JavaScript is disabled in your browser. Please enable JavaScript to view this website.
AB250722

Anti-GKN2 antibody [EPR15376(B)] - BSA and Azide free

Be the first to review this product! Submit a review

|

(1 Publication)

Rabbit Recombinant Monoclonal GKN2 antibody. Carrier free. Suitable for IP, WB, IHC-P and reacts with Human samples. Cited in 1 publication.

View Alternative Names

BLOT, GDDR, TFIZ1, UNQ465/PRO813, GKN2, Gastrokine-2, Blottin, Down-regulated in gastric cancer, Trefoil factor interactions(z) 1

3 Images
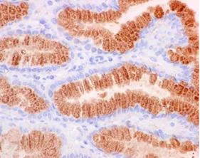
Immunohistochemistry (Formalin/PFA-fixed paraffin-embedded sections) - Anti-GKN2 antibody [EPR15376(B)] - BSA and Azide free (AB250722)
  • IHC-P

Supplier Data

Immunohistochemistry (Formalin/PFA-fixed paraffin-embedded sections) - Anti-GKN2 antibody [EPR15376(B)] - BSA and Azide free (AB250722)

This data was developed using ab184163, the same antibody clone in a different buffer formulation.

Immunohistochemical analysis of paraffin-embedded Human stomach tissue labeling GKN2 with ab184163 at 1/500 dilution. The slide is counterstained with Hematoxylin.

Perform heat mediated antigen retrieval with EDTA buffer pH 9 before commencing with IHC staining protocol.

Immunoprecipitation - Anti-GKN2 antibody [EPR15376(B)] - BSA and Azide free (AB250722)
  • IP

Supplier Data

Immunoprecipitation - Anti-GKN2 antibody [EPR15376(B)] - BSA and Azide free (AB250722)

This data was developed using ab184163, the same antibody clone in a different buffer formulation.

Immunoprecipitation of Human stomach lysates (lane 1) or PBS (lane 2) using ab184163. Detection of GKN2 utilised ab184163 at 1/50 dilution and Anti-Rabbit IgG (HRP), specific to the non-reduced form of IgG, at 1/1500 dilution.

All lanes:

Immunoprecipitation - Anti-GKN2 antibody [EPR15376(B)] (<a href='/en-us/products/primary-antibodies/gkn2-antibody-epr15376b-ab184163'>ab184163</a>)

Predicted band size: 20 kDa

false

Western blot - Anti-GKN2 antibody [EPR15376(B)] - BSA and Azide free (AB250722)
  • WB

Supplier Data

Western blot - Anti-GKN2 antibody [EPR15376(B)] - BSA and Azide free (AB250722)

This data was developed using ab184163, the same antibody clone in a different buffer formulation.

The observed MW is lower than the predicted 20kDa, which may be due to the removing of a 20 amino acid signal peptide.

All lanes:

Western blot - Anti-GKN2 antibody [EPR15376(B)] (<a href='/en-us/products/primary-antibodies/gkn2-antibody-epr15376b-ab184163'>ab184163</a>) at 1/50000 dilution

All lanes:

Human stomach lysate at 20 µg

Secondary

All lanes:

Goat Anti-Rabbit IgG, (H+L), Peroxidase conjugated at 1/1000 dilution

Predicted band size: 20 kDa

false

Key facts

Host species

Rabbit

Clonality

Monoclonal

Clone number

EPR15376(B)

Isotype

IgG

Carrier free

Yes

Reacts with

Human

Applications

IP, WB, IHC-P

applications

Immunogen

The exact immunogen used to generate this antibody is proprietary information.

Reactivity data

{ "title": "Reactivity Data", "filters": { "stats": ["", "Species", "Dilution Info", "Notes"], "tabs": { "all-applications": {"fullname" : "All Applications", "shortname": "All Applications"}, "IP" : {"fullname" : "Immunoprecipitation", "shortname":"IP"}, "WB" : {"fullname" : "Western blot", "shortname":"WB"}, "IHCP" : {"fullname" : "Immunohistochemistry (Formalin/PFA-fixed paraffin-embedded sections)", "shortname":"IHC-P"} }, "product-promise": { "all": "all", "testedAndGuaranteed": "tested", "guaranteed": "expected", "predicted": "predicted", "notRecommended": "not-recommended" } }, "values": { "Human": { "IP-species-checked": "testedAndGuaranteed", "IP-species-dilution-info": "", "IP-species-notes": "<p></p>", "WB-species-checked": "testedAndGuaranteed", "WB-species-dilution-info": "", "WB-species-notes": "<p></p>", "IHCP-species-checked": "testedAndGuaranteed", "IHCP-species-dilution-info": "", "IHCP-species-notes": "<p></p>" } } }

Product details

ab250722 is the carrier-free version of ab184163.

Patented technology
Our RabMAb® technology is a patented hybridoma-based technology for making rabbit monoclonal antibodies. For details on our patents, please refer to RabMAb® patents.

What are the advantages of a recombinant monoclonal antibody?
This product is a recombinant monoclonal antibody, which offers several advantages including:

  • - High batch-to-batch consistency and reproducibility
  • - Improved sensitivity and specificity
  • - Long-term security of supply
  • - Animal-free batch production

For more information, read more on recombinant antibodies.

Conjugation ready
Our carrier-free antibodies are typically supplied in a PBS-only formulation, purified and free of BSA, sodium azide and glycerol. This conjugation-ready format is designed for use with fluorochromes, metal isotopes, oligonucleotides, and enzymes, which makes them ideal for antibody labelling, functional and cell-based assays, flow-based assays (e.g. mass cytometry) and Multiplex Imaging applications.

Use our conjugation kits for antibody conjugates that are ready-to-use in as little as 20 minutes with 1 minute hands-on-time and 100% antibody recovery: available for fluorescent dyes, HRP, biotin and gold.

Compatibility
This product is compatible with the Maxpar® Antibody Labeling Kit from Fluidigm, without the need for antibody preparation. Maxpar® is a trademark of Fluidigm Canada Inc.

Properties and storage information

Form
Liquid
Purification technique
Affinity purification Protein A
Storage buffer
pH: 7.2 - 7.4 Constituents: PBS
Shipped at conditions
Blue Ice
Appropriate short-term storage conditions
+4°C
Appropriate long-term storage conditions
+4°C
Storage information
Do Not Freeze

Supplementary information

This supplementary information is collated from multiple sources and compiled automatically.

Gastrokine 2 commonly known as GKN2 is a protein involved in maintaining gastric mucosal integrity. It has an approximate molecular weight of 21 kDa. GKN2 is mainly expressed in the stomach lining particularly in gastric epithelial cells. Alternate names for GKN2 include BRICD1B and CA11ORF18. By contributing to the mucus layer GKN2 helps to protect the underlying tissues from digestive acids and enzymes.
Biological function summary

The role of GKN2 includes important activities within the gastric mucosa. It is known to form part of a protective complex in the stomach that maintains epithelial homeostasis. GKN2 interacts with other gastrokines like GKN1 to support mucosal repair and cell proliferation. It promotes gastric epithelial cell differentiation and inhibits apoptosis which helps control the integrity and function of the stomach lining.

Pathways

GKN2 becomes integral in gastric epithelial cell signaling and repair. It associates closely with pathways related to cell cycle regulation and inflammation control within the gastric environment. GKN1 a related protein often co-regulates these processes alongside GKN2. Their interaction supports gastric healing processes reducing unnecessary cell loss and improving mucosal resilience.

GKN2 shows involvement in gastric cancer and gastritis. Alterations in GKN2 expression can indicate a disruption in gastric mucosal defenses often observed in gastric cancer development. In gastroduodenal disorders like gastritis low levels of GKN2 can correlate with increased inflammation and epithelial damage. GKN1 also shows significant connection to these diseases by interacting with GKN2 to modulate protective mechanisms in the gastric environment.

Product protocols

For this product, it's our understanding that no specific protocols are required. You can visit:

Publications (1)

Recent publications for all applications. Explore the full list and refine your search

Frontiers in aging neuroscience 12:591938 PubMed33304268

2020

1% Isoflurane and 1.2 μg/ml of Propofol: A Combination of Anesthetics That Causes the Least Damage to Hypoxic Neurons.

Applications

Unspecified application

Species

Unspecified reactive species

Xinyue Bu,Tang Li,Di Guo,Chenyi Yang,Jinxin Wang,Xinyi Wang,Zhuo Yang,Haiyun Wang
View all publications

Product promise

We are committed to supporting your work with high-quality reagents, and we're here for you every step of the way. In the unlikely event that one of our products does not perform as expected, you're protected by our Product Promise.
For full details, please see our Terms & Conditions

Please note: All products are 'FOR RESEARCH USE ONLY. NOT FOR USE IN DIAGNOSTIC OR THERAPEUTIC PROCEDURES'.

For licensing inquiries, please contact partnerships@abcam.com