JavaScript is disabled in your browser. Please enable JavaScript to view this website.
AB188595

Anti-GLP2R antibody - N-terminal

Be the first to review this product! Submit a review

|

(0 Publication)

Rabbit Polyclonal GLP2R antibody. N-terminal. Suitable for IHC-P and reacts with Human samples. Immunogen corresponding to Synthetic Peptide within Human Glucagon-like peptide 2 receptor.

View Alternative Names

Glucagon-like peptide 2 receptor, GLP-2 receptor, GLP-2-R, GLP-2R, GLP2R

1 Images
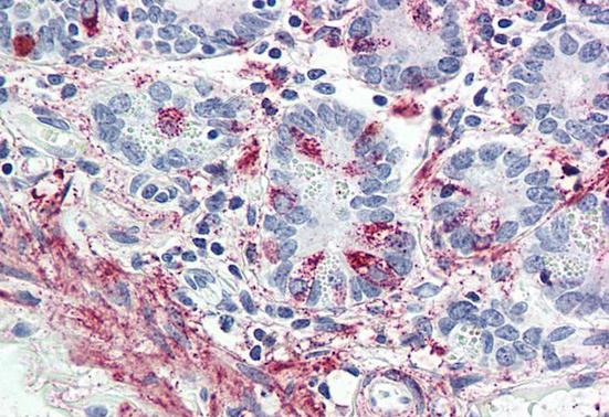
Immunohistochemistry (Formalin/PFA-fixed paraffin-embedded sections) - Anti-GLP2R antibody - N-terminal (AB188595)
  • IHC-P

Supplier Data

Immunohistochemistry (Formalin/PFA-fixed paraffin-embedded sections) - Anti-GLP2R antibody - N-terminal (AB188595)

Immunohistochemical analysis of formalin-fixed, paraffin-embedded Human small intestine tissue, labeling GLP2R with ab188595 at 10 μg/ml.

Key facts

Host species

Rabbit

Clonality

Polyclonal

Isotype

IgG

Carrier free

No

Reacts with

Human

Applications

IHC-P

applications

Immunogen

Synthetic Peptide within Human Glucagon-like peptide 2 receptor. The exact immunogen used to generate this antibody is proprietary information.

O95838

Specificity

BLAST analysis of the peptide immunogen showed no homology with other Human proteins.

Reactivity data

{ "title": "Reactivity Data", "filters": { "stats": ["", "Species", "Dilution Info", "Notes"], "tabs": { "all-applications": {"fullname" : "All Applications", "shortname": "All Applications"}, "IHCP" : {"fullname" : "Immunohistochemistry (Formalin/PFA-fixed paraffin-embedded sections)", "shortname":"IHC-P"} }, "product-promise": { "all": "all", "testedAndGuaranteed": "tested", "guaranteed": "expected", "predicted": "predicted", "notRecommended": "not-recommended" } }, "values": { "Human": { "IHCP-species-checked": "testedAndGuaranteed", "IHCP-species-dilution-info": "5-10 µg/mL", "IHCP-species-notes": "<p></p> Perform heat-mediated antigen retrieval before commencing with IHC staining protocol." }, "Gorilla": { "IHCP-species-checked": "predicted", "IHCP-species-dilution-info": "", "IHCP-species-notes": "" }, "Monkey": { "IHCP-species-checked": "predicted", "IHCP-species-dilution-info": "", "IHCP-species-notes": "" } } }

Properties and storage information

Form
Liquid
Purification technique
Affinity purification Immunogen
Storage buffer
pH: 7.4 Preservative: 0.1% Sodium azide Constituents: PBS
Shipped at conditions
Blue Ice
Appropriate short-term storage duration
1-2 weeks
Appropriate short-term storage conditions
+4°C
Appropriate long-term storage conditions
-20°C
Aliquoting information
Upon delivery aliquot
Storage information
Avoid freeze / thaw cycle

Supplementary information

This supplementary information is collated from multiple sources and compiled automatically.

GLP2R also known as Glucagon-Like Peptide 2 Receptor is a G-protein coupled receptor with a mass of approximately 63 kDa. It is expressed in various tissues most notably in the small intestine colon and central nervous system. This receptor binds to glucagon-like peptide 2 (GLP-2) and plays a role in mediating intestinal growth and function. As a member of the B1 receptor family GLP2R uses adenylate cyclase to convert ATP to cAMP leading to downstream cellular effects.
Biological function summary

GLP2R modulates several functions related to gut health and integrity. It does not function as part of a larger protein complex but has significant roles when activated by its ligand GLP-2. The receptor supports intestinal epithelial growth enhances nutrient absorption and mitigates inflammatory responses in the gut lining. Additionally GLP2R activity promotes maintenance of mucosal integrity and supports a barrier against pathogens.

Pathways

GLP2R is important in the regulation of the intestinal growth pathway and nutrient absorption. It interacts with related proteins like glucagon and GLP-1 receptors which are part of the glucagon receptor family. These pathways involve processes that control gut motility secretion and cell proliferation. By mediating these signaling pathways GLP2R ensures effective gut homeostasis.

GLP2R has associations with conditions such as short bowel syndrome and inflammatory bowel disease. In short bowel syndrome GLP2R activity supports gut adaptation thereby improving nutrient absorption. In inflammatory bowel disease its role in reducing intestinal inflammation and repairing the mucosa links it to potential therapeutic targets. Connections through the disease pathways include interactions with proteins like inflammatory cytokines and growth factors which influence immune response and epithelial repair mechanisms.

Product protocols

For this product, it's our understanding that no specific protocols are required. You can visit:

Target data

This is a receptor for glucagon-like peptide 2. The activity of this receptor is mediated by G proteins which activate adenylyl cyclase.
See full target information Glucagon-like peptide 2 receptor

Product promise

We are committed to supporting your work with high-quality reagents, and we're here for you every step of the way. In the unlikely event that one of our products does not perform as expected, you're protected by our Product Promise.
For full details, please see our Terms & Conditions

Please note: All products are 'FOR RESEARCH USE ONLY. NOT FOR USE IN DIAGNOSTIC OR THERAPEUTIC PROCEDURES'.

For licensing inquiries, please contact partnerships@abcam.com