JavaScript is disabled in your browser. Please enable JavaScript to view this website.
AB305050

Anti-Glucocorticoid receptor antibody [EPR24889-231]

  • BOND RX™ Validated
  • 20ul selling size
  • RabMAb
  • Recombinant
  • KO Validated
  • What is this?

Be the first to review this product! Submit a review

|

(0 Publication)

Knockout Tested Rabbit Recombinant Monoclonal Glucocorticoid Receptor antibody. Suitable for WB, IHC-P, ICC/IF, IP, ChIP and reacts with Human samples.

View Alternative Names

GRL, NR3C1, Glucocorticoid receptor, GR, Nuclear receptor subfamily 3 group C member 1

7 Images
Immunohistochemistry (Formalin/PFA-fixed paraffin-embedded sections) - Anti-Glucocorticoid receptor antibody [EPR24889-231] (AB305050)
  • IHC-P

Supplier Data

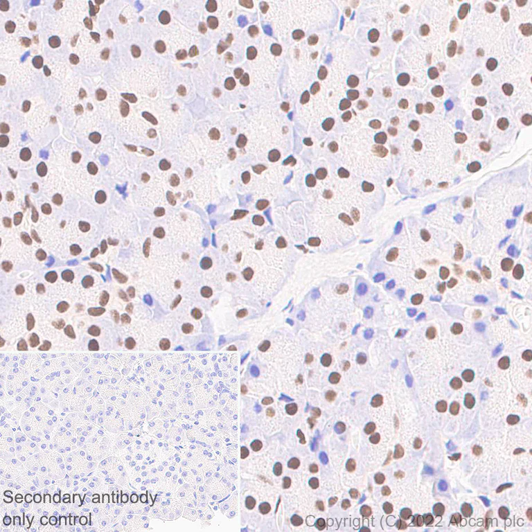
Immunohistochemistry (Formalin/PFA-fixed paraffin-embedded sections) - Anti-Glucocorticoid receptor antibody [EPR24889-231] (AB305050)

Immunohistochemical analysis of paraffin-embedded Human pancreas tissue labeling Glucocorticoid receptor with ab305050 at 1/100 (5.12 ug/ml) followed by a ready to use LeicaDS9800 (Bond™ Polymer Refine Detection) was used. Nuclear staining on human pancreas (PMID : 32619553). The section was incubated with ab305050 for 30 mins at room temperature.The immunostaining was performed on a Leica Biosystems BOND® RX instrument Counterstained with Hematoxylin. Secondary antibody only control : Secondary antibody is a ready to use LeicaDS9800 (Bond™ Polymer Refine Detection). Heat mediated antigen retrieval was performed with Tris-EDTA buffer (pH 9.0, Epitope Retrieval Solution2) for 20 mins

Immunohistochemistry (Formalin/PFA-fixed paraffin-embedded sections) - Anti-Glucocorticoid receptor antibody [EPR24889-231] (AB305050)
  • IHC-P

Supplier Data

Immunohistochemistry (Formalin/PFA-fixed paraffin-embedded sections) - Anti-Glucocorticoid receptor antibody [EPR24889-231] (AB305050)

Immunohistochemical analysis of paraffin-embedded Human kidney tissue labeling Glucocorticoid receptor with ab305050 at 1/100 (5.12 ug/ml) followed by a ready to use LeicaDS9800 (Bond™ Polymer Refine Detection) was used. Nuclear staining on human kidney. The section was incubated with ab305050 for 30 mins at room temperature.The immunostaining was performed on a Leica Biosystems BOND® RX instrument Counterstained with Hematoxylin. Secondary antibody only control : Secondary antibody is a ready to use LeicaDS9800 (Bond™ Polymer Refine Detection). Heat mediated antigen retrieval was performed with Tris-EDTA buffer (pH 9.0, Epitope Retrieval Solution2) for 20 mins

Immunohistochemistry (Formalin/PFA-fixed paraffin-embedded sections) - Anti-Glucocorticoid receptor antibody [EPR24889-231] (AB305050)
  • IHC-P

Supplier Data

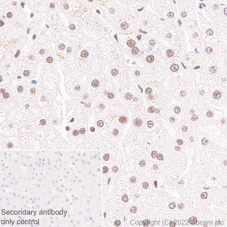
Immunohistochemistry (Formalin/PFA-fixed paraffin-embedded sections) - Anti-Glucocorticoid receptor antibody [EPR24889-231] (AB305050)

Immunohistochemical analysis of paraffin-embedded Human liver tissue labeling Glucocorticoid receptor with ab305050 at 1/100 (5.12 ug/ml) followed by a ready to use LeicaDS9800 (Bond™ Polymer Refine Detection) was used. Nuclear staining on human liver. The section was incubated with ab305050 for 30 mins at room temperature.The immunostaining was performed on a Leica Biosystems BOND® RX instrument Counterstained with Hematoxylin. Secondary antibody only control : Secondary antibody is a ready to use LeicaDS9800 (Bond™ Polymer Refine Detection). Heat mediated antigen retrieval was performed with Tris-EDTA buffer (pH 9.0, Epitope Retrieval Solution2) for 20 mins

Immunocytochemistry - Anti-Glucocorticoid receptor antibody [EPR24889-231] (AB305050)
  • ICC

Supplier Data

Immunocytochemistry - Anti-Glucocorticoid receptor antibody [EPR24889-231] (AB305050)

Immunofluorescent analysis of 4% Paraformaldehyde-fixed, 0.1% TritonX-100 permeabilized NR3C1 KO HeLa (NR3C1 knockout human cervical adenocarcinoma epithelial cell) (ab261766) cells labelling Glucocorticoid receptor with ab305050 at 1/50 (10.24 ug/ml) dilution, followed by ab150081 Goat Anti-Rabbit IgG H&L (Alexa Fluor® 488) preadsorbed antibody at 1/1000 2 ug/ml dilution (Green). Confocal image showing no staining in NR3C1 knockout HeLa cells and showing nuclear and weak cytoplasmic staining in wildtype HeLa cells. The image was taken with a confocal microscope (Leica-Microsystems, TCS SP8). is observed. ab195889 Anti-alpha Tubulin mouse monoclonal antibody - Microtubule Marker (Alexa Fluor® 594) was used to counterstain tubulin at 1/200 2.5 ug/ml dilution (Red). The Nuclear counterstain was DAPI (Blue). Secondary antibody only control : Secondary antibody is ab150081 Goat Anti-Rabbit IgG H&L (Alexa Fluor® 488) preadsorbed at 1/1000 2 ug/ml dilution.

Immunoprecipitation - Anti-Glucocorticoid receptor antibody [EPR24889-231] (AB305050)
  • IP

Supplier Data

Immunoprecipitation - Anti-Glucocorticoid receptor antibody [EPR24889-231] (AB305050)

Glucocorticoid receptor was immunoprecipitated from 0.35 mg HeLa (human cervix adenocarcinoma epithelial cell) whole cell lysate 10 ug with ab305050 at 1/30 dilution (2ug in 0.35mg lysates). Western blot was performed on the immunoprecipitate using ab305050 at 1/1000 dilution. VeriBlot for IP secondary antibody (HRP) (ab131366) was used at 1/5000 dilution.

Lane 1 : HeLa (human cervix adenocarcinoma epithelial cell) whole cell lysate 10 ug

Lane 2 : ab305050 IP in HeLa whole cell lysate.

Lane 3 : Rabbit monoclonal IgG (ab172730) instead of ab305050 in HeLa whole cell lysate

Blocking and dilution buffer and concentration : 5% NFDM/TBST.

Exposure time : 6 seconds

The bands beneath the target band (94 kDa) are likely to be degraded target fragments

All lanes:

Immunoprecipitation - Anti-Glucocorticoid receptor antibody [EPR24889-231] (ab305050) at 1/1000 dilution

Lane 1:

HeLa (human cervix adenocarcinoma epithelial cell) whole cell lysate 10 ug

Lane 2:

ab305050 IP in HeLa whole cell lysate

Secondary

All lanes:

Immunoprecipitation - VeriBlot for IP Detection Reagent (HRP) (<a href='/en-us/products/reagents/veriblot-for-ip-detection-reagent-hrp-ab131366'>ab131366</a>) at 1/5000 dilution

Predicted band size: 94 kDa

Observed band size: 94 kDa

false

Exposure time: 6s

Western blot - Anti-Glucocorticoid receptor antibody [EPR24889-231] (AB305050)
  • WB

Supplier Data

Western blot - Anti-Glucocorticoid receptor antibody [EPR24889-231] (AB305050)

Blocking and diluting buffer and concentration : 5% NFDM/TBST The bands beneath the target band (94 kDa) in lane 3 are likely to be degraded target fragments. Lysates were freshly made and used immediately to minimize protein degradation. Exposure time : Lane 1 : 37 seconds Lanes 2-3 : 3 minutes

All lanes:

Western blot - Anti-Glucocorticoid receptor antibody [EPR24889-231] (ab305050) at 1/1000 dilution

Lane 1:

HeLa (human cervix adenocarcinoma epithelial cell), whole cell lysate

Lane 2:

293T (human embryonic kidney epithelial cell), whole cell lysate

Lane 3:

THP-1 (human monocytic leukemia monocyte), whole cell lysate

Secondary

All lanes:

Western blot - Goat Anti-Rabbit IgG H&L (HRP) (<a href='/en-us/products/secondary-antibodies/goat-rabbit-igg-h-l-hrp-ab97051'>ab97051</a>) at 1/100000 dilution

Observed band size: 94 kDa

false

Western blot - Anti-Glucocorticoid receptor antibody [EPR24889-231] (AB305050)
  • WB

Supplier Data

Western blot - Anti-Glucocorticoid receptor antibody [EPR24889-231] (AB305050)

Blocking and diluting buffer and concentration : Intercept® (TBS) Blocking Buffer diluted with an equal volume of 0.1% TBS The bands beneath the target band (94 kDa) are likely to be degraded target fragments. False colour image of Western blot : Anti-Glucocorticoid receptor antibody [EPR24889-231] (ab305050) staining at 1/1000 dilution, shown in green; Mouse anti-GAPDH antibody [6C5] (ab8245) loading control staining at 1/20000 dilution, shown in red. In Western blot, ab305050 was shown to bind specifically to Glucocorticoid receptor. A band was observed at 94 kDa in wild-type HeLa cell lysates with no signal observed at this size in Glucocorticoid receptor knockout cell line. To generate this image, wild-type and Glucocorticoid receptor knockout HeLa cell lysates were analysed. First, samples were run on an SDS-PAGE gel then transferred onto a nitrocellulose membrane. Membranes were blocked in 3 % milk in TBS-0.1 % Tween® 20 (TBS-T) before incubation with primary antibodies overnight at 4 °C. Blots were washed four times in TBS-T, incubated with secondary antibodies for 1 h at room temperature, washed again four times then imaged. Secondary antibodies used were Goat anti-Rabbit IgG H&L (IRDye® 800CW) preabsorbed (ab216773) and Goat anti-Mouse IgG H&L (IRDye® 680RD) preabsorbed (ab216776) at 1/10000 dilution.

All lanes:

Western blot - Anti-Glucocorticoid receptor antibody [EPR24889-231] (ab305050) at 1/1000 dilution

Lane 1:

Wild-type HeLa (human cervix adenocarcinoma epithelial cell), whole cell lysate

Lane 2:

Glucocorticoid receptor knockout HeLa (human cervix adenocarcinoma epithelial cell), whole cell lysate

Lane 3:

U-87 MG (human glioblastoma-astrocytoma epithelial cell), whole cell lysate

Secondary

Lanes 1 - 3:

Western blot - Goat anti-Rabbit IgG H&L (IRDye® 800CW) preadsorbed (<a href='/en-us/products/secondary-antibodies/goat-rabbit-igg-h-l-irdye-800cw-preadsorbed-ab216773'>ab216773</a>) at 1/10000 dilution

Lanes 1 - 3:

Western blot - Goat anti-Mouse IgG H&L (IRDye® 680RD) preadsorbed (<a href='/en-us/products/secondary-antibodies/goat-mouse-igg-h-l-irdye-680rd-preadsorbed-ab216776'>ab216776</a>) at 1/10000 dilution

Observed band size: 94 kDa

false

  • Carrier free

    Anti-Glucocorticoid receptor antibody [EPR24889-231]- BSA and Azide free

Key facts

Host species

Rabbit

Clonality

Monoclonal

Clone number

EPR24889-231

Isotype

IgG

Carrier free

No

Reacts with

Human

Applications

ICC/IF, ChIP, IHC-P, WB, IP

applications

Immunogen

The exact immunogen used to generate this antibody is proprietary information.

Reactivity data

{ "title": "Reactivity Data", "filters": { "stats": ["", "Species", "Dilution Info", "Notes"], "tabs": { "all-applications": {"fullname" : "All Applications", "shortname": "All Applications"}, "WB" : {"fullname" : "Western blot", "shortname":"WB"}, "IHCP" : {"fullname" : "Immunohistochemistry (Formalin/PFA-fixed paraffin-embedded sections)", "shortname":"IHC-P"}, "ICCIF" : {"fullname" : "Immunocytochemistry/ Immunofluorescence", "shortname":"ICC/IF"}, "FlowCytIntra" : {"fullname" : "Flow Cytometry (Intracellular)", "shortname":"Flow Cyt (Intra)"}, "IP" : {"fullname" : "Immunoprecipitation", "shortname":"IP"}, "ChIP" : {"fullname" : "ChIP", "shortname":"ChIP"} }, "product-promise": { "all": "all", "testedAndGuaranteed": "tested", "guaranteed": "expected", "predicted": "predicted", "notRecommended": "not-recommended" } }, "values": { "Human": { "WB-species-checked": "testedAndGuaranteed", "WB-species-dilution-info": "1/1000", "WB-species-notes": "<p></p>", "IHCP-species-checked": "testedAndGuaranteed", "IHCP-species-dilution-info": "1/100", "IHCP-species-notes": "<p></p>", "ICCIF-species-checked": "testedAndGuaranteed", "ICCIF-species-dilution-info": "1/50", "ICCIF-species-notes": "<p></p>", "FlowCytIntra-species-checked": "notRecommended", "FlowCytIntra-species-dilution-info": "", "FlowCytIntra-species-notes": "<p></p>", "IP-species-checked": "testedAndGuaranteed", "IP-species-dilution-info": "1/30", "IP-species-notes": "<p></p>", "ChIP-species-checked": "testedAndGuaranteed", "ChIP-species-dilution-info": "5 µg", "ChIP-species-notes": "<p></p>" }, "Mouse": { "WB-species-checked": "notRecommended", "WB-species-dilution-info": "1/1000", "WB-species-notes": "<p></p>", "IHCP-species-checked": "notRecommended", "IHCP-species-dilution-info": "1/100", "IHCP-species-notes": "<p></p>", "ICCIF-species-checked": "notRecommended", "ICCIF-species-dilution-info": "1/50", "ICCIF-species-notes": "<p></p>", "FlowCytIntra-species-checked": "notRecommended", "FlowCytIntra-species-dilution-info": "", "FlowCytIntra-species-notes": "<p></p>", "IP-species-checked": "notRecommended", "IP-species-dilution-info": "1/30", "IP-species-notes": "<p></p>", "ChIP-species-checked": "notRecommended", "ChIP-species-dilution-info": "", "ChIP-species-notes": "" }, "Rat": { "WB-species-checked": "notRecommended", "WB-species-dilution-info": "1/1000", "WB-species-notes": "<p></p>", "IHCP-species-checked": "notRecommended", "IHCP-species-dilution-info": "1/100", "IHCP-species-notes": "<p></p>", "ICCIF-species-checked": "notRecommended", "ICCIF-species-dilution-info": "", "ICCIF-species-notes": "", "FlowCytIntra-species-checked": "notRecommended", "FlowCytIntra-species-dilution-info": "", "FlowCytIntra-species-notes": "", "IP-species-checked": "notRecommended", "IP-species-dilution-info": "", "IP-species-notes": "", "ChIP-species-checked": "notRecommended", "ChIP-species-dilution-info": "", "ChIP-species-notes": "" } } }

Product details

What are the advantages of a recombinant monoclonal antibody?
This product is a recombinant monoclonal antibody, which offers several advantages including:

  • - High batch-to-batch consistency and reproducibility
  • - Improved sensitivity and specificity
  • - Long-term security of supply
  • - Animal-free batch production

For more information, read more on recombinant antibodies.

Patented technology
Our RabMAb® technology is a patented hybridoma-based technology for making rabbit monoclonal antibodies. For details on our patents, please refer to RabMAb® patents.

Properties and storage information

Form
Liquid
Purification technique
Affinity purification Protein A
Storage buffer
pH: 7.2 - 7.4 Preservative: 0.01% Sodium azide Constituents: PBS, 40% Glycerol (glycerin, glycerine), 0.05% BSA
Shipped at conditions
Blue Ice
Appropriate short-term storage duration
1-2 weeks
Appropriate short-term storage conditions
+4°C
Appropriate long-term storage conditions
-20°C
Aliquoting information
Upon delivery aliquot
Storage information
Avoid freeze / thaw cycle

Supplementary information

This supplementary information is collated from multiple sources and compiled automatically.

The glucocorticoid receptor (GR) also known as the cortisol receptor is a type of nuclear receptor that functions as a transcription factor. This receptor has a molecular mass of approximately 97 kDa. GR is expressed in various tissues including the liver lung and immune cells. Its mechanical action involves binding to glucocorticoids—hormones like cortisol—which can regulate DNA transcription. When activated the receptor translocates into the cell nucleus where it can directly interact with DNA to regulate gene expression.
Biological function summary

The glucocorticoid receptor plays a significant role in mediating the physiological effects of glucocorticoids. It controls processes like inflammation and immune response. The receptor is part of a larger receptor complex enhancing its effectiveness in gene regulation. It modulates expression levels of diverse genes involved in metabolism immune functionality and cellular growth. GR's regulatory actions make it contextual within various biological processes impacting cellular behavior extensively.

Pathways

The glucocorticoid receptor integrates into significant signaling networks like the hypothalamic-pituitary-adrenal (HPA) axis and the inflammatory response pathway. This receptor coordinates with other proteins to control stress responses and inflammatory signals. In the HPA axis GR helps regulate cortisol levels and counteracts inflammatory cytokines. Its interaction with other receptors and transcription factors exemplifies its role in essential pathways that maintain homeostasis and stress adaptation within the organism.

Abnormal glucocorticoid receptor function links to conditions like Cushing's syndrome and glucocorticoid resistance. Cushing's syndrome characterized by excessive cortisol levels shows altered GR signaling. Similarly glucocorticoid resistance involves mutations or dysfunctions in GR that lead to improper hormone action affecting inflammation and immune responses. These diseases often involve other proteins such as various cytokines in the inflammatory response showing the broad impact of GR in disease processes.

Product protocols

For this product, it's our understanding that no specific protocols are required. You can visit:

Target data

Receptor for glucocorticoids (GC) (PubMed : 27120390, PubMed : 37478846). Has a dual mode of action : as a transcription factor that binds to glucocorticoid response elements (GRE), both for nuclear and mitochondrial DNA, and as a modulator of other transcription factors (PubMed : 28139699). Affects inflammatory responses, cellular proliferation and differentiation in target tissues. Involved in chromatin remodeling (PubMed : 9590696). Plays a role in rapid mRNA degradation by binding to the 5' UTR of target mRNAs and interacting with PNRC2 in a ligand-dependent manner which recruits the RNA helicase UPF1 and the mRNA-decapping enzyme DCP1A, leading to RNA decay (PubMed : 25775514). Could act as a coactivator for STAT5-dependent transcription upon growth hormone (GH) stimulation and could reveal an essential role of hepatic GR in the control of body growth (By similarity).. Isoform Alpha. Has transcriptional activation and repression activity (PubMed : 11435610, PubMed : 15769988, PubMed : 15866175, PubMed : 17635946, PubMed : 19141540, PubMed : 19248771, PubMed : 20484466, PubMed : 21664385, PubMed : 23820903). Mediates glucocorticoid-induced apoptosis (PubMed : 23303127). Promotes accurate chromosome segregation during mitosis (PubMed : 25847991). May act as a tumor suppressor (PubMed : 25847991). May play a negative role in adipogenesis through the regulation of lipolytic and antilipogenic gene expression (By similarity).. Isoform Beta. Acts as a dominant negative inhibitor of isoform Alpha (PubMed : 20484466, PubMed : 7769088, PubMed : 8621628). Has intrinsic transcriptional activity independent of isoform Alpha when both isoforms are coexpressed (PubMed : 19248771, PubMed : 26711253). Loses this transcription modulator function on its own (PubMed : 20484466). Has no hormone-binding activity (PubMed : 8621628). May play a role in controlling glucose metabolism by maintaining insulin sensitivity (By similarity). Reduces hepatic gluconeogenesis through down-regulation of PEPCK in an isoform Alpha-dependent manner (PubMed : 26711253). Directly regulates STAT1 expression in isoform Alpha-independent manner (PubMed : 26711253).. Isoform Alpha-2. Has lower transcriptional activation activity than isoform Alpha. Exerts a dominant negative effect on isoform Alpha trans-repression mechanism (PubMed : 20484466).. Isoform GR-P. Increases activity of isoform Alpha.. Isoform Alpha-B. More effective than isoform Alpha in transcriptional activation, but not repression activity.. Isoform 10. Has transcriptional activation activity.. Isoform Alpha-C1. Has transcriptional activation activity.. Isoform Alpha-C2. Has transcriptional activation activity.. Isoform Alpha-C3. Has highest transcriptional activation activity of all isoforms created by alternative initiation (PubMed : 15866175, PubMed : 23820903). Has transcriptional repression activity (PubMed : 23303127). Mediates glucocorticoid-induced apoptosis (PubMed : 23303127, PubMed : 23820903).. Isoform Alpha-D1. Has transcriptional activation activity.. Isoform Alpha-D2. Has transcriptional activation activity.. Isoform Alpha-D3. Has lowest transcriptional activation activity of all isoforms created by alternative initiation (PubMed : 15866175, PubMed : 23820903). Has transcriptional repression activity (PubMed : 23303127).
See full target information NR3C1

Product promise

We are committed to supporting your work with high-quality reagents, and we're here for you every step of the way. In the unlikely event that one of our products does not perform as expected, you're protected by our Product Promise.
For full details, please see our Terms & Conditions

Please note: All products are 'FOR RESEARCH USE ONLY. NOT FOR USE IN DIAGNOSTIC OR THERAPEUTIC PROCEDURES'.

For licensing inquiries, please contact partnerships@abcam.com