JavaScript is disabled in your browser. Please enable JavaScript to view this website.
AB307714

Anti-Gli3 antibody [EPR26837-58]

Be the first to review this product! Submit a review

|

(0 Publication)

Rabbit Recombinant Monoclonal GLI3 antibody. Suitable for WB, IP and reacts with Human, Mouse samples.

View Alternative Names

Transcriptional activator GLI3, GLI3 form of 190 kDa, GLI3 full-length protein, GLI3-190, GLI3FL, Gli3

3 Images
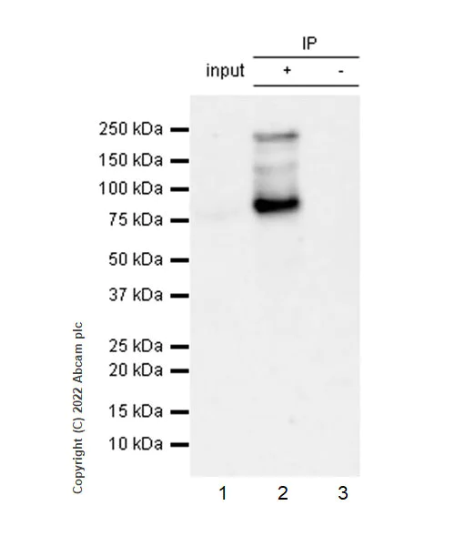
Immunoprecipitation - Anti-Gli3 antibody [EPR26837-58] (AB307714)
  • IP

Supplier Data

Immunoprecipitation - Anti-Gli3 antibody [EPR26837-58] (AB307714)

Gli3 was immunoprecipitated from 0.35 mg NIH/3T3 whole cell lysate with ab307714 at 1/30 dilution (2ug in 0.35mg lysates). Western blot was performed on the immunoprecipitate using ab307714 at 1/1000 dilution. VeriBlot for IP secondary antibody(HRP)(ab131366) was used at 1/5000 dilution. Lane 1 : NIH/3T3 (mouse embryonic fibroblast) whole cell lysate Lane 2 : ab307714 IP in NIH/3T3 whole cell lysate Lane 3 : Rabbit monoclonal IgG (ab172730) instead of ab307714 in NIH/3T3 whole cell lysate Blocking and dilution buffer and concentration : 5% NFDM/TBST. Exposure time : 32 seconds The lysate was freshly made and used for IP immediately to minimize protein degradation.

All lanes:

Immunoprecipitation - Anti-Gli3 antibody [EPR26837-58] (ab307714) at 1/30 dilution

Secondary

All lanes:

Immunoprecipitation - VeriBlot for IP Detection Reagent (HRP) (<a href='/en-us/products/reagents/veriblot-for-ip-detection-reagent-hrp-ab131366'>ab131366</a>) at 1/5000 dilution

false

Exposure time: 32s

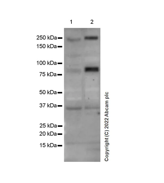
Western blot - Anti-Gli3 antibody [EPR26837-58] (AB307714)
  • WB

Supplier Data

Western blot - Anti-Gli3 antibody [EPR26837-58] (AB307714)

Blocking and diluting buffer and concentration : 5% NFDM/TBST This antibody can detect the GLI3 full-length protein (190 kDa) and GLI3 C-terminally truncated form (83 kDa), which is consistent with that described in the literature (PMID : 20360384; PMID : 31554934). Lysates were freshly made and used for Western blotting immediately to minimize protein degradation. Exposure time : 180 seconds

All lanes:

Western blot - Anti-Gli3 antibody [EPR26837-58] (ab307714) at 1/1000 dilution

Lane 1:

HeLa (human cervical adenocarcinoma epithelial cell) whole cell lysate at 20 µg

Lane 2:

293T (human embryonic kidney epithelial cell) whole cell lysate at 20 µg

Secondary

All lanes:

Western blot - Goat Anti-Rabbit IgG H&L (HRP) (<a href='/en-us/products/secondary-antibodies/goat-rabbit-igg-h-l-hrp-ab97051'>ab97051</a>) at 1/100000 dilution

Observed band size: 83 kDa,190 kDa

false

Exposure time: 180s

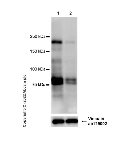
Western blot - Anti-Gli3 antibody [EPR26837-58] (AB307714)
  • WB

Supplier Data

Western blot - Anti-Gli3 antibody [EPR26837-58] (AB307714)

Blocking and diluting buffer and concentration : 5% NFDM/TBST.

This antibody can detect the GLI3 full-length protein (190 kDa) and GLI3 C-terminally truncated form (83 kDa), which is consistent with that described in the literature (PMID : 20360384; PMID : 31554934).

Lysates were freshly made and used for Western blotting immediately to minimize protein degradation.

This blot was developed using a high sensitivity ECL substrate. The high-sensitivity ECL substrate used allows for the detection of proteins in the mid-femtogram range.

In Western blot, anti- Vinculin antibody (ab129002) loading control staining at 1/10000 dilution.

All lanes:

Western blot - Anti-Gli3 antibody [EPR26837-58] (ab307714) at 1/1000 dilution

Lane 1:

NIH/3T3 (mouse embryonic fibroblast) transfected with scrambled siRNA control whole cell lysate at 50 µg

Lane 2:

NIH/3T3 transfected with siRNA specifically targeti GLI3 whole cell lysate at 50 µg

Secondary

All lanes:

Western blot - Goat Anti-Rabbit IgG H&L (HRP) (<a href='/en-us/products/secondary-antibodies/goat-rabbit-igg-h-l-hrp-ab97051'>ab97051</a>) at 1/20000 dilution

Observed band size: 83 kDa,190 kDa

true

Exposure time: 48s

  • Carrier free

    Anti-Gli3 antibody [EPR26837-58] - BSA and Azide free

Key facts

Host species

Rabbit

Clonality

Monoclonal

Clone number

EPR26837-58

Isotype

IgG

Carrier free

No

Reacts with

Human, Mouse

Applications

WB, IP

applications

Immunogen

The exact immunogen used to generate this antibody is proprietary information.

Reactivity data

{ "title": "Reactivity Data", "filters": { "stats": ["", "Species", "Dilution Info", "Notes"], "tabs": { "all-applications": {"fullname" : "All Applications", "shortname": "All Applications"}, "WB" : {"fullname" : "Western blot", "shortname":"WB"}, "IP" : {"fullname" : "Immunoprecipitation", "shortname":"IP"}, "IHCP" : {"fullname" : "Immunohistochemistry (Formalin/PFA-fixed paraffin-embedded sections)", "shortname":"IHC-P"}, "IHCFr" : {"fullname" : "Immunohistochemistry (Frozen sections)", "shortname":"IHC-Fr"}, "ICCIF" : {"fullname" : "Immunocytochemistry/ Immunofluorescence", "shortname":"ICC/IF"} }, "product-promise": { "all": "all", "testedAndGuaranteed": "tested", "guaranteed": "expected", "predicted": "predicted", "notRecommended": "not-recommended" } }, "values": { "Human": { "WB-species-checked": "testedAndGuaranteed", "WB-species-dilution-info": "1/1000", "WB-species-notes": "<p></p>", "IP-species-checked": "guaranteed", "IP-species-dilution-info": "", "IP-species-notes": "", "IHCP-species-checked": "notRecommended", "IHCP-species-dilution-info": "", "IHCP-species-notes": "<p></p>", "IHCFr-species-checked": "notRecommended", "IHCFr-species-dilution-info": "", "IHCFr-species-notes": "", "ICCIF-species-checked": "notRecommended", "ICCIF-species-dilution-info": "", "ICCIF-species-notes": "" }, "Mouse": { "WB-species-checked": "testedAndGuaranteed", "WB-species-dilution-info": "1/1000", "WB-species-notes": "<p></p>", "IP-species-checked": "testedAndGuaranteed", "IP-species-dilution-info": "1/30", "IP-species-notes": "<p></p>", "IHCP-species-checked": "notRecommended", "IHCP-species-dilution-info": "", "IHCP-species-notes": "<p></p>", "IHCFr-species-checked": "notRecommended", "IHCFr-species-dilution-info": "", "IHCFr-species-notes": "<p></p>", "ICCIF-species-checked": "notRecommended", "ICCIF-species-dilution-info": "", "ICCIF-species-notes": "<p></p>" }, "Rat": { "WB-species-checked": "notRecommended", "WB-species-dilution-info": "1/1000", "WB-species-notes": "<p></p>", "IP-species-checked": "notRecommended", "IP-species-dilution-info": "", "IP-species-notes": "", "IHCP-species-checked": "notRecommended", "IHCP-species-dilution-info": "", "IHCP-species-notes": "<p></p>", "IHCFr-species-checked": "notRecommended", "IHCFr-species-dilution-info": "", "IHCFr-species-notes": "", "ICCIF-species-checked": "notRecommended", "ICCIF-species-dilution-info": "", "ICCIF-species-notes": "" } } }

Product details

Patented technology
Our RabMAb® technology is a patented hybridoma-based technology for making rabbit monoclonal antibodies. For details on our patents, please refer to RabMAb® patents.

What are the advantages of a recombinant monoclonal antibody?
This product is a recombinant monoclonal antibody, which offers several advantages including:

  • - High batch-to-batch consistency and reproducibility
  • - Improved sensitivity and specificity
  • - Long-term security of supply
  • - Animal-free batch production

For more information, read more on recombinant antibodies.

Properties and storage information

Form
Liquid
Purification technique
Affinity purification Protein A
Storage buffer
pH: 7.2 - 7.4 Preservative: 0.01% Sodium azide Constituents: PBS, 40% Glycerol (glycerin, glycerine), 0.05% BSA
Shipped at conditions
Blue Ice
Appropriate short-term storage duration
1-2 weeks
Appropriate short-term storage conditions
+4°C
Appropriate long-term storage conditions
-20°C
Aliquoting information
Upon delivery aliquot
Storage information
Avoid freeze / thaw cycle

Supplementary information

This supplementary information is collated from multiple sources and compiled automatically.

Gli3 also known as GLI Family Zinc Finger 3 is a transcription factor that plays a significant role in the Hedgehog signaling pathway. Gli3 functions as both an activator and a repressor depending on its post-translational modification state. It has a molecular mass of approximately 172 kDa. Mainly expressed in the limb buds central nervous system and other embryonic tissues Gli3 influences the development of various structures during embryogenesis.
Biological function summary

Gli3 is essential for proper organ and tissue development. It associates with other proteins including the Suppressor of Fused (SUFU) to form complexes that regulate target gene expression. Gli3 interacts with GLI1 and GLI2 all of which are part of the Gli family of transcription factors. These interactions modulate various developmental processes by controlling target gene transcription ensuring tissues develop correctly.

Pathways

Gli3 is an important player in the Hedgehog signaling pathway and also impacts a secondary pathway the Wnt signaling pathway. Gli3 acts in coordination with the Sonic Hedgehog (SHH) protein regulating developmental gene expression. SHH binds to the Patched receptor affecting Gli3's function as a transcriptional repressor or activator. By these pathways Gli3 ensures proper cellular communication and structural formation.

Mutations or dysregulation of Gli3 are connected to two major conditions: Pallister-Hall Syndrome and Greig Cephalopolysyndactyly Syndrome. Both conditions involve limb malformations and other developmental defects due to abnormal GLI3 function. Furthermore Gli3 dysregulation links to abnormal activity of SUFU and GLI2 contributing to the pathogenesis of these syndromes. Understanding these interactions can provide critical insights into therapeutic strategies for related disorders.

Product protocols

For this product, it's our understanding that no specific protocols are required. You can visit:

Target data

Has a dual function as a transcriptional activator and a repressor of the sonic hedgehog (Shh) pathway, and plays a role in limb development. The full-length GLI3 form (GLI3FL) after phosphorylation and nuclear translocation, acts as an activator (GLI3A) while GLI3R, its C-terminally truncated form, acts as a repressor. A proper balance between the GLI3 activator and the repressor GLI3R, rather than the repressor gradient itself or the activator/repressor ratio gradient, specifies limb digit number and identity. In concert with TRPS1, plays a role in regulating the size of the zone of distal chondrocytes, in restricting the zone of PTHLH expression in distal cells and in activating chondrocyte proliferation. Binds to the minimal GLI-consensus sequence 5'-GGGTGGTC-3'.
See full target information Gli3

Product promise

We are committed to supporting your work with high-quality reagents, and we're here for you every step of the way. In the unlikely event that one of our products does not perform as expected, you're protected by our Product Promise.
For full details, please see our Terms & Conditions

Please note: All products are 'FOR RESEARCH USE ONLY. NOT FOR USE IN DIAGNOSTIC OR THERAPEUTIC PROCEDURES'.

For licensing inquiries, please contact partnerships@abcam.com