JavaScript is disabled in your browser. Please enable JavaScript to view this website.
AB282584

Anti-GLG1 antibody [EPR24347-15] - BSA and Azide free

Be the first to review this product! Submit a review

|

(0 Publication)

Rabbit Recombinant Monoclonal GLG1 antibody. Carrier free. Suitable for ICC/IF, IP, WB, IHC-P and reacts with Mouse, Human, Rat samples.

View Alternative Names

CFR1, ESL1, MG160, GLG1, Golgi apparatus protein 1, CFR-1, Cysteine-rich fibroblast growth factor receptor, E-selectin ligand 1, Golgi sialoglycoprotein MG-160, ESL-1

8 Images
Immunohistochemistry (Formalin/PFA-fixed paraffin-embedded sections) - Anti-GLG1 antibody [EPR24347-15] - BSA and Azide free (AB282584)
  • IHC-P

Supplier Data

Immunohistochemistry (Formalin/PFA-fixed paraffin-embedded sections) - Anti-GLG1 antibody [EPR24347-15] - BSA and Azide free (AB282584)

This data was developed using ab271182, the same antibody clone in a different buffer formulation.

Immunohistochemical analysis of paraffin-embedded Human colon tissue labeling GLG1 with ab271182 at 1/50 (10.66 ug/ml) followed by a Goat Anti-Rabbit IgG H&L (HRP polymer) at Ready to use dilution. Positive staining on human normal colon. The section was incubated with ab271182 at 4°C overnight. Counterstained with Hematoxylin.

Secondary antibody only control : Secondary antibody is Goat Anti-Rabbit IgG H&L (HRP polymer) at Ready to use dilution.

Heat mediated antigen retrieval using ab93684 (Tris/EDTA buffer, pH 9.0)

Immunocytochemistry/ Immunofluorescence - Anti-GLG1 antibody [EPR24347-15] - BSA and Azide free (AB282584)
  • ICC/IF

Supplier Data

Immunocytochemistry/ Immunofluorescence - Anti-GLG1 antibody [EPR24347-15] - BSA and Azide free (AB282584)

This data was developed using ab271182, the same antibody clone in a different buffer formulation.

Immunofluorescent analysis of 4% Paraformaldehyde-fixed, 0.1% TritonX-100 permeabilized HepG2 cells labelling GLG1 with ab271182 at 1/50 (10.66 ug/ml) dilution, followed by ab150081 Goat Anti-Rabbit IgG H&L (Alexa Fluor® 488) preadsorbed antibody at 1/1000 dilution (Green). Confocal image showing Golgi staining in HepG2 cell line is observed.

ab169276 Anti-GM130 mouse polyclonal antibody - cis-Golgi Marker was used to counterstain tubulin at 1/200 dilution (Red). The Nuclear counterstain was DAPI (Blue).

Secondary antibody only control : Secondary antibody is ab150081 Goat Anti-Rabbit IgG H&L (Alexa Fluor® 488) preadsorbed at 1/1000 dilution.

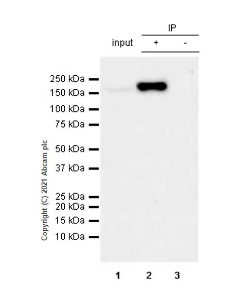
Immunoprecipitation - Anti-GLG1 antibody [EPR24347-15] - BSA and Azide free (AB282584)
  • IP

Supplier Data

Immunoprecipitation - Anti-GLG1 antibody [EPR24347-15] - BSA and Azide free (AB282584)

This data was developed using ab271182, the same antibody clone in a different buffer formulation.

GLG1 was immunoprecipitated from 0.35 mg HepG2 (human hepatocellular carcinoma epithelial cell) whole cell lysate 10 ug with ab271182 at 1/30 dilution (2ug in 0.35mg lysates). Western blot was performed on the immunoprecipitate using ab271182 at 1/1000 dilution. VeriBlot for IP secondary antibody(HRP)(ab131366) was used at 1/5000 dilution.

Lane 1 : HepG2 (human hepatocellular carcinoma epithelial cell) whole cell lysate 10 ug

Lane 2 : ab271182 IP in HepG2 whole cell lysate

Lane 3 : Rabbit monoclonal IgG (ab172730) instead of ab271182 in HepG2 whole cell lysate

Blocking and dilution buffer and concentration : 5% NFDM/TBST.

Exposure time : 24 seconds

All lanes:

Immunoprecipitation - Anti-GLG1 antibody [EPR24347-15] (<a href='/en-us/products/primary-antibodies/glg1-antibody-epr24347-15-ab271182'>ab271182</a>)

Observed band size: 150 kDa

false

Immunohistochemistry (Formalin/PFA-fixed paraffin-embedded sections) - Anti-GLG1 antibody [EPR24347-15] - BSA and Azide free (AB282584)
  • IHC-P

Supplier Data

Immunohistochemistry (Formalin/PFA-fixed paraffin-embedded sections) - Anti-GLG1 antibody [EPR24347-15] - BSA and Azide free (AB282584)

This data was developed using ab271182, the same antibody clone in a different buffer formulation.

Immunohistochemical analysis of paraffin-embedded Mouse kidney tissue labeling GLG1 with ab271182 at 1/100 (5.33 ug/ml) followed by a Goat Anti-Rabbit IgG H&L (HRP polymer) at Ready to use dilution. Positive staining on mouse kidney. The section was incubated with ab271182 at 4°C overnight. Counterstained with Hematoxylin.

Secondary antibody only control : Secondary antibody is Goat Anti-Rabbit IgG H&L (HRP polymer) at Ready to use dilution.

Heat mediated antigen retrieval using ab93684 (Tris/EDTA buffer, pH 9.0)

Immunohistochemistry (Formalin/PFA-fixed paraffin-embedded sections) - Anti-GLG1 antibody [EPR24347-15] - BSA and Azide free (AB282584)
  • IHC-P

Supplier Data

Immunohistochemistry (Formalin/PFA-fixed paraffin-embedded sections) - Anti-GLG1 antibody [EPR24347-15] - BSA and Azide free (AB282584)

This data was developed using ab271182, the same antibody clone in a different buffer formulation.

Immunohistochemical analysis of paraffin-embedded Rat kidney tissue labeling GLG1 with ab271182 at 1/100 (5.33 ug/ml) followed by a Goat Anti-Rabbit IgG H&L (HRP polymer) at Ready to use dilution. Positive staining on rat kidney. The section was incubated with ab271182 at 4°C overnight. Counterstained with Hematoxylin.

Secondary antibody only control : Secondary antibody is Goat Anti-Rabbit IgG H&L (HRP polymer) at Ready to use dilution.

Heat mediated antigen retrieval using ab93684 (Tris/EDTA buffer, pH 9.0)

Immunocytochemistry/ Immunofluorescence - Anti-GLG1 antibody [EPR24347-15] - BSA and Azide free (AB282584)
  • ICC/IF

Supplier Data

Immunocytochemistry/ Immunofluorescence - Anti-GLG1 antibody [EPR24347-15] - BSA and Azide free (AB282584)

This data was developed using ab271182, the same antibody clone in a different buffer formulation.

Immunofluorescent analysis of 4% Paraformaldehyde-fixed, 0.1% TritonX-100 permeabilized MEF cells labelling GLG1 with ab271182 at 1/50 (10.66 ug/ml) dilution, followed by ab150081 Goat Anti-Rabbit IgG H&L (Alexa Fluor® 488) preadsorbed antibody at 1/1000 dilution (Green). Confocal image showing Golgi staining in MEF cell line is observed.

ab195889 Anti-alpha Tubulin mouse monoclonal antibody - Microtubule Marker (Alexa Fluor® 594) was used to counterstain tubulin at 1/200 dilution (Red). The Nuclear counterstain was DAPI (Blue).

Secondary antibody only control : Secondary antibody is ab150081 Goat Anti-Rabbit IgG H&L (Alexa Fluor® 488) preadsorbed at 1/1000 dilution.

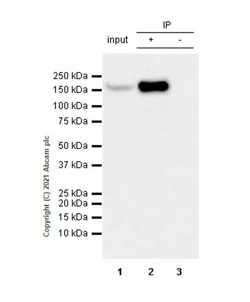
Immunoprecipitation - Anti-GLG1 antibody [EPR24347-15] - BSA and Azide free (AB282584)
  • IP

Supplier Data

Immunoprecipitation - Anti-GLG1 antibody [EPR24347-15] - BSA and Azide free (AB282584)

This data was developed using ab271182, the same antibody clone in a different buffer formulation.

GLG1 was immunoprecipitated from 0.35 mg MEF (mouse embryonic fibroblast (immortalized)) whole cell lysate 10 ug with ab271182 at 1/30 dilution (2ug in 0.35mg lysates). Western blot was performed on the immunoprecipitate using ab271182 at 1/1000 dilution. VeriBlot for IP secondary antibody(HRP)(ab131366) was used at 1/5000 dilution.

Lane 1 : MEF (mouse embryonic fibroblast (immortalized)) whole cell lysate 10 ug

Lane 2 : ab271182 IP in MEF whole cell lysate

Lane 3 : Rabbit monoclonal IgG (ab172730) instead of ab271182 in MEF whole cell lysate

Blocking and dilution buffer and concentration : 5% NFDM/TBST.

Exposure time : 24 seconds

All lanes:

Immunoprecipitation - Anti-GLG1 antibody [EPR24347-15] (<a href='/en-us/products/primary-antibodies/glg1-antibody-epr24347-15-ab271182'>ab271182</a>)

Observed band size: 150 kDa

false

Western blot - Anti-GLG1 antibody [EPR24347-15] - BSA and Azide free (AB282584)
  • WB

Lab

Western blot - Anti-GLG1 antibody [EPR24347-15] - BSA and Azide free (AB282584)

This data was developed using ab271182, the same antibody clone in a different buffer formulation.

Blocking and diluting buffer and concentration : 5% NFDM/TBST

The observed MW is consistent with what has been described in the literature (PMID : 30988423).

Exposure time : 3 minutes

All lanes:

Western blot - Anti-GLG1 antibody [EPR24347-15] (<a href='/en-us/products/primary-antibodies/glg1-antibody-epr24347-15-ab271182'>ab271182</a>) at 1/1000 dilution

Lane 1:

HepG2 (human hepatocellular carcinoma epithelial cell) whole cell lysate at 20 µg

Lane 2:

MEF (mouse embryonic fibroblast (immortalized)) whole cell lysate at 20 µg

Lane 3:

PC-12 (rat adrenal gland pheochromocytoma) whole cell lysate at 20 µg

Secondary

All lanes:

Western blot - Goat Anti-Rabbit IgG H&L (HRP) (<a href='/en-us/products/secondary-antibodies/goat-rabbit-igg-h-l-hrp-ab97051'>ab97051</a>) at 1/50000 dilution

Predicted band size: 135 kDa

Observed band size: 150 kDa

false

Key facts

Host species

Rabbit

Clonality

Monoclonal

Clone number

EPR24347-15

Isotype

IgG

Carrier free

Yes

Reacts with

Mouse, Rat, Human

Applications

WB, ICC/IF, IP, IHC-P

applications

Immunogen

The exact immunogen used to generate this antibody is proprietary information.

Reactivity data

{ "title": "Reactivity Data", "filters": { "stats": ["", "Species", "Dilution Info", "Notes"], "tabs": { "all-applications": {"fullname" : "All Applications", "shortname": "All Applications"}, "ICCIF" : {"fullname" : "Immunocytochemistry/ Immunofluorescence", "shortname":"ICC/IF"}, "IP" : {"fullname" : "Immunoprecipitation", "shortname":"IP"}, "WB" : {"fullname" : "Western blot", "shortname":"WB"}, "IHCP" : {"fullname" : "Immunohistochemistry (Formalin/PFA-fixed paraffin-embedded sections)", "shortname":"IHC-P"}, "FlowCytIntra" : {"fullname" : "Flow Cytometry (Intracellular)", "shortname":"Flow Cyt (Intra)"} }, "product-promise": { "all": "all", "testedAndGuaranteed": "tested", "guaranteed": "expected", "predicted": "predicted", "notRecommended": "not-recommended" } }, "values": { "Human": { "ICCIF-species-checked": "testedAndGuaranteed", "ICCIF-species-dilution-info": "", "ICCIF-species-notes": "<p></p>", "IP-species-checked": "testedAndGuaranteed", "IP-species-dilution-info": "", "IP-species-notes": "<p></p>", "WB-species-checked": "testedAndGuaranteed", "WB-species-dilution-info": "", "WB-species-notes": "<p></p>", "IHCP-species-checked": "testedAndGuaranteed", "IHCP-species-dilution-info": "", "IHCP-species-notes": "<p></p>", "FlowCytIntra-species-checked": "notRecommended", "FlowCytIntra-species-dilution-info": "", "FlowCytIntra-species-notes": "<p></p>" }, "Mouse": { "ICCIF-species-checked": "testedAndGuaranteed", "ICCIF-species-dilution-info": "", "ICCIF-species-notes": "<p></p>", "IP-species-checked": "testedAndGuaranteed", "IP-species-dilution-info": "", "IP-species-notes": "<p></p>", "WB-species-checked": "testedAndGuaranteed", "WB-species-dilution-info": "", "WB-species-notes": "<p></p>", "IHCP-species-checked": "testedAndGuaranteed", "IHCP-species-dilution-info": "", "IHCP-species-notes": "<p></p>", "FlowCytIntra-species-checked": "notRecommended", "FlowCytIntra-species-dilution-info": "", "FlowCytIntra-species-notes": "<p></p>" }, "Rat": { "ICCIF-species-checked": "guaranteed", "ICCIF-species-dilution-info": "", "ICCIF-species-notes": "", "IP-species-checked": "guaranteed", "IP-species-dilution-info": "", "IP-species-notes": "", "WB-species-checked": "testedAndGuaranteed", "WB-species-dilution-info": "", "WB-species-notes": "<p></p>", "IHCP-species-checked": "testedAndGuaranteed", "IHCP-species-dilution-info": "", "IHCP-species-notes": "<p></p>", "FlowCytIntra-species-checked": "notRecommended", "FlowCytIntra-species-dilution-info": "", "FlowCytIntra-species-notes": "<p></p>" } } }

Product details

ab282584 is the carrier-free version of ab271182.

Patented technology
Our RabMAb® technology is a patented hybridoma-based technology for making rabbit monoclonal antibodies. For details on our patents, please refer to RabMAb® patents.

What are the advantages of a recombinant monoclonal antibody?
This product is a recombinant monoclonal antibody, which offers several advantages including:

  • - High batch-to-batch consistency and reproducibility
  • - Improved sensitivity and specificity
  • - Long-term security of supply
  • - Animal-free batch production

For more information, read more on recombinant antibodies.

Conjugation ready
Our carrier-free antibodies are typically supplied in a PBS-only formulation, purified and free of BSA, sodium azide and glycerol. This conjugation-ready format is designed for use with fluorochromes, metal isotopes, oligonucleotides, and enzymes, which makes them ideal for antibody labelling, functional and cell-based assays, flow-based assays (e.g. mass cytometry) and Multiplex Imaging applications.

Use our conjugation kits for antibody conjugates that are ready-to-use in as little as 20 minutes with 1 minute hands-on-time and 100% antibody recovery: available for fluorescent dyes, HRP, biotin and gold.

Compatibility
This product is compatible with the Maxpar® Antibody Labeling Kit from Fluidigm, without the need for antibody preparation. Maxpar® is a trademark of Fluidigm Canada Inc.

Properties and storage information

Form
Liquid
Purification technique
Affinity purification Protein A
Storage buffer
Constituents: PBS
Shipped at conditions
Blue Ice
Appropriate short-term storage conditions
+4°C
Appropriate long-term storage conditions
+4°C

Supplementary information

This supplementary information is collated from multiple sources and compiled automatically.

GLG1 also known as Golgi apparatus protein 1 or p58 is a transmembrane protein with a molecular weight of about 150 kDa. It expresses abundantly in the Golgi apparatus where it functions in the sorting and transport of proteins. GLG1 interacts with glycoproteins containing high mannose aiding their retention until they mature and are fully processed. Its expression is observed not only in most cell types but also prominently in tissues with high secretion activity.
Biological function summary

The function of GLG1 involves participating in the formation and maintenance of the Golgi structure. It is part of the larger protein complex responsible for trafficking glycoproteins within the cell. GLG1 collaborates with other proteins within the Golgi to ensure proper processing and modification of proteins by glycosylation. This involvement makes GLG1 critical in regulating protein quality control and maintaining organelle integrity within cells.

Pathways

The function of GLG1 integrates into the secretory and endoplasmic reticulum-to-Golgi transport pathways. The target aids in modulating protein folding and sorting processes that are essential for cellular homeostasis. It has functional interactions with other Golgi-related proteins like GM130 and proteins involved in transport such as COPI coated vesicle proteins. It plays a supporting role in vesicular trafficking ensuring that proteins reach their correct cellular destinations.

Dysfunctions or alterations in GLG1 expression are linked to congenital disorders of glycosylation. These disorders occur due to impaired glycoprotein processing and transport. GLG1's involvement in these pathways further implicates it in diseases where protein trafficking and glycosylation are disrupted. Moreover it is linked with diseases involving disrupted Golgi function which could be associated with proteins like GOLPH3 that might also have roles in Golgi-related pathologies.

Product protocols

For this product, it's our understanding that no specific protocols are required. You can visit:

Target data

Binds fibroblast growth factor and E-selectin (cell-adhesion lectin on endothelial cells mediating the binding of neutrophils).
See full target information GLG1

Product promise

We are committed to supporting your work with high-quality reagents, and we're here for you every step of the way. In the unlikely event that one of our products does not perform as expected, you're protected by our Product Promise.
For full details, please see our Terms & Conditions

Please note: All products are 'FOR RESEARCH USE ONLY. NOT FOR USE IN DIAGNOSTIC OR THERAPEUTIC PROCEDURES'.

For licensing inquiries, please contact partnerships@abcam.com