JavaScript is disabled in your browser. Please enable JavaScript to view this website.
AB289368

Anti-Gli1 antibody [HL247] - BSA and Azide free

Be the first to review this product! Submit a review

|

(2 Publications)

Rabbit Monoclonal GLI1 antibody. Carrier free. Suitable for WB, IHC-P, ICC/IF and reacts with Transfected cell lysate - Human, Human, Mouse, Rat samples. Cited in 2 publications. Immunogen corresponding to Synthetic Peptide within Mouse Gli1.

View Alternative Names

GLI, GLI1, Zinc finger protein GLI1, Glioma-associated oncogene, Oncogene GLI

7 Images
Immunocytochemistry/ Immunofluorescence - Anti-Gli1 antibody [HL247] - BSA and Azide free (AB289368)
  • ICC/IF

Supplier Data

Immunocytochemistry/ Immunofluorescence - Anti-Gli1 antibody [HL247] - BSA and Azide free (AB289368)

Immunofluorescence analysis of 4% paraformaldehyde fixed Mock and transfected 293T cells labelling Gli1 protein using ab289368 at a 1/500 dilution at RT for 15 min (Green). The nuclear counter stain is DAPI (Blue).

Immunohistochemistry (Formalin/PFA-fixed paraffin-embedded sections) - Anti-Gli1 antibody [HL247] - BSA and Azide free (AB289368)
  • IHC-P

Supplier Data

Immunohistochemistry (Formalin/PFA-fixed paraffin-embedded sections) - Anti-Gli1 antibody [HL247] - BSA and Azide free (AB289368)

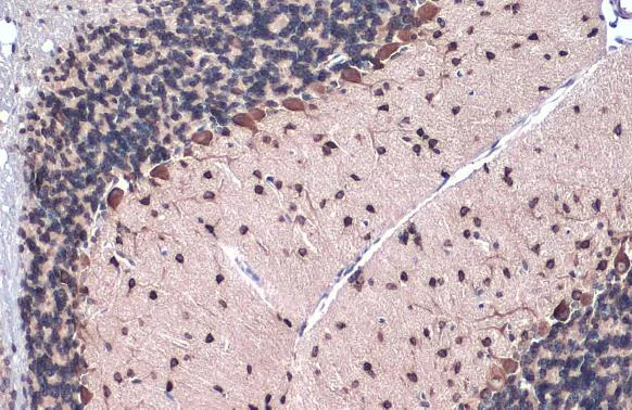
Gli1 antibody [HL247] detects Gli1 protein at cytoplasm by immunohistochemical analysis.
Sample : Paraffin-embedded mouse cerebellum.
Gli1 stained by Gli1 antibody [HL247] (ab289368) diluted at 1 : 50.
Antigen Retrieval : Citrate buffer, pH 6.0, 15 min

Immunohistochemistry (Formalin/PFA-fixed paraffin-embedded sections) - Anti-Gli1 antibody [HL247] - BSA and Azide free (AB289368)
  • IHC-P

Supplier Data

Immunohistochemistry (Formalin/PFA-fixed paraffin-embedded sections) - Anti-Gli1 antibody [HL247] - BSA and Azide free (AB289368)

Paraffin-embedded rat tissue stained for Gli1 protein with ab289368 at a 1/100 dilution in immunohistochemical analysis.

Antigen Retrieval : Citrate buffer, pH 6.0, 15 min.

Western blot - Anti-Gli1 antibody [HL247] - BSA and Azide free (AB289368)
  • WB

Supplier Data

Western blot - Anti-Gli1 antibody [HL247] - BSA and Azide free (AB289368)

Samples were separated by 5% SDS-PAGE.

All lanes:

Western blot - Anti-Gli1 antibody [HL247] - BSA and Azide free (ab289368) at 1/1000 dilution

Lane 1:

RMS-13 Whole cell extract at 30 µg

Lane 2:

RMS-13 nulear extract at 30 µg

Secondary

All lanes:

HRP-conjugated anti-rabbit IgG antibody

Predicted band size: 117 kDa

false

Western blot - Anti-Gli1 antibody [HL247] - BSA and Azide free (AB289368)
  • WB

Supplier Data

Western blot - Anti-Gli1 antibody [HL247] - BSA and Azide free (AB289368)

Samples were separated by 5% SDS-PAGE.

All lanes:

Western blot - Anti-Gli1 antibody [HL247] - BSA and Azide free (ab289368) at 1/1000 dilution

All lanes:

RMS-13 Whole cell extract at 30 µg

Secondary

All lanes:

HRP-conjugated anti-rabbit IgG antibody

Predicted band size: 117 kDa

false

Western blot - Anti-Gli1 antibody [HL247] - BSA and Azide free (AB289368)
  • WB

Supplier Data

Western blot - Anti-Gli1 antibody [HL247] - BSA and Azide free (AB289368)

Whole cell extracts were separated by 5% SDS-PAGE.

All lanes:

Western blot - Anti-Gli1 antibody [HL247] - BSA and Azide free (ab289368) at 1/1000 dilution

Lane 1:

Non-transfected RMS13 whole cell extract at 30 µg

Lane 2:

RMS13 cells transfected with Gli1 shRNA, whole cell extract at 30 µg

Secondary

All lanes:

Goat Anti-Rabbit IgG antibody (HRP)

Predicted band size: 118 kDa

false

Western blot - Anti-Gli1 antibody [HL247] - BSA and Azide free (AB289368)
  • WB

Supplier Data

Western blot - Anti-Gli1 antibody [HL247] - BSA and Azide free (AB289368)

Whole cell extracts were separated by 5% SDS-PAGE,

All lanes:

Western blot - Anti-Gli1 antibody [HL247] - BSA and Azide free (ab289368) at 1/1000000 dilution

Lane 1:

Non-transfected 293T whole cell extract at 30 µg

Lane 2:

DDDDK-tag tagged, GLI1 transfected 293T whole cell extract at 30 µg

Secondary

All lanes:

HRP-conjugated anti-rabbit IgG antibody

Predicted band size: 118 kDa

false

Key facts

Host species

Rabbit

Clonality

Monoclonal

Clone number

HL247

Isotype

IgG

Carrier free

Yes

Reacts with

Mouse, Human, Rat

Applications

ICC/IF, WB, IHC-P

applications

Immunogen

Synthetic Peptide within Mouse Gli1. The exact immunogen used to generate this antibody is proprietary information.

P47806

Reactivity data

{ "title": "Reactivity Data", "filters": { "stats": ["", "Species", "Dilution Info", "Notes"], "tabs": { "all-applications": {"fullname" : "All Applications", "shortname": "All Applications"}, "WB" : {"fullname" : "Western blot", "shortname":"WB"}, "IHCP" : {"fullname" : "Immunohistochemistry (Formalin/PFA-fixed paraffin-embedded sections)", "shortname":"IHC-P"}, "ICCIF" : {"fullname" : "Immunocytochemistry/ Immunofluorescence", "shortname":"ICC/IF"} }, "product-promise": { "all": "all", "testedAndGuaranteed": "tested", "guaranteed": "expected", "predicted": "predicted", "notRecommended": "not-recommended" } }, "values": { "Human": { "WB-species-checked": "testedAndGuaranteed", "WB-species-dilution-info": "1/500 - 1/3000", "WB-species-notes": "<p></p>", "IHCP-species-checked": "guaranteed", "IHCP-species-dilution-info": "", "IHCP-species-notes": "", "ICCIF-species-checked": "testedAndGuaranteed", "ICCIF-species-dilution-info": "", "ICCIF-species-notes": "<p></p>" }, "Mouse": { "WB-species-checked": "guaranteed", "WB-species-dilution-info": "", "WB-species-notes": "", "IHCP-species-checked": "testedAndGuaranteed", "IHCP-species-dilution-info": "1/50", "IHCP-species-notes": "<p></p>", "ICCIF-species-checked": "guaranteed", "ICCIF-species-dilution-info": "", "ICCIF-species-notes": "" }, "Rat": { "WB-species-checked": "guaranteed", "WB-species-dilution-info": "", "WB-species-notes": "", "IHCP-species-checked": "testedAndGuaranteed", "IHCP-species-dilution-info": "1/50", "IHCP-species-notes": "<p></p>", "ICCIF-species-checked": "guaranteed", "ICCIF-species-dilution-info": "", "ICCIF-species-notes": "" }, "Transfected cell lysate - Human": { "WB-species-checked": "testedAndGuaranteed", "WB-species-dilution-info": "1/500 - 1/3000", "WB-species-notes": "<p></p>", "IHCP-species-checked": "notRecommended", "IHCP-species-dilution-info": "", "IHCP-species-notes": "", "ICCIF-species-checked": "notRecommended", "ICCIF-species-dilution-info": "", "ICCIF-species-notes": "" } } }

Product details

What are the advantages of a recombinant monoclonal antibody?
This product is a recombinant monoclonal antibody, which offers several advantages including:

  • - High batch-to-batch consistency and reproducibility
  • - Improved sensitivity and specificity
  • - Long-term security of supply
  • - Animal-free batch production

For more information, read more on recombinant antibodies.

Conjugation ready
Our carrier-free antibodies are typically supplied in a PBS-only formulation, purified and free of BSA, sodium azide and glycerol. This conjugation-ready format is designed for use with fluorochromes, metal isotopes, oligonucleotides, and enzymes, which makes them ideal for antibody labelling, functional and cell-based assays, flow-based assays (e.g. mass cytometry) and Multiplex Imaging applications.

Use our conjugation kits for antibody conjugates that are ready-to-use in as little as 20 minutes with 1 minute hands-on-time and 100% antibody recovery: available for fluorescent dyes, HRP, biotin and gold.

Properties and storage information

Form
Liquid
Purification technique
Affinity purification Protein A
Storage buffer
pH: 7.4 Constituents: 100% PBS
Shipped at conditions
Blue Ice
Appropriate short-term storage conditions
+4°C
Appropriate long-term storage conditions
+4°C

Supplementary information

This supplementary information is collated from multiple sources and compiled automatically.

The Gli1 protein also known as GLI family zinc finger 1 acts mechanically as a transcription factor influencing gene expression. It comprises five C2H2-type zinc fingers enabling specific DNA binding activities. Gli1 has a molecular weight of approximately 118 kDa. Expression occurs prominently in skin brain and bone tissues. As an important effector in the Hedgehog (Hh) signaling pathway Gli1 transmits signals from the cell membrane to the nucleus.
Biological function summary

Gli1 functions to regulate cellular proliferation differentiation and survival. As part of the Gli protein family Gli1 operates in concert with other members such as Gli2 and Gli3 though it lacks significant repressor activity unlike some of its counterparts. It acts prominently in developmental processes controlling the expression of genes critical for embryogenesis. Gli1 also maintains stem cell populations and sustains tissue homeostasis in adults particularly in contexts where rapid cell division is necessary like wound healing.

Pathways

Gli1 plays a substantial role in the Hedgehog signaling pathway and interacts dynamically with this system. It receives upstream activation from the Smoothened protein which conveys signals in response to Hedgehog ligand availability. Additionally the Gli1 pathway overlaps with WNT signaling during various developmental stages. Through these interactions Gli1 coordinates tightly with other proteins to effect changes in target gene transcription that influence cell fate decisions.

Aberrant Gli1 activity associates strongly with certain cancers such as basal cell carcinoma and medulloblastoma. Persistent activation of the Hedgehog pathway often due to mutations in related proteins like Patched or Smoothened leads to excessive Gli1 activation and subsequent tumorigenesis. Beyond oncology Gli1's dysregulation also connects with congenital disorders such as Gorlin syndrome. Here mutations influence a broad network of genes that often include members of the Gli family causing developmental anomalies.

Product protocols

For this product, it's our understanding that no specific protocols are required. You can visit:

Target data

Acts as a transcriptional activator (PubMed : 10806483, PubMed : 19706761, PubMed : 19878745, PubMed : 24076122, PubMed : 24217340, PubMed : 24311597). Binds to the DNA consensus sequence 5'-GACCACCCA-3' (PubMed : 2105456, PubMed : 24217340, PubMed : 8378770). Regulates the transcription of specific genes during normal development (PubMed : 19706761). Plays a role in craniofacial development and digital development, as well as development of the central nervous system and gastrointestinal tract. Mediates SHH signaling (PubMed : 19706761, PubMed : 28973407). Plays a role in cell proliferation and differentiation via its role in SHH signaling (PubMed : 11238441, PubMed : 28973407).. Isoform 2. Acts as a transcriptional activator, but activates a different set of genes than isoform 1. Activates expression of CD24, unlike isoform 1. Mediates SHH signaling. Promotes cancer cell migration.
See full target information GLI1

Publications (2)

Recent publications for all applications. Explore the full list and refine your search

Balkan medical journal 42:440-451 PubMed40888349

2025

Inhibition of PI3K and Hedgehog Signaling Pathway Inhibits Hypoxia-Induced Vasculogenic Mimicry Formation in Ovarian Cancer Stem Cells.

Applications

Unspecified application

Species

Unspecified reactive species

Jun Liang,Yun Bai,Huan Zhao

BMC cancer 23:1110 PubMed37964226

2023

The immunoreactivity of GLI1 and VEGFA is a potential prognostic factor in kidney renal clear cell carcinoma.

Applications

Unspecified application

Species

Unspecified reactive species

Anna Kotulak-Chrzaszcz,Jacek Kiezun,Mateusz Czajkowski,Marcin Matuszewski,Jakub Klacz,Bartlomiej E Krazinski,Janusz Godlewski,Zbigniew Kmiec,Piotr M Wierzbicki
View all publications

Product promise

We are committed to supporting your work with high-quality reagents, and we're here for you every step of the way. In the unlikely event that one of our products does not perform as expected, you're protected by our Product Promise.
For full details, please see our Terms & Conditions

Please note: All products are 'FOR RESEARCH USE ONLY. NOT FOR USE IN DIAGNOSTIC OR THERAPEUTIC PROCEDURES'.

For licensing inquiries, please contact partnerships@abcam.com