JavaScript is disabled in your browser. Please enable JavaScript to view this website.
AB247938

Anti-GLP-1 antibody [EPR4042-407] - BSA and Azide free

Be the first to review this product! Submit a review

|

(1 Publication)

Rabbit Recombinant Monoclonal GLP-1 antibody. Carrier free. Suitable for IHC-P, I-ELISA and reacts with Human, Mouse, Rat, Recombinant fragment samples. Cited in 1 publication.

View Alternative Names

Pro-glucagon, GCG

4 Images
Immunohistochemistry (Formalin/PFA-fixed paraffin-embedded sections) - Anti-GLP-1 antibody [EPR4042-407] - BSA and Azide free (AB247938)
  • IHC-P

Unknown

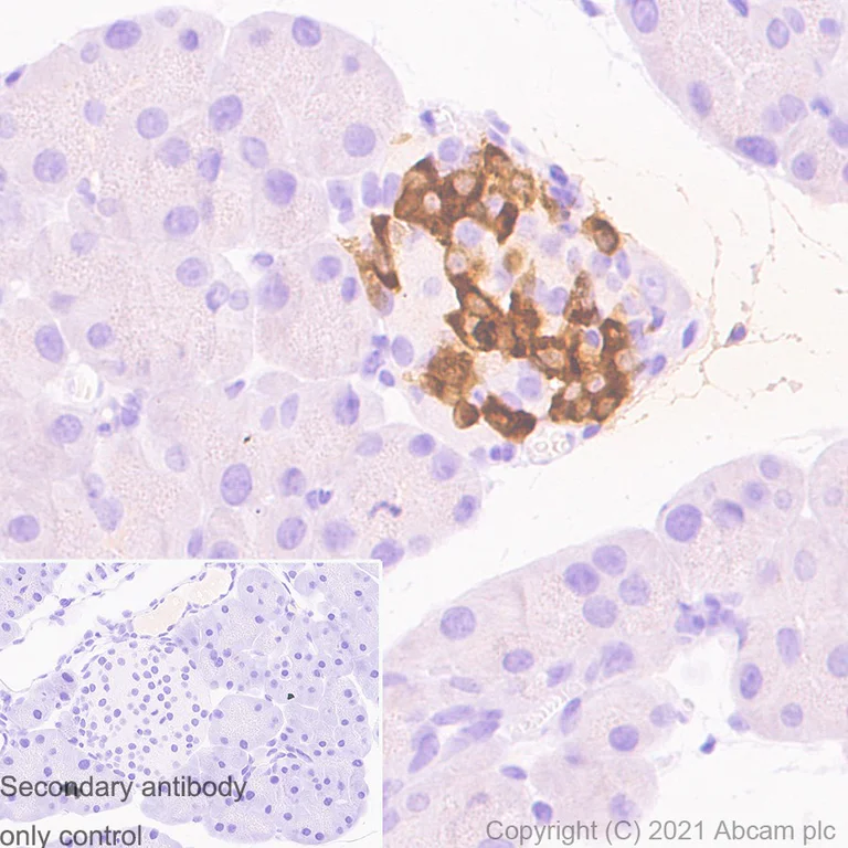
Immunohistochemistry (Formalin/PFA-fixed paraffin-embedded sections) - Anti-GLP-1 antibody [EPR4042-407] - BSA and Azide free (AB247938)

This data was developed using ab111125, the same antibody clone in a different buffer formulation.
Immunohistochemistry (Formalin/PFA-fixed paraffin-embedded sections) analysis of human pancreas tissue sections labeling GLP-1 with purified ab111125 at 1/10000 dilution (0.11 μg/mL). Heat mediated antigen retrieval using Bond™ Epitope Retrieval Solution 2 (pH 9.0). Rabbit specific IHC polymer detection kit HRP/DAB (ab209101) was used as the secondary antibody. Negative control : PBS instead of the primary antibody. Hematoxylin was used as a counterstain.

Immunohistochemistry (Formalin/PFA-fixed paraffin-embedded sections) - Anti-GLP-1 antibody [EPR4042-407] - BSA and Azide free (AB247938)
  • IHC-P

Supplier Data

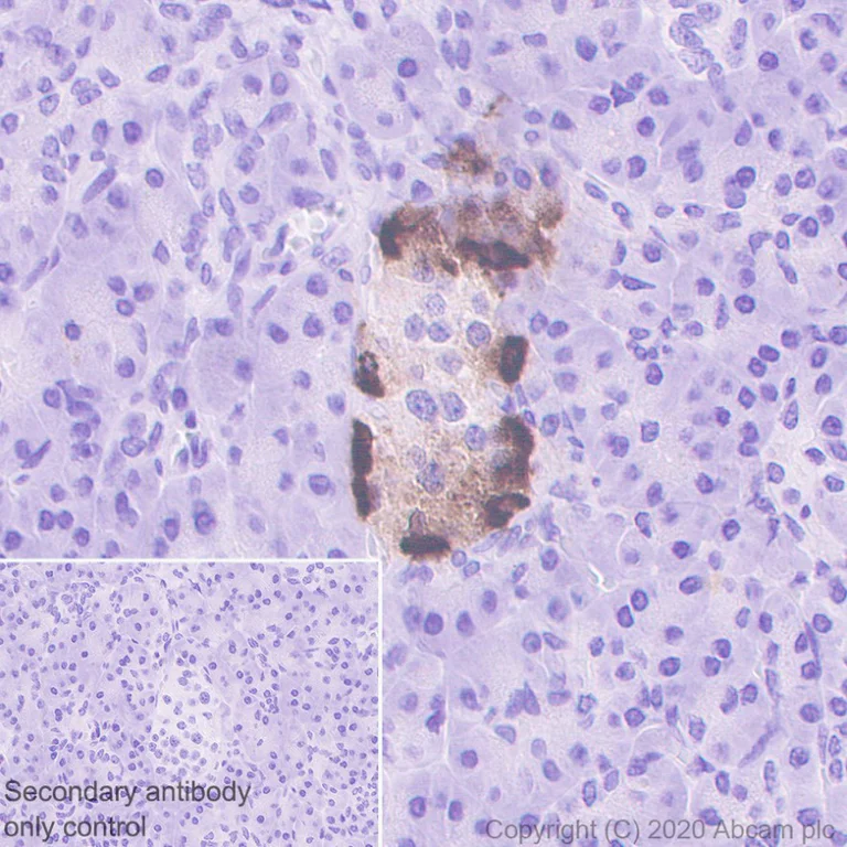
Immunohistochemistry (Formalin/PFA-fixed paraffin-embedded sections) - Anti-GLP-1 antibody [EPR4042-407] - BSA and Azide free (AB247938)

This data was developed using ab111125, the same antibody clone in a different buffer formulation.

Immunohistochemistry (Formalin/PFA-fixed paraffin-embedded sections) analysis of rat pancreas tissue sections labeling GLP-1 with purified ab111125 at 1/10000 dilution (0.03 μg/mL) for 30 mins at room temperature. Rabbit specific IHC polymer detection kit HRP/DAB (ab209101) was used as the secondary antibody. Hematoxylin was used as a counterstain.

Heat mediated antigen retrieval with Tris-EDTA buffer (pH 9.0, epitope retrieval solution2) for 20 mins.

Positive staining on α-cells of the islets of Langerhans in rat pancreas.

The immunostaining was performed on a Leica Biosystems BOND® RX instrument.

Immunohistochemistry (Formalin/PFA-fixed paraffin-embedded sections) - Anti-GLP-1 antibody [EPR4042-407] - BSA and Azide free (AB247938)
  • IHC-P

Supplier Data

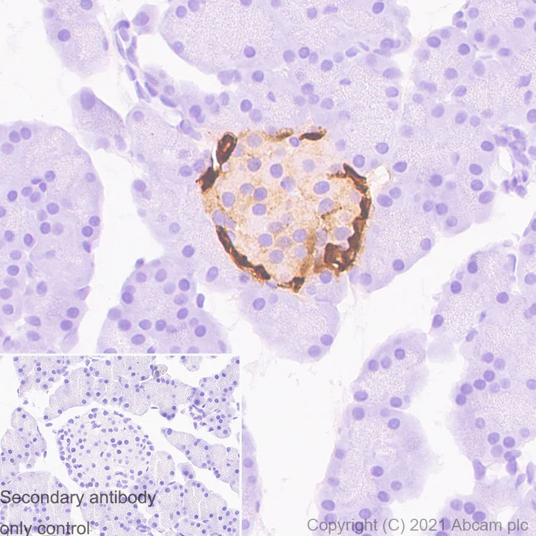
Immunohistochemistry (Formalin/PFA-fixed paraffin-embedded sections) - Anti-GLP-1 antibody [EPR4042-407] - BSA and Azide free (AB247938)

This data was developed using ab111125, the same antibody clone in a different buffer formulation.

Immunohistochemistry (Formalin/PFA-fixed paraffin-embedded sections) analysis of mouse pancreas tissue sections labeling GLP-1 with purified ab111125 at 1/10000 dilution (0.03 μg/mL) for 30 mins at room temperature. Rabbit specific IHC polymer detection kit HRP/DAB (ab209101) was used as the secondary antibody. Hematoxylin was used as a counterstain.

Heat mediated antigen retrieval with Tris-EDTA buffer (pH 9.0, epitope retrieval solution2) for 20 mins.

Positive staining on α-cells of the islets of Langerhans in mouse pancreas.

The immunostaining was performed on a Leica Biosystems BOND® RX instrument.

Indirect ELISA - Anti-GLP-1 antibody [EPR4042-407] - BSA and Azide free (AB247938)
  • I-ELISA

Unknown

Indirect ELISA - Anti-GLP-1 antibody [EPR4042-407] - BSA and Azide free (AB247938)

This data was developed using ab111125, the same antibody clone in a different buffer formulation.

ELISA analysis of recombinant GLP-1 proteins using ab111125. Alkaline Phosphatase-conjugated AffiniPure Goat Anti-Rabbit IgG (H+L) used as the secondary antibody at 1/2500 dilution (0.24 μg/mL).

GLP1(9-36) is the inactive form.

Key facts

Host species

Rabbit

Clonality

Monoclonal

Clone number

EPR4042-407

Isotype

IgG

Carrier free

Yes

Reacts with

Human, Rat, Mouse

Applications

IHC-P, I-ELISA

applications

Immunogen

The exact immunogen used to generate this antibody is proprietary information.

Reactivity data

{ "title": "Reactivity Data", "filters": { "stats": ["", "Species", "Dilution Info", "Notes"], "tabs": { "all-applications": {"fullname" : "All Applications", "shortname": "All Applications"}, "WB" : {"fullname" : "Western blot", "shortname":"WB"}, "IP" : {"fullname" : "Immunoprecipitation", "shortname":"IP"}, "IHCP" : {"fullname" : "Immunohistochemistry (Formalin/PFA-fixed paraffin-embedded sections)", "shortname":"IHC-P"}, "IELISA" : {"fullname" : "Indirect ELISA", "shortname":"I-ELISA"} }, "product-promise": { "all": "all", "testedAndGuaranteed": "tested", "guaranteed": "expected", "predicted": "predicted", "notRecommended": "not-recommended" } }, "values": { "Human": { "WB-species-checked": "notRecommended", "WB-species-dilution-info": "", "WB-species-notes": "<p></p>", "IP-species-checked": "notRecommended", "IP-species-dilution-info": "", "IP-species-notes": "<p></p>", "IHCP-species-checked": "testedAndGuaranteed", "IHCP-species-dilution-info": "", "IHCP-species-notes": "<p>Heat up to 98 degree C, below boiling, and then let cool for 10-20 min.</p>", "IELISA-species-checked": "guaranteed", "IELISA-species-dilution-info": "", "IELISA-species-notes": "" }, "Mouse": { "WB-species-checked": "notRecommended", "WB-species-dilution-info": "", "WB-species-notes": "<p></p>", "IP-species-checked": "notRecommended", "IP-species-dilution-info": "", "IP-species-notes": "<p></p>", "IHCP-species-checked": "testedAndGuaranteed", "IHCP-species-dilution-info": "", "IHCP-species-notes": "<p>Heat up to 98 degree C, below boiling, and then let cool for 10-20 min.</p>", "IELISA-species-checked": "guaranteed", "IELISA-species-dilution-info": "", "IELISA-species-notes": "" }, "Rat": { "WB-species-checked": "notRecommended", "WB-species-dilution-info": "", "WB-species-notes": "<p></p>", "IP-species-checked": "notRecommended", "IP-species-dilution-info": "", "IP-species-notes": "<p></p>", "IHCP-species-checked": "testedAndGuaranteed", "IHCP-species-dilution-info": "", "IHCP-species-notes": "<p>Heat up to 98 degree C, below boiling, and then let cool for 10-20 min.</p>", "IELISA-species-checked": "guaranteed", "IELISA-species-dilution-info": "", "IELISA-species-notes": "" }, "Recombinant fragment": { "WB-species-checked": "notRecommended", "WB-species-dilution-info": "", "WB-species-notes": "", "IP-species-checked": "notRecommended", "IP-species-dilution-info": "", "IP-species-notes": "", "IHCP-species-checked": "notRecommended", "IHCP-species-dilution-info": "", "IHCP-species-notes": "", "IELISA-species-checked": "testedAndGuaranteed", "IELISA-species-dilution-info": "", "IELISA-species-notes": "<p></p>" } } }

Product details

ab247938 is the carrier-free version of ab111125.

Patented technology
Our RabMAb® technology is a patented hybridoma-based technology for making rabbit monoclonal antibodies. For details on our patents, please refer to RabMAb® patents.

What are the advantages of a recombinant monoclonal antibody?
This product is a recombinant monoclonal antibody, which offers several advantages including:

  • - High batch-to-batch consistency and reproducibility
  • - Improved sensitivity and specificity
  • - Long-term security of supply
  • - Animal-free batch production

For more information, read more on recombinant antibodies.

Conjugation ready
Our carrier-free antibodies are typically supplied in a PBS-only formulation, purified and free of BSA, sodium azide and glycerol. This conjugation-ready format is designed for use with fluorochromes, metal isotopes, oligonucleotides, and enzymes, which makes them ideal for antibody labelling, functional and cell-based assays, flow-based assays (e.g. mass cytometry) and Multiplex Imaging applications.

Use our conjugation kits for antibody conjugates that are ready-to-use in as little as 20 minutes with 1 minute hands-on-time and 100% antibody recovery: available for fluorescent dyes, HRP, biotin and gold.

Compatibility
This product is compatible with the Maxpar® Antibody Labeling Kit from Fluidigm, without the need for antibody preparation. Maxpar® is a trademark of Fluidigm Canada Inc.

Properties and storage information

Form
Liquid
Purification technique
Affinity purification Protein A
Storage buffer
pH: 7.2 - 7.4 Constituents: PBS
Shipped at conditions
Blue Ice
Appropriate short-term storage duration
1-2 weeks
Appropriate short-term storage conditions
+4°C
Appropriate long-term storage conditions
+4°C
Aliquoting information
Upon delivery aliquot
Storage information
Avoid freeze / thaw cycle

Supplementary information

This supplementary information is collated from multiple sources and compiled automatically.

GLP-1 also known as glucagon-like peptide-1 is a 30 or 31 amino acid peptide with a mass of approximately 3.3 kDa. This peptide is mainly secreted by intestinal L-cells and the CNS. It enhances the secretion of insulin in response to glucose making it an important regulator of blood sugar levels. GLP-1 is degraded by dipeptidyl peptidase-4 which rapidly reduces its activity. Researchers often target GLP-1 in studies aimed at understanding metabolic processes and developing therapeutic interventions.
Biological function summary

GLP-1 influences several physiological functions by acting on its receptor GLP-1R a G-protein coupled receptor. It is not part of a complex but exerts its effects through binding to this receptor. Activation of GLP-1R promotes insulin secretion suppresses glucagon release slows gastric emptying and promotes satiety. This makes GLP-1 an important regulator in energy homeostasis and nutrient absorption. Its effects on appetite and food intake are of particular interest in obesity research.

Pathways

GLP-1 is an essential component of the incretin pathway which regulates insulin secretion in response to food intake. The interaction between GLP-1 and the GLP-1 receptor activates the adenylate cyclase pathway leading to increased cAMP and PKA signaling in pancreatic beta-cells. This chain of events enhances the insulin-secreting ability of these cells. Furthermore GLP-1 has connections with proteins such as insulin and glucagon through its regulatory functions in glucose metabolism.

GLP-1 is highly relevant to type 2 diabetes and obesity. Its ability to enhance insulin secretion and promote weight loss has made it a target for drug development in the treatment of these conditions. Antidiabetic medications including GLP-1 receptor agonists exploit this mechanism to control blood sugar levels effectively. Additionally GLP-1's connection to insulin makes it a significant focus in diabetes research as imbalances in these proteins contribute to the disease pathology.

Product protocols

For this product, it's our understanding that no specific protocols are required. You can visit:

Target data

Glucagon. Plays a key role in glucose metabolism and homeostasis. Regulates blood glucose by increasing gluconeogenesis and decreasing glycolysis. A counterregulatory hormone of insulin, raises plasma glucose levels in response to insulin-induced hypoglycemia. Plays an important role in initiating and maintaining hyperglycemic conditions in diabetes.. Glucagon-like peptide 1. Potent stimulator of glucose-dependent insulin release. Also stimulates insulin release in response to IL6 (PubMed : 22037645). Plays important roles on gastric motility and the suppression of plasma glucagon levels. May be involved in the suppression of satiety and stimulation of glucose disposal in peripheral tissues, independent of the actions of insulin. Has growth-promoting activities on intestinal epithelium. May also regulate the hypothalamic pituitary axis (HPA) via effects on LH, TSH, CRH, oxytocin, and vasopressin secretion. Increases islet mass through stimulation of islet neogenesis and pancreatic beta cell proliferation. Inhibits beta cell apoptosis (Probable).. Glucagon-like peptide 2. Stimulates intestinal growth and up-regulates villus height in the small intestine, concomitant with increased crypt cell proliferation and decreased enterocyte apoptosis. The gastrointestinal tract, from the stomach to the colon is the principal target for GLP-2 action. Plays a key role in nutrient homeostasis, enhancing nutrient assimilation through enhanced gastrointestinal function, as well as increasing nutrient disposal. Stimulates intestinal glucose transport and decreases mucosal permeability.. Oxyntomodulin. Significantly reduces food intake. Inhibits gastric emptying in humans. Suppression of gastric emptying may lead to increased gastric distension, which may contribute to satiety by causing a sensation of fullness.. Glicentin. May modulate gastric acid secretion and the gastro-pyloro-duodenal activity. May play an important role in intestinal mucosal growth in the early period of life.
See full target information GCG

Publications (1)

Recent publications for all applications. Explore the full list and refine your search

Artificial cells, nanomedicine, and biotechnology 48:498-505 PubMed32013579

2020

Long non-coding RNA NKILA weakens TNF-α-induced inflammation of MRC-5 cells by miR-21 up-regulation.

Applications

Unspecified application

Species

Unspecified reactive species

Dandan Wang,Jiajie Zhang,Yan Sun,Nan Lv,Jianwei Sun
View all publications

Product promise

We are committed to supporting your work with high-quality reagents, and we're here for you every step of the way. In the unlikely event that one of our products does not perform as expected, you're protected by our Product Promise.
For full details, please see our Terms & Conditions

Please note: All products are 'FOR RESEARCH USE ONLY. NOT FOR USE IN DIAGNOSTIC OR THERAPEUTIC PROCEDURES'.

For licensing inquiries, please contact partnerships@abcam.com