JavaScript is disabled in your browser. Please enable JavaScript to view this website.
AB92517

Anti-Glucagon antibody [EP3070]

  • RabMAb
  • Recombinant
  • Lab Essentials
  • 20ul selling size
  • What is this?

5

(8 Reviews)

|

(121 Publications)

Anti-Glucagon antibody [EP3070] (ab92517) is a rabbit monoclonal antibody detecting Glucagon in Western Blot, IHC-P. Suitable for Human, Mouse, Rat.

- Biophysical QC for unrivalled batch-batch consistency
- Over 80 publications
- Trusted since 2010

View Alternative Names

Pro-glucagon, GCG

8 Images
Immunohistochemistry (Formalin/PFA-fixed paraffin-embedded sections) - Anti-Glucagon antibody [EP3070] (AB92517)
  • IHC-P

Unknown

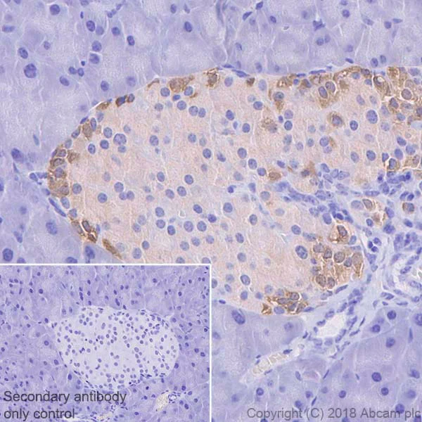
Immunohistochemistry (Formalin/PFA-fixed paraffin-embedded sections) - Anti-Glucagon antibody [EP3070] (AB92517)

Immunohistochemistry (Formalin/PFA-fixed paraffin-embedded sections) analysis of Mouse pancreas tissue sections labeling Glucagon with Purified ab92517 at 1 : 8000 dilution (0.038 µg/ml). Heat mediated antigen retrieval was performed using using citrate (pH 6.0)Goat Anti-Rabbit IgG H&L (HRP) ab97051was used as the secondary antibody.Negative control : PBS instead of the primary antibody.Hematoxylinwas used as a counterstain

Immunohistochemistry (Formalin/PFA-fixed paraffin-embedded sections) - Anti-Glucagon antibody [EP3070] (AB92517)
  • IHC-P

Unknown

Immunohistochemistry (Formalin/PFA-fixed paraffin-embedded sections) - Anti-Glucagon antibody [EP3070] (AB92517)

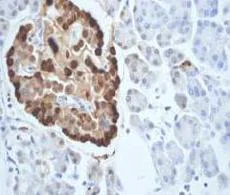
Unpurified ab92517, at 1/1000 dilution, staining Glucagon in paraffin embedded Human pancreas tissue by Immunohistochemistry.

Perform heat mediated antigen retrieval before commencing with IHC staining protocol.

Immunohistochemistry (Formalin/PFA-fixed paraffin-embedded sections) - Anti-Glucagon antibody [EP3070] (AB92517)
  • IHC-P

Unknown

Immunohistochemistry (Formalin/PFA-fixed paraffin-embedded sections) - Anti-Glucagon antibody [EP3070] (AB92517)

Immunohistochemistry (Formalin/PFA-fixed paraffin-embedded sections) analysis of Human pancreas tissue sections labeling Glucagon with Purified ab92517 at 1 : 8000 dilution (0.038 µg/ml). Heat mediated antigen retrieval was performed using using citrate (pH 6.0)Goat Anti-Rabbit IgG H&L (HRP) ab97051was used as the secondary antibody.Negative control : PBS instead of the primary antibody.Hematoxylinwas used as a counterstain

Immunohistochemistry (Formalin/PFA-fixed paraffin-embedded sections) - Anti-Glucagon antibody [EP3070] (AB92517)
  • IHC-P

Lab

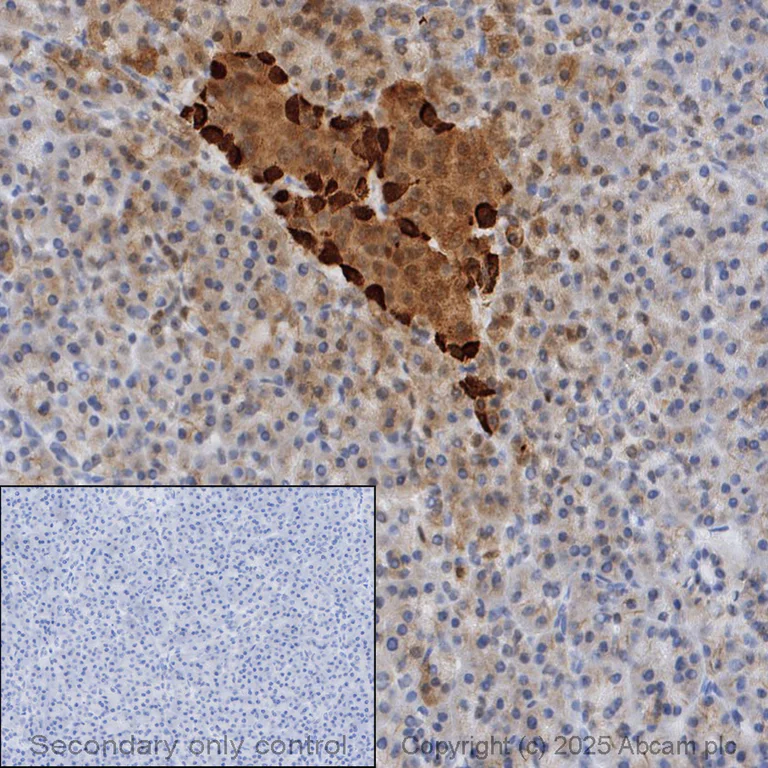
Immunohistochemistry (Formalin/PFA-fixed paraffin-embedded sections) - Anti-Glucagon antibody [EP3070] (AB92517)

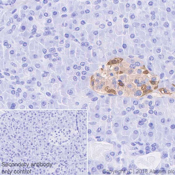
Immunohistochemical analysis of formalin fixed paraffin embedded human pancreas labelling Glucagon with ab92517 at a concentration of 0.02µg/ml. The immunostaining was performed on a Ventana DISCOVERY ULTRA (Roche Tissue Diagnostics) instrument with a OptiView DAB IHC Detection Kit. Heat mediated antigen retrieval was performed with DISCOVERY cell conditioning solution (CC2) 100°C, pH8.5 for 32mins.

ab92517 anti-Glucagon antibody [EP3070] was incubated for 16mins at 37°C. Sections were counterstained with Hematoxylin II. Image inset shows absence of staining in secondary antibody only control.

Customers are encouraged to optimise antigen retrieval conditions, antibody concentration, incubation times and temperature for best results in their own IHC assay workflow (automated and manual)

Immunohistochemistry (Formalin/PFA-fixed paraffin-embedded sections) - Anti-Glucagon antibody [EP3070] (AB92517)
  • IHC-P

Unknown

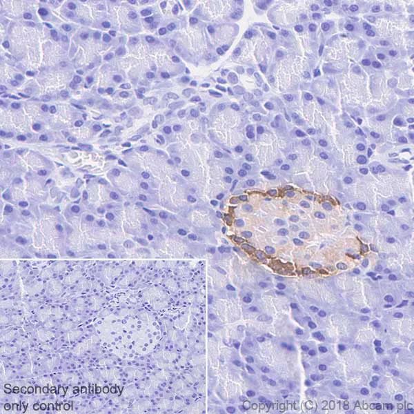
Immunohistochemistry (Formalin/PFA-fixed paraffin-embedded sections) - Anti-Glucagon antibody [EP3070] (AB92517)

Immunohistochemistry (Formalin/PFA-fixed paraffin-embedded sections) analysis of Rat pancreas tissue sections labeling Glucagon with Purified ab92517 at 1 : 8000 dilution (0.038 µg/ml). Heat mediated antigen retrieval was performed using using citrate (pH 6.0)Goat Anti-Rabbit IgG H&L (HRP) ab97051was used as the secondary antibody.Negative control : PBS instead of the primary antibody.Hematoxylinwas used as a counterstain

Western blot - Anti-Glucagon antibody [EP3070] (AB92517)
  • WB

Unknown

Western blot - Anti-Glucagon antibody [EP3070] (AB92517)

Blocking and diluting buffer : 5% NFDM/TBST.

The bands around 75 kDa are non-specific signals.

All lanes:

Western blot - Anti-Glucagon antibody [EP3070] (ab92517) at 0.3 µg/mL

All lanes:

Capan-1 (Human pancreas adenocarcinoma epithelial cell) whole cell lysates at 15 µg

Secondary

All lanes:

Western blot - Goat Anti-Rabbit IgG H&L (HRP) (<a href='/en-us/products/secondary-antibodies/goat-rabbit-igg-h-l-hrp-ab97051'>ab97051</a>) at 1/20000 dilution

Predicted band size: 21 kDa

false

Western blot - Anti-Glucagon antibody [EP3070] (AB92517)
  • WB

Unknown

Western blot - Anti-Glucagon antibody [EP3070] (AB92517)

Blocking and diluting buffer : 5% NFDM/TBST.

The bands around 75 kDa are non-specific signals.

All lanes:

Western blot - Anti-Glucagon antibody [EP3070] (ab92517) at 0.3 µg/mL

All lanes:

Rat pancreas lysates at 15 µg

Secondary

All lanes:

Western blot - Goat Anti-Rabbit IgG H&L (HRP) (<a href='/en-us/products/secondary-antibodies/goat-rabbit-igg-h-l-hrp-ab97051'>ab97051</a>) at 1/20000 dilution

Predicted band size: 21 kDa

false

Western blot - Anti-Glucagon antibody [EP3070] (AB92517)
  • WB

Unknown

Western blot - Anti-Glucagon antibody [EP3070] (AB92517)

Blocking and diluting buffer : 5% NFDM/TBST.

The bands around 75 kDa are non-specific signals.

All lanes:

Western blot - Anti-Glucagon antibody [EP3070] (ab92517) at 0.3 µg/mL

All lanes:

Mouse pancreas lysates at 20 µg

Secondary

All lanes:

Goat Anti-Rabbit IgG (HRP) with minimal cross-reactivity with human IgG at 1/2000 dilution

Predicted band size: 21 kDa

Observed band size: 21 kDa

false

Key facts

Host species

Rabbit

Clonality

Monoclonal

Clone number

EP3070

Isotype

IgG

Carrier free

No

Reacts with

Mouse, Rat, Human

Applications

WB, IHC-P

applications

Immunogen

The exact immunogen used to generate this antibody is proprietary information.

Reactivity data

{ "title": "Reactivity Data", "filters": { "stats": ["", "Species", "Dilution Info", "Notes"], "tabs": { "all-applications": {"fullname" : "All Applications", "shortname": "All Applications"}, "IHCP" : {"fullname" : "Immunohistochemistry (Formalin/PFA-fixed paraffin-embedded sections)", "shortname":"IHC-P"}, "WB" : {"fullname" : "Western blot", "shortname":"WB"} }, "product-promise": { "all": "all", "testedAndGuaranteed": "tested", "guaranteed": "expected", "predicted": "predicted", "notRecommended": "not-recommended" } }, "values": { "Human": { "IHCP-species-checked": "testedAndGuaranteed", "IHCP-species-dilution-info": "1/8000", "IHCP-species-notes": "<p><strong>For unpurified use at 1/1000 - 1/5000.</strong></p> Perform heat-mediated antigen retrieval before commencing with IHC staining protocol.", "WB-species-checked": "testedAndGuaranteed", "WB-species-dilution-info": "0.3 µg/mL", "WB-species-notes": "<p></p>" }, "Mouse": { "IHCP-species-checked": "testedAndGuaranteed", "IHCP-species-dilution-info": "1/8000", "IHCP-species-notes": "<p><strong>For unpurified use at 1/1000 - 1/5000.</strong></p> Perform heat-mediated antigen retrieval before commencing with IHC staining protocol.", "WB-species-checked": "testedAndGuaranteed", "WB-species-dilution-info": "0.3 µg/mL", "WB-species-notes": "<p></p>" }, "Rat": { "IHCP-species-checked": "testedAndGuaranteed", "IHCP-species-dilution-info": "1/8000", "IHCP-species-notes": "<p><strong>For unpurified use at 1/1000 - 1/5000.</strong></p> Perform heat-mediated antigen retrieval before commencing with IHC staining protocol.", "WB-species-checked": "testedAndGuaranteed", "WB-species-dilution-info": "0.3 µg/mL", "WB-species-notes": "<p></p>" } } }

Product details

Product Specifications
Anti-Glucagon antibody [EP3070] (ab92517) was developed by Abcam using patented rabbit monoclonal antibody technology and is validated for use in IHC-P, WB in human, mouse, rat samples.
Anti-Glucagon antibody [EP3070] (ab92517) specifically detects Glucagon (UniProt ID: P01275; Molecular weight: 8kDa) and is sold in 100 µL and 1 mL selling sizes.

Quality and Validation
Abcam's high quality manufacturing and validation processes ensure Anti-Glucagon antibody [EP3070] (ab92517) has high sensitivity and specificity alongside high lot-to-lot consistency and reproducibility.
Anti-Glucagon antibody [EP3070] (ab92517) has been cited over 81 times in peer reviewed journals and is trusted by the scientific community.
Anti-Glucagon antibody [EP3070] (ab92517) has 8 independent reviews from customers.

Related Products
Antibody clone EP3070 is also available pre-conjugated to a variety of labels for your convenience - Alexa Fluor® 647, Alexa Fluor® 488, Alexa Fluor® 594, Alexa Fluor® 555, Biotin (ab307337, ab307340, ab311840, ab313316, ab314399).

Patented technology
Our RabMAb® technology is a patented hybridoma-based technology for making rabbit monoclonal antibodies. For details on our patents, please refer to RabMAb® patents.

What are the advantages of a recombinant monoclonal antibody?
This product is a recombinant monoclonal antibody, which offers several advantages including:

  • - High batch-to-batch consistency and reproducibility
  • - Improved sensitivity and specificity
  • - Long-term security of supply
  • - Animal-free batch production

For more information, read more on recombinant antibodies.

Properties and storage information

Form
Liquid
Purification technique
Affinity purification Protein A
Storage buffer
pH: 7.2 - 7.4 Preservative: 0.01% Sodium azide Constituents: PBS, 40% Glycerol (glycerin, glycerine), 0.05% BSA
Shipped at conditions
Blue Ice
Appropriate short-term storage duration
1-2 weeks
Appropriate short-term storage conditions
+4°C
Appropriate long-term storage conditions
-20°C
Aliquoting information
Upon delivery aliquot
Storage information
Avoid freeze / thaw cycle

Product protocols

For this product, it's our understanding that no specific protocols are required. You can visit:

Target data

Glucagon. Plays a key role in glucose metabolism and homeostasis. Regulates blood glucose by increasing gluconeogenesis and decreasing glycolysis. A counterregulatory hormone of insulin, raises plasma glucose levels in response to insulin-induced hypoglycemia. Plays an important role in initiating and maintaining hyperglycemic conditions in diabetes. Binds to and activates the glucagon receptor GCGR, which couples to the G(s) G protein and elevates intracellular cAMP, triggering downstream metabolic responses (PubMed : 32193322).. Glucagon-like peptide 1. Potent stimulator of glucose-dependent insulin release (PubMed : 22037645, PubMed : 40446798). Also stimulates insulin release in response to IL6 (PubMed : 22037645). Plays important roles on gastric motility and the suppression of plasma glucagon levels (PubMed : 10605628, PubMed : 14719035, PubMed : 12554744). May be involved in the suppression of satiety and stimulation of glucose disposal in peripheral tissues, independent of the actions of insulin (PubMed : 10605628, PubMed : 14719035, PubMed : 12554744). Has growth-promoting activities on intestinal epithelium (PubMed : 10605628, PubMed : 14719035, PubMed : 12554744). May also regulate the hypothalamic pituitary axis (HPA) via effects on LH, TSH, CRH, oxytocin, and vasopressin secretion (PubMed : 10605628, PubMed : 14719035, PubMed : 12554744). Increases islet mass through stimulation of islet neogenesis and pancreatic beta cell proliferation (PubMed : 10605628, PubMed : 14719035, PubMed : 12554744). Inhibits beta cell apoptosis (PubMed : 10605628, PubMed : 14719035, PubMed : 12554744).. Glucagon-like peptide 2. Stimulates intestinal growth and up-regulates villus height in the small intestine, concomitant with increased crypt cell proliferation and decreased enterocyte apoptosis. The gastrointestinal tract, from the stomach to the colon is the principal target for GLP-2 action. Plays a key role in nutrient homeostasis, enhancing nutrient assimilation through enhanced gastrointestinal function, as well as increasing nutrient disposal. Stimulates intestinal glucose transport and decreases mucosal permeability.. Oxyntomodulin. Significantly reduces food intake. Inhibits gastric emptying in humans. Suppression of gastric emptying may lead to increased gastric distension, which may contribute to satiety by causing a sensation of fullness.. Glicentin. May modulate gastric acid secretion and the gastro-pyloro-duodenal activity. May play an important role in intestinal mucosal growth in the early period of life.
See full target information Pro-glucagon

Publications (121)

Recent publications for all applications. Explore the full list and refine your search

PloS one 20:e0329094 PubMed40986524

2025

Liver-specific glucagon dysfunction promotes PP-cell hyperplasia and formation of glucagon and PP double-positive cells.

Applications

Unspecified application

Species

Unspecified reactive species

Yuko Nakagawa,Takuro Horii,Ayako Fukunaka,Takashi Sato,Zhehao Zhang,Masaki Kobayashi,Tadahiro Kitamura,Yoshitaka Hayashi,Takashi Nishimura,Izuho Hatada,Yoshio Fujitani

Diabetologia 68:2263-2276 PubMed40650745

2025

Verapamil and low-dose anti-mouse thymocyte globulin combination therapy stably reverses recent-onset type 1 diabetes in NOD mice by acting on the beta cell and immune axes.

Applications

Unspecified application

Species

Unspecified reactive species

Laure Degroote,Pieter-Jan Martens,Marijke Viaene,Yves Heremans,Gunter Leuckx,Nick Geukens,Nico De Leu,Willem Staels,Chantal Mathieu,Conny Gysemans

Probiotics and antimicrobial proteins : PubMed40366615

2025

Lactobacillus rhamnosus GG Supernatant Improves GLP-1 Secretion Through Attenuating L Cell Lipotoxicity and Modulating Gut Microbiota in Obesity.

Applications

Unspecified application

Species

Unspecified reactive species

Xu Wang,Xinrui Lv,Yaxin Qi,Sipu Wang,Mo Yang,Bangmao Wang,Hailong Cao,Jie Zhang,Xin Xu

Nature communications 16:3933 PubMed40287424

2025

Nitro-oleic acid enhances mitochondrial metabolism and ameliorates heart failure with preserved ejection fraction in mice.

Applications

Unspecified application

Species

Unspecified reactive species

Marion Müller,Torben Schubert,Cornelius Welke,Tibor Maske,Thomas Patschkowski,Elfi Donhauser,Jacqueline Heinen-Weiler,Felix-Levin Hormann,Sven Heiles,Tina Johanna Schulz,Luisa Andrea Lengenfelder,Lucia Landwehrjohann,Elisa Theres Vogt,Bernd Stratmann,Jurek Hense,Simon Lüdtke,Martina Düfer,Elena Tolstik,Johann Dierks,Kristina Lorenz,Tamino Huxohl,Jan-Christian Reil,Vasco Sequeira,Francisco Jose Schopfer,Bruce A Freeman,Volker Rudolph,Uwe Schlomann,Anna Klinke

Theranostics 15:4247-4269 PubMed40225588

2025

LRG1 inhibition promotes acute pancreatitis recovery by inducing cholecystokinin Type 1 receptor expression via Akt.

Applications

Unspecified application

Species

Unspecified reactive species

Seok Ting Lim,Xinmei Zhao,Shuqing Liu,Wenjuan Zhang,Yuanyang Tan,Nidula Mullappilly,Sandip M Swain,Mei Ling Leong,Ravisankar Rajarethinam,Kah Fei Wan,Christiane Ruedl,Rodger A Liddle,Liang Li,Xiaomeng Wang

Diabetologia 68:1197-1210 PubMed40090995

2025

Enterovirus VP1 protein and HLA class I hyperexpression in pancreatic islet cells of organ donors with type 1 diabetes.

Applications

Unspecified application

Species

Unspecified reactive species

Teresa Rodriguez-Calvo,Jutta E Laiho,Maarit Oikarinen,Pouria Akhbari,Christine Flaxman,Thomas Worthington,Paola Apaolaza,John S Kaddis,Irina Kusmartseva,Sisko Tauriainen,Martha Campbell-Thompson,Mark A Atkinson,Matthias von Herrath,Heikki Hyöty,Noel G Morgan,Alberto Pugliese,Sarah J Richardson

The Journal of biological chemistry 301:108388 PubMed40054692

2025

Cardioprotective effect of genetic ablation of the G-protein-coupled receptor kinase GRK2 in adult pancreatic β-cells during high-fat diet.

Applications

Unspecified application

Species

Unspecified reactive species

Jonathan Snyder,Chun-Sun Jiang,Ran Hee Choi,Taylor Morgan,Jeffrey Roman,Lilly Underwood,Anna Maria Lucchese,Sarah Montgomery,Laurel A Grisanti,Nicolai Doliba,William L Holland,Priscila Y Sato

Frontiers in pharmacology 16:1521416 PubMed39925846

2025

Identification of retinol dehydrogenase 10 as a shared biomarker for metabolic dysfunction-associated steatotic liver disease and type 2 diabetes mellitus.

Applications

Unspecified application

Species

Unspecified reactive species

Fangyu Li,Rui Li,Hongjun Deng

Physiological reports 13:e70222 PubMed39903552

2025

Improved glucose handling in female rat offspring of a hypertensive pregnancy with intrauterine growth restriction.

Applications

Unspecified application

Species

Unspecified reactive species

Melissa A Cedars,Kate M Root,Brian Akhaphong,Megan Beetch,Abigail E Miles,Ronald R Regal,Emilyn U Alejandro,Jean F Regal

iScience 27:111064 PubMed39635125

2024

Complement C3 promotes islet β-cell dedifferentiation by activating Wnt/β-catenin pathway.

Applications

Unspecified application

Species

Unspecified reactive species

Lei Zhuang,Qi Li,Wenjun You,Shengke Wen,Tianxing Chen,Jianbin Su,Wei Zhao,Ji Hu
View all publications

Product promise

We are committed to supporting your work with high-quality reagents, and we're here for you every step of the way. In the unlikely event that one of our products does not perform as expected, you're protected by our Product Promise.
For full details, please see our Terms & Conditions

Please note: All products are 'FOR RESEARCH USE ONLY. NOT FOR USE IN DIAGNOSTIC OR THERAPEUTIC PROCEDURES'.

For licensing inquiries, please contact partnerships@abcam.com