JavaScript is disabled in your browser. Please enable JavaScript to view this website.
AB254352

Anti-GLP-1R antibody [EPR23507-57]

1

(1 Review)

|

(0 Publication)

Rabbit Recombinant Monoclonal GLP-1R antibody. Suitable for IHC-P and reacts with Human samples.

View Alternative Names

Glucagon-like peptide 1 receptor, GLP-1 receptor, GLP-1-R, GLP-1R, GLP1R

2 Images
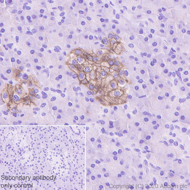
Immunohistochemistry (Formalin/PFA-fixed paraffin-embedded sections) - Anti-GLP-1R antibody [EPR23507-57] (AB254352)
  • IHC-P

Unknown

Immunohistochemistry (Formalin/PFA-fixed paraffin-embedded sections) - Anti-GLP-1R antibody [EPR23507-57] (AB254352)

Immunohistochemical analysis of paraffin-embedded human pancreas tissue labeling GLP-1R with ab254352 at 1/100 dilution followed by ready to use Rabbit specific IHC polymer detection kit HRP/DAB (ab209101). Cytoplasmic and membranous staining in human pancreatic islet (PMID : 18541709, PMID : 28094469). The section was incubated with ab254352 for 30 mins at room temperature. The immunostaining was performed on a Leica Biosystems BOND® RX instrument. Counterstained with Hematoxylin.

Secondary antibody only control : Secondary antibody is ready to use Rabbit specific IHC polymer detection kit HRP/DAB (ab209101).

Heat mediated antigen retrieval with Tris-EDTA buffer (pH 9.0, epitope retrieval solution2) for 20 mins.

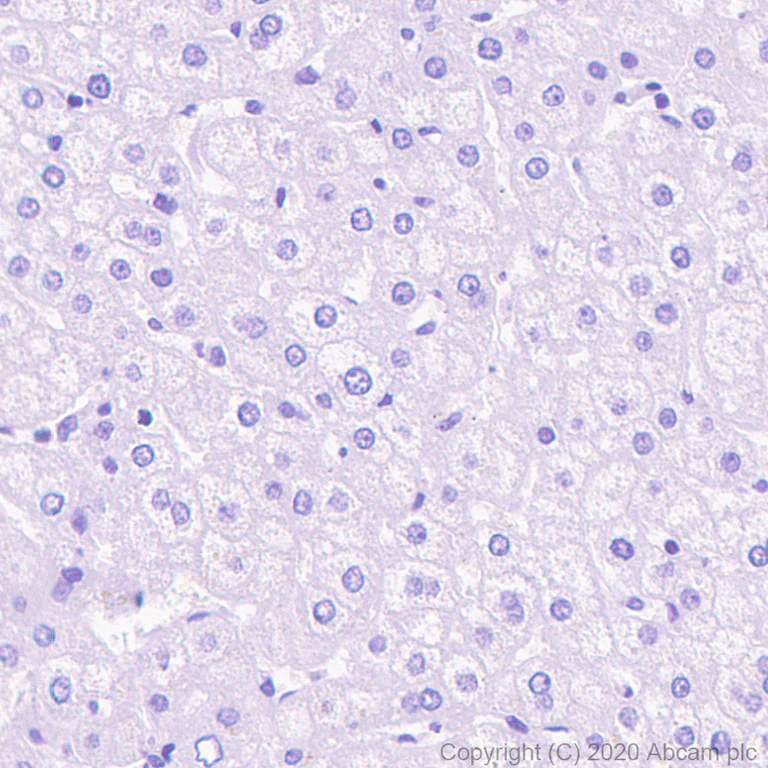
Immunohistochemistry (Formalin/PFA-fixed paraffin-embedded sections) - Anti-GLP-1R antibody [EPR23507-57] (AB254352)
  • IHC-P

Unknown

Immunohistochemistry (Formalin/PFA-fixed paraffin-embedded sections) - Anti-GLP-1R antibody [EPR23507-57] (AB254352)

Immunohistochemical analysis of paraffin-embedded human liver tissue labeling GLP-1R with ab254352 at 1/100 dilution followed by ready to use Rabbit specific IHC polymer detection kit HRP/DAB (ab209101). The section was incubated with ab254352 for 30 mins at room temperature. The immunostaining was performed on a Leica Biosystems BOND® RX instrument. Counterstained with Hematoxylin.

Negative control : No staining in human liver (PMID : 9568699).

Secondary antibody only control : Secondary antibody is ready to use Rabbit specific IHC polymer detection kit HRP/DAB (ab209101).

Heat mediated antigen retrieval with Tris-EDTA buffer (pH 9.0, epitope retrieval solution2) for 20 mins.

Key facts

Host species

Rabbit

Clonality

Monoclonal

Clone number

EPR23507-57

Isotype

IgG

Carrier free

No

Reacts with

Human

Applications

IHC-P

applications

Immunogen

The exact immunogen used to generate this antibody is proprietary information.

Reactivity data

{ "title": "Reactivity Data", "filters": { "stats": ["", "Species", "Dilution Info", "Notes"], "tabs": { "all-applications": {"fullname" : "All Applications", "shortname": "All Applications"}, "IP" : {"fullname" : "Immunoprecipitation", "shortname":"IP"}, "WB" : {"fullname" : "Western blot", "shortname":"WB"}, "IHCP" : {"fullname" : "Immunohistochemistry (Formalin/PFA-fixed paraffin-embedded sections)", "shortname":"IHC-P"} }, "product-promise": { "all": "all", "testedAndGuaranteed": "tested", "guaranteed": "expected", "predicted": "predicted", "notRecommended": "not-recommended" } }, "values": { "Human": { "IP-species-checked": "notRecommended", "IP-species-dilution-info": "", "IP-species-notes": "<p></p>", "WB-species-checked": "notRecommended", "WB-species-dilution-info": "", "WB-species-notes": "<p></p>", "IHCP-species-checked": "testedAndGuaranteed", "IHCP-species-dilution-info": "1/100", "IHCP-species-notes": "<p></p>" }, "Mouse": { "IP-species-checked": "notRecommended", "IP-species-dilution-info": "", "IP-species-notes": "", "WB-species-checked": "notRecommended", "WB-species-dilution-info": "", "WB-species-notes": "<p></p>", "IHCP-species-checked": "notRecommended", "IHCP-species-dilution-info": "1/100", "IHCP-species-notes": "<p></p>" }, "Rat": { "IP-species-checked": "notRecommended", "IP-species-dilution-info": "", "IP-species-notes": "", "WB-species-checked": "notRecommended", "WB-species-dilution-info": "", "WB-species-notes": "<p></p>", "IHCP-species-checked": "notRecommended", "IHCP-species-dilution-info": "1/100", "IHCP-species-notes": "<p></p>" } } }

Product details

Our broad range of gold-standard reagents features highly specific recombinant antibodies and kits, validated across applications and species to ensure the precision and reproducibility your work requires. Drive your drug discovery efforts forward with our tailored solutions designed to meet the unique challenges of obesity research.

Patented technology
Our RabMAb® technology is a patented hybridoma-based technology for making rabbit monoclonal antibodies. For details on our patents, please refer to RabMAb® patents.

What are the advantages of a recombinant monoclonal antibody?
This product is a recombinant monoclonal antibody, which offers several advantages including:

  • - High batch-to-batch consistency and reproducibility
  • - Improved sensitivity and specificity
  • - Long-term security of supply
  • - Animal-free batch production

For more information, read more on recombinant antibodies.

Properties and storage information

Form
Liquid
Purification technique
Affinity purification Protein A
Storage buffer
pH: 7.2 - 7.4 Preservative: 0.01% Sodium azide Constituents: PBS, 40% Glycerol (glycerin, glycerine), 0.05% BSA
Shipped at conditions
Blue Ice
Appropriate short-term storage duration
1-2 weeks
Appropriate short-term storage conditions
+4°C
Appropriate long-term storage conditions
-20°C
Aliquoting information
Upon delivery aliquot
Storage information
Avoid freeze / thaw cycle

Supplementary information

This supplementary information is collated from multiple sources and compiled automatically.

GLP-1R also known as glucagon-like peptide-1 receptor plays an important role in glucose metabolism. This receptor is a member of the class B family of G protein-coupled receptors (GPCRs) and has a molecular mass of approximately 53 kDa. GLP-1R is expressed in pancreatic beta cells the central nervous system and other peripheral tissues. It binds to GLP-1 a peptide hormone initiating a cascade of intracellular signaling that is essential for its physiological functions.
Biological function summary

GLP-1R serves as an important player in the regulation of insulin secretion. It is not part of a complex but acts as a standalone receptor. When GLP-1 binds to GLP-1R it triggers the activation of adenylyl cyclase increasing cyclic AMP levels and facilitating insulin secretion. This process is glucose-dependent meaning that it enhances insulin release only when blood glucose levels are elevated therefore preventing hypoglycemia.

Pathways

GLP-1R is an integral component of the incretin signaling pathway and the insulin signaling pathway. Through these pathways it influences key metabolic processes. Incretin hormones like GLP-1 improve glucose-dependent insulin secretion involving proteins such as GLP-1R and other incretin-related receptors. Additionally GLP-1R interacts with insulin receptor pathways to modulate glucose uptake in tissues.

GLP-1R has significant implications in type 2 diabetes and obesity. Its role in enhancing insulin secretion makes it a target for therapeutic interventions using GLP-1 analogs like liraglutide. Liraglutide structure mimics natural GLP-1 effectively agonizing GLP-1R to achieve desired metabolic outcomes. Additionally liraglutide GLP-1 analog therapies show promise in obesity management by influencing appetite regulation through GLP-1R pathways in the central nervous system.

Product protocols

For this product, it's our understanding that no specific protocols are required. You can visit:

Target data

G-protein coupled receptor for glucagon-like peptide 1 (GLP-1) (PubMed : 19861722, PubMed : 26308095, PubMed : 27196125, PubMed : 28514449, PubMed : 7517895, PubMed : 8216285, PubMed : 8405712). Ligand binding triggers activation of a signaling cascade that leads to the activation of adenylyl cyclase and increased intracellular cAMP levels (PubMed : 19861722, PubMed : 26308095, PubMed : 27196125, PubMed : 28514449, PubMed : 7517895, PubMed : 8216285, PubMed : 8405712). Plays a role in regulating insulin secretion in response to GLP-1 (By similarity).
See full target information GLP1R

Product promise

We are committed to supporting your work with high-quality reagents, and we're here for you every step of the way. In the unlikely event that one of our products does not perform as expected, you're protected by our Product Promise.
For full details, please see our Terms & Conditions

Please note: All products are 'FOR RESEARCH USE ONLY. NOT FOR USE IN DIAGNOSTIC OR THERAPEUTIC PROCEDURES'.

For licensing inquiries, please contact partnerships@abcam.com