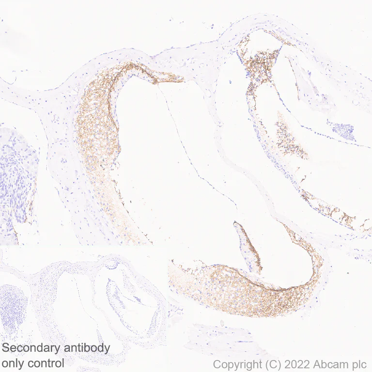
This data was developed using ab303498, the same antibody clone in a different buffer formulation.Immunohistochemical analysis of paraffin-embedded Mouse cochlea tissue labeling GJB2 with ab303498 at 1/500 (0.974 ug/ml) followed by a ready to use LeicaDS9800 (Bond™ Polymer Refine Detection) was used. Positive staining on mouse cochlear (PMID : 32027099).The section was incubated with ab303498 for 30 mins at room temperature.The immunostaining was performed on a Leica Biosystems BOND® RX instrument Counterstained with Hematoxylin. Secondary antibody only control : Secondary antibody is a ready to use LeicaDS9800 (Bond™ Polymer Refine Detection).Heat mediated antigen retrieval was performed with Tris-EDTA buffer (pH 9.0, Epitope Retrieval Solution2) for 20 mins

Immunohistochemistry (Frozen sections) - Anti-GJB2 antibody [EPR26418-19] - BSA and Azide free (AB303499)
  • IHC-Fr

Supplier Data

Immunohistochemistry (Frozen sections) - Anti-GJB2 antibody [EPR26418-19] - BSA and Azide free (AB303499)

This data was developed using ab303498, the same antibody clone in a different buffer formulation.Immunohistochemical analysis of 4% PFA-fixed, 0.2% Triton X-100 permeabilized frozen Rat skeletal muscle (fresh) tissue labeling GJB2 with ab303498 at 1/500 (0.974 ug/ml) dilution followed by ab150081 Goat Anti-Rabbit IgG H&L (Alexa Fluor® 488) preadsorbed at 1/1000 2 ug/mL dilution (Green). Negative control : confocal image showing no staining on rat skeletal muscle (PMID : 30228305). The nuclear counterstain was DAPI (Blue). The section was incubated with ab303498 for 60mins at room temperature. The section was then mounted using Fluoromount®.The immunostaining was performed on a Leica Biosystems BOND® RX instrument. Image was taken with a confocal microscope (Leica-Microsystems, TCS SP8). Secondary antibody control : Secondary antibody is ab150081 Goat Anti-Rabbit IgG H&L (Alexa Fluor® 488) preadsorbedat 1/1000 2 ug/mL dilution.

Immunohistochemistry (Frozen sections) - Anti-GJB2 antibody [EPR26418-19] - BSA and Azide free (AB303499)
  • IHC-Fr

Supplier Data

Immunohistochemistry (Frozen sections) - Anti-GJB2 antibody [EPR26418-19] - BSA and Azide free (AB303499)

This data was developed using ab303498, the same antibody clone in a different buffer formulation.Immunohistochemical analysis of 4% PFA-fixed, 0.2% Triton X-100 permeabilized frozen Mouse liver (fresh) tissue labeling GJB2 with ab303498 at 1/500 (0.974 ug/ml) dilution followed by ab150081 Goat Anti-Rabbit IgG H&L (Alexa Fluor® 488) preadsorbed at 1/1000 2 ug/mL dilution (Green). Confocal image showing positive staining on mouse liver. The nuclear counterstain was DAPI (Blue). The section was incubated with ab303498 for 60mins at room temperature. The section was then mounted using Fluoromount®.The immunostaining was performed on a Leica Biosystems BOND® RX instrument. Image was taken with a confocal microscope (Leica-Microsystems, TCS SP8). Secondary antibody control : Secondary antibody is ab150081 Goat Anti-Rabbit IgG H&L (Alexa Fluor® 488) preadsorbedat 1/1000 2 ug/mL dilution.

Immunohistochemistry (Frozen sections) - Anti-GJB2 antibody [EPR26418-19] - BSA and Azide free (AB303499)
  • IHC-Fr

Supplier Data

Immunohistochemistry (Frozen sections) - Anti-GJB2 antibody [EPR26418-19] - BSA and Azide free (AB303499)

This data was developed using ab303498, the same antibody clone in a different buffer formulation.Immunohistochemical analysis of 4% PFA-fixed, 0.2% Triton X-100 permeabilized frozen Rat liver (fresh) tissue labeling GJB2 with ab303498 at 1/500 (0.974 ug/ml) dilution followed by ab150081 Goat Anti-Rabbit IgG H&L (Alexa Fluor® 488) preadsorbed at 1/1000 2 ug/mL dilution (Green). Confocal image showing positive staining on rat liver. The nuclear counterstain was DAPI (Blue). The section was incubated with ab303498 for 60mins at room temperature. The section was then mounted using Fluoromount®.The immunostaining was performed on a Leica Biosystems BOND® RX instrument. Image was taken with a confocal microscope (Leica-Microsystems, TCS SP8). Secondary antibody control : Secondary antibody is ab150081 Goat Anti-Rabbit IgG H&L (Alexa Fluor® 488) preadsorbedat 1/1000 2 ug/mL dilution.

Immunohistochemistry (Frozen sections) - Anti-GJB2 antibody [EPR26418-19] - BSA and Azide free (AB303499)
  • IHC-Fr

Supplier Data

Immunohistochemistry (Frozen sections) - Anti-GJB2 antibody [EPR26418-19] - BSA and Azide free (AB303499)

This data was developed using ab303498, the same antibody clone in a different buffer formulation.Immunohistochemical analysis of 4% PFA-fixed, 0.2% Triton X-100 permeabilized frozen Mouse skeletal muscle (fresh) tissue labeling GJB2 with ab303498 at 1/500 (0.974 ug/ml) dilution followed by ab150081 Goat Anti-Rabbit IgG H&L (Alexa Fluor® 488) preadsorbed at 1/1000 2 ug/mL dilution (Green). Negative control : confocal image showing no staining on mouse skeletal muscle (PMID : 30228305). The nuclear counterstain was DAPI (Blue). The section was incubated with ab303498 for 60mins at room temperature. The section was then mounted using Fluoromount®.The immunostaining was performed on a Leica Biosystems BOND® RX instrument. Image was taken with a confocal microscope (Leica-Microsystems, TCS SP8). Secondary antibody control : Secondary antibody is ab150081 Goat Anti-Rabbit IgG H&L (Alexa Fluor® 488) preadsorbedat 1/1000 2 ug/mL dilution.

Key facts

Host species

Rabbit

Clonality

Monoclonal

Clone number

EPR26418-19

Isotype

IgG

Carrier free

Yes

Reacts with

Mouse, Rat

Applications

IHC-P, IHC-Fr

applications

Immunogen

The exact immunogen used to generate this antibody is proprietary information.

Reactivity data

{ "title": "Reactivity Data", "filters": { "stats": ["", "Species", "Dilution Info", "Notes"], "tabs": { "all-applications": {"fullname" : "All Applications", "shortname": "All Applications"}, "WB" : {"fullname" : "Western blot", "shortname":"WB"}, "IHCP" : {"fullname" : "Immunohistochemistry (Formalin/PFA-fixed paraffin-embedded sections)", "shortname":"IHC-P"}, "IHCFr" : {"fullname" : "Immunohistochemistry (Frozen sections)", "shortname":"IHC-Fr"}, "ICCIF" : {"fullname" : "Immunocytochemistry/ Immunofluorescence", "shortname":"ICC/IF"}, "FlowCytIntra" : {"fullname" : "Flow Cytometry (Intracellular)", "shortname":"Flow Cyt (Intra)"}, "IP" : {"fullname" : "Immunoprecipitation", "shortname":"IP"} }, "product-promise": { "all": "all", "testedAndGuaranteed": "tested", "guaranteed": "expected", "predicted": "predicted", "notRecommended": "not-recommended" } }, "values": { "Human": { "WB-species-checked": "notRecommended", "WB-species-dilution-info": "", "WB-species-notes": "<p></p>", "IHCP-species-checked": "notRecommended", "IHCP-species-dilution-info": "", "IHCP-species-notes": "<p></p>", "IHCFr-species-checked": "notRecommended", "IHCFr-species-dilution-info": "", "IHCFr-species-notes": "", "ICCIF-species-checked": "notRecommended", "ICCIF-species-dilution-info": "", "ICCIF-species-notes": "<p></p>", "FlowCytIntra-species-checked": "notRecommended", "FlowCytIntra-species-dilution-info": "", "FlowCytIntra-species-notes": "<p></p>", "IP-species-checked": "notRecommended", "IP-species-dilution-info": "", "IP-species-notes": "<p></p>" }, "Mouse": { "WB-species-checked": "notRecommended", "WB-species-dilution-info": "", "WB-species-notes": "<p></p>", "IHCP-species-checked": "testedAndGuaranteed", "IHCP-species-dilution-info": "", "IHCP-species-notes": "<p></p>", "IHCFr-species-checked": "testedAndGuaranteed", "IHCFr-species-dilution-info": "", "IHCFr-species-notes": "<p></p>", "ICCIF-species-checked": "notRecommended", "ICCIF-species-dilution-info": "", "ICCIF-species-notes": "<p></p>", "FlowCytIntra-species-checked": "notRecommended", "FlowCytIntra-species-dilution-info": "", "FlowCytIntra-species-notes": "<p></p>", "IP-species-checked": "notRecommended", "IP-species-dilution-info": "", "IP-species-notes": "<p></p>" }, "Rat": { "WB-species-checked": "notRecommended", "WB-species-dilution-info": "", "WB-species-notes": "<p></p>", "IHCP-species-checked": "notRecommended", "IHCP-species-dilution-info": "", "IHCP-species-notes": "<p></p>", "IHCFr-species-checked": "testedAndGuaranteed", "IHCFr-species-dilution-info": "", "IHCFr-species-notes": "<p></p>", "ICCIF-species-checked": "notRecommended", "ICCIF-species-dilution-info": "", "ICCIF-species-notes": "<p></p>", "FlowCytIntra-species-checked": "notRecommended", "FlowCytIntra-species-dilution-info": "", "FlowCytIntra-species-notes": "", "IP-species-checked": "notRecommended", "IP-species-dilution-info": "", "IP-species-notes": "" } } }

Product details

Patented technology
Our RabMAb® technology is a patented hybridoma-based technology for making rabbit monoclonal antibodies. For details on our patents, please refer to RabMAb® patents.

What are the advantages of a recombinant monoclonal antibody?
This product is a recombinant monoclonal antibody, which offers several advantages including:

  • - High batch-to-batch consistency and reproducibility
  • - Improved sensitivity and specificity
  • - Long-term security of supply
  • - Animal-free batch production

For more information, read more on recombinant antibodies.

Conjugation ready
Our carrier-free antibodies are typically supplied in a PBS-only formulation, purified and free of BSA, sodium azide and glycerol. This conjugation-ready format is designed for use with fluorochromes, metal isotopes, oligonucleotides, and enzymes, which makes them ideal for antibody labelling, functional and cell-based assays, flow-based assays (e.g. mass cytometry) and Multiplex Imaging applications.

Use our conjugation kits for antibody conjugates that are ready-to-use in as little as 20 minutes with 1 minute hands-on-time and 100% antibody recovery: available for fluorescent dyes, HRP, biotin and gold.

Compatibility
This product is compatible with the Maxpar® Antibody Labeling Kit from Fluidigm, without the need for antibody preparation. Maxpar® is a trademark of Fluidigm Canada Inc.

Properties and storage information

Form
Liquid
Purification technique
Affinity purification Protein A
Storage buffer
pH: 7.2 - 7.4 Constituents: PBS
Shipped at conditions
Blue Ice
Appropriate short-term storage conditions
+4°C
Appropriate long-term storage conditions
+4°C
Storage information
Do Not Freeze

Supplementary information

This supplementary information is collated from multiple sources and compiled automatically.

GJB2 also known as Connexin 26 is a protein that forms part of gap junctions and is composed of a unit mass of about 26 kDa. This protein is located mainly in the cochlea within the inner ear but also shows expression in non-sensory cells of the skin kidney liver and lungs. GJB2 consists of four transmembrane domains two extracellular loops and a cytoplasmic loop. Each unit of Connexin 26 requires a total of six molecules to assemble into a structure known as a connexon which are essential for cell-to-cell communication.
Biological function summary

GJB2 forms channels allowing ions and small molecules to pass between cells enabling direct cell communication. This protein plays a critical role in maintaining homeostasis within tissues by mediating the transfer of signaling molecules like calcium ions and cyclic AMP. GJB2 works together with other connexins to form gap junction channels contributing to the regulation within complex tissue structures. Its role is significant in the auditory system where it facilitates the recycling of potassium ions necessary for converting sound waves into electrical signals.

Pathways

GJB2 interacts prominently in pathways related to cellular communication and signal transduction. The gap junction network that GJB2 participates in is important for hearing involving a cascade of intercellular ionic and metabolic cooperation. Within these pathways GJB2 is functionally related to other connexin proteins like Connexin 30 which often co-localizes in the cochlea to ensure auditory function. This interconnectedness helps maintain the proper function of various epithelial tissues involved in different physiological processes.

Mutations in GJB2 are a common cause of non-syndromic hearing loss particularly autosomal recessive deafness. Its dysfunction can lead to improper potassium ion recycling in the cochlea leading to sensory neural hearing loss. Another condition linked to alterations in GJB2 is Keratitis-ichthyosis-deafness (KID) syndrome a rare disorder affecting the skin eyes and hearing. Mutations that disrupt GJB2 function often correlate with changes in Connexin 30 altering the balance of gap junction communication and resulting in these clinical manifestations.

Product protocols

For this product, it's our understanding that no specific protocols are required. You can visit:

Target data

Structural component of gap junctions (PubMed : 15692151). Gap junctions are dodecameric channels that connect the cytoplasm of adjoining cells. They are formed by the docking of two hexameric hemichannels, one from each cell membrane (By similarity). Small molecules and ions diffuse from one cell to a neighboring cell via the central pore (PubMed : 15692151).
See full target information Gjb2

Product promise

We are committed to supporting your work with high-quality reagents, and we're here for you every step of the way. In the unlikely event that one of our products does not perform as expected, you're protected by our Product Promise.
For full details, please see our Terms & Conditions

Please note: All products are 'FOR RESEARCH USE ONLY. NOT FOR USE IN DIAGNOSTIC OR THERAPEUTIC PROCEDURES'.

For licensing inquiries, please contact partnerships@abcam.com