JavaScript is disabled in your browser. Please enable JavaScript to view this website.
AB231468

Anti-Glucagon antibody

Be the first to review this product! Submit a review

|

(1 Publication)

Rabbit Polyclonal GLP-1 antibody. Suitable for IHC-P and reacts with Human samples. Cited in 1 publication.

View Alternative Names

Pro-glucagon, GCG

1 Images
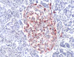
Immunohistochemistry (Formalin/PFA-fixed paraffin-embedded sections) - Anti-Glucagon antibody (AB231468)
  • IHC-P

Supplier Data

Immunohistochemistry (Formalin/PFA-fixed paraffin-embedded sections) - Anti-Glucagon antibody (AB231468)

Formalin-fixed, paraffin-embedded human pancreas tissue stained for Glucagon using ab231468 at 1/50 dilution in immunohistochemical analysis.

Key facts

Host species

Rabbit

Clonality

Polyclonal

Isotype

IgG

Carrier free

No

Reacts with

Human

Applications

IHC-P

applications

Immunogen

The exact immunogen used to generate this antibody is proprietary information.

Reactivity data

{ "title": "Reactivity Data", "filters": { "stats": ["", "Species", "Dilution Info", "Notes"], "tabs": { "all-applications": {"fullname" : "All Applications", "shortname": "All Applications"}, "IHCP" : {"fullname" : "Immunohistochemistry (Formalin/PFA-fixed paraffin-embedded sections)", "shortname":"IHC-P"} }, "product-promise": { "all": "all", "testedAndGuaranteed": "tested", "guaranteed": "expected", "predicted": "predicted", "notRecommended": "not-recommended" } }, "values": { "Human": { "IHCP-species-checked": "testedAndGuaranteed", "IHCP-species-dilution-info": "1/50", "IHCP-species-notes": "<p>Boil tissue section in Citrate buffer, pH 6.0 for 10-20 minutes followed by cooling at room temperature for 20 minutes.</p><p>Incubate with primary antibody for 30 minutes at room temperature.</p>" }, "Rat": { "IHCP-species-checked": "predicted", "IHCP-species-dilution-info": "", "IHCP-species-notes": "" }, "Cow": { "IHCP-species-checked": "predicted", "IHCP-species-dilution-info": "", "IHCP-species-notes": "" }, "Dog": { "IHCP-species-checked": "predicted", "IHCP-species-dilution-info": "", "IHCP-species-notes": "" }, "Pig": { "IHCP-species-checked": "predicted", "IHCP-species-dilution-info": "", "IHCP-species-notes": "" } } }

Properties and storage information

Form
Liquid
Purification technique
Affinity purification Immunogen
Storage buffer
pH: 7.6 Preservative: 0.099% Sodium azide Constituents: PBS, 1% BSA
Shipped at conditions
Blue Ice
Appropriate short-term storage duration
1-2 weeks
Appropriate short-term storage conditions
+4°C
Appropriate long-term storage conditions
-20°C
Aliquoting information
Upon delivery aliquot
Storage information
Avoid freeze / thaw cycle

Supplementary information

This supplementary information is collated from multiple sources and compiled automatically.

Glucagon also known as the “hunger hormone" is a 29-amino acid peptide hormone with a mass of approximately 3.5 kDa. It plays an important role in glucose metabolism and regulation of blood sugar levels. The human pancreas specifically the alpha cells located in the islets of Langerhans synthesizes and secretes glucagon. This hormone binds to glucagon receptors which are widely expressed across tissues including the liver and kidney where it initiates a cascade of signaling events.
Biological function summary

Glucagon plays a central role in maintaining glucose homeostasis. It increases blood glucose by promoting gluconeogenesis and glycogenolysis in the liver. Though glucagon mainly acts independently it exhibits significant interactions with other metabolic hormones such as insulin. This interaction helps balance blood sugar levels as glucagon and insulin work in opposition to ensure optimal blood glucose regulation.

Pathways

Glucagon primarily impacts the cAMP signaling pathway significantly increasing intracellular cAMP levels. This pathway initiates a complex series of downstream events including increased enzyme activity for gluconeogenesis and glycogen breakdown in the liver. Glucagon also cross-talks with insulin signaling pathways enabling the intertwined regulation of metabolism through these hormones and maintaining glucose balance.

Glucagon is closely linked to diabetes and hyperglycemia. Individuals with diabetes often exhibit dysregulated glucagon secretion leading to unstable blood sugar levels. Glucagon interacts with insulin in the pathology of diabetes where an improper balance between these hormones can exacerbate the disease. The understanding of glucagon's role in these conditions makes it a target for new therapeutic strategies including recombinant glucagon treatments and assays.

Product protocols

For this product, it's our understanding that no specific protocols are required. You can visit:

Target data

Glucagon. Plays a key role in glucose metabolism and homeostasis. Regulates blood glucose by increasing gluconeogenesis and decreasing glycolysis. A counterregulatory hormone of insulin, raises plasma glucose levels in response to insulin-induced hypoglycemia. Plays an important role in initiating and maintaining hyperglycemic conditions in diabetes.. Glucagon-like peptide 1. Potent stimulator of glucose-dependent insulin release. Also stimulates insulin release in response to IL6 (PubMed : 22037645). Plays important roles on gastric motility and the suppression of plasma glucagon levels. May be involved in the suppression of satiety and stimulation of glucose disposal in peripheral tissues, independent of the actions of insulin. Has growth-promoting activities on intestinal epithelium. May also regulate the hypothalamic pituitary axis (HPA) via effects on LH, TSH, CRH, oxytocin, and vasopressin secretion. Increases islet mass through stimulation of islet neogenesis and pancreatic beta cell proliferation. Inhibits beta cell apoptosis (Probable).. Glucagon-like peptide 2. Stimulates intestinal growth and up-regulates villus height in the small intestine, concomitant with increased crypt cell proliferation and decreased enterocyte apoptosis. The gastrointestinal tract, from the stomach to the colon is the principal target for GLP-2 action. Plays a key role in nutrient homeostasis, enhancing nutrient assimilation through enhanced gastrointestinal function, as well as increasing nutrient disposal. Stimulates intestinal glucose transport and decreases mucosal permeability.. Oxyntomodulin. Significantly reduces food intake. Inhibits gastric emptying in humans. Suppression of gastric emptying may lead to increased gastric distension, which may contribute to satiety by causing a sensation of fullness.. Glicentin. May modulate gastric acid secretion and the gastro-pyloro-duodenal activity. May play an important role in intestinal mucosal growth in the early period of life.
See full target information GCG

Additional targets

Glucagon

Publications (1)

Recent publications for all applications. Explore the full list and refine your search

Renal failure 46:2301041 PubMed38425055

2024

Disparity of serum uric acid threshold for CKD among hypertensive and non-hypertensive individuals.

Applications

Unspecified application

Species

Unspecified reactive species

Bowen Zhu,Fang Li,Weidong Zhang,Shuan Zhao,Nana Song,Shi Jin,Ziyan Shen,Yufei Lu,Yang Li,Hong Liu
View all publications

Product promise

We are committed to supporting your work with high-quality reagents, and we're here for you every step of the way. In the unlikely event that one of our products does not perform as expected, you're protected by our Product Promise.
For full details, please see our Terms & Conditions

Please note: All products are 'FOR RESEARCH USE ONLY. NOT FOR USE IN DIAGNOSTIC OR THERAPEUTIC PROCEDURES'.

For licensing inquiries, please contact partnerships@abcam.com