JavaScript is disabled in your browser. Please enable JavaScript to view this website.
AB303507

Anti-GJC2 antibody [EPR26419-75] - BSA and Azide free

Be the first to review this product! Submit a review

|

(0 Publication)

Rabbit Recombinant Monoclonal Cx47 antibody. Carrier free. Suitable for IHC-P, IHC-Fr and reacts with Mouse, Rat samples.

View Alternative Names

Gja12, Gjc2, Gap junction gamma-2 protein, Connexin-47, Gap junction alpha-12 protein, Cx47

6 Images
Immunohistochemistry (Formalin/PFA-fixed paraffin-embedded sections) - Anti-GJC2 antibody [EPR26419-75] - BSA and Azide free (AB303507)
  • IHC-P

Supplier Data

Immunohistochemistry (Formalin/PFA-fixed paraffin-embedded sections) - Anti-GJC2 antibody [EPR26419-75] - BSA and Azide free (AB303507)
Immunohistochemistry (Formalin/PFA-fixed paraffin-embedded sections) - Anti-GJC2 antibody [EPR26419-75] - BSA and Azide free (AB303507)
  • IHC-P

Supplier Data

Immunohistochemistry (Formalin/PFA-fixed paraffin-embedded sections) - Anti-GJC2 antibody [EPR26419-75] - BSA and Azide free (AB303507)

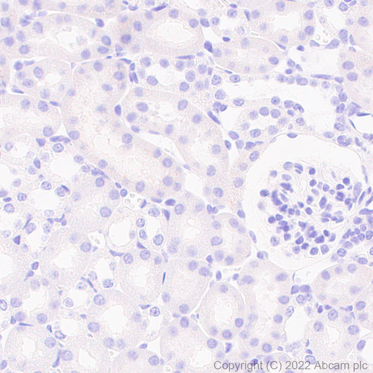
This data was developed using ab30506, the same antibody clone in a different buffer formulation. Immunohistochemical analysis of paraffin-embedded Mouse kidney tissue labeling GJC2 with ab303506 at 1/8000 (0.067 µg/ml) followed by a Leica DS9800 (Bond™ Polymer Refine Detection) kit at a ready to use dilution. Negative control : no staining on mouse kidney. The section was incubated with ab303506 for 30 mins at room temperature. The immunostaining was performed on a Leica Biosystems BOND® RX instrument counterstained with Hematoxylin. Secondary antibody only control : Secondary antibody is a Leica DS9800 (Bond™ Polymer Refine Detection) kit used at a ready to use dilution. Heat mediated antigen retrieval was performed with Tris-EDTA buffer (pH 9.0, Epitope Retrieval Solution 2) for 20 mins

Immunohistochemistry (Formalin/PFA-fixed paraffin-embedded sections) - Anti-GJC2 antibody [EPR26419-75] - BSA and Azide free (AB303507)
  • IHC-P

Supplier Data

Immunohistochemistry (Formalin/PFA-fixed paraffin-embedded sections) - Anti-GJC2 antibody [EPR26419-75] - BSA and Azide free (AB303507)
Immunohistochemistry (Formalin/PFA-fixed paraffin-embedded sections) - Anti-GJC2 antibody [EPR26419-75] - BSA and Azide free (AB303507)
  • IHC-P

Supplier Data

Immunohistochemistry (Formalin/PFA-fixed paraffin-embedded sections) - Anti-GJC2 antibody [EPR26419-75] - BSA and Azide free (AB303507)
Immunohistochemistry (Frozen sections) - Anti-GJC2 antibody [EPR26419-75] - BSA and Azide free (AB303507)
  • IHC-Fr

Supplier Data

Immunohistochemistry (Frozen sections) - Anti-GJC2 antibody [EPR26419-75] - BSA and Azide free (AB303507)
Immunohistochemistry (Frozen sections) - Anti-GJC2 antibody [EPR26419-75] - BSA and Azide free (AB303507)
  • IHC-Fr

Supplier Data

Immunohistochemistry (Frozen sections) - Anti-GJC2 antibody [EPR26419-75] - BSA and Azide free (AB303507)

This data was developed using ab303506, the same antibody clone in a different buffer formulation. Immunohistochemical analysis of 4% PFA-fixed, 0.2% Triton X-100 permeabilized frozen Mouse cerebellum (fresh) tissue labeling GJC2 with ab303506 at 1/50 (10.7 µg/ml) dilution followed by ab150081 Goat Anti-Rabbit IgG H&L (Alexa Fluor® 488) preadsorbed at 1/1000 dilution (Green). Confocal image showing positive staining on mouse cerebellum. The nuclear counterstain was DAPI (Blue). The section was incubated with ab303506 for 60mins at room temperature. The section was then mounted using Fluoromount®.The immunostaining was performed on a Leica Biosystems BOND® RX instrument. Image was taken with a confocal microscope (Leica-Microsystems, TCS SP8). The nuclear counterstain was DAPI (Blue). Secondary antibody control : Secondary antibody is ab150081 Goat Anti-Rabbit IgG H&L (Alexa Fluor® 488) preadsorbed at 1/1000 (2 μg/mL) dilution.

Key facts

Host species

Rabbit

Clonality

Monoclonal

Clone number

EPR26419-75

Isotype

IgG

Carrier free

Yes

Reacts with

Mouse, Rat

Applications

IHC-P, IHC-Fr

applications

Immunogen

The exact immunogen used to generate this antibody is proprietary information.

Reactivity data

{ "title": "Reactivity Data", "filters": { "stats": ["", "Species", "Dilution Info", "Notes"], "tabs": { "all-applications": {"fullname" : "All Applications", "shortname": "All Applications"}, "WB" : {"fullname" : "Western blot", "shortname":"WB"}, "IHCP" : {"fullname" : "Immunohistochemistry (Formalin/PFA-fixed paraffin-embedded sections)", "shortname":"IHC-P"}, "IHCFr" : {"fullname" : "Immunohistochemistry (Frozen sections)", "shortname":"IHC-Fr"}, "ICCIF" : {"fullname" : "Immunocytochemistry/ Immunofluorescence", "shortname":"ICC/IF"}, "IP" : {"fullname" : "Immunoprecipitation", "shortname":"IP"} }, "product-promise": { "all": "all", "testedAndGuaranteed": "tested", "guaranteed": "expected", "predicted": "predicted", "notRecommended": "not-recommended" } }, "values": { "Human": { "WB-species-checked": "notRecommended", "WB-species-dilution-info": "", "WB-species-notes": "<p></p>", "IHCP-species-checked": "notRecommended", "IHCP-species-dilution-info": "", "IHCP-species-notes": "<p></p>", "IHCFr-species-checked": "notRecommended", "IHCFr-species-dilution-info": "", "IHCFr-species-notes": "", "ICCIF-species-checked": "notRecommended", "ICCIF-species-dilution-info": "", "ICCIF-species-notes": "", "IP-species-checked": "notRecommended", "IP-species-dilution-info": "", "IP-species-notes": "" }, "Mouse": { "WB-species-checked": "notRecommended", "WB-species-dilution-info": "", "WB-species-notes": "<p></p>", "IHCP-species-checked": "testedAndGuaranteed", "IHCP-species-dilution-info": "", "IHCP-species-notes": "<p></p>", "IHCFr-species-checked": "testedAndGuaranteed", "IHCFr-species-dilution-info": "", "IHCFr-species-notes": "<p></p>", "ICCIF-species-checked": "notRecommended", "ICCIF-species-dilution-info": "", "ICCIF-species-notes": "<p></p>", "IP-species-checked": "notRecommended", "IP-species-dilution-info": "", "IP-species-notes": "<p></p>" }, "Rat": { "WB-species-checked": "notRecommended", "WB-species-dilution-info": "", "WB-species-notes": "<p></p>", "IHCP-species-checked": "testedAndGuaranteed", "IHCP-species-dilution-info": "", "IHCP-species-notes": "<p></p>", "IHCFr-species-checked": "testedAndGuaranteed", "IHCFr-species-dilution-info": "", "IHCFr-species-notes": "<p></p>", "ICCIF-species-checked": "notRecommended", "ICCIF-species-dilution-info": "", "ICCIF-species-notes": "<p></p>", "IP-species-checked": "notRecommended", "IP-species-dilution-info": "", "IP-species-notes": "<p></p>" } } }

Product details

Conjugation ready
Our carrier-free antibodies are typically supplied in a PBS-only formulation, purified and free of BSA, sodium azide and glycerol. This conjugation-ready format is designed for use with fluorochromes, metal isotopes, oligonucleotides, and enzymes, which makes them ideal for antibody labelling, functional and cell-based assays, flow-based assays (e.g. mass cytometry) and Multiplex Imaging applications.

Use our conjugation kits for antibody conjugates that are ready-to-use in as little as 20 minutes with 1 minute hands-on-time and 100% antibody recovery: available for fluorescent dyes, HRP, biotin and gold.

Compatibility
This product is compatible with the Maxpar® Antibody Labeling Kit from Fluidigm, without the need for antibody preparation. Maxpar® is a trademark of Fluidigm Canada Inc.

Patented technology
Our RabMAb® technology is a patented hybridoma-based technology for making rabbit monoclonal antibodies. For details on our patents, please refer to RabMAb® patents.

What are the advantages of a recombinant monoclonal antibody?
This product is a recombinant monoclonal antibody, which offers several advantages including:

  • - High batch-to-batch consistency and reproducibility
  • - Improved sensitivity and specificity
  • - Long-term security of supply
  • - Animal-free batch production

For more information, read more on recombinant antibodies.

Properties and storage information

Form
Liquid
Purification technique
Affinity purification Protein A
Storage buffer
pH: 7.2 - 7.4 Constituents: PBS
Shipped at conditions
Blue Ice
Appropriate short-term storage conditions
+4°C
Appropriate long-term storage conditions
+4°C

Supplementary information

This supplementary information is collated from multiple sources and compiled automatically.

GJC2 also known as Gap Junction Protein Gamma 2 or Connexin 47 (Cx47) acts in cell-to-cell communication through the formation of gap junction channels. This protein has a mass of about 47 kDa. It expresses largely in oligodendrocytes within the central nervous system as well as in Schwann cells in the peripheral nervous system. These junctions allow the transfer of ions and small molecules facilitating coordinated responses among cells important for nervous system function.
Biological function summary

GJC2 facilitates the transport of signaling molecules between neural cells. It integrates into gap junction complexes essential for maintaining the myelin structure in nerve cells providing proper electrical insulation. This protein's activity impacts the conduction velocity of nerve impulses. Its function in maintaining neural signaling underlines its key role in supporting the complex neural network facilitating proper cellular interactions and communication.

Pathways

GJC2 is critical in the neural signaling pathways related to myelin maintenance and gap junction organization. It associates closely with other connexins such as Connexin 32 (Cx32) within these pathways. The interaction among different connexins orchestrates cell signaling contributing to the homeostasis and electrical conductance in neural circuits essential for normal nervous system operations.

GJC2 mutations link to neurological conditions such as Pelizaeus-Merzbacher-like disease (PMLD) and Spastic Paraplegia type 44. Each of these disorders involves dysfunctions in myelin formation and maintenance leading to spasticity and other motor deficits. GJC2-related diseases often correlate with malfunctions or compensatory changes in other connexin proteins which further contributes to clinical variability and progression of these myelin disorders.

Product protocols

For this product, it's our understanding that no specific protocols are required. You can visit:

Target data

One gap junction consists of a cluster of closely packed pairs of transmembrane channels, the connexons, through which materials of low MW diffuse from one cell to a neighboring cell. May play a role in myelination in central and peripheral nervous systems.
See full target information Gjc2

Product promise

We are committed to supporting your work with high-quality reagents, and we're here for you every step of the way. In the unlikely event that one of our products does not perform as expected, you're protected by our Product Promise.
For full details, please see our Terms & Conditions

Please note: All products are 'FOR RESEARCH USE ONLY. NOT FOR USE IN DIAGNOSTIC OR THERAPEUTIC PROCEDURES'.

For licensing inquiries, please contact partnerships@abcam.com