JavaScript is disabled in your browser. Please enable JavaScript to view this website.
AB183127

Anti-Glucocorticoid Receptor antibody [EPR19621]

5

(2 Reviews)

|

(24 Publications)

Anti-Glucocorticoid Receptor antibody [EPR19621] (ab183127) is a rabbit monoclonal antibody detecting Glucocorticoid Receptor in Western Blot, Flow Cytometry (Intra), Flow Cytometry, IHC-P, ICC/IF. Suitable for Human, Mouse, Rat.

- KO validated for confirmed specificity
- Biophysical QC for unrivalled batch-batch consistency

View Alternative Names

GRL, NR3C1, Glucocorticoid receptor, GR, Nuclear receptor subfamily 3 group C member 1

12 Images
Flow Cytometry (Intracellular) - Anti-Glucocorticoid Receptor antibody [EPR19621] (AB183127)
  • Flow Cyt (Intra)

Supplier Data

Flow Cytometry (Intracellular) - Anti-Glucocorticoid Receptor antibody [EPR19621] (AB183127)

Intracellular flow cytometric analysis of 4% paraformaldehyde-fixed HeLa (Human epithelial cell line from cervix adenocarcinoma) cells labeling Glucocorticoid Receptor with ab183127 at 1/500 dilution (red) compared with a Rabbit IgG,monoclonal [EPR25A]-Isotype control (ab172730) (black) and an unlabelled control (cells without incubation with primary antibody and secondary antibody) (blue). Goat anti Rabbit IgG (Alexa Fluor® 488) at 1/500 dilution was used as the secondary antibody.

Flow Cytometry (Intracellular) - Anti-Glucocorticoid Receptor antibody [EPR19621] (AB183127)
  • Flow Cyt (Intra)

Lab

Flow Cytometry (Intracellular) - Anti-Glucocorticoid Receptor antibody [EPR19621] (AB183127)

Flow cytometry overlay histogram showing wild-type (WT) HeLa (green line) and NR3C1 knockout (KO) HeLa stained with ab183127 (magenta line). The cells were fixed with 80% methanol (5 min) and then permeabilised with 0.1% PBS-Triton X-100 for 15 mins. The cells were then incubated in 1x PBS containing 10% normal goat serum to block non-specific protein-protein interaction followed by the antibody ab183127 (1x 106 in 100μl at 0.04 μg/ml (1/54,850 dilution) for 30 mins at 22°C.

The secondary antibody Goat Anti-Rabbit IgG H&L (Alexa Fluor® 488) preadsorbed was incubated at 1/4000 dilution for 30 mins at 22°C

Isotype control antibody Recombinant Rabbit IgG, monoclonal [EPR25A] - Isotype Control was used at the same concentration and conditions as the primary antibody (HeLa WT - black line, NR3C1 KO HeLa - grey line). Unlabelled sample was also used as a control (this line is not shown for the purpose of simplicity).

Acquisition of >5000 events were collected using a 50 mW Blue laser (488nm) and 525/40 bandpass filter.

This antibody gave a positive signal in HeLa WT Fixed with 4% formaldehyde (10 min) / permeabilised with 0.1% PBS-Triton X-100 for 15 mins under the same conditions.

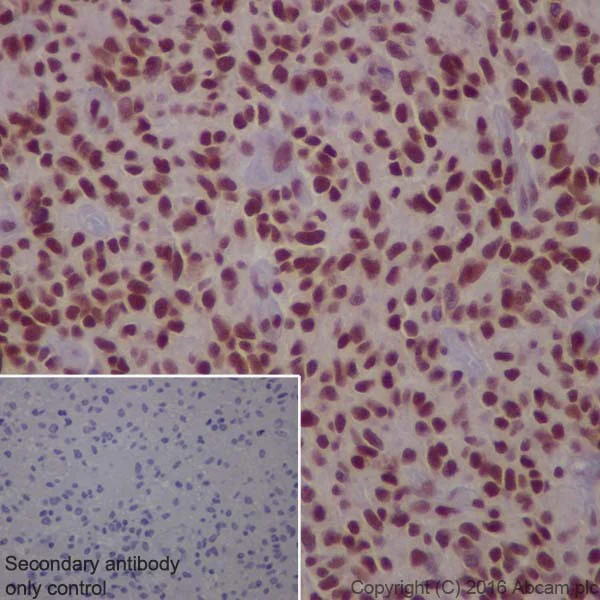
Immunohistochemistry (Formalin/PFA-fixed paraffin-embedded sections) - Anti-Glucocorticoid Receptor antibody [EPR19621] (AB183127)
  • IHC-P

Supplier Data

Immunohistochemistry (Formalin/PFA-fixed paraffin-embedded sections) - Anti-Glucocorticoid Receptor antibody [EPR19621] (AB183127)

Immunohistochemical analysis of paraffin-embedded Human cervix carcinoma tissue labeling Glucocorticoid Receptor with ab183127 at 1/2000 dilution, followed by Goat Anti-Rabbit IgG H&L (HRP) (ab97051) at 1/500 dilution. Nucleus staining on tumor cells of the cervix carcinoma is observed. Counter stained with Hematoxylin.

Secondary antibody only control : Used PBS instead of primary antibody, secondary antibody is ab97051 at 1/500 dilution.

Perform heat mediated antigen retrieval with Tris/EDTA buffer pH 9.0 before commencing with IHC staining protocol.

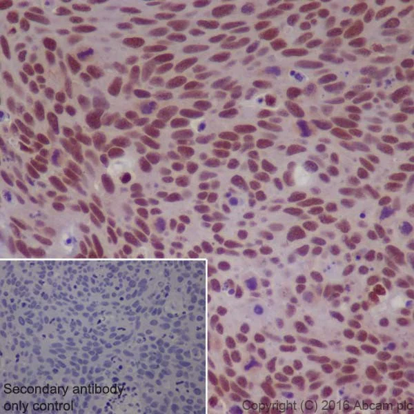
Immunohistochemistry (Formalin/PFA-fixed paraffin-embedded sections) - Anti-Glucocorticoid Receptor antibody [EPR19621] (AB183127)
  • IHC-P

Supplier Data

Immunohistochemistry (Formalin/PFA-fixed paraffin-embedded sections) - Anti-Glucocorticoid Receptor antibody [EPR19621] (AB183127)

Immunohistochemical analysis of paraffin-embedded Human glioma tissue labeling Glucocorticoid Receptor with ab183127 at 1/2000 dilution, followed by Goat Anti-Rabbit IgG H&L (HRP) (ab97051) at 1/500 dilution. Nucleus staining on tumor cells of the Human glioma is observed. Counter stained with Hematoxylin.

Secondary antibody only control : Used PBS instead of primary antibody, secondary antibody is ab97051 at 1/500 dilution.

Perform heat mediated antigen retrieval with Tris/EDTA buffer pH 9.0 before commencing with IHC staining protocol.

Immunocytochemistry/ Immunofluorescence - Anti-Glucocorticoid Receptor antibody [EPR19621] (AB183127)
  • ICC/IF

Supplier Data

Immunocytochemistry/ Immunofluorescence - Anti-Glucocorticoid Receptor antibody [EPR19621] (AB183127)

Immunofluorescent analysis of 4% paraformaldehyde-fixed, 0.1% Triton X-100 permeabilized HeLa (Human epithelial cell line from cervix adenocarcinoma) cells labeling Glucocorticoid Receptor with ab183127 at 1/500 dilution, followed by Goat Anti-Rabbit IgG (Alexa Fluor® 488) (ab150077) secondary antibody at 1/1000 dilution (green).

The results show signal translocation after dexamethasone (100 nM for 2 hours) treatment on Hela cells. PMID : 24291004.

The nuclear counter stain is DAPI (blue).

Tubulin is detected with Anti-alpha Tubulin antibody [DM1A] - Loading Control (ab7291) at 1/1000 dilution and Goat Anti-Mouse IgG H&L (Alexa Fluor® 594) preadsorbed (ab150120) at 1/1000 dilution (red).

The negative controls are as follows :
-ve control 1 : ab183127 at 1/500 dilution followed by ab150120 at 1/1000 dilution.
-ve control 2 : ab7291 at 1/1000 dilution followed by ab150077 at 1/1000 dilution.

Immunohistochemistry (Formalin/PFA-fixed paraffin-embedded sections) - Anti-Glucocorticoid Receptor antibody [EPR19621] (AB183127)
  • IHC-P

Supplier Data

Immunohistochemistry (Formalin/PFA-fixed paraffin-embedded sections) - Anti-Glucocorticoid Receptor antibody [EPR19621] (AB183127)

Immunohistochemical analysis of paraffin-embedded Rat hippocampus tissue labeling Glucocorticoid Receptor with ab183127 at 1/2000 dilution, followed by Goat Anti-Rabbit IgG H&L (HRP) (ab97051) at 1/500 dilution. Nucleus staining on rat hippocampus is observed. Counter stained with Hematoxylin.

Secondary antibody only control : Used PBS instead of primary antibody, secondary antibody is ab97051 at 1/500 dilution.

Perform heat mediated antigen retrieval with Tris/EDTA buffer pH 9.0 before commencing with IHC staining protocol.

Immunohistochemistry (Formalin/PFA-fixed paraffin-embedded sections) - Anti-Glucocorticoid Receptor antibody [EPR19621] (AB183127)
  • IHC-P

Supplier Data

Immunohistochemistry (Formalin/PFA-fixed paraffin-embedded sections) - Anti-Glucocorticoid Receptor antibody [EPR19621] (AB183127)

Immunohistochemical analysis of paraffin-embedded Mouse liver tissue labeling Glucocorticoid Receptor with ab183127 at 1/2000 dilution, followed by Goat Anti-Rabbit IgG H&L (HRP) (ab97051) at 1/500 dilution. Nucleus staining on hepatocytes of the mouse liver is observed. Counter stained with Hematoxylin.

Secondary antibody only control : Used PBS instead of primary antibody, secondary antibody is ab97051 at 1/500 dilution.

Perform heat mediated antigen retrieval with Tris/EDTA buffer pH 9.0 before commencing with IHC staining protocol.

Western blot - Anti-Glucocorticoid Receptor antibody [EPR19621] (AB183127)
  • WB

Lab

Western blot - Anti-Glucocorticoid Receptor antibody [EPR19621] (AB183127)

Lanes 1-4 : Merged signal (red and green). Green - ab183127 observed at 90-100 kDa. Red - loading control ab8245 observed at 37 kDa.

ab183127 Anti-Glucocorticoid Receptor antibody [EPR19621] was shown to specifically react with Glucocorticoid Receptor in wild-type HeLa cells. Loss of signal was observed when knockout cell line ab261766 (knockout cell lysate ab257009) was used. Wild-type and Glucocorticoid Receptor knockout samples were subjected to SDS-PAGE. ab183127 and Anti-alpha Tubulin antibody [EP1332Y] - Microtubule Marker (ab52866) were incubated overnight at 4°C at 1 in 1000 dilution and 1 in 20000 dilution respectively. Blots were developed with Goat anti-Rabbit IgG H&L (IRDye® 800CW) preadsorbed (ab216773) and Goat anti-Mouse IgG H&L (IRDye® 680RD) preadsorbed (ab216776) secondary antibodies at 1 in 20000 dilution for 1 hour at room temperature before imaging.

All lanes:

Western blot - Anti-Glucocorticoid Receptor antibody [EPR19621] (ab183127) at 1/1000 dilution

Lane 1:

Wild-type HeLa cell lysate at 20 µg

Lane 2:

NR3C1 knockout HeLa cell lysate at 20 µg

Lane 2:

Western blot - Human NR3C1 (Glucocorticoid Receptor) knockout HeLa cell line (<a href='/en-us/products/cell-lines/human-nr3c1-glucocorticoid-receptor-knockout-hela-cell-line-ab261766'>ab261766</a>)

Lane 3:

Wild-type A549 cell lysate at 20 µg

Lane 4:

NR3C1 knockout A549 cell lysate at 20 µg

Secondary

All lanes:

Western blot - Goat anti-Rabbit IgG H&L (IRDye® 800CW) preadsorbed (<a href='/en-us/products/secondary-antibodies/goat-rabbit-igg-h-l-irdye-800cw-preadsorbed-ab216773'>ab216773</a>) at 1/20000 dilution

Predicted band size: 85 kDa

Observed band size: 90-100 kDa

false

Western blot - Anti-Glucocorticoid Receptor antibody [EPR19621] (AB183127)
  • WB

Supplier Data

Western blot - Anti-Glucocorticoid Receptor antibody [EPR19621] (AB183127)

Blocking/Dilution buffer : 5% NFDM/TBST.

This antibody may recognize eight isoforms. The predicted MW are from 61KDa to 86KDa in human, respectively.

All lanes:

Western blot - Anti-Glucocorticoid Receptor antibody [EPR19621] (ab183127) at 1/2000 dilution

Lane 1:

HeLa (Human epithelial cell line from cervix adenocarcinoma) whole cell lysate at 20 µg

Lane 2:

HEK-293 (Human epithelial cell line from embryonic kidney) whole cell lysate at 20 µg

Lane 3:

A431 (Human epidermoid carcinoma cell line) whole cell lysate at 20 µg

Secondary

All lanes:

Western blot - Goat Anti-Rabbit IgG H&L (HRP) (<a href='/en-us/products/secondary-antibodies/goat-rabbit-igg-h-l-hrp-ab97051'>ab97051</a>) at 1/100000 dilution

Predicted band size: 85 kDa

Observed band size: 83 kDa,86 kDa

false

Exposure time: 10s

Western blot - Anti-Glucocorticoid Receptor antibody [EPR19621] (AB183127)
  • WB

Supplier Data

Western blot - Anti-Glucocorticoid Receptor antibody [EPR19621] (AB183127)

Blocking/Dilution buffer : 5% NFDM/TBST.

Exposure times : Lane 1 : 30 seconds; Lane 2 : 15 seconds.

This antibody may recognize eight isoforms. The predicted MW are from 61KDa to 86KDa in human, respectively.

All lanes:

Western blot - Anti-Glucocorticoid Receptor antibody [EPR19621] (ab183127) at 1/2000 dilution

Lane 1:

Human fetal heart lysate at 10 µg

Lane 2:

Human fetal kidney lysate at 10 µg

Secondary

All lanes:

Goat Anti-Rabbit IgG Peroxidase Conjugate, specific to the non-reduced form of IgG at 1/10000 dilution

Predicted band size: 85 kDa

Observed band size: 83 kDa,86 kDa

false

Western blot - Anti-Glucocorticoid Receptor antibody [EPR19621] (AB183127)
  • WB

Lab

Western blot - Anti-Glucocorticoid Receptor antibody [EPR19621] (AB183127)

Lanes 1 - 4 : Merged signal (red and green). Green - ab183127 observed at 90 kDa. Red - loading control, ab8245, observed at 37 kDa.

ab183127 was shown to recognize NR3C1 in wild-type A549 cells as signal was lost at the expected MW in NR3C1 knockout cell line ab261862 (knockout cell lysate ab261671). Additional cross-reactive bands were observed in the wild-type and knockout samples. Wild-type and NR3C1 knockout samples were subjected to SDS-PAGE. ab183127 and ab8245 (Mouse anti-GAPDH loading control) were incubated overnight at 4°C at 1/2000 dilution and 1/1000 dilution respectively. Blots were developed with Goat anti-Rabbit IgG H&L (IRDye® 800CW) preabsorbed ab216773 and Goat anti-Mouse IgG H&L (IRDye® 680RD) preabsorbed ab216776 secondary antibodies at 1/20000 dilution for 1 hour at room temperature before imaging.

All lanes:

Western blot - Anti-Glucocorticoid Receptor antibody [EPR19621] (ab183127) at 1/2000 dilution

Lane 1:

Wild-type A549 (Human lung carcinoma cell line) whole cell lysate at 20 µg

Lane 2:

NR3C1 knockout A549 (Human lung carcinoma cell line) whole cell lysate at 20 µg

Lane 2:

Western blot - Human NR3C1 (Glucocorticoid Receptor) knockout A549 cell line (<a href='/en-us/products/cell-lines/human-nr3c1-glucocorticoid-receptor-knockout-a549-cell-line-ab261862'>ab261862</a>)

Lane 3:

A-431 (Human epidermoid carcinoma cell line) whole cell lysate at 20 µg

Lane 4:

U-87 MG (Human glioblastoma-astrocytoma epithelial cell line) whole cell lysate at 20 µg

Predicted band size: 85 kDa

false

Western blot - Anti-Glucocorticoid Receptor antibody [EPR19621] (AB183127)
  • WB

Supplier Data

Western blot - Anti-Glucocorticoid Receptor antibody [EPR19621] (AB183127)

Blocking/Dilution buffer : 5% NFDM/TBST.

Exposure time : 0.5 second.

All lanes:

Western blot - Anti-Glucocorticoid Receptor antibody [EPR19621] (ab183127) at 1/20000 dilution

Lane 1:

Empty vector with GFP-Myc tag (vector control) transfected HEK-293 (Human epithelial cell line from embryonic kidney) whole cell lysate at 10 µg

Lane 2:

HEK-293 (Human epithelial cell line from embryonic kidney) whole cell lysate transfected with human Glucocorticoid Receptor with GFP-Myc tag at 10 µg

Secondary

All lanes:

Goat Anti-Rabbit IgG Peroxidase Conjugate, specific to the non-reduced form of IgG at 1/10000 dilution

Predicted band size: 85 kDa

Observed band size: 112 kDa

false

  • 665 Alexa Fluor® 647

    Alexa Fluor® 647 Anti-Glucocorticoid Receptor antibody [EPR19621]

  • Carrier free

    Anti-Glucocorticoid Receptor antibody [EPR19621] - BSA and Azide free

Key facts

Host species

Rabbit

Clonality

Monoclonal

Clone number

EPR19621

Isotype

IgG

Carrier free

No

Reacts with

Mouse, Rat, Human

Applications

IHC-P, ICC/IF, WB, Flow Cyt (Intra)

applications

Immunogen

The exact immunogen used to generate this antibody is proprietary information.

Reactivity data

{ "title": "Reactivity Data", "filters": { "stats": ["", "Species", "Dilution Info", "Notes"], "tabs": { "all-applications": {"fullname" : "All Applications", "shortname": "All Applications"}, "WB" : {"fullname" : "Western blot", "shortname":"WB"}, "ICCIF" : {"fullname" : "Immunocytochemistry/ Immunofluorescence", "shortname":"ICC/IF"}, "IHCP" : {"fullname" : "Immunohistochemistry (Formalin/PFA-fixed paraffin-embedded sections)", "shortname":"IHC-P"}, "FlowCytIntra" : {"fullname" : "Flow Cytometry (Intracellular)", "shortname":"Flow Cyt (Intra)"} }, "product-promise": { "all": "all", "testedAndGuaranteed": "tested", "guaranteed": "expected", "predicted": "predicted", "notRecommended": "not-recommended" } }, "values": { "Human": { "WB-species-checked": "testedAndGuaranteed", "WB-species-dilution-info": "1/2000", "WB-species-notes": "<p></p>", "ICCIF-species-checked": "testedAndGuaranteed", "ICCIF-species-dilution-info": "1/500", "ICCIF-species-notes": "<p></p>", "IHCP-species-checked": "testedAndGuaranteed", "IHCP-species-dilution-info": "1/2000", "IHCP-species-notes": "<p></p>", "FlowCytIntra-species-checked": "testedAndGuaranteed", "FlowCytIntra-species-dilution-info": "1/54850", "FlowCytIntra-species-notes": "<p></p>" }, "Mouse": { "WB-species-checked": "guaranteed", "WB-species-dilution-info": "", "WB-species-notes": "", "ICCIF-species-checked": "guaranteed", "ICCIF-species-dilution-info": "", "ICCIF-species-notes": "", "IHCP-species-checked": "testedAndGuaranteed", "IHCP-species-dilution-info": "1/2000", "IHCP-species-notes": "<p></p>", "FlowCytIntra-species-checked": "guaranteed", "FlowCytIntra-species-dilution-info": "", "FlowCytIntra-species-notes": "" }, "Rat": { "WB-species-checked": "guaranteed", "WB-species-dilution-info": "", "WB-species-notes": "", "ICCIF-species-checked": "guaranteed", "ICCIF-species-dilution-info": "", "ICCIF-species-notes": "", "IHCP-species-checked": "testedAndGuaranteed", "IHCP-species-dilution-info": "1/2000", "IHCP-species-notes": "<p></p>", "FlowCytIntra-species-checked": "guaranteed", "FlowCytIntra-species-dilution-info": "", "FlowCytIntra-species-notes": "" } } }

Product details

What is this antibody validated in?
Anti-Glucocorticoid Receptor antibody [EPR19621] (ab183127) is a rabbit recombinant monoclonal antibody and is validated for use in Western Blot (WB), Flow Cytometry (Intra), Flow Cytometry (Flow Cyt), Immunohistochemistry (IHC-P), Immunocytochemistry/immunofluorescence (ICC/IF) in Human, Mouse, Rat samples.

What is the molecular weight of Glucocorticoid Receptor?
Anti-Glucocorticoid Receptor [EPR19621] (ab183127) specifically detects a band for Glucocorticoid Receptor (UniProt: P06537) at a molecular weight of 86kDa.

Trusted by the scientific community
Anti-Glucocorticoid Receptor [EPR19621] (ab183127) was first used in a scientific publication in 2016 and has been cited over 10 times in peer-reviewed journals.

Trial sizes available!
Test your antibody or perform pre-screening before committing to a larger quantity. Sold in 10µl. Discover our selection of trial-size antibodies.

Specificity confirmed
The specificity of Anti-Glucocorticoid Receptor antibody [EPR19621] (ab183127) has been confirmed by Western blot testing in NR3C1 Knockout A549 cells.

Other related products
We have a range of other formats of antibody clone [EPR19621] also available for your convenience: ab183127, Carrier free - ab223138, Alexa Fluor® 647 - ab237225

Patented technology
Our RabMAb® technology is a patented hybridoma-based technology for making rabbit monoclonal antibodies. For details on our patents, please refer to RabMAb® patents.

What are the advantages of a recombinant monoclonal antibody?
This product is a recombinant monoclonal antibody, which offers several advantages including:

  • - High batch-to-batch consistency and reproducibility
  • - Improved sensitivity and specificity
  • - Long-term security of supply
  • - Animal-free batch production

For more information, read more on recombinant antibodies.

Properties and storage information

Form
Liquid
Purification technique
Affinity purification Protein A
Storage buffer
pH: 7.2 Preservative: 0.01% Sodium azide Constituents: PBS, 40% Glycerol (glycerin, glycerine), 0.05% BSA
Shipped at conditions
Blue Ice
Appropriate short-term storage duration
1-2 weeks
Appropriate short-term storage conditions
+4°C
Appropriate long-term storage conditions
-20°C
Aliquoting information
Upon delivery aliquot
Storage information
Avoid freeze / thaw cycle

Supplementary information

This supplementary information is collated from multiple sources and compiled automatically.

The glucocorticoid receptor (GR) also known as the cortisol receptor is a type of nuclear receptor that functions as a transcription factor. This receptor has a molecular mass of approximately 97 kDa. GR is expressed in various tissues including the liver lung and immune cells. Its mechanical action involves binding to glucocorticoids—hormones like cortisol—which can regulate DNA transcription. When activated the receptor translocates into the cell nucleus where it can directly interact with DNA to regulate gene expression.
Biological function summary

The glucocorticoid receptor plays a significant role in mediating the physiological effects of glucocorticoids. It controls processes like inflammation and immune response. The receptor is part of a larger receptor complex enhancing its effectiveness in gene regulation. It modulates expression levels of diverse genes involved in metabolism immune functionality and cellular growth. GR's regulatory actions make it contextual within various biological processes impacting cellular behavior extensively.

Pathways

The glucocorticoid receptor integrates into significant signaling networks like the hypothalamic-pituitary-adrenal (HPA) axis and the inflammatory response pathway. This receptor coordinates with other proteins to control stress responses and inflammatory signals. In the HPA axis GR helps regulate cortisol levels and counteracts inflammatory cytokines. Its interaction with other receptors and transcription factors exemplifies its role in essential pathways that maintain homeostasis and stress adaptation within the organism.

Abnormal glucocorticoid receptor function links to conditions like Cushing's syndrome and glucocorticoid resistance. Cushing's syndrome characterized by excessive cortisol levels shows altered GR signaling. Similarly glucocorticoid resistance involves mutations or dysfunctions in GR that lead to improper hormone action affecting inflammation and immune responses. These diseases often involve other proteins such as various cytokines in the inflammatory response showing the broad impact of GR in disease processes.

Product protocols

For this product, it's our understanding that no specific protocols are required. You can visit:

Target data

Receptor for glucocorticoids (GC) (PubMed : 27120390, PubMed : 37478846). Has a dual mode of action : as a transcription factor that binds to glucocorticoid response elements (GRE), both for nuclear and mitochondrial DNA, and as a modulator of other transcription factors (PubMed : 28139699). Affects inflammatory responses, cellular proliferation and differentiation in target tissues. Involved in chromatin remodeling (PubMed : 9590696). Plays a role in rapid mRNA degradation by binding to the 5' UTR of target mRNAs and interacting with PNRC2 in a ligand-dependent manner which recruits the RNA helicase UPF1 and the mRNA-decapping enzyme DCP1A, leading to RNA decay (PubMed : 25775514). Could act as a coactivator for STAT5-dependent transcription upon growth hormone (GH) stimulation and could reveal an essential role of hepatic GR in the control of body growth (By similarity).. Isoform Alpha. Has transcriptional activation and repression activity (PubMed : 11435610, PubMed : 15769988, PubMed : 15866175, PubMed : 17635946, PubMed : 19141540, PubMed : 19248771, PubMed : 20484466, PubMed : 21664385, PubMed : 23820903). Mediates glucocorticoid-induced apoptosis (PubMed : 23303127). Promotes accurate chromosome segregation during mitosis (PubMed : 25847991). May act as a tumor suppressor (PubMed : 25847991). May play a negative role in adipogenesis through the regulation of lipolytic and antilipogenic gene expression (By similarity).. Isoform Beta. Acts as a dominant negative inhibitor of isoform Alpha (PubMed : 20484466, PubMed : 7769088, PubMed : 8621628). Has intrinsic transcriptional activity independent of isoform Alpha when both isoforms are coexpressed (PubMed : 19248771, PubMed : 26711253). Loses this transcription modulator function on its own (PubMed : 20484466). Has no hormone-binding activity (PubMed : 8621628). May play a role in controlling glucose metabolism by maintaining insulin sensitivity (By similarity). Reduces hepatic gluconeogenesis through down-regulation of PEPCK in an isoform Alpha-dependent manner (PubMed : 26711253). Directly regulates STAT1 expression in isoform Alpha-independent manner (PubMed : 26711253).. Isoform Alpha-2. Has lower transcriptional activation activity than isoform Alpha. Exerts a dominant negative effect on isoform Alpha trans-repression mechanism (PubMed : 20484466).. Isoform GR-P. Increases activity of isoform Alpha.. Isoform Alpha-B. More effective than isoform Alpha in transcriptional activation, but not repression activity.. Isoform 10. Has transcriptional activation activity.. Isoform Alpha-C1. Has transcriptional activation activity.. Isoform Alpha-C2. Has transcriptional activation activity.. Isoform Alpha-C3. Has highest transcriptional activation activity of all isoforms created by alternative initiation (PubMed : 15866175, PubMed : 23820903). Has transcriptional repression activity (PubMed : 23303127). Mediates glucocorticoid-induced apoptosis (PubMed : 23303127, PubMed : 23820903).. Isoform Alpha-D1. Has transcriptional activation activity.. Isoform Alpha-D2. Has transcriptional activation activity.. Isoform Alpha-D3. Has lowest transcriptional activation activity of all isoforms created by alternative initiation (PubMed : 15866175, PubMed : 23820903). Has transcriptional repression activity (PubMed : 23303127).
See full target information NR3C1

Publications (24)

Recent publications for all applications. Explore the full list and refine your search

Biomedicines 13: PubMed40722755

2025

Glucocorticoid Receptor (GR) Expression in Human Tumors: A Tissue Microarray Study on More than 14,000 Tumors.

Applications

Unspecified application

Species

Unspecified reactive species

Maria Christina Tsourlakis,Simon Kind,Sebastian Dwertmann Rico,Sören Weidemann,Katharina Möller,Ria Schlichter,Martina Kluth,Claudia Hube-Magg,Christian Bernreuther,Guido Sauter,Andreas H Marx,Ronald Simon,Ahmed Abdulwahab Bawahab,Florian Lutz,Viktor Reiswich,Davin Dum,Stefan Steurer,Eike Burandt,Till S Clauditz,Till Krech,Christoph Fraune,Seyma Büyücek,Neele Heckmann,Natalia Gorbokon,Maximilian Lennartz,Sarah Minner,Florian Viehweger

Applied microbiology and biotechnology 109:40 PubMed39928145

2025

The regenerative wound healing effects and molecular mechanism of Isaria cicadae Miquel rice fermentation extract.

Applications

Unspecified application

Species

Unspecified reactive species

Qin Wang,Wenwen Hao,Chao Guo,Hui Cao,Beiqi Wang,Xingyang Li,Ruilian Yu,Li Xu,Jing Li

Biological research 57:87 PubMed39574138

2024

Depression like-behavior and memory loss induced by methylglyoxal is associated with tryptophan depletion and oxidative stress: a new in vivo model of neurodegeneration.

Applications

Unspecified application

Species

Unspecified reactive species

Md Samsuzzaman,Seong-Min Hong,Jae Hyuk Lee,Hyunjun Park,Keun-A Chang,Hyun-Bum Kim,Myoung Gyu Park,Hyeyoon Eo,Myung Sook Oh,Sun Yeou Kim

Advanced science (Weinheim, Baden-Wurttemberg, Germany) 11:e2401041 PubMed39418072

2024

Proteogenomic Landscape of Breast Ductal Carcinoma Reveals Tumor Progression Characteristics and Therapeutic Targets.

Applications

Unspecified application

Species

Unspecified reactive species

Ganfei Xu,Juan Yu,Jiacheng Lyu,Mengna Zhan,Jie Xu,Minjing Huang,Rui Zhao,Yan Li,Jiajun Zhu,Jinwen Feng,Subei Tan,Peng Ran,Zhenghua Su,Xinhua Liu,Jianyuan Zhao,Hongwei Zhang,Chen Xu,Jun Chang,Yingyong Hou,Chen Ding

Neural regeneration research 20:2611-2623 PubMed39314167

2024

High-dose dexamethasone regulates microglial polarization via the GR/JAK1/STAT3 signaling pathway after traumatic brain injury.

Applications

Unspecified application

Species

Unspecified reactive species

Mengshi Yang,Miao Bai,Yuan Zhuang,Shenghua Lu,Qianqian Ge,Hao Li,Yu Deng,Hongbin Wu,Xiaojian Xu,Fei Niu,Xinlong Dong,Bin Zhang,Baiyun Liu

Cureus 16:e63526 PubMed39081418

2024

Kamishoyosan Normalizes Dendritic Spine Morphology in the Medial Prefrontal Cortex by Regulating microRNA-18 and Glucocorticoid Receptor Expressions in Postmenopausal Chronic Stress-Exposed Mice.

Applications

Unspecified application

Species

Unspecified reactive species

Shoko Shimizu,Yoshihisa Koyama,Yugo Ishino,Takashi Takeda,Shoichi Shimada,Masaya Tohyama,Shingo Miyata

Neurology international 16:790-803 PubMed39051219

2024

Multiple Administration of Dexamethasone Possesses a Deferred Long-Term Effect to Glycosylated Components of Mouse Brain.

Applications

Unspecified application

Species

Unspecified reactive species

Stanislav D Aladev,Dmitry K Sokolov,Anastasia V Strokotova,Galina M Kazanskaya,Alexander M Volkov,Svetlana V Aidagulova,Elvira V Grigorieva

iScience 27:110148 PubMed38989467

2024

Cocaine disrupts action flexibility via glucocorticoid receptors.

Applications

Unspecified application

Species

Unspecified reactive species

Michelle K Sequeira,Kathryn M Stachowicz,Esther H Seo,Sophie T Yount,Shannon L Gourley

Scientific reports 14:13543 PubMed38866996

2024

Pathological changes in the spleen of mice subjected to different time courses of restraint stress.

Applications

Unspecified application

Species

Unspecified reactive species

Lei Lei,Yingmin Li,Meili Li,Hongjian Xin,Xiaofei Tian,Yifan Zhang,Weibo Shi,Bin Cong

Respiratory research 25:227 PubMed38812021

2024

Expression of glucocorticoid receptor and HDACs in airway smooth muscle cells is associated with response to steroids in COPD.

Applications

Unspecified application

Species

Unspecified reactive species

Liang Zhou,Michael Roth,Eleni Papakonstantinou,Michael Tamm,Daiana Stolz
View all publications

Product promise

We are committed to supporting your work with high-quality reagents, and we're here for you every step of the way. In the unlikely event that one of our products does not perform as expected, you're protected by our Product Promise.
For full details, please see our Terms & Conditions

Please note: All products are 'FOR RESEARCH USE ONLY. NOT FOR USE IN DIAGNOSTIC OR THERAPEUTIC PROCEDURES'.

For licensing inquiries, please contact partnerships@abcam.com