JavaScript is disabled in your browser. Please enable JavaScript to view this website.
AB97628

Anti-GLRA2 antibody

Be the first to review this product! Submit a review

|

(5 Publications)

Rabbit Polyclonal GLRA2 antibody. Suitable for WB, IHC-P and reacts with Mouse, Human samples. Cited in 5 publications. Immunogen corresponding to Recombinant Fragment Protein within Human Glycine receptor subunit alpha-2 aa 1-200.

View Alternative Names

Glycine receptor subunit alpha-2, GLRA2

3 Images
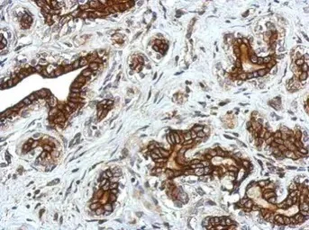
Immunohistochemistry (Formalin/PFA-fixed paraffin-embedded sections) - Anti-GLRA2 antibody (AB97628)
  • IHC-P

Supplier Data

Immunohistochemistry (Formalin/PFA-fixed paraffin-embedded sections) - Anti-GLRA2 antibody (AB97628)

Immunohistochemical analysis of paraffin-embedded human breast cancer tissue with ab97628 at a 1/750 dilution.

Antigen retrieval : Trilogy™ (EDTA based, pH 8.0) buffer, 15min.

Western blot - Anti-GLRA2 antibody (AB97628)
  • WB

Unknown

Western blot - Anti-GLRA2 antibody (AB97628)

10 % SDS PAGE

All lanes:

Western blot - Anti-GLRA2 antibody (ab97628) at 1/5000 dilution

All lanes:

A431 whole cell lysate at 30 µg

Predicted band size: 52 kDa

false

Western blot - Anti-GLRA2 antibody (AB97628)
  • WB

Supplier Data

Western blot - Anti-GLRA2 antibody (AB97628)

Samples were separated by 10% SDS-PAGE.

All lanes:

Western blot - Anti-GLRA2 antibody (ab97628) at 1/2000 dilution

All lanes:

Mouse brain tissue extract at 50 µg

Secondary

All lanes:

HRP-conjugated anti-rabbit IgG antibody

Predicted band size: 52 kDa

false

Key facts

Host species

Rabbit

Clonality

Polyclonal

Isotype

IgG

Carrier free

No

Reacts with

Mouse, Human

Applications

WB, IHC-P

applications

Immunogen

Recombinant Fragment Protein within Human Glycine receptor subunit alpha-2 aa 1-200. The exact immunogen used to generate this antibody is proprietary information.

P23416

Reactivity data

{ "title": "Reactivity Data", "filters": { "stats": ["", "Species", "Dilution Info", "Notes"], "tabs": { "all-applications": {"fullname" : "All Applications", "shortname": "All Applications"}, "WB" : {"fullname" : "Western blot", "shortname":"WB"}, "IHCP" : {"fullname" : "Immunohistochemistry (Formalin/PFA-fixed paraffin-embedded sections)", "shortname":"IHC-P"} }, "product-promise": { "all": "all", "testedAndGuaranteed": "tested", "guaranteed": "expected", "predicted": "predicted", "notRecommended": "not-recommended" } }, "values": { "Human": { "WB-species-checked": "testedAndGuaranteed", "WB-species-dilution-info": "1/1000 - 1/10000", "WB-species-notes": "<p></p>", "IHCP-species-checked": "testedAndGuaranteed", "IHCP-species-dilution-info": "1/100 - 1/1000", "IHCP-species-notes": "<p></p>" }, "Mouse": { "WB-species-checked": "testedAndGuaranteed", "WB-species-dilution-info": "1/1000 - 1/10000", "WB-species-notes": "<p></p>", "IHCP-species-checked": "guaranteed", "IHCP-species-dilution-info": "", "IHCP-species-notes": "" }, "Rat": { "WB-species-checked": "predicted", "WB-species-dilution-info": "", "WB-species-notes": "", "IHCP-species-checked": "predicted", "IHCP-species-dilution-info": "", "IHCP-species-notes": "" }, "Zebrafish": { "WB-species-checked": "predicted", "WB-species-dilution-info": "", "WB-species-notes": "", "IHCP-species-checked": "predicted", "IHCP-species-dilution-info": "", "IHCP-species-notes": "" } } }

Properties and storage information

Form
Liquid
Purification technique
Affinity purification Immunogen
Storage buffer
pH: 7 Preservative: 0.01% Thimerosal (merthiolate) Constituents: 10% Glycerol (glycerin, glycerine), 1.21% Tris, 0.75% Glycine
Shipped at conditions
Blue Ice
Appropriate short-term storage conditions
+4°C
Appropriate long-term storage conditions
-20°C
Aliquoting information
Upon delivery aliquot
Storage information
Avoid freeze / thaw cycle

Supplementary information

This supplementary information is collated from multiple sources and compiled automatically.

The GLRA2 protein also referred to as Glycine Receptor Alpha 2 is a critical component of the glycine receptor complex. It mainly contributes to inhibitory neurotransmission in the central nervous system. This protein has a molecular mass of approximately 51 kDa and is predominantly expressed in the brain and spinal cord. Being an important part of the pentameric ligand-gated ion channel family GLRA2 plays a substantial role in mediating synaptic signal transmission.
Biological function summary

The glycine receptor activity of GLRA2 facilitates the inhibitory effects of glycine neurotransmitters in neurons. It forms a ligand-gated chloride channel by assembling with other subunits into pentameric complexes usually associating alongside alpha-1 and beta subunits. This receptor complex regulates chloride ions influx leading to hyperpolarization and decreased neuronal excitability essential for proper nervous system functioning.

Pathways

GLRA2 participates in the neurotransmitter-gated ion channel signaling pathway which is significant for fast synaptic inhibition in the spinal cord and brainstem regions. This protein associates with gephyrin a cytoplasmic protein that helps maintain receptor localization at synapses. Additionally GLRA2 interacts with other similar receptor subunits in the formation of ion channels important for maintaining synaptic signal regulation.

GLRA2 disruptions have been linked to neurological conditions such as hyperekplexia and epilepsy. Hyperekplexia characterized by an exaggerated startle response is often associated with mutations in this protein leading to impaired inhibitory signaling. The protein’s interaction with other ion channel subunits and related structural proteins like GLRB can contribute to these diseases. Understanding these connections highlights the importance of balanced glycinergic signaling for neurological health.

Product protocols

For this product, it's our understanding that no specific protocols are required. You can visit:

Target data

Glycine receptors are ligand-gated chloride channels. Channel opening is triggered by extracellular glycine (PubMed : 15302677, PubMed : 16144831, PubMed : 2155780, PubMed : 23895467, PubMed : 25445488, PubMed : 26370147, PubMed : 34473954). Channel opening is also triggered by taurine and beta-alanine (PubMed : 15302677). Plays a role in synaptic plasticity (By similarity). Contributes to the generation of inhibitory postsynaptic currents, and is involved in the down-regulation of neuronal excitability (PubMed : 25445488). Plays a role in cellular responses to ethanol (PubMed : 23895467).
See full target information Glycine receptor subunit alpha-2

Publications (5)

Recent publications for all applications. Explore the full list and refine your search

Neurochemical research 49:684-691 PubMed38017313

2023

Streptozotocin-Induced Diabetic Rats Showed a Differential Glycine Receptor Expression in the Spinal Cord: A GlyR Role in Diabetic Neuropathy.

Applications

Unspecified application

Species

Unspecified reactive species

Miguel Ángel Velázquez-Flores,Gustavo Sánchez-Chávez,Sara L Morales-Lázaro,Ruth Ruiz Esparza-Garrido,Alejandro Canizales-Ontiveros,Rocío Salceda

Journal of medical genetics 60:193-203 PubMed35396272

2022

gene mutations cause high myopia in humans and mice.

Applications

Unspecified application

Species

Unspecified reactive species

Qi Tian,Ping Tong,Gong Chen,Meichun Deng,Tian'e Cai,Runyi Tian,Zimin Zhang,Kun Xia,Zhengmao Hu

Cellular physiology and biochemistry : internation 45:1084-1096 PubMed29439248

2018

Transient Receptor Potential Vanilloid 4 Activation-Induced Increase in Glycine-Activated Current in Mouse Hippocampal Pyramidal Neurons.

Applications

Unspecified application

Species

Unspecified reactive species

Mengwen Qi,Chunfeng Wu,Zhouqing Wang,Li Zhou,Chen Men,Yimei Du,Songming Huang,Lei Chen,Ling Chen

The Journal of physiology 595:5285-5300 PubMed28524260

2017

Presence of ethanol-sensitive glycine receptors in medium spiny neurons in the mouse nucleus accumbens.

Applications

Unspecified application

Species

Unspecified reactive species

B Förstera,B Muñoz,M K Lobo,R Chandra,D M Lovinger,L G Aguayo

Scientific reports 6:24953 PubMed27112667

2016

A biofidelic 3D culture model to study the development of brain cellular systems.

Applications

ICC/IF

Species

Rat

M Ren,C Du,E Herrero Acero,M D Tang-Schomer,N Özkucur
View all publications

Product promise

We are committed to supporting your work with high-quality reagents, and we're here for you every step of the way. In the unlikely event that one of our products does not perform as expected, you're protected by our Product Promise.
For full details, please see our Terms & Conditions

Please note: All products are 'FOR RESEARCH USE ONLY. NOT FOR USE IN DIAGNOSTIC OR THERAPEUTIC PROCEDURES'.

For licensing inquiries, please contact partnerships@abcam.com