JavaScript is disabled in your browser. Please enable JavaScript to view this website.
AB308304

Anti-GLS2 antibody [EPR27332-67]

Be the first to review this product! Submit a review

|

(1 Publication)

Rabbit Recombinant Monoclonal GLS2 antibody. Suitable for WB and reacts with Mouse, Rat samples. Cited in 1 publication.

View Alternative Names

GA, GLS2, GLS, L-glutaminase, L-glutamine amidohydrolase

5 Images
Western blot - Anti-GLS2 antibody [EPR27332-67] (AB308304)
  • WB

Supplier Data

Western blot - Anti-GLS2 antibody [EPR27332-67] (AB308304)

Blocking and diluting buffer and concentration : 5% NFDM/TBST. The blot developed using a high sensitivity ECL substrate. In Western blot, anti- H3 antibody (ab176842) loading control staining at 1/100000 dilution. Exposure time : 180 seconds

All lanes:

Western blot - Anti-GLS2 antibody [EPR27332-67] (ab308304) at 1/1000 dilution

All lanes:

Rat pancreas tissue lysate at 20 µg

Secondary

All lanes:

Western blot - Goat Anti-Rabbit IgG H&L (HRP) (<a href='/en-us/products/secondary-antibodies/goat-rabbit-igg-h-l-hrp-ab97051'>ab97051</a>) at 1/100000 dilution

Predicted band size: 66 kDa

Observed band size: 66 kDa

false

Exposure time: 180s

Western blot - Anti-GLS2 antibody [EPR27332-67] (AB308304)
  • WB

Supplier Data

Western blot - Anti-GLS2 antibody [EPR27332-67] (AB308304)

Blocking and diluting buffer and concentration : 5% NFDM/TBST. Negative control : kidney (PMID : 31804603 and PMID : 10620514) The blot developed using a high sensitivity ECL substrate. In Western blot, anti-GAPDH antibody (ab181602) loading control staining at 1/200000 dilution. Exposure time : 48 seconds

All lanes:

Western blot - Anti-GLS2 antibody [EPR27332-67] (ab308304) at 1/1000 dilution

Lane 1:

Mouse liver tissue lysate at 20 µg

Lane 2:

Mouse kidney tissue lysate at 20 µg

Secondary

All lanes:

Western blot - Goat Anti-Rabbit IgG H&L (HRP) (<a href='/en-us/products/secondary-antibodies/goat-rabbit-igg-h-l-hrp-ab97051'>ab97051</a>) at 1/100000 dilution

Predicted band size: 66 kDa

Observed band size: 66 kDa

false

Exposure time: 48s

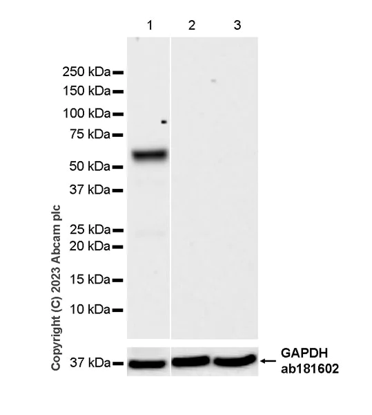
Western blot - Anti-GLS2 antibody [EPR27332-67] (AB308304)
  • WB

Supplier Data

Western blot - Anti-GLS2 antibody [EPR27332-67] (AB308304)

Blocking and diluting buffer and concentration : 5% NFDM/TBST. Negative control : Kidney (PMID : 31804603 and spleen (PMID : 10620514) In Western blot, anti-GAPDH antibody (ab181602) loading control staining at 1/200000 dilution. Exposure time : 70 seconds

All lanes:

Western blot - Anti-GLS2 antibody [EPR27332-67] (ab308304) at 1/1000 dilution

Lane 1:

Rat liver tissue lysate at 20 µg

Lane 2:

Rat spleen tissue lysate at 20 µg

Lane 3:

Rat kidney tissue lysate at 20 µg

Secondary

All lanes:

Western blot - Goat Anti-Rabbit IgG H&L (HRP) (<a href='/en-us/products/secondary-antibodies/goat-rabbit-igg-h-l-hrp-ab97051'>ab97051</a>) at 1/100000 dilution

Predicted band size: 66 kDa

Observed band size: 66 kDa

false

Exposure time: 70s

Western blot - Anti-GLS2 antibody [EPR27332-67] (AB308304)
  • WB

Supplier Data

Western blot - Anti-GLS2 antibody [EPR27332-67] (AB308304)

Blocking and diluting buffer and concentration : 5% NFDM/TBST. Negative control : spleen The blot developed using a high sensitivity ECL substrate. In Western blot, anti- Vinculin antibody (ab129002) loading control staining at 1/10000 dilution. Exposure time : 180 seconds

All lanes:

Western blot - Anti-GLS2 antibody [EPR27332-67] (ab308304) at 1/1000 dilution

Lane 1:

Mouse pancreas tissue lysate at 20 µg

Lane 2:

Mouse spleen tissue lysate at 20 µg

Secondary

All lanes:

Western blot - Goat Anti-Rabbit IgG H&L (HRP) (<a href='/en-us/products/secondary-antibodies/goat-rabbit-igg-h-l-hrp-ab97051'>ab97051</a>) at 1/100000 dilution

Predicted band size: 66 kDa

Observed band size: 66 kDa

false

Exposure time: 180s

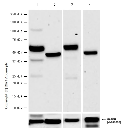
Western blot - Anti-GLS2 antibody [EPR27332-67] (AB308304)
  • WB

Supplier Data

Western blot - Anti-GLS2 antibody [EPR27332-67] (AB308304)

Blocking and diluting buffer concentration : 5% NFDM/TBST.

ab181602 was used as a loading control at 1/1000000 dilution.

Brain was reported to be GLS2 positive in some publications, but this antibody only detected a 50kDa band instead of GLS2 band in brain. We are unsure of the identity of this 50kDa band.

We recommend using a higher sensitive ECL substrate to increase the band intensity.

All lanes:

Western blot - Anti-GLS2 antibody [EPR27332-67] (ab308304) at 1/1000 dilution

Lane 1:

Mouse liver tissue lysate at 20 µg

Lane 2:

Mouse brain tissue lysate at 20 µg

Lane 3:

Rat liver tissue lysate at 20 µg

Lane 4:

Rat brain tissue lysate at 20 µg

Secondary

All lanes:

Western blot - Goat Anti-Rabbit IgG H&L (HRP) (<a href='/en-us/products/secondary-antibodies/goat-rabbit-igg-h-l-hrp-ab97051'>ab97051</a>) at 1/2000 dilution

Predicted band size: 66 kDa

Observed band size: 66 kDa

true

Exposure time: 180s

  • Carrier free

    Anti-GLS2 antibody [EPR27332-67] - BSA and Azide free

Key facts

Host species

Rabbit

Clonality

Monoclonal

Clone number

EPR27332-67

Isotype

IgG

Carrier free

No

Reacts with

Mouse, Rat

Applications

WB

applications

Immunogen

The exact immunogen used to generate this antibody is proprietary information.

Reactivity data

{ "title": "Reactivity Data", "filters": { "stats": ["", "Species", "Dilution Info", "Notes"], "tabs": { "all-applications": {"fullname" : "All Applications", "shortname": "All Applications"}, "WB" : {"fullname" : "Western blot", "shortname":"WB"}, "IHCP" : {"fullname" : "Immunohistochemistry (Formalin/PFA-fixed paraffin-embedded sections)", "shortname":"IHC-P"}, "ICCIF" : {"fullname" : "Immunocytochemistry/ Immunofluorescence", "shortname":"ICC/IF"}, "FlowCytIntra" : {"fullname" : "Flow Cytometry (Intracellular)", "shortname":"Flow Cyt (Intra)"}, "IP" : {"fullname" : "Immunoprecipitation", "shortname":"IP"} }, "product-promise": { "all": "all", "testedAndGuaranteed": "tested", "guaranteed": "expected", "predicted": "predicted", "notRecommended": "not-recommended" } }, "values": { "Human": { "WB-species-checked": "notRecommended", "WB-species-dilution-info": "", "WB-species-notes": "<p></p>", "IHCP-species-checked": "notRecommended", "IHCP-species-dilution-info": "", "IHCP-species-notes": "<p></p>", "ICCIF-species-checked": "notRecommended", "ICCIF-species-dilution-info": "", "ICCIF-species-notes": "<p></p>", "FlowCytIntra-species-checked": "notRecommended", "FlowCytIntra-species-dilution-info": "", "FlowCytIntra-species-notes": "<p></p>", "IP-species-checked": "notRecommended", "IP-species-dilution-info": "", "IP-species-notes": "<p></p>" }, "Mouse": { "WB-species-checked": "testedAndGuaranteed", "WB-species-dilution-info": "1/1000", "WB-species-notes": "<p>Brian was reported to be GLS2 positive in some publications, but this antibody only detected a 50kDa band instead of GLS2 band in brain. We are unsure of the identity of this 50kDa band.</p><p>We recommend using a higher sensitive ECL substrate to increase the band intensity.</p>", "IHCP-species-checked": "notRecommended", "IHCP-species-dilution-info": "", "IHCP-species-notes": "<p></p>", "ICCIF-species-checked": "notRecommended", "ICCIF-species-dilution-info": "", "ICCIF-species-notes": "<p></p>", "FlowCytIntra-species-checked": "notRecommended", "FlowCytIntra-species-dilution-info": "", "FlowCytIntra-species-notes": "", "IP-species-checked": "notRecommended", "IP-species-dilution-info": "", "IP-species-notes": "<p></p>" }, "Rat": { "WB-species-checked": "testedAndGuaranteed", "WB-species-dilution-info": "1/1000", "WB-species-notes": "<p>Brian was reported to be GLS2 positive in some publications, but this antibody only detected a 50kDa band instead of GLS2 band in brain. We are unsure of the identity of this 50kDa band.</p><p>We recommend using a higher sensitive ECL substrate to increase the band intensity.</p>", "IHCP-species-checked": "notRecommended", "IHCP-species-dilution-info": "", "IHCP-species-notes": "<p></p>", "ICCIF-species-checked": "notRecommended", "ICCIF-species-dilution-info": "", "ICCIF-species-notes": "<p></p>", "FlowCytIntra-species-checked": "notRecommended", "FlowCytIntra-species-dilution-info": "", "FlowCytIntra-species-notes": "", "IP-species-checked": "notRecommended", "IP-species-dilution-info": "", "IP-species-notes": "" } } }

Product details

Patented technology
Our RabMAb® technology is a patented hybridoma-based technology for making rabbit monoclonal antibodies. For details on our patents, please refer to RabMAb® patents.

What are the advantages of a recombinant monoclonal antibody?
This product is a recombinant monoclonal antibody, which offers several advantages including:

  • - High batch-to-batch consistency and reproducibility
  • - Improved sensitivity and specificity
  • - Long-term security of supply
  • - Animal-free batch production

For more information, read more on recombinant antibodies.

Properties and storage information

Form
Liquid
Purification technique
Affinity purification Protein A
Storage buffer
pH: 7.2 - 7.4 Preservative: 0.01% Sodium azide Constituents: PBS, 40% Glycerol (glycerin, glycerine), 0.05% BSA
Shipped at conditions
Blue Ice
Appropriate short-term storage duration
1-2 weeks
Appropriate short-term storage conditions
+4°C
Appropriate long-term storage conditions
-20°C
Aliquoting information
Upon delivery aliquot
Storage information
Avoid freeze / thaw cycle

Supplementary information

This supplementary information is collated from multiple sources and compiled automatically.

GLS2 also known as Glutaminase 2 is an enzyme involved in the conversion of glutamine to glutamate. It plays an important role in the regulation of cellular glutamine metabolism. This enzyme has a molecular weight of approximately 66 kDa and is expressed in various tissues including liver brain and kidney. In the mitochondria GLS2 plays an integral part in the cellular metabolic processes.
Biological function summary

GLS2 impacts important cellular functions due to its ability to enhance the production of glutamate and ammonia from glutamine. This enzyme forms part of the broader metabolic networks and contributes significantly to many cellular activities. It does not function as part of a larger protein complex but interacts with other metabolic enzymes to support energy and biosynthetic demands of the cell.

Pathways

GLS2 influences both the glutaminolysis pathway and the tricarboxylic acid (TCA) cycle. Its activity enables the provision of carbon skeletons for the TCA cycle through the generation of alpha-ketoglutarate from glutamate. This enzyme can interact with proteins such as GDH (Glutamate Dehydrogenase) which further processes the glutamate. These pathways collaboratively sustain bioenergetics and synaptic functions particularly within neurons.

GLS2 has links to cancer and neurodegenerative diseases. In cancer abnormal GLS2 expression can affect cellular proliferation through altered glutamine metabolism intersecting with pathways involving proteins like MYC. In neurodegenerative disorders such as Alzheimer's disease GLS2 expression changes can impact neuronal function and survival possibly involving interactions with proteins related to synaptic maintenance.

Product protocols

For this product, it's our understanding that no specific protocols are required. You can visit:

Target data

Plays an important role in the regulation of glutamine catabolism. Promotes mitochondrial respiration and increases ATP generation in cells by catalyzing the synthesis of glutamate and alpha-ketoglutarate. Increases cellular anti-oxidant function via NADH and glutathione production. May play a role in preventing tumor proliferation.
See full target information GLS2

Publications (1)

Recent publications for all applications. Explore the full list and refine your search

American journal of cancer research 15:3693-3711 PubMed40948526

2025

Aurora-A inhibits hepatocellular carcinoma cell ferroptosis to mediate immune escape by disrupting phosphatidylethanolamine biosynthesis.

Applications

Unspecified application

Species

Unspecified reactive species

Lei Fan,Yiqian Liu,Yucheng Cai,Xinnan Sun,Jiaxuan Li,Yiyang Xu,Changchun Sun,Shiyun Cui
View all publications

Product promise

We are committed to supporting your work with high-quality reagents, and we're here for you every step of the way. In the unlikely event that one of our products does not perform as expected, you're protected by our Product Promise.
For full details, please see our Terms & Conditions

Please note: All products are 'FOR RESEARCH USE ONLY. NOT FOR USE IN DIAGNOSTIC OR THERAPEUTIC PROCEDURES'.

For licensing inquiries, please contact partnerships@abcam.com