JavaScript is disabled in your browser. Please enable JavaScript to view this website.
AB203121

Anti-GLIS3 antibody

Be the first to review this product! Submit a review

|

(1 Publication)

Rabbit Polyclonal GLIS3 antibody. Suitable for IHC-P and reacts with Rat, Human samples. Cited in 1 publication. Immunogen corresponding to Synthetic Peptide within Human GLIS3 aa 100-200 conjugated to Keyhole Limpet Haemocyanin.

View Alternative Names

ZNF515, GLIS3, Zinc finger protein GLIS3, GLI-similar 3, Zinc finger protein 515

2 Images
Immunohistochemistry (Formalin/PFA-fixed paraffin-embedded sections) - Anti-GLIS3 antibody (AB203121)
  • IHC-P

Supplier Data

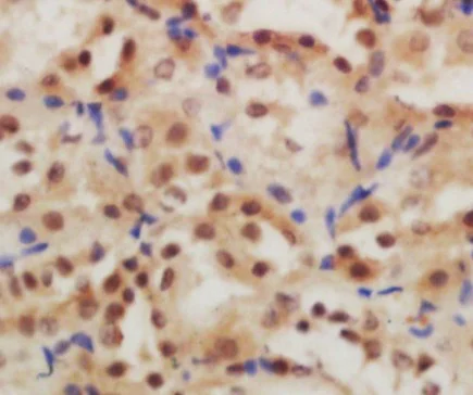
Immunohistochemistry (Formalin/PFA-fixed paraffin-embedded sections) - Anti-GLIS3 antibody (AB203121)

Immunohistochemical analysis of formalin-fixed, paraffin-embedded Human kidney tissue labeling GLIS3 with ab203121 at 1/200 dilution, followed by conjugation to the secondary antibody and DAB staining.

Immunohistochemistry (Formalin/PFA-fixed paraffin-embedded sections) - Anti-GLIS3 antibody (AB203121)
  • IHC-P

Supplier Data

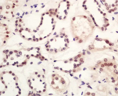
Immunohistochemistry (Formalin/PFA-fixed paraffin-embedded sections) - Anti-GLIS3 antibody (AB203121)

Immunohistochemical analysis of formalin-fixed, paraffin-embedded rat kidney tissue labeling GLIS3 with ab203121 at 1/200 dilution, followed by conjugation to the secondary antibody and DAB staining.

Key facts

Host species

Rabbit

Clonality

Polyclonal

Isotype

IgG

Carrier free

No

Reacts with

Rat, Human

Applications

IHC-P

applications

Immunogen

Synthetic Peptide within Human GLIS3 aa 100-200 conjugated to Keyhole Limpet Haemocyanin. The exact immunogen used to generate this antibody is proprietary information.

Q8NEA6

Reactivity data

{ "title": "Reactivity Data", "filters": { "stats": ["", "Species", "Dilution Info", "Notes"], "tabs": { "all-applications": {"fullname" : "All Applications", "shortname": "All Applications"}, "IHCP" : {"fullname" : "Immunohistochemistry (Formalin/PFA-fixed paraffin-embedded sections)", "shortname":"IHC-P"} }, "product-promise": { "all": "all", "testedAndGuaranteed": "tested", "guaranteed": "expected", "predicted": "predicted", "notRecommended": "not-recommended" } }, "values": { "Human": { "IHCP-species-checked": "testedAndGuaranteed", "IHCP-species-dilution-info": "1/100 - 1/500", "IHCP-species-notes": "<p>(or 1/50 - 1/200 using a fluorescent secondary antibody).</p>" }, "Rat": { "IHCP-species-checked": "testedAndGuaranteed", "IHCP-species-dilution-info": "1/100 - 1/500", "IHCP-species-notes": "<p>(or 1/50 - 1/200 using a fluorescent secondary antibody).</p>" } } }

Properties and storage information

Form
Liquid
Purification technique
Affinity purification Protein A
Storage buffer
pH: 7.4 Preservative: 0.02% Proclin 300 Constituents: 50% Glycerol (glycerin, glycerine), 48.98% TBS, 1X, 1% BSA
Shipped at conditions
Blue Ice
Appropriate short-term storage duration
1-2 weeks
Appropriate short-term storage conditions
+4°C
Appropriate long-term storage conditions
-20°C
Aliquoting information
Upon delivery aliquot
Storage information
Avoid freeze / thaw cycle

Supplementary information

This supplementary information is collated from multiple sources and compiled automatically.

GLIS3 also known as GLIS family zinc finger 3 is a transcription factor with important roles in gene expression regulation. GLIS3 has a molecular mass of approximately 93 kDa. This protein is expressed in multiple tissues including the pancreas thyroid and kidney. GLIS3 contains five Kruppel-like zinc finger domains that facilitate its ability to bind to DNA and mediate transcriptional regulation.
Biological function summary

GLIS3 influences various cellular processes most notably those related to pancreatic function and insulin production. It acts as part of a transcriptional complex that modulates the expression of genes critical for beta-cell development and function. This action establishes its important role in maintaining glucose homeostasis. By binding to specific DNA sites GLIS3 regulates genes involved in producing insulin and maintaining proper endocrine pancreas function.

Pathways

GLIS3 plays integral roles in the insulin signaling and glucose metabolism pathways. It interacts with proteins such as PDX1 and NEUROD1 both of which are essential for beta-cell development and insulin gene expression. The involvement of GLIS3 in these pathways highlights its importance in glucose regulation and metabolic balance within the body.

GLIS3 has significant links with neonatal diabetes and hypothyroidism. Mutations in the GLIS3 gene can lead to congenital hypothyroidism by disrupting thyroid hormone production and regulation. Moreover GLIS3's influence on insulin production and pancreatic beta-cell function implicates it in neonatal diabetes development. Its interaction with other proteins like NEUROD1 and PDX1 further establishes its association with these metabolic and endocrine disorders.

Product protocols

For this product, it's our understanding that no specific protocols are required. You can visit:

Target data

Acts both as a repressor and an activator of transcription. Binds to the consensus sequence 5'-GACCACCCAC-3' (By similarity).
See full target information GLIS3

Publications (1)

Recent publications for all applications. Explore the full list and refine your search

International journal of cancer 146:192-207 PubMed31107974

2019

Wnt/IL-1β/IL-8 autocrine circuitries control chemoresistance in mesothelioma initiating cells by inducing ABCB5.

Applications

Unspecified application

Species

Unspecified reactive species

Vladan Milosevic,Joanna Kopecka,Iris C Salaroglio,Roberta Libener,Francesca Napoli,Stefania Izzo,Sara Orecchia,Preeta Ananthanarayanan,Paolo Bironzo,Federica Grosso,Fabrizio Tabbò,Valentina Comunanza,Teodora Alexa-Stratulat,Federico Bussolino,Luisella Righi,Silvia Novello,Giorgio V Scagliotti,Chiara Riganti
View all publications

Product promise

We are committed to supporting your work with high-quality reagents, and we're here for you every step of the way. In the unlikely event that one of our products does not perform as expected, you're protected by our Product Promise.
For full details, please see our Terms & Conditions

Please note: All products are 'FOR RESEARCH USE ONLY. NOT FOR USE IN DIAGNOSTIC OR THERAPEUTIC PROCEDURES'.

For licensing inquiries, please contact partnerships@abcam.com