JavaScript is disabled in your browser. Please enable JavaScript to view this website.
AB225886

Anti-Glucocorticoid Receptor antibody

Be the first to review this product! Submit a review

|

(4 Publications)

Rabbit Polyclonal Glucocorticoid Receptor antibody. Suitable for IHC-P, IP, WB, ChIP-seq and reacts with Human samples. Cited in 4 publications. Immunogen corresponding to Synthetic Peptide within Human NR3C1 aa 150-200.

View Alternative Names

GRL, NR3C1, Glucocorticoid receptor, GR, Nuclear receptor subfamily 3 group C member 1

4 Images
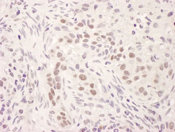
Immunohistochemistry (Formalin/PFA-fixed paraffin-embedded sections) - Anti-Glucocorticoid Receptor antibody (AB225886)
  • IHC-P

Supplier Data

Immunohistochemistry (Formalin/PFA-fixed paraffin-embedded sections) - Anti-Glucocorticoid Receptor antibody (AB225886)

Formalin-fixed, paraffin-embedded human lung carcinoma tissue stained for Glucocorticoid Receptor using ab225886 at 1/200 dilution in immunohistochemical analysis. Detection : DAB staining.

Immunoprecipitation - Anti-Glucocorticoid Receptor antibody (AB225886)
  • IP

Supplier Data

Immunoprecipitation - Anti-Glucocorticoid Receptor antibody (AB225886)

Glucocorticoid Receptor was immunoprecipitated from HeLa (human epithelial cell line from cervix adenocarcinoma) whole cell lysate (1 mg for IP, 20% of IP loaded) with ab225886 at 6 μg/mg lysate. Western blot was performed from the immunoprecipitate using ab225886 at 0.4 μg/ml.

Lane 1 : ab225886 IP in HeLa whole cell lysate.

Lane 2 : Control IgG IP in HeLa whole cell lysate.

Detection : Chemiluminescence with exposure time of 1 second.

All lanes:

Immunoprecipitation - Anti-Glucocorticoid Receptor antibody (ab225886)

Predicted band size: 85 kDa

false

ChIP-sequencing - Anti-Glucocorticoid Receptor antibody (AB225886)
  • ChIP-seq

Supplier Data

ChIP-sequencing - Anti-Glucocorticoid Receptor antibody (AB225886)

Chromatin from prednisolone treated THP-1 (human monocytic leukemia cell line) cells was immunoprecipitated with ab225886 and analyzed by DNA sequencing. The figure illustrates the peak distribution of Glucocorticoid Receptor binding within a 250 Kb region of chromosome 6 as detected using ab225886.

Western blot - Anti-Glucocorticoid Receptor antibody (AB225886)
  • WB

Supplier Data

Western blot - Anti-Glucocorticoid Receptor antibody (AB225886)

All lanes:

Western blot - Anti-Glucocorticoid Receptor antibody (ab225886) at 0.04 µg/mL

Lane 1:

HeLa (human epithelial cell line from cervix adenocarcinoma) whole cell lysate at 50 µg

Lane 2:

HeLa (human epithelial cell line from cervix adenocarcinoma) whole cell lysate at 15 µg

Lane 3:

HEK-293T (human epithelial cell line from embryonic kidney transformed with large T antigen) whole cell lysate at 50 µg

Predicted band size: 85 kDa

true

Exposure time: 30s

Key facts

Host species

Rabbit

Clonality

Polyclonal

Isotype

IgG

Carrier free

No

Reacts with

Human

Applications

ChIP-seq, IHC-P, IP, WB

applications

Immunogen

Synthetic Peptide within Human NR3C1 aa 150-200. The exact immunogen used to generate this antibody is proprietary information.

P04150

Reactivity data

{ "title": "Reactivity Data", "filters": { "stats": ["", "Species", "Dilution Info", "Notes"], "tabs": { "all-applications": {"fullname" : "All Applications", "shortname": "All Applications"}, "IHCP" : {"fullname" : "Immunohistochemistry (Formalin/PFA-fixed paraffin-embedded sections)", "shortname":"IHC-P"}, "IP" : {"fullname" : "Immunoprecipitation", "shortname":"IP"}, "WB" : {"fullname" : "Western blot", "shortname":"WB"}, "ChIPseq" : {"fullname" : "ChIP-sequencing", "shortname":"ChIP-seq"} }, "product-promise": { "all": "all", "testedAndGuaranteed": "tested", "guaranteed": "expected", "predicted": "predicted", "notRecommended": "not-recommended" } }, "values": { "Human": { "IHCP-species-checked": "testedAndGuaranteed", "IHCP-species-dilution-info": "1/500 - 1/2000", "IHCP-species-notes": "<p></p>", "IP-species-checked": "testedAndGuaranteed", "IP-species-dilution-info": "2-10 µg/mg of lysate", "IP-species-notes": "<p></p>", "WB-species-checked": "testedAndGuaranteed", "WB-species-dilution-info": "1/2000 - 1/10000", "WB-species-notes": "<p></p>", "ChIPseq-species-checked": "testedAndGuaranteed", "ChIPseq-species-dilution-info": "4 µg for 30 µg chromatin", "ChIPseq-species-notes": "<p></p>" }, "Sheep": { "IHCP-species-checked": "predicted", "IHCP-species-dilution-info": "", "IHCP-species-notes": "", "IP-species-checked": "predicted", "IP-species-dilution-info": "", "IP-species-notes": "", "WB-species-checked": "predicted", "WB-species-dilution-info": "", "WB-species-notes": "", "ChIPseq-species-checked": "predicted", "ChIPseq-species-dilution-info": "", "ChIPseq-species-notes": "" } } }

Properties and storage information

Form
Liquid
Purification technique
Affinity purification Immunogen
Purification notes
ab225886 was affinity purified using an epitope specific to Glucocorticoid Receptor immobilized on solid support.
Storage buffer
pH: 6.8 - 7.4 Preservative: 0.09% Sodium azide Constituents: Tris buffered saline, 0.1% BSA
Shipped at conditions
Blue Ice
Appropriate short-term storage duration
1-2 weeks
Appropriate short-term storage conditions
+4°C
Appropriate long-term storage conditions
-20°C
Aliquoting information
Upon delivery aliquot
Storage information
Avoid freeze / thaw cycle

Supplementary information

This supplementary information is collated from multiple sources and compiled automatically.

The glucocorticoid receptor (GR) also known as the cortisol receptor is a type of nuclear receptor that functions as a transcription factor. This receptor has a molecular mass of approximately 97 kDa. GR is expressed in various tissues including the liver lung and immune cells. Its mechanical action involves binding to glucocorticoids—hormones like cortisol—which can regulate DNA transcription. When activated the receptor translocates into the cell nucleus where it can directly interact with DNA to regulate gene expression.
Biological function summary

The glucocorticoid receptor plays a significant role in mediating the physiological effects of glucocorticoids. It controls processes like inflammation and immune response. The receptor is part of a larger receptor complex enhancing its effectiveness in gene regulation. It modulates expression levels of diverse genes involved in metabolism immune functionality and cellular growth. GR's regulatory actions make it contextual within various biological processes impacting cellular behavior extensively.

Pathways

The glucocorticoid receptor integrates into significant signaling networks like the hypothalamic-pituitary-adrenal (HPA) axis and the inflammatory response pathway. This receptor coordinates with other proteins to control stress responses and inflammatory signals. In the HPA axis GR helps regulate cortisol levels and counteracts inflammatory cytokines. Its interaction with other receptors and transcription factors exemplifies its role in essential pathways that maintain homeostasis and stress adaptation within the organism.

Abnormal glucocorticoid receptor function links to conditions like Cushing's syndrome and glucocorticoid resistance. Cushing's syndrome characterized by excessive cortisol levels shows altered GR signaling. Similarly glucocorticoid resistance involves mutations or dysfunctions in GR that lead to improper hormone action affecting inflammation and immune responses. These diseases often involve other proteins such as various cytokines in the inflammatory response showing the broad impact of GR in disease processes.

Product protocols

For this product, it's our understanding that no specific protocols are required. You can visit:

Target data

Receptor for glucocorticoids (GC) (PubMed : 27120390, PubMed : 37478846). Has a dual mode of action : as a transcription factor that binds to glucocorticoid response elements (GRE), both for nuclear and mitochondrial DNA, and as a modulator of other transcription factors (PubMed : 28139699). Affects inflammatory responses, cellular proliferation and differentiation in target tissues. Involved in chromatin remodeling (PubMed : 9590696). Plays a role in rapid mRNA degradation by binding to the 5' UTR of target mRNAs and interacting with PNRC2 in a ligand-dependent manner which recruits the RNA helicase UPF1 and the mRNA-decapping enzyme DCP1A, leading to RNA decay (PubMed : 25775514). Could act as a coactivator for STAT5-dependent transcription upon growth hormone (GH) stimulation and could reveal an essential role of hepatic GR in the control of body growth (By similarity).. Isoform Alpha. Has transcriptional activation and repression activity (PubMed : 11435610, PubMed : 15769988, PubMed : 15866175, PubMed : 17635946, PubMed : 19141540, PubMed : 19248771, PubMed : 20484466, PubMed : 21664385, PubMed : 23820903). Mediates glucocorticoid-induced apoptosis (PubMed : 23303127). Promotes accurate chromosome segregation during mitosis (PubMed : 25847991). May act as a tumor suppressor (PubMed : 25847991). May play a negative role in adipogenesis through the regulation of lipolytic and antilipogenic gene expression (By similarity).. Isoform Beta. Acts as a dominant negative inhibitor of isoform Alpha (PubMed : 20484466, PubMed : 7769088, PubMed : 8621628). Has intrinsic transcriptional activity independent of isoform Alpha when both isoforms are coexpressed (PubMed : 19248771, PubMed : 26711253). Loses this transcription modulator function on its own (PubMed : 20484466). Has no hormone-binding activity (PubMed : 8621628). May play a role in controlling glucose metabolism by maintaining insulin sensitivity (By similarity). Reduces hepatic gluconeogenesis through down-regulation of PEPCK in an isoform Alpha-dependent manner (PubMed : 26711253). Directly regulates STAT1 expression in isoform Alpha-independent manner (PubMed : 26711253).. Isoform Alpha-2. Has lower transcriptional activation activity than isoform Alpha. Exerts a dominant negative effect on isoform Alpha trans-repression mechanism (PubMed : 20484466).. Isoform GR-P. Increases activity of isoform Alpha.. Isoform Alpha-B. More effective than isoform Alpha in transcriptional activation, but not repression activity.. Isoform 10. Has transcriptional activation activity.. Isoform Alpha-C1. Has transcriptional activation activity.. Isoform Alpha-C2. Has transcriptional activation activity.. Isoform Alpha-C3. Has highest transcriptional activation activity of all isoforms created by alternative initiation (PubMed : 15866175, PubMed : 23820903). Has transcriptional repression activity (PubMed : 23303127). Mediates glucocorticoid-induced apoptosis (PubMed : 23303127, PubMed : 23820903).. Isoform Alpha-D1. Has transcriptional activation activity.. Isoform Alpha-D2. Has transcriptional activation activity.. Isoform Alpha-D3. Has lowest transcriptional activation activity of all isoforms created by alternative initiation (PubMed : 15866175, PubMed : 23820903). Has transcriptional repression activity (PubMed : 23303127).
See full target information NR3C1

Publications (4)

Recent publications for all applications. Explore the full list and refine your search

Nature communications 13:7171 PubMed36418322

2022

A non-coding GWAS variant impacts anthracycline-induced cardiotoxic phenotypes in human iPSC-derived cardiomyocytes.

Applications

Unspecified application

Species

Unspecified reactive species

Xi Wu,Fei Shen,Guanglong Jiang,Gloria Xue,Santosh Philips,Laura Gardner,Geneva Cunningham,Casey Bales,Erica Cantor,Bryan Paul Schneider

Nature communications 13:5253 PubMed36068241

2022

Multimodal single cell sequencing implicates chromatin accessibility and genetic background in diabetic kidney disease progression.

Applications

Unspecified application

Species

Unspecified reactive species

Parker C Wilson,Yoshiharu Muto,Haojia Wu,Anil Karihaloo,Sushrut S Waikar,Benjamin D Humphreys

American journal of obstetrics and gynecology 226:564.e1-564.e14 PubMed34626553

2021

Betamethasone phosphate reduces the efficacy of antenatal steroid therapy and is associated with lower birthweights when administered to pregnant sheep in combination with betamethasone acetate.

Applications

Unspecified application

Species

Unspecified reactive species

Tsukasa Takahashi,Erin L Fee,Yuki Takahashi,Masatoshi Saito,Nobuo Yaegashi,Haruo Usuda,Lucy Furfaro,Sean Carter,Augusto F Schmidt,John P Newnham,Alan H Jobe,Matthew W Kemp

Cancer management and research 13:743-755 PubMed33531841

2021

Circ_0031242 Silencing Mitigates the Progression and Drug Resistance in DDP-Resistant Hepatoma Cells by the miR-924/POU3F2 Axis.

Applications

Unspecified application

Species

Unspecified reactive species

Wei Fan,Lei Chen,Xiaojuan Wu,Tong Zhang
View all publications

Product promise

We are committed to supporting your work with high-quality reagents, and we're here for you every step of the way. In the unlikely event that one of our products does not perform as expected, you're protected by our Product Promise.
For full details, please see our Terms & Conditions

Please note: All products are 'FOR RESEARCH USE ONLY. NOT FOR USE IN DIAGNOSTIC OR THERAPEUTIC PROCEDURES'.

For licensing inquiries, please contact partnerships@abcam.com