JavaScript is disabled in your browser. Please enable JavaScript to view this website.
AB305174

Anti-GLB1/Beta-galactosidase antibody [EPR26120-76]

  • BOND RX™ Validated
  • 20ul selling size
  • RabMAb
  • Recombinant
  • What is this?

5

(1 Review)

|

(2 Publications)

Rabbit Recombinant Monoclonal GLB1/Beta-galactosidase antibody. Suitable for IP, Flow Cyt (Intra), ICC/IF, IHC-P, WB and reacts with Human samples. Cited in 2 publications.

View Alternative Names

ELNR1, GLB1, Beta-galactosidase, Acid beta-galactosidase, Elastin receptor 1, Lactase

10 Images
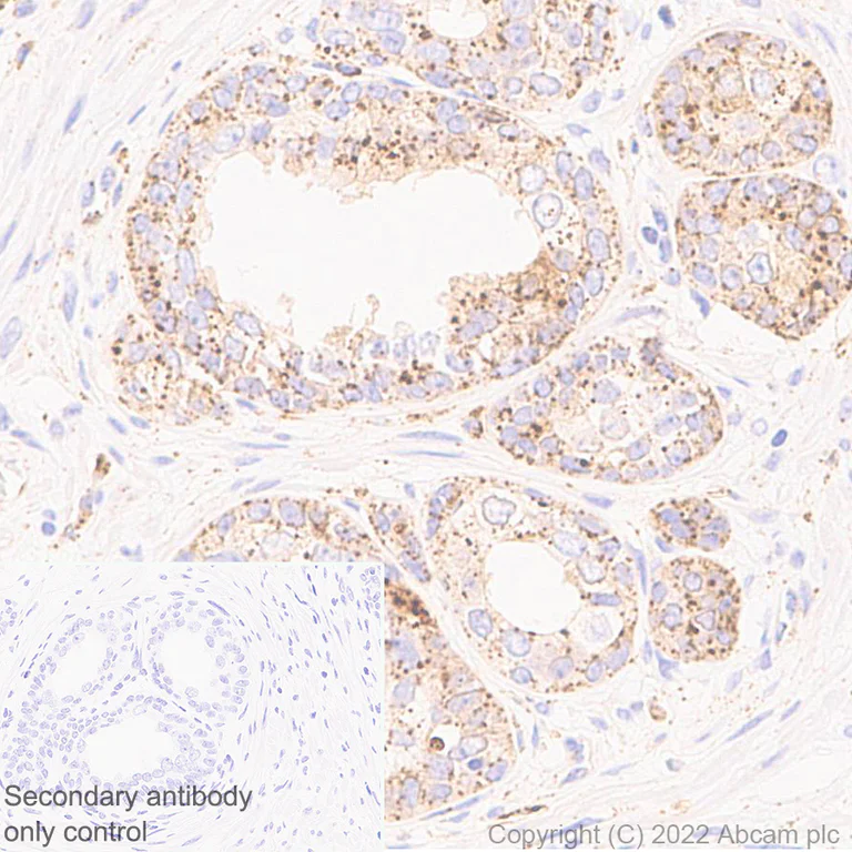
Immunohistochemistry (Formalin/PFA-fixed paraffin-embedded sections) - Anti-GLB1/Beta-galactosidase antibody [EPR26120-76] (AB305174)
  • IHC-P

Lab

Immunohistochemistry (Formalin/PFA-fixed paraffin-embedded sections) - Anti-GLB1/Beta-galactosidase antibody [EPR26120-76] (AB305174)

Immunohistochemical analysis of paraffin-embedded Human breast carcinoma tissue labeling GLB1/Beta-galactosidase with ab305174 at 1/500 dilution (1.088 ug/ml) followed by a ready to use LeicaDS9800 (Bond™ Polymer Refine Detection). The immunostaining was performed on a Leica Biosystems BOND® RX instrument counterstained with Hematoxylin. Positive staining on human breast carcinoma. The section was incubated with ab305174 for 30 mins at room temperature. Secondary antibody only control : Secondary antibody is a ready to use LeicaDS9800 (Bond™ Polymer Refine Detection). Heat mediated antigen retrieval was performed with Tris-EDTA buffer (pH 9.0, Epitope Retrieval Solution2) for 20 mins

Immunohistochemistry (Formalin/PFA-fixed paraffin-embedded sections) - Anti-GLB1/Beta-galactosidase antibody [EPR26120-76] (AB305174)
  • IHC-P

Supplier Data

Immunohistochemistry (Formalin/PFA-fixed paraffin-embedded sections) - Anti-GLB1/Beta-galactosidase antibody [EPR26120-76] (AB305174)

Immunohistochemical analysis of paraffin-embedded Human prostate hyper tissue labeling GLB1/Beta-galactosidase with ab305174 at 1/500 (1.088 ug/ml) followed by a ready to use LeicaDS9800 (Bond® Polymer Refine Detection). Positive staining on human prostate hyperplasia (PMID : 25876105, 28234906).The section was incubated with ab305174 for 30 mins at room temperature. The immunostaining was performed on a Leica Biosystems BOND® RX instrument. Counterstained with Hematoxylin. Secondary antibody only control : Secondary antibody is a ready to use LeicaDS9800 (Bond® Polymer Refine Detection). Heat mediated antigen retrieval was performed with Tris-EDTA buffer (pH 9.0, Epitope Retrieval Solution2) for 20 mins.

Immunocytochemistry/ Immunofluorescence - Anti-GLB1/Beta-galactosidase antibody [EPR26120-76] (AB305174)
  • ICC/IF

Supplier Data

Immunocytochemistry/ Immunofluorescence - Anti-GLB1/Beta-galactosidase antibody [EPR26120-76] (AB305174)

Immunofluorescent analysis of 4% Paraformaldehyde-fixed, 100% Methanol permeabilized SK-BR-3 (human breast adenocarcinoma epithelial cell) cells labeling GLB1/Beta-galactosidase with ab305174 at 1/500 (1.088 ug/ml) dilution, followed by ab150081 Goat Anti-Rabbit IgG H&L (Alexa Fluor® 488) preadsorbed antibody at 1/1000 (2 ug/ml) dilution (Green). Confocal image showing cytoplasmic punctate staining in SK-BR-3 cell line. Low expression : Daudi. Image was taken with a confocal microscope(Leica-Microsystems, TCS SP8). ab195889 Anti-alpha Tubulin mouse monoclonal antibody - Microtubule Marker (Alexa Fluor® 594) was used to counterstain tubulin at 1/200 dilution (2.5 ug/ml) dilution (Red). The nuclear counterstain was DAPI (Blue). Secondary antibody only control : Secondary antibody is ab150081 Goat Anti-Rabbit IgG H&L (Alexa Fluor® 488) preadsorbed at 1/1000 (2 ug/ml) dilution.

Immunohistochemistry (Formalin/PFA-fixed paraffin-embedded sections) - Anti-GLB1/Beta-galactosidase antibody [EPR26120-76] (AB305174)
  • IHC-P

Supplier Data

Immunohistochemistry (Formalin/PFA-fixed paraffin-embedded sections) - Anti-GLB1/Beta-galactosidase antibody [EPR26120-76] (AB305174)

Immunohistochemical analysis of paraffin-embedded (A) MCF-7 (human bre tissue labeling GLB1/Beta-galactosidase with ab305174 at 1/500 (1.088 ug/ml) followed by a ready to use LeicaDS9800 (Bond® Polymer Refine Detection). Positive staining on (A) MCF-7 cell pellet and (B) SK-BR-3 cell pellet; almost no staining on (C) Daudi cell pellet. The section was incubated with ab305174 for 30 mins at room temperature. The immunostaining was performed on a Leica Biosystems BOND® RX instrument. Counterstained with Hematoxylin. Secondary antibody only control : Secondary antibody is a ready to use LeicaDS9800 (Bond® Polymer Refine Detection). Heat mediated antigen retrieval was performed with Tris-EDTA buffer (pH 9.0, Epitope Retrieval Solution2) for 20 mins.

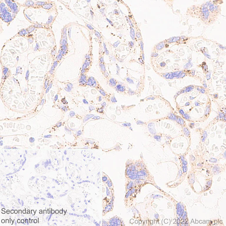
Immunohistochemistry (Formalin/PFA-fixed paraffin-embedded sections) - Anti-GLB1/Beta-galactosidase antibody [EPR26120-76] (AB305174)
  • IHC-P

Supplier Data

Immunohistochemistry (Formalin/PFA-fixed paraffin-embedded sections) - Anti-GLB1/Beta-galactosidase antibody [EPR26120-76] (AB305174)

Immunohistochemical analysis of paraffin-embedded Human placenta tissue labeling GLB1/Beta-galactosidase with ab305174 at 1/500 (1.088 ug/ml) followed by a ready to use LeicaDS9800 (Bond® Polymer Refine Detection). Positive staining on human placenta (PMID : 8383699).The section was incubated with ab305174 for 30 mins at room temperature. The immunostaining was performed on a Leica Biosystems BOND® RX instrument. Counterstained with Hematoxylin. Secondary antibody only control : Secondary antibody is a ready to use LeicaDS9800 (Bond® Polymer Refine Detection). Heat mediated antigen retrieval was performed with Tris-EDTA buffer (pH 9.0, Epitope Retrieval Solution2) for 20 mins.

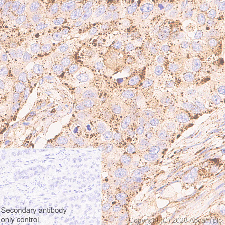
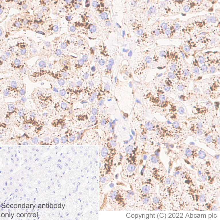
Immunohistochemistry (Formalin/PFA-fixed paraffin-embedded sections) - Anti-GLB1/Beta-galactosidase antibody [EPR26120-76] (AB305174)
  • IHC-P

Supplier Data

Immunohistochemistry (Formalin/PFA-fixed paraffin-embedded sections) - Anti-GLB1/Beta-galactosidase antibody [EPR26120-76] (AB305174)

Immunohistochemical analysis of paraffin-embedded Human liver tissue labeling GLB1/Beta-galactosidase with ab305174 at 1/500 (1.088 ug/ml) followed by a ready to use LeicaDS9800 (Bond® Polymer Refine Detection). Positive staining on human liver. The section was incubated with ab305174 for 30 mins at room temperature. The immunostaining was performed on a Leica Biosystems BOND® RX instrument. Counterstained with Hematoxylin. Secondary antibody only control : Secondary antibody is a ready to use LeicaDS9800 (Bond™ Polymer Refine Detection). Heat mediated antigen retrieval was performed with Tris-EDTA buffer (pH 9.0, Epitope Retrieval Solution2) for 20 mins.

Flow Cytometry (Intracellular) - Anti-GLB1/Beta-galactosidase antibody [EPR26120-76] (AB305174)
  • Flow Cyt (Intra)

Supplier Data

Flow Cytometry (Intracellular) - Anti-GLB1/Beta-galactosidase antibody [EPR26120-76] (AB305174)

Flow cytometric analysis of 4% paraformaldehyde fixed 90% methanol permeabilized Daudi (human Burkitt's lymphoma lymphoblast, Left) / SK-BR-3 (human breast adenocarcinoma epithelial cell, Right) cells labelling GLB1/Beta-galactosidase with ab305174 at 1/500 dilution (0.1ug) (Red) (Red) compared with a Rabbit monoclonal IgG (ab172730) (Black) isotype control and an unlabelled control (cells without incubation with primary antibody and secondary antibody) (Blue). A Goat Anti-Rabbit IgG (Alexa Fluor® 488, ab150081) at 1/2000 dilution was used as the secondary antibody. Low expression control : Daudi.

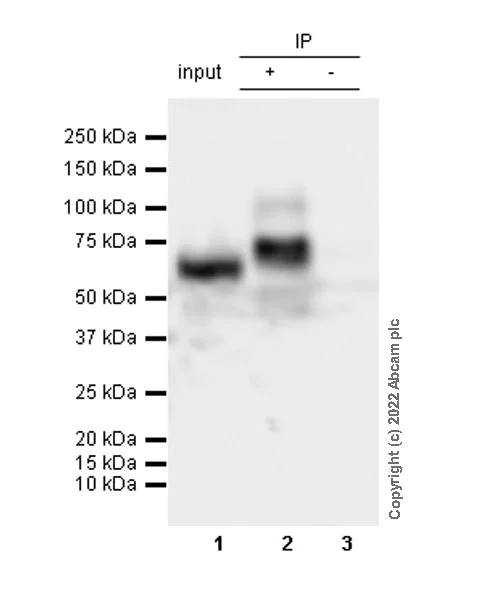
Immunoprecipitation - Anti-GLB1/Beta-galactosidase antibody [EPR26120-76] (AB305174)
  • IP

Supplier Data

Immunoprecipitation - Anti-GLB1/Beta-galactosidase antibody [EPR26120-76] (AB305174)

GLB1/Beta-galactosidase was immunoprecipitated from 0.35 mg SK-BR-3 (human breast adenocarcinoma epithelial cell) whole cell lysate 10 ug with ab305174 at 1/30 dilution (2ug in 0.35mg lysates). Western blot was performed on the immunoprecipitate using ab305174 at 1/1000 dilution. VeriBlot for IP secondary antibody (HRP) (ab131366) was used at 1/5000 dilution.

Lane 1 : SK-BR-3 (human breast adenocarcinoma epithelial cell) whole cell lysate 10 ug
Lane 2 : ab305174 IP in SK-BR-3 whole cell lysate
Lane 3 : Rabbit monoclonal IgG (ab172730) instead of ab305174 in SK-BR-3 whole cell lysate

Blocking and dilution buffer and concentration : 5% NFDM/TBST.

Exposure time : 15 seconds

All lanes:

Immunoprecipitation - Anti-GLB1/Beta-galactosidase antibody [EPR26120-76] (ab305174) at 1/1000 dilution

Lane 1:

SK-BR-3 (human breast adenocarcinoma epithelial cell) whole cell lysate 10 μg

Lane 2:

SK-BR-3 whole cell lysate

Secondary

All lanes:

Immunoprecipitation - VeriBlot for IP Detection Reagent (HRP) (<a href='/en-us/products/reagents/veriblot-for-ip-detection-reagent-hrp-ab131366'>ab131366</a>) at 1/5000 dilution

Observed band size: 66 kDa

false

Exposure time: 15s

Western blot - Anti-GLB1/Beta-galactosidase antibody [EPR26120-76] (AB305174)
  • WB

Supplier Data

Western blot - Anti-GLB1/Beta-galactosidase antibody [EPR26120-76] (AB305174)

Blocking and diluting buffer and concentration : 5% NFDM/TBST Exposure time :

All lanes:

Western blot - Anti-GLB1/Beta-galactosidase antibody [EPR26120-76] (ab305174) at 1/1000 dilution

Lane 1:

Human lu tissue lysate 20 μg

Lane 2:

Human clolon tissue lysate 20 μg

Lane 3:

Human liver tissue lysate 20 μg

Lane 4:

Human testis tissue lysate 10 μg

Lane 5:

Human placenta tissue lysate 10 μg

Secondary

All lanes:

Goat Anti-Rabbit IgG (HRP) with minimal cross-reactivity with human IgG at 1/5000 dilution

Observed band size: 66 kDa

false

Exposure time: 15s

Western blot - Anti-GLB1/Beta-galactosidase antibody [EPR26120-76] (AB305174)
  • WB

Supplier Data

Western blot - Anti-GLB1/Beta-galactosidase antibody [EPR26120-76] (AB305174)

Blocking and diluting buffer and concentration : 5% NFDM/TBST Low expression : Daudi Exposure time : 15 seconds

All lanes:

Western blot - Anti-GLB1/Beta-galactosidase antibody [EPR26120-76] (ab305174) at 1/1000 dilution

Lane 1:

MCF7 (human breast adenocarcinoma epithelial cell), whole cell lysate 10 μg

Lane 2:

SK-BR-3 (human breast adenocarcinoma epithelial cell), whole cell lysate 10 μg

Lane 3:

Daudi (human Burkitts lymphoma lymphoblast), whole cell lysate 10 μg

Secondary

All lanes:

Western blot - Goat Anti-Rabbit IgG H&L (HRP) (<a href='/en-us/products/secondary-antibodies/goat-rabbit-igg-h-l-hrp-ab97051'>ab97051</a>) at 1/100000 dilution

Observed band size: 66 kDa

false

Exposure time: 15s

  • Carrier free

    Anti-GLB1/Beta-galactosidase antibody [EPR26120-76] - BSA and Azide free

  • 665 Alexa Fluor® 647

    Alexa Fluor® 647 Anti-GLB1/Beta-galactosidase antibody [EPR26120-76]

Key facts

Host species

Rabbit

Clonality

Monoclonal

Clone number

EPR26120-76

Isotype

IgG

Carrier free

No

Reacts with

Human

Applications

WB, Flow Cyt (Intra), IHC-P, IP, ICC/IF

applications

Immunogen

The exact immunogen used to generate this antibody is proprietary information.

Reactivity data

{ "title": "Reactivity Data", "filters": { "stats": ["", "Species", "Dilution Info", "Notes"], "tabs": { "all-applications": {"fullname" : "All Applications", "shortname": "All Applications"}, "IP" : {"fullname" : "Immunoprecipitation", "shortname":"IP"}, "FlowCytIntra" : {"fullname" : "Flow Cytometry (Intracellular)", "shortname":"Flow Cyt (Intra)"}, "ICCIF" : {"fullname" : "Immunocytochemistry/ Immunofluorescence", "shortname":"ICC/IF"}, "IHCP" : {"fullname" : "Immunohistochemistry (Formalin/PFA-fixed paraffin-embedded sections)", "shortname":"IHC-P"}, "WB" : {"fullname" : "Western blot", "shortname":"WB"} }, "product-promise": { "all": "all", "testedAndGuaranteed": "tested", "guaranteed": "expected", "predicted": "predicted", "notRecommended": "not-recommended" } }, "values": { "Human": { "IP-species-checked": "testedAndGuaranteed", "IP-species-dilution-info": "1/30", "IP-species-notes": "<p></p>", "FlowCytIntra-species-checked": "testedAndGuaranteed", "FlowCytIntra-species-dilution-info": "1/500", "FlowCytIntra-species-notes": "<p></p>", "ICCIF-species-checked": "testedAndGuaranteed", "ICCIF-species-dilution-info": "1/500", "ICCIF-species-notes": "<p></p>", "IHCP-species-checked": "testedAndGuaranteed", "IHCP-species-dilution-info": "1/500", "IHCP-species-notes": "<p></p> Perform heat-mediated antigen retrieval with Tris/EDTA buffer pH 9.0 before commencing with IHC staining protocol.", "WB-species-checked": "testedAndGuaranteed", "WB-species-dilution-info": "1/1000", "WB-species-notes": "<p></p>" }, "Mouse": { "IP-species-checked": "notRecommended", "IP-species-dilution-info": "", "IP-species-notes": "", "FlowCytIntra-species-checked": "notRecommended", "FlowCytIntra-species-dilution-info": "1/500", "FlowCytIntra-species-notes": "<p></p>", "ICCIF-species-checked": "notRecommended", "ICCIF-species-dilution-info": "", "ICCIF-species-notes": "", "IHCP-species-checked": "notRecommended", "IHCP-species-dilution-info": "1/500", "IHCP-species-notes": "<p></p> Perform heat-mediated antigen retrieval with Tris/EDTA buffer pH 9.0 before commencing with IHC staining protocol.", "WB-species-checked": "notRecommended", "WB-species-dilution-info": "1/1000", "WB-species-notes": "<p></p>" }, "Rat": { "IP-species-checked": "notRecommended", "IP-species-dilution-info": "", "IP-species-notes": "", "FlowCytIntra-species-checked": "notRecommended", "FlowCytIntra-species-dilution-info": "", "FlowCytIntra-species-notes": "", "ICCIF-species-checked": "notRecommended", "ICCIF-species-dilution-info": "", "ICCIF-species-notes": "", "IHCP-species-checked": "notRecommended", "IHCP-species-dilution-info": "1/500", "IHCP-species-notes": "<p></p> Perform heat-mediated antigen retrieval with Tris/EDTA buffer pH 9.0 before commencing with IHC staining protocol.", "WB-species-checked": "notRecommended", "WB-species-dilution-info": "1/1000", "WB-species-notes": "<p></p>" } } }

Product details

Patented technology
Our RabMAb® technology is a patented hybridoma-based technology for making rabbit monoclonal antibodies. For details on our patents, please refer to RabMAb® patents.

What are the advantages of a recombinant monoclonal antibody?
This product is a recombinant monoclonal antibody, which offers several advantages including:

  • - High batch-to-batch consistency and reproducibility
  • - Improved sensitivity and specificity
  • - Long-term security of supply
  • - Animal-free batch production

For more information, read more on recombinant antibodies.

Properties and storage information

Form
Liquid
Purification technique
Affinity purification Protein A
Storage buffer
pH: 7.2 - 7.4 Preservative: 0.01% Sodium azide Constituents: PBS, 40% Glycerol (glycerin, glycerine), 0.05% BSA
Shipped at conditions
Blue Ice
Appropriate short-term storage duration
1-2 weeks
Appropriate short-term storage conditions
+4°C
Appropriate long-term storage conditions
-20°C
Aliquoting information
Upon delivery aliquot
Storage information
Avoid freeze / thaw cycle

Supplementary information

This supplementary information is collated from multiple sources and compiled automatically.

GLB1 also known as beta-galactosidase is an enzyme that catalyzes the hydrolysis of beta-galactosides into monosaccharides. The protein has a molecular mass of approximately 76 kDa. Researchers observe this enzyme expression in the lysosome where it functions to break down complex carbohydrates. Its activity depends on proper glycosylation and correct folding usually occurring within specific cellular compartments.
Biological function summary

GLB1 is integral to the degradation and recycling of glycoproteins and glycolipids in the cell. It forms part of the lysosomal enzyme complex responsible for processing macromolecules. Without its function the accumulation of substrates can occur affecting cellular metabolism. The enzyme ensures that metabolic waste is efficiently processed linking GLB1 to cellular homeostasis.

Pathways

Beta-galactosidase participates in the lysosomal storage and glycan metabolism pathways. It is important for the catabolism of glycoside forms of hormones and other biologically-active molecules. In these pathways GLB1 interacts with proteins such as hexosaminidase creating a network of lysosomal enzymes. These interactions enable coordinated degradation of glycoproteins maintaining balance within cellular systems.

GLB1 mutations associate with conditions like GM1 gangliosidosis and Morquio syndrome type B. These are lysosomal storage disorders resulting from the accumulation of unmetabolized substrates. In these diseases hexosaminidase and other lysosomal enzymes show relationships with GLB1 illuminating complex interactions within cellular pathology. Therapeutic research aims to correct or enhance enzyme function seeking to alleviate disorder symptoms.

Product protocols

For this product, it's our understanding that no specific protocols are required. You can visit:

Target data

Isoform 1. Cleaves beta-linked terminal galactosyl residues from gangliosides, glycoproteins, and glycosaminoglycans.. Isoform 2. Has no beta-galactosidase catalytic activity, but plays functional roles in the formation of extracellular elastic fibers (elastogenesis) and in the development of connective tissue. Seems to be identical to the elastin-binding protein (EBP), a major component of the non-integrin cell surface receptor expressed on fibroblasts, smooth muscle cells, chondroblasts, leukocytes, and certain cancer cell types. In elastin producing cells, associates with tropoelastin intracellularly and functions as a recycling molecular chaperone which facilitates the secretions of tropoelastin and its assembly into elastic fibers.
See full target information GLB1

Publications (2)

Recent publications for all applications. Explore the full list and refine your search

Scientific reports 15:30716 PubMed40841396

2025

Integrated multi-omics analysis identifies lipid metabolism biomarkers in ONFH and reveals therapeutic potential of retinoic acid.

Applications

Unspecified application

Species

Unspecified reactive species

Chuan Wang,Chaode Cen,Huachuan Su,Yuhui Peng,Tao Wang,Jian Li,Fei Zhang,Wuxun Peng

Bone research 13:47 PubMed40229258

2025

SPI1 activates mitochondrial unfolded response signaling to inhibit chondrocyte senescence and relieves osteoarthritis.

Applications

Unspecified application

Species

Unspecified reactive species

Xiangyu Zu,Shenghong Chen,Zhengyuan Li,Lin Hao,Wenhan Fu,Hui Zhang,Zongsheng Yin,Yin Wang,Jun Wang
View all publications

Product promise

We are committed to supporting your work with high-quality reagents, and we're here for you every step of the way. In the unlikely event that one of our products does not perform as expected, you're protected by our Product Promise.
For full details, please see our Terms & Conditions

Please note: All products are 'FOR RESEARCH USE ONLY. NOT FOR USE IN DIAGNOSTIC OR THERAPEUTIC PROCEDURES'.

For licensing inquiries, please contact partnerships@abcam.com