JavaScript is disabled in your browser. Please enable JavaScript to view this website.
AB36598

Anti-GLP-1 antibody [1B7B4]

Be the first to review this product! Submit a review

|

(3 Publications)

Mouse Monoclonal GLP-1 antibody. Suitable for IHC-P, WB and reacts with Human, Recombinant fragment - Human samples. Cited in 3 publications. Immunogen corresponding to Recombinant Fragment Protein within Human GCG.

View Alternative Names

Pro-glucagon, GCG

2 Images
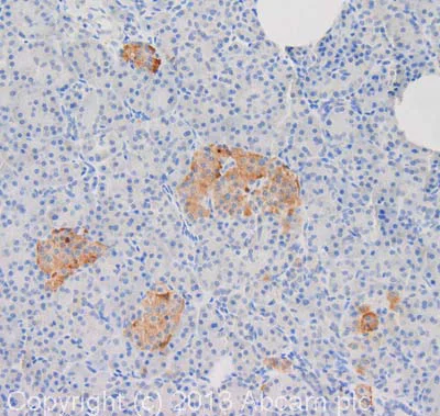
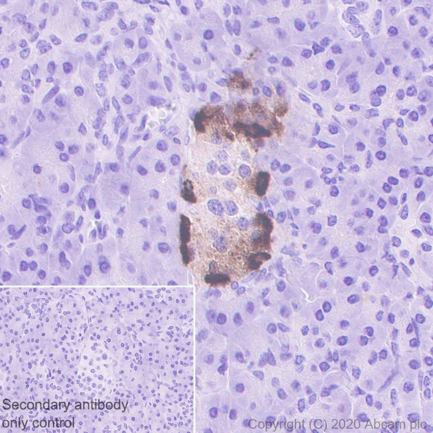
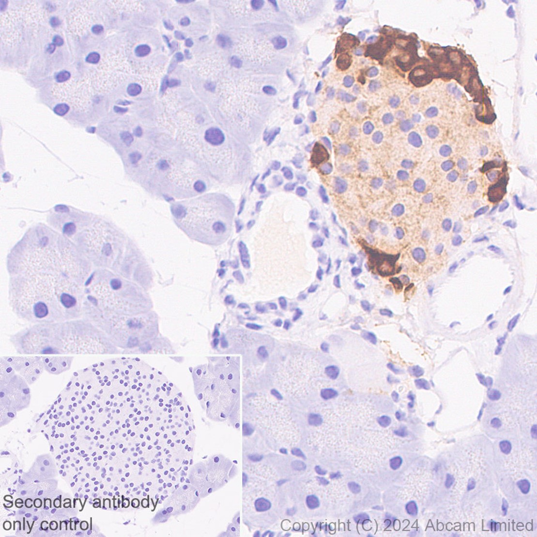
Immunohistochemistry (Formalin/PFA-fixed paraffin-embedded sections) - Anti-GLP-1 antibody [1B7B4] (AB36598)
  • IHC-P

Lab

Immunohistochemistry (Formalin/PFA-fixed paraffin-embedded sections) - Anti-GLP-1 antibody [1B7B4] (AB36598)

IHC image of GLP-1 staining in Human Pancreas formalin fixed paraffin embedded tissue section, performed on a Leica Bond system using the standard protocol F. The section was pre-treated using heat mediated antigen retrieval with sodium citrate buffer (pH6, epitope retrieval solution 1) for 20 mins. The section was then incubated with ab36598, 5μg/ml, for 15 mins at room temperature and detected using an HRP conjugated compact polymer system. DAB was used as the chromogen. The section was then counterstained with haematoxylin and mounted with DPX.

Western blot - Anti-GLP-1 antibody [1B7B4] (AB36598)
  • WB

Unknown

Western blot - Anti-GLP-1 antibody [1B7B4] (AB36598)

All lanes:

Western blot - Anti-GLP-1 antibody [1B7B4] (ab36598)

All lanes:

Truncated GLP-1 recombinant protein with Truncated GLP-1 recombinant protein

Predicted band size: 21 kDa

Observed band size: 20 kDa

false

Key facts

Host species

Mouse

Clonality

Monoclonal

Clone number

1B7B4

Isotype

IgG1

Carrier free

No

Reacts with

Human

Applications

WB, IHC-P

applications

Immunogen

Recombinant Fragment Protein within Human GCG. The exact immunogen used to generate this antibody is proprietary information.

P01275

Reactivity data

{ "title": "Reactivity Data", "filters": { "stats": ["", "Species", "Dilution Info", "Notes"], "tabs": { "all-applications": {"fullname" : "All Applications", "shortname": "All Applications"}, "IHCP" : {"fullname" : "Immunohistochemistry (Formalin/PFA-fixed paraffin-embedded sections)", "shortname":"IHC-P"}, "WB" : {"fullname" : "Western blot", "shortname":"WB"} }, "product-promise": { "all": "all", "testedAndGuaranteed": "tested", "guaranteed": "expected", "predicted": "predicted", "notRecommended": "not-recommended" } }, "values": { "Human": { "IHCP-species-checked": "testedAndGuaranteed", "IHCP-species-dilution-info": "5 µg/mL", "IHCP-species-notes": "<p></p> Perform heat-mediated antigen retrieval with citrate buffer pH 6 before commencing with IHC staining protocol.", "WB-species-checked": "guaranteed", "WB-species-dilution-info": "", "WB-species-notes": "" }, "Recombinant fragment - Human": { "IHCP-species-checked": "notRecommended", "IHCP-species-dilution-info": "", "IHCP-species-notes": "", "WB-species-checked": "testedAndGuaranteed", "WB-species-dilution-info": "1/500 - 1/2000", "WB-species-notes": "<p></p>" } } }

Product details

This product was changed from ascites to supernatant. Lot no's high than GR286968-1 are from Tissue Culture Supernatant

Properties and storage information

Form
Liquid
Purification technique
Affinity purification Protein G
Purification notes
Purified from tissue culture supernatant.
Storage buffer
Preservative: 0.05% Sodium azide Constituents: PBS
Shipped at conditions
Blue Ice
Appropriate short-term storage conditions
+4°C
Appropriate long-term storage conditions
-20°C
Aliquoting information
Upon delivery aliquot
Storage information
Avoid freeze / thaw cycle

Supplementary information

This supplementary information is collated from multiple sources and compiled automatically.

GLP-1 also known as glucagon-like peptide-1 is a 30 or 31 amino acid peptide with a mass of approximately 3.3 kDa. This peptide is mainly secreted by intestinal L-cells and the CNS. It enhances the secretion of insulin in response to glucose making it an important regulator of blood sugar levels. GLP-1 is degraded by dipeptidyl peptidase-4 which rapidly reduces its activity. Researchers often target GLP-1 in studies aimed at understanding metabolic processes and developing therapeutic interventions.
Biological function summary

GLP-1 influences several physiological functions by acting on its receptor GLP-1R a G-protein coupled receptor. It is not part of a complex but exerts its effects through binding to this receptor. Activation of GLP-1R promotes insulin secretion suppresses glucagon release slows gastric emptying and promotes satiety. This makes GLP-1 an important regulator in energy homeostasis and nutrient absorption. Its effects on appetite and food intake are of particular interest in obesity research.

Pathways

GLP-1 is an essential component of the incretin pathway which regulates insulin secretion in response to food intake. The interaction between GLP-1 and the GLP-1 receptor activates the adenylate cyclase pathway leading to increased cAMP and PKA signaling in pancreatic beta-cells. This chain of events enhances the insulin-secreting ability of these cells. Furthermore GLP-1 has connections with proteins such as insulin and glucagon through its regulatory functions in glucose metabolism.

GLP-1 is highly relevant to type 2 diabetes and obesity. Its ability to enhance insulin secretion and promote weight loss has made it a target for drug development in the treatment of these conditions. Antidiabetic medications including GLP-1 receptor agonists exploit this mechanism to control blood sugar levels effectively. Additionally GLP-1's connection to insulin makes it a significant focus in diabetes research as imbalances in these proteins contribute to the disease pathology.

Product protocols

For this product, it's our understanding that no specific protocols are required. You can visit:

Target data

Glucagon. Plays a key role in glucose metabolism and homeostasis. Regulates blood glucose by increasing gluconeogenesis and decreasing glycolysis. A counterregulatory hormone of insulin, raises plasma glucose levels in response to insulin-induced hypoglycemia. Plays an important role in initiating and maintaining hyperglycemic conditions in diabetes.. Glucagon-like peptide 1. Potent stimulator of glucose-dependent insulin release. Also stimulates insulin release in response to IL6 (PubMed : 22037645). Plays important roles on gastric motility and the suppression of plasma glucagon levels. May be involved in the suppression of satiety and stimulation of glucose disposal in peripheral tissues, independent of the actions of insulin. Has growth-promoting activities on intestinal epithelium. May also regulate the hypothalamic pituitary axis (HPA) via effects on LH, TSH, CRH, oxytocin, and vasopressin secretion. Increases islet mass through stimulation of islet neogenesis and pancreatic beta cell proliferation. Inhibits beta cell apoptosis (Probable).. Glucagon-like peptide 2. Stimulates intestinal growth and up-regulates villus height in the small intestine, concomitant with increased crypt cell proliferation and decreased enterocyte apoptosis. The gastrointestinal tract, from the stomach to the colon is the principal target for GLP-2 action. Plays a key role in nutrient homeostasis, enhancing nutrient assimilation through enhanced gastrointestinal function, as well as increasing nutrient disposal. Stimulates intestinal glucose transport and decreases mucosal permeability.. Oxyntomodulin. Significantly reduces food intake. Inhibits gastric emptying in humans. Suppression of gastric emptying may lead to increased gastric distension, which may contribute to satiety by causing a sensation of fullness.. Glicentin. May modulate gastric acid secretion and the gastro-pyloro-duodenal activity. May play an important role in intestinal mucosal growth in the early period of life.
See full target information GCG

Publications (3)

Recent publications for all applications. Explore the full list and refine your search

Molecular medicine (Cambridge, Mass.) 30:34 PubMed38448811

2024

Hypothalamic POMC neuron-specific knockout of MC4R affects insulin sensitivity by regulating Kir2.1.

Applications

Unspecified application

Species

Unspecified reactive species

Hengru Guo,Ying Xin,Saifei Wang,Xiaoning Zhang,Yanqi Ren,Bo Qiao,Hongjiang Li,Jing Wu,Xiao Hao,Lijun Xu,Yushan Yan,Haohao Zhang

Frontiers in pharmacology 10:256 PubMed30941040

2019

Metabolomics Reveals Effect of Zishen Jiangtang Pill, a Chinese Herbal Product on High-Fat Diet-Induced Type 2 Diabetes Mellitus in Mice.

Applications

Unspecified application

Species

Unspecified reactive species

Jianping Chen,Lin Zheng,Zhaoliu Hu,Fochang Wang,Shiying Huang,Zhonggui Li,Ping Zheng,Shangbin Zhang,Tiegang Yi,Huilin Li

Experimental and therapeutic medicine 13:2558-2564 PubMed28565879

2017

Difference in protective effects of GIP and GLP-1 on endothelial cells according to cyclic adenosine monophosphate response.

Applications

Unspecified application

Species

Unspecified reactive species

Dong-Mee Lim,Keun-Young Park,Won-Min Hwang,Ju-Young Kim,Byung-Joon Kim
View all publications

Product promise

We are committed to supporting your work with high-quality reagents, and we're here for you every step of the way. In the unlikely event that one of our products does not perform as expected, you're protected by our Product Promise.
For full details, please see our Terms & Conditions

Please note: All products are 'FOR RESEARCH USE ONLY. NOT FOR USE IN DIAGNOSTIC OR THERAPEUTIC PROCEDURES'.

For licensing inquiries, please contact partnerships@abcam.com