JavaScript is disabled in your browser. Please enable JavaScript to view this website.
AB3580

Anti-Glucocorticoid Receptor alpha antibody

3

(3 Reviews)

|

(34 Publications)

Rabbit Polyclonal Glucocorticoid Receptor antibody. Suitable for IHC-P, ICC/IF and reacts with Human samples. Cited in 34 publications. Immunogen corresponding to Synthetic Peptide within Human NR3C1 aa 750 to C-terminus.

View Alternative Names

GRL, NR3C1, Glucocorticoid receptor, GR, Nuclear receptor subfamily 3 group C member 1

9 Images
Immunocytochemistry/ Immunofluorescence - Anti-Glucocorticoid Receptor alpha antibody (AB3580)
  • ICC/IF

Unknown

Immunocytochemistry/ Immunofluorescence - Anti-Glucocorticoid Receptor alpha antibody (AB3580)

ab3580 staining glucocorticoid receptor in serum starved HeLa (Human epithelial adenocarcinoma cell line) cells treated with rosiglitazone (ab120762), by ICC/IF. Changes in localization of glucocorticoid receptor (translocation from cytoplasm to nucleous) correlates with increased concentration of rosiglitazone, as described in literature.
The cells were incubated at 37°C for 1h in media containing different concentrations of ab120762 (rosiglitazone) in DMSO, fixed with 4% formaldehyde for 10 minutes at room temperature and blocked with PBS containing 10% goat serum, 0.3 M glycine, 1% BSA and 0.1% tween for 2h at room temperature. Staining of the treated cells with ab3580 (5 μg/ml) was performed overnight at 4°C in PBS containing 1% BSA and 0.1% tween. A DyLight 488 goat anti-rabbit polyclonal antibody (ab96899) at 1/250 dilution was used as the secondary antibody. Nuclei were counterstained with DAPI and are shown in blue.

Immunocytochemistry/ Immunofluorescence - Anti-Glucocorticoid Receptor alpha antibody (AB3580)
  • ICC/IF

Supplier Data

Immunocytochemistry/ Immunofluorescence - Anti-Glucocorticoid Receptor alpha antibody (AB3580)

Immunocytochemistry/Immunofluorescence analysis of U-251 MG (Human brain glioma cell line) cells labeling Glucocorticoid Receptor alpha (green) with ab3580 at 1/100. F-Actin staining with Phalloidin (red) and nuclei with DAPI (blue). Cells were fixed with formaldehyde and incubated with the primary antibody overnight at 4°C. A DyLight 488-conjugated secondary antibody was used. 60X magnification. Right - negative control.

Immunohistochemistry (Formalin/PFA-fixed paraffin-embedded sections) - Anti-Glucocorticoid Receptor alpha antibody (AB3580)
  • IHC-P

Unknown

Immunohistochemistry (Formalin/PFA-fixed paraffin-embedded sections) - Anti-Glucocorticoid Receptor alpha antibody (AB3580)

Immunohistochemistry was performed on both normal and cancer biopsies of deparaffinized human cervical carcinoma tissues. To expose target proteins heat induced antigen retrieval was performed using 10mM sodium citrate (pH6.0) buffer microwaved for 8-15 minutes. Following antigen retrieval tissues were blocked in 3% BSA-PBS for 30 minutes at room temperature. Tissues were then probed at a dilution of 1 : 20 with a rabbit polyclonal antibody recognizing Glucocorticoid Receptor alpha ab3580 or without primary antibody (negative control) overnight at 4°C in a humidified chamber. Tissues were washed extensively with PBST and endogenous peroxidase activity was quenched with a peroxidase suppressor. Detection was performed using a biotin-conjugated secondary antibody and SA-HRP followed by colorimetric detection using DAB. Tissues were counterstained with hematoxylin and prepped for mounting.

Immunocytochemistry/ Immunofluorescence - Anti-Glucocorticoid Receptor alpha antibody (AB3580)
  • ICC/IF

Supplier Data

Immunocytochemistry/ Immunofluorescence - Anti-Glucocorticoid Receptor alpha antibody (AB3580)

Immunocytochemistry/Immunofluorescence analysis of A2058 (Human metastatic melanoma cell line) cells labeling Glucocorticoid Receptor alpha (green) with ab3580 at 1/200. F-Actin staining with Phalloidin (red) and nuclei with DAPI (blue). Cells were fixed with formaldehyde and incubated with the primary antibody overnight at 4°C. A DyLight 488-conjugated secondary antibody was used. 60X magnification. Right - negative control.

Immunohistochemistry (Formalin/PFA-fixed paraffin-embedded sections) - Anti-Glucocorticoid Receptor alpha antibody (AB3580)
  • IHC-P

Unknown

Immunohistochemistry (Formalin/PFA-fixed paraffin-embedded sections) - Anti-Glucocorticoid Receptor alpha antibody (AB3580)

Immunohistochemistry was performed on both normal and cancer biopsies of deparaffinized human tonsil tissue tissues. To expose target proteins heat induced antigen retrieval was performed using 10mM sodium citrate (pH6.0) buffer microwaved for 8-15 minutes. Following antigen retrieval tissues were blocked in 3% BSA-PBS for 30 minutes at room temperature. Tissues were then probed at a dilution of 1 : 50 with a rabbit polyclonal antibody recognizing Glucocorticoid Receptor alpha ab3580 or without primary antibody (negative control) overnight at 4°C in a humidified chamber. Tissues were washed extensively with PBST and endogenous peroxidase activity was quenched with a peroxidase suppressor. Detection was performed using a biotin-conjugated secondary antibody and SA-HRP followed by colorimetric detection using DAB. Tissues were counterstained with hematoxylin and prepped for mounting.

Immunohistochemistry (Formalin/PFA-fixed paraffin-embedded sections) - Anti-Glucocorticoid Receptor alpha antibody (AB3580)
  • IHC-P

Unknown

Immunohistochemistry (Formalin/PFA-fixed paraffin-embedded sections) - Anti-Glucocorticoid Receptor alpha antibody (AB3580)

Immunohistochemistry was performed on both normal and cancer biopsies of deparaffinized human heart tissue tissues. To expose target proteins heat induced antigen retrieval was performed using 10mM sodium citrate (pH6.0) buffer microwaved for 8-15 minutes. Following antigen retrieval tissues were blocked in 3% BSA-PBS for 30 minutes at room temperature. Tissues were then probed at a dilution of 1 : 100 with a rabbit polyclonal antibody recognizing Glucocorticoid Receptor alpha ab3580 or without primary antibody (negative control) overnight at 4°C in a humidified chamber. Tissues were washed extensively with PBST and endogenous peroxidase activity was quenched with a peroxidase suppressor. Detection was performed using a biotin-conjugated secondary antibody and SA-HRP followed by colorimetric detection using DAB. Tissues were counterstained with hematoxylin and prepped for mounting.

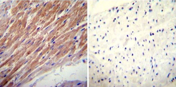
Immunohistochemistry (Formalin/PFA-fixed paraffin-embedded sections) - Anti-Glucocorticoid Receptor alpha antibody (AB3580)
  • IHC-P

Unknown

Immunohistochemistry (Formalin/PFA-fixed paraffin-embedded sections) - Anti-Glucocorticoid Receptor alpha antibody (AB3580)

ab3580 (1μg/ml) staining glucocorticoid receptor alpha in human hippocampus using an automated system (DAKO Autostainer Plus). Using this protocol there is cytoplasmic staining in the neuropil and blood vessel smooth muscle.
Sections were rehydrated and antigen retrieved with the Dako 3 in 1 AR buffer EDTA pH 9.0 in a DAKO PT Link. Slides were peroxidase blocked in 3% H2O2 in methanol for 10 mins. They were then blocked with Dako Protein block for 10 minutes (containing casein 0.25% in PBS) then incubated with primary antibody for 20 min and detected with Dako Envision Flex amplification kit for 30 minutes. Colorimetric detection was completed with Diaminobenzidine for 5 minutes. Slides were counterstained with Haematoxylin and coverslipped under DePeX. Please note that, for manual staining, optimization of primary antibody concentration and incubation time is recommended. Signal amplification may be required.

Immunocytochemistry/ Immunofluorescence - Anti-Glucocorticoid Receptor alpha antibody (AB3580)
  • ICC/IF

Supplier Data

Immunocytochemistry/ Immunofluorescence - Anti-Glucocorticoid Receptor alpha antibody (AB3580)

Immunocytochemistry/Immunofluorescence analysis of HeLa (Human epithelial adenocarcinoma cell line) cells labeling Glucocorticoid Receptor alpha (green) with ab3580 at 1/100. F-Actin staining with Phalloidin (red) and nuclei with DAPI (blue). Cells were fixed with formaldehyde and incubated with the primary antibody overnight at 4°C. A DyLight 488-conjugated secondary antibody was used. 60X magnification. Right - negative control.

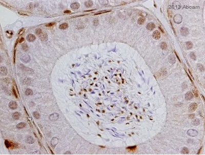
Immunohistochemistry (Formalin/PFA-fixed paraffin-embedded sections) - Anti-Glucocorticoid Receptor alpha antibody (AB3580)
  • IHC-P

AbReview35909****

Immunohistochemistry (Formalin/PFA-fixed paraffin-embedded sections) - Anti-Glucocorticoid Receptor alpha antibody (AB3580)

ab3580 staining Glucocorticoid Receptor alpha in mouse epididymis tissue sections by Immunohistochemistry (IHC-P - paraformaldehyde-fixed, paraffin-embedded sections). Tissue was fixed with Bouin's solution and blocked with 1.5% serum for 30 minutes at 25°C; antigen retrieval was by heat mediation in a citrate buffer. Samples were incubated with primary antibody (1/1000 in blocking buffer) for 14 hours at 4°C. ab6721 Goat anti-rabbit HRP (1/200) was used as the secondary antibody.

This image is courtesy of an anonymous Abreview

Key facts

Host species

Rabbit

Clonality

Polyclonal

Isotype

IgG

Carrier free

No

Reacts with

Human

Applications

IHC-P, ICC/IF

applications

Immunogen

Synthetic Peptide within Human NR3C1 aa 750 to C-terminus. The exact immunogen used to generate this antibody is proprietary information.

P04150

Reactivity data

{ "title": "Reactivity Data", "filters": { "stats": ["", "Species", "Dilution Info", "Notes"], "tabs": { "all-applications": {"fullname" : "All Applications", "shortname": "All Applications"}, "IHCP" : {"fullname" : "Immunohistochemistry (Formalin/PFA-fixed paraffin-embedded sections)", "shortname":"IHC-P"}, "ICCIF" : {"fullname" : "Immunocytochemistry/ Immunofluorescence", "shortname":"ICC/IF"} }, "product-promise": { "all": "all", "testedAndGuaranteed": "tested", "guaranteed": "expected", "predicted": "predicted", "notRecommended": "not-recommended" } }, "values": { "Human": { "IHCP-species-checked": "testedAndGuaranteed", "IHCP-species-dilution-info": "1/20", "IHCP-species-notes": "<p></p>", "ICCIF-species-checked": "testedAndGuaranteed", "ICCIF-species-dilution-info": "1/100 - 1/200", "ICCIF-species-notes": "<p></p>" } } }

Product details

GR alpha proteins has many isoforms e.g. GR alpha-A, Alpha-2, GR-A alpha, Alpha-B. Please check Uniprot database or PMID 15866175 for more information.

Properties and storage information

Form
Liquid
Purification technique
Affinity purification Immunogen
Storage buffer
Preservative: 0.05% Sodium azide Constituents: PBS
Shipped at conditions
Blue Ice
Appropriate short-term storage duration
1-2 weeks
Appropriate short-term storage conditions
+4°C
Appropriate long-term storage conditions
-20°C
Aliquoting information
Upon delivery aliquot
Storage information
Avoid freeze / thaw cycle

Supplementary information

This supplementary information is collated from multiple sources and compiled automatically.

The Glucocorticoid Receptor alpha also known as GR-alpha is a fundamental component in the family of nuclear receptors. It weighs approximately 97 kDa. This receptor is widely expressed in various tissues including the liver immune cells and the brain. The receptor functions through ligand-induced activation where it binds glucocorticoids. Upon binding GR-alpha undergoes a conformational change enabling it to translocate into the nucleus where it interacts with specific DNA sequences.
Biological function summary

The Glucocorticoid Receptor alpha influences numerous cellular processes like metabolism immune response and cell proliferation. It often functions as a part of larger protein complexes including transcriptional machinery. GR-alpha regulates gene expression by binding to glucocorticoid response elements (GRE) on DNA impacting the synthesis of specific proteins. This receptor modulates both positive and negative transcriptional control affecting various genes involved in biological responses.

Pathways

GR-alpha plays an important role in the Hypothalamic-Pituitary-Adrenal (HPA) axis and the inflammatory response pathway. In the HPA axis GR-alpha regulates cortisol synthesis and secretion impacting stress response and maintaining homeostasis. Within the inflammatory response GR-alpha interacts with NF-kB a protein complex that controls transcription of DNA to inhibit pro-inflammatory gene expression. These interactions exemplify GR-alpha’s regulatory influence on inflammation and stress-related responses.

GR-alpha is implicated in various conditions such as Cushing's syndrome and rheumatoid arthritis. In Cushing's syndrome impaired function or expression of GR-alpha leads to uncontrolled cortisol levels resulting in multiple metabolic and physiological disturbances. In rheumatoid arthritis GR-alpha mediates anti-inflammatory effects which are important for disease management. Connections between GR-alpha and pro-inflammatory cytokines emphasize its role in modulating inflammatory responses in these diseases.

Product protocols

For this product, it's our understanding that no specific protocols are required. You can visit:

Target data

Receptor for glucocorticoids (GC) (PubMed : 27120390, PubMed : 37478846). Has a dual mode of action : as a transcription factor that binds to glucocorticoid response elements (GRE), both for nuclear and mitochondrial DNA, and as a modulator of other transcription factors (PubMed : 28139699). Affects inflammatory responses, cellular proliferation and differentiation in target tissues. Involved in chromatin remodeling (PubMed : 9590696). Plays a role in rapid mRNA degradation by binding to the 5' UTR of target mRNAs and interacting with PNRC2 in a ligand-dependent manner which recruits the RNA helicase UPF1 and the mRNA-decapping enzyme DCP1A, leading to RNA decay (PubMed : 25775514). Could act as a coactivator for STAT5-dependent transcription upon growth hormone (GH) stimulation and could reveal an essential role of hepatic GR in the control of body growth (By similarity).. Isoform Alpha. Has transcriptional activation and repression activity (PubMed : 11435610, PubMed : 15769988, PubMed : 15866175, PubMed : 17635946, PubMed : 19141540, PubMed : 19248771, PubMed : 20484466, PubMed : 21664385, PubMed : 23820903). Mediates glucocorticoid-induced apoptosis (PubMed : 23303127). Promotes accurate chromosome segregation during mitosis (PubMed : 25847991). May act as a tumor suppressor (PubMed : 25847991). May play a negative role in adipogenesis through the regulation of lipolytic and antilipogenic gene expression (By similarity).. Isoform Beta. Acts as a dominant negative inhibitor of isoform Alpha (PubMed : 20484466, PubMed : 7769088, PubMed : 8621628). Has intrinsic transcriptional activity independent of isoform Alpha when both isoforms are coexpressed (PubMed : 19248771, PubMed : 26711253). Loses this transcription modulator function on its own (PubMed : 20484466). Has no hormone-binding activity (PubMed : 8621628). May play a role in controlling glucose metabolism by maintaining insulin sensitivity (By similarity). Reduces hepatic gluconeogenesis through down-regulation of PEPCK in an isoform Alpha-dependent manner (PubMed : 26711253). Directly regulates STAT1 expression in isoform Alpha-independent manner (PubMed : 26711253).. Isoform Alpha-2. Has lower transcriptional activation activity than isoform Alpha. Exerts a dominant negative effect on isoform Alpha trans-repression mechanism (PubMed : 20484466).. Isoform GR-P. Increases activity of isoform Alpha.. Isoform Alpha-B. More effective than isoform Alpha in transcriptional activation, but not repression activity.. Isoform 10. Has transcriptional activation activity.. Isoform Alpha-C1. Has transcriptional activation activity.. Isoform Alpha-C2. Has transcriptional activation activity.. Isoform Alpha-C3. Has highest transcriptional activation activity of all isoforms created by alternative initiation (PubMed : 15866175, PubMed : 23820903). Has transcriptional repression activity (PubMed : 23303127). Mediates glucocorticoid-induced apoptosis (PubMed : 23303127, PubMed : 23820903).. Isoform Alpha-D1. Has transcriptional activation activity.. Isoform Alpha-D2. Has transcriptional activation activity.. Isoform Alpha-D3. Has lowest transcriptional activation activity of all isoforms created by alternative initiation (PubMed : 15866175, PubMed : 23820903). Has transcriptional repression activity (PubMed : 23303127).
See full target information NR3C1

Publications (34)

Recent publications for all applications. Explore the full list and refine your search

Journal of cellular and molecular medicine 29:e70613 PubMed40624893

2025

Dexamethasone Promotes Autophagy Dependent Ferroptosis of Placental Trophoblast Cells Through GRα.

Applications

Unspecified application

Species

Unspecified reactive species

Junlei Lu,Xinyun Huang,Yuan Xu,Qiaoping Xu,Hongkai Shang

International archives of allergy and immunology 184:634-642 PubMed36996773

2023

Novel Classification System of Adenoids Based on Appearance and Its Relationship with Drug Therapy.

Applications

Unspecified application

Species

Unspecified reactive species

Huan-Huan Chang,Xin-Yi Zhang,Lu An,Pan-Hong Dang,Juan Luo,Jie Wang

The New phytologist 238:673-687 PubMed36707918

2023

Somatic embryo initiation by rice BABY BOOM1 involves activation of zygote-expressed auxin biosynthesis genes.

Applications

Unspecified application

Species

Unspecified reactive species

Imtiyaz Khanday,Christian Santos-Medellín,Venkatesan Sundaresan

Open veterinary journal 13:150-170 PubMed37073241

2023

Long-term histological effects of high-dose prednisolone administration on the mitral valve in normal Beagle dogs.

Applications

Unspecified application

Species

Unspecified reactive species

Sachiyo Tanaka,Shuji Suzuki,Misaki Shimura,Asaka Kawana,Aki Tanaka,Satoshi Soeta,Yasushi Hara

Planta medica 89:262-272 PubMed35850481

2022

Icariin Improves Glucocorticoid Resistance in a Murine Model of Asthma with Depression Associated with Enhancement of GR Expression and Function.

Applications

Unspecified application

Species

Unspecified reactive species

Hualiang Jin,Yan Zhou,Jian Ye,Chenhui Qiu,Weizhong Jin,Limin Wang

Frontiers in immunology 13:905727 PubMed35865549

2022

Increased Interleukin-17 and Glucocorticoid Receptor-β Expression in Interstitial Lung Diseases and Corticosteroid Insensitivity.

Applications

Unspecified application

Species

Unspecified reactive species

Chun-Yu Lo,Chun-Hua Wang,Chih-Wei Wang,Chih-Jung Chen,Hung-Yu Huang,Fu-Tsai Chung,Yu-Chen Huang,Chang-Wei Lin,Chung-Shu Lee,Chun-Yu Lin,Chiung-Hung Lin,Po-Jui Chang,Ting-Yu Lin,Chih-Chen Heh,Jung-Ru He,Kian Fan Chung

The Plant cell 33:3645-3657 PubMed34586419

2021

A transcriptional complex of NGATHA and bHLH transcription factors directs stigma development in Arabidopsis.

Applications

Unspecified application

Species

Unspecified reactive species

Patricia Ballester,Maria A Martínez-Godoy,Miguel Ezquerro,Marisa Navarrete-Gómez,Marina Trigueros,Manuel Rodríguez-Concepción,Cristina Ferrándiz

Experimental and therapeutic medicine 21:500 PubMed33791009

2021

LncRNA XIST promotes inflammation by downregulating GRα expression in the adenoids of children with OSAHS.

Applications

Unspecified application

Species

Unspecified reactive species

Zhen Zhou,Haifeng Ni,Yong Li,Bo Jiang

Journal of cellular and molecular medicine : PubMed33094923

2020

Methylprednisolone alleviates multiple sclerosis by expanding myeloid-derived suppressor cells via glucocorticoid receptor β and S100A8/9 up-regulation.

Applications

Unspecified application

Species

Unspecified reactive species

Zhongkun Wang,Ge Zheng,Guangjian Li,Mengkun Wang,Zhanchuan Ma,Huimin Li,Xiang-Yang Wang,Huanfa Yi

Immunity, inflammation and disease 8:605-614 PubMed32870597

2020

Increased lipopolysaccharide content is positively correlated with glucocorticoid receptor-beta expression in chronic rhinosinusitis with nasal polyps.

Applications

Unspecified application

Species

Unspecified reactive species

Shui-Bin Wang,Shi-Ming Chen,Ke-Sheng Zhu,Bin Zhou,Long Chen,Xiao-Yan Zou
View all publications

Product promise

We are committed to supporting your work with high-quality reagents, and we're here for you every step of the way. In the unlikely event that one of our products does not perform as expected, you're protected by our Product Promise.
For full details, please see our Terms & Conditions

Please note: All products are 'FOR RESEARCH USE ONLY. NOT FOR USE IN DIAGNOSTIC OR THERAPEUTIC PROCEDURES'.

For licensing inquiries, please contact partnerships@abcam.com