JavaScript is disabled in your browser. Please enable JavaScript to view this website.
AB203749

Anti-GLB1/Beta-galactosidase antibody

Be the first to review this product! Submit a review

|

(15 Publications)

Rabbit Polyclonal GLB1/Beta-galactosidase antibody. Suitable for IHC-P, WB and reacts with Mouse, Rat, Human samples. Cited in 15 publications. Immunogen corresponding to Synthetic Peptide within Human GLB1 aa 300-400 conjugated to Keyhole Limpet Haemocyanin.

View Alternative Names

ELNR1, GLB1, Beta-galactosidase, Acid beta-galactosidase, Elastin receptor 1, Lactase

2 Images
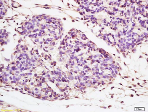
Immunohistochemistry (Formalin/PFA-fixed paraffin-embedded sections) - Anti-GLB1/Beta-galactosidase antibody (AB203749)
  • IHC-P

Supplier Data

Immunohistochemistry (Formalin/PFA-fixed paraffin-embedded sections) - Anti-GLB1/Beta-galactosidase antibody (AB203749)

Immunohistochemical analysis of formalin-fixed and paraffin embedded mouse liver tissue labeling GLB1/Beta-galactosidase using ab203749 at 1/200 dilution, followed by secondary detection and DAB staining.

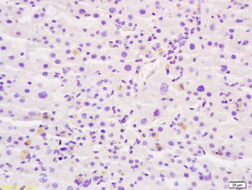
Immunohistochemistry (Formalin/PFA-fixed paraffin-embedded sections) - Anti-GLB1/Beta-galactosidase antibody (AB203749)
  • IHC-P

Supplier Data

Immunohistochemistry (Formalin/PFA-fixed paraffin-embedded sections) - Anti-GLB1/Beta-galactosidase antibody (AB203749)

Immunohistochemical analysis of formalin-fixed and paraffin embedded mouse embryo tissue labeling GLB1/Beta-galactosidase using ab203749 at 1/200 dilution, followed by secondary detection and DAB staining.

Key facts

Host species

Rabbit

Clonality

Polyclonal

Isotype

IgG

Carrier free

No

Reacts with

Mouse, Human, Rat

Applications

WB, IHC-P

applications

Immunogen

Synthetic Peptide within Human GLB1 aa 300-400 conjugated to Keyhole Limpet Haemocyanin. The exact immunogen used to generate this antibody is proprietary information.

P16278

Reactivity data

{ "title": "Reactivity Data", "filters": { "stats": ["", "Species", "Dilution Info", "Notes"], "tabs": { "all-applications": {"fullname" : "All Applications", "shortname": "All Applications"}, "IHCP" : {"fullname" : "Immunohistochemistry (Formalin/PFA-fixed paraffin-embedded sections)", "shortname":"IHC-P"}, "WB" : {"fullname" : "Western blot", "shortname":"WB"} }, "product-promise": { "all": "all", "testedAndGuaranteed": "tested", "guaranteed": "expected", "predicted": "predicted", "notRecommended": "not-recommended" } }, "values": { "Human": { "IHCP-species-checked": "predicted", "IHCP-species-dilution-info": "", "IHCP-species-notes": "", "WB-species-checked": "guaranteed", "WB-species-dilution-info": "", "WB-species-notes": "<p></p>" }, "Mouse": { "IHCP-species-checked": "testedAndGuaranteed", "IHCP-species-dilution-info": "1/100 - 1/500", "IHCP-species-notes": "<p>Use at 1/50 - 1/200 with fluorescent detection methods.</p> Perform heat-mediated antigen retrieval with citrate buffer pH 6 before commencing with IHC staining protocol.", "WB-species-checked": "guaranteed", "WB-species-dilution-info": "", "WB-species-notes": "<p></p>" }, "Rat": { "IHCP-species-checked": "predicted", "IHCP-species-dilution-info": "", "IHCP-species-notes": "", "WB-species-checked": "guaranteed", "WB-species-dilution-info": "", "WB-species-notes": "<p></p>" } } }

Properties and storage information

Form
Liquid
Purification technique
Affinity purification Protein A
Storage buffer
pH: 7.4 Preservative: 0.02% Proclin 300 Constituents: 50% Glycerol (glycerin, glycerine), 48.98% TBS, 1X, 1% BSA
Shipped at conditions
Blue Ice
Appropriate short-term storage duration
1-2 weeks
Appropriate short-term storage conditions
+4°C
Appropriate long-term storage conditions
-20°C
Aliquoting information
Upon delivery aliquot
Storage information
Avoid freeze / thaw cycle

Supplementary information

This supplementary information is collated from multiple sources and compiled automatically.

GLB1 also known as beta-galactosidase is an enzyme that catalyzes the hydrolysis of beta-galactosides into monosaccharides. The protein has a molecular mass of approximately 76 kDa. Researchers observe this enzyme expression in the lysosome where it functions to break down complex carbohydrates. Its activity depends on proper glycosylation and correct folding usually occurring within specific cellular compartments.
Biological function summary

GLB1 is integral to the degradation and recycling of glycoproteins and glycolipids in the cell. It forms part of the lysosomal enzyme complex responsible for processing macromolecules. Without its function the accumulation of substrates can occur affecting cellular metabolism. The enzyme ensures that metabolic waste is efficiently processed linking GLB1 to cellular homeostasis.

Pathways

Beta-galactosidase participates in the lysosomal storage and glycan metabolism pathways. It is important for the catabolism of glycoside forms of hormones and other biologically-active molecules. In these pathways GLB1 interacts with proteins such as hexosaminidase creating a network of lysosomal enzymes. These interactions enable coordinated degradation of glycoproteins maintaining balance within cellular systems.

GLB1 mutations associate with conditions like GM1 gangliosidosis and Morquio syndrome type B. These are lysosomal storage disorders resulting from the accumulation of unmetabolized substrates. In these diseases hexosaminidase and other lysosomal enzymes show relationships with GLB1 illuminating complex interactions within cellular pathology. Therapeutic research aims to correct or enhance enzyme function seeking to alleviate disorder symptoms.

Product protocols

For this product, it's our understanding that no specific protocols are required. You can visit:

Target data

Isoform 1. Cleaves beta-linked terminal galactosyl residues from gangliosides, glycoproteins, and glycosaminoglycans.. Isoform 2. Has no beta-galactosidase catalytic activity, but plays functional roles in the formation of extracellular elastic fibers (elastogenesis) and in the development of connective tissue. Seems to be identical to the elastin-binding protein (EBP), a major component of the non-integrin cell surface receptor expressed on fibroblasts, smooth muscle cells, chondroblasts, leukocytes, and certain cancer cell types. In elastin producing cells, associates with tropoelastin intracellularly and functions as a recycling molecular chaperone which facilitates the secretions of tropoelastin and its assembly into elastic fibers.
See full target information GLB1

Publications (15)

Recent publications for all applications. Explore the full list and refine your search

Npj imaging 3:18 PubMed40330124

2025

MRI detection of senescent cells in porcine knee joints with a β-galactosidase responsive Gd-chelate.

Applications

Unspecified application

Species

Unspecified reactive species

Kerem Nernekli,Dilyana B Mangarova,Vidyani Suryadevara,Mohammadjavad Hajipour,Jian-Hong Tang,Jie Wang,Tie Liang,Marek Harris,Tsuyoshi Ueyama,Jennifer K Lyons,Michael E Moseley,Raheleh Roudi,Laura Pisani,Ricarda von Krüchten,Ramesh Duwa,Sarah Ying Lu-Liang,Zahra Shokri Varniab,Iryna Vasyliv,Neeladrisingha Das,Masatoshi Murayama,Issei Shinohara,Guillem Pratx,Stuart B Goodman,Thomas J Meade,Heike E Daldrup-Link

Immunity & ageing : I & A 21:82 PubMed39578804

2024

Elocalcitol mitigates high-fat diet-induced microglial senescence via miR-146a modulation.

Applications

Unspecified application

Species

Unspecified reactive species

Keerthana Chithanathan,Monika Jürgenson,Katrina Ducena,Anu Remm,Kalev Kask,Ana Rebane,Li Tian,Alexander Zharkovsky

Molecular medicine (Cambridge, Mass.) 30:180 PubMed39425013

2024

New perspectives on YTHDF2 O-GlcNAc modification in the pathogenesis of intervertebral disc degeneration.

Applications

Unspecified application

Species

Unspecified reactive species

Liangjie Lu,Lijun Wang,Minjie Yang,Huihan Wang

Non-coding RNA research 10:130-139 PubMed39385998

2024

MiR-204-5p overexpression abrogates Dacarbazine-induced senescence in melanoma cells in vivo.

Applications

Unspecified application

Species

Unspecified reactive species

Ekaterina Lapkina,Ivan Zinchenko,Viktoriya Kutcenko,Eugeniya Bondar,Andrey Kirichenko,Irina Yamskikh,Nadezhda Palkina,Tatiana Ruksha

JCI insight 8: PubMed37607007

2023

A hybrid breast cancer/mesenchymal stem cell population enhances chemoresistance and metastasis.

Applications

Unspecified application

Species

Unspecified reactive species

Giuseppina Augimeri,Maria E Gonzalez,Alessandro Paolì,Ahmad Eido,Yehyun Choi,Boris Burman,Sabra Djomehri,Santhosh Kumar Karthikeyan,Sooryanarayana Varambally,Johanna M Buschhaus,Yu-Chih Chen,Loredana Mauro,Daniela Bonofiglio,Alexey I Nesvizhskii,Gary D Luker,Sebastiano Andò,Euisik Yoon,Celina G Kleer

Open medicine (Warsaw, Poland) 18:20230654 PubMed37197357

2023

Effect of miR-499-5p/SOX6 axis on atrial fibrosis in rats with atrial fibrillation.

Applications

Unspecified application

Species

Unspecified reactive species

Xinyuan Han,Shunda Wang,Zhijun Yong,Xueting Zhang,Xuanqi Wang,Penghua You

Cell and tissue research 391:545-560 PubMed36525128

2022

CPNE1 regulates myogenesis through the PERK-eIF2α pathway mediated by endoplasmic reticulum stress.

Applications

Unspecified application

Species

Unspecified reactive species

Lin Chen,Ling Pan,Yuexi Zeng,Xiaonan Zhu,Li You

Autophagy 19:1764-1780 PubMed36472478

2022

Autophagy inhibition signals through senescence to promote tumor suppression.

Applications

Unspecified application

Species

Unspecified reactive species

Nanfang Peng,Helen H Kang,Yan Feng,Alexander M Minikes,Xuejun Jiang

iScience 25:104567 PubMed35789836

2022

Pro-α-cell-derived β-cells contribute to β-cell neogenesis induced by antagonistic glucagon receptor antibody in type 2 diabetic mice.

Applications

Unspecified application

Species

Unspecified reactive species

Xiaona Cui,Jin Feng,Tianjiao Wei,Liangbiao Gu,Dandan Wang,Shan Lang,Kun Yang,Jin Yang,Hai Yan,Rui Wei,Tianpei Hong

Aging cell 19:e13174 PubMed32558221

2020

Mybl2 rejuvenates heart explant-derived cells from aged donors after myocardial infarction.

Applications

Unspecified application

Species

Unspecified reactive species

Ghazaleh Rafatian,Maryam Kamkar,Sandrine Parent,Connor Michie,Yousef Risha,André S D Molgat,Richard Seymour,Erik J Suuronen,Darryl R Davis
View all publications

Product promise

We are committed to supporting your work with high-quality reagents, and we're here for you every step of the way. In the unlikely event that one of our products does not perform as expected, you're protected by our Product Promise.
For full details, please see our Terms & Conditions

Please note: All products are 'FOR RESEARCH USE ONLY. NOT FOR USE IN DIAGNOSTIC OR THERAPEUTIC PROCEDURES'.

For licensing inquiries, please contact partnerships@abcam.com