JavaScript is disabled in your browser. Please enable JavaScript to view this website.
AB55189

Anti-Glucocorticoid Receptor (phospho S211) antibody

Be the first to review this product! Submit a review

|

(10 Publications)

Rabbit Polyclonal Glucocorticoid Receptor phospho S211 antibody. Suitable for IHC-P, WB and reacts with Human samples. Cited in 10 publications. Immunogen corresponding to Synthetic Peptide within Human NR3C1 phospho S211.

View Alternative Names

GRL, NR3C1, Glucocorticoid receptor, GR, Nuclear receptor subfamily 3 group C member 1

3 Images
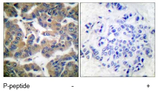
Immunohistochemistry (Formalin/PFA-fixed paraffin-embedded sections) - Anti-Glucocorticoid Receptor (phospho S211) antibody (AB55189)
  • IHC-P

Unknown

Immunohistochemistry (Formalin/PFA-fixed paraffin-embedded sections) - Anti-Glucocorticoid Receptor (phospho S211) antibody (AB55189)

ab55189 at 1/50 dilution staining human breast carcinoma without (left) and with (right) immunizing phospho-peptide; paraffin embedded.

Western blot - Anti-Glucocorticoid Receptor (phospho S211) antibody (AB55189)
  • WB

Unknown

Western blot - Anti-Glucocorticoid Receptor (phospho S211) antibody (AB55189)

All lanes:

Western blot - Anti-Glucocorticoid Receptor (phospho S211) antibody (ab55189) at 1/500 dilution

Lane 1:

extracts from HeLa cells treatedwith PMA (125ng/ml, 30min), with the immunising phosphpeptide

Lane 2:

extracts from HeLa cells treatedwith PMA (125ng/ml, 30min)

Predicted band size: 85 kDa

Observed band size: 86 kDa

false

Western blot - Anti-Glucocorticoid Receptor (phospho S211) antibody (AB55189)
  • WB

CiteAb

Western blot - Anti-Glucocorticoid Receptor (phospho S211) antibody (AB55189)

Glucocorticoid Receptor (phospho S211) western blot using anti-Glucocorticoid Receptor (phospho S211) antibody ab55189. Publication image and figure legend from Ryu, J. S., Ko, J. H., et al., 2017, Sci Rep, PubMed 28646191.

ab55189 was used in this publication in western blot. This may not be the same as the application(s) guaranteed by Abcam. For a full list of applications guaranteed by Abcam for ab55189 please see the product overview.

Glucocorticoid receptor (GR) mediates the effects of prednisolone. hCECs were cultured with or without 10 μg/ml prednisolone for 3 days and subjected to assays. (A) Real-time RT PCR assay for GR expression. (B) Representative image and densitometry analysis of western blot for GR relative to β-actin. (C,D) MTT assay and BrdU uptake assay to measure cell metabolic activity and proliferation, respectively. (E–G) Flow cytometric analysis for ANX+PI+ cells to measure cell apoptosis. The GR antagonist RU-38486 was added to some cultures (E). The percentage of ANX+PI+ cells was measured in hCECs with GR siRNA or scrambled (SCR) siRNA transfection (F,G). Data are presented as mean ±/+ SD from five independent sets of experiments including at least five samples per a set. **p < 0.01, ***p < 0.001, ****p < 0.0001, ns : not significant.

false

Key facts

Host species

Rabbit

Clonality

Polyclonal

Isotype

IgG

Carrier free

No

Reacts with

Human

Applications

IHC-P, WB

applications

Immunogen

Synthetic Peptide within Human NR3C1 phospho S211. The exact immunogen used to generate this antibody is proprietary information.

P04150

Reactivity data

{ "title": "Reactivity Data", "filters": { "stats": ["", "Species", "Dilution Info", "Notes"], "tabs": { "all-applications": {"fullname" : "All Applications", "shortname": "All Applications"}, "IHCP" : {"fullname" : "Immunohistochemistry (Formalin/PFA-fixed paraffin-embedded sections)", "shortname":"IHC-P"}, "WB" : {"fullname" : "Western blot", "shortname":"WB"} }, "product-promise": { "all": "all", "testedAndGuaranteed": "tested", "guaranteed": "expected", "predicted": "predicted", "notRecommended": "not-recommended" } }, "values": { "Human": { "IHCP-species-checked": "testedAndGuaranteed", "IHCP-species-dilution-info": "1/50 - 1/100", "IHCP-species-notes": "<p></p> Perform heat-mediated antigen retrieval before commencing with IHC staining protocol.", "WB-species-checked": "testedAndGuaranteed", "WB-species-dilution-info": "1/500 - 1/1000", "WB-species-notes": "<p></p>" }, "Mouse": { "IHCP-species-checked": "predicted", "IHCP-species-dilution-info": "", "IHCP-species-notes": "", "WB-species-checked": "predicted", "WB-species-dilution-info": "", "WB-species-notes": "" }, "Rat": { "IHCP-species-checked": "predicted", "IHCP-species-dilution-info": "", "IHCP-species-notes": "", "WB-species-checked": "predicted", "WB-species-dilution-info": "", "WB-species-notes": "" } } }

Properties and storage information

Form
Liquid
Purification technique
Affinity purification Immunogen
Purification notes
This antibody was affinity-purified from rabbit antiserum by affinity-chromatography using epitope-specific phosphopeptide. The antibody against non-phosphopeptide was removed by chromatography using non-phosphopeptide corresponding to the phosphorylation site.
Storage buffer
pH: 7 Preservative: 0.02% Sodium azide Constituents: PBS, 50% Glycerol (glycerin, glycerine), 0.87% Sodium chloride
Shipped at conditions
Blue Ice
Appropriate short-term storage conditions
+4°C
Appropriate long-term storage conditions
-20°C
Aliquoting information
Upon delivery aliquot
Storage information
Avoid freeze / thaw cycle

Supplementary information

This supplementary information is collated from multiple sources and compiled automatically.

The glucocorticoid receptor (GR) also known as the cortisol receptor is a type of nuclear receptor that functions as a transcription factor. This receptor has a molecular mass of approximately 97 kDa. GR is expressed in various tissues including the liver lung and immune cells. Its mechanical action involves binding to glucocorticoids—hormones like cortisol—which can regulate DNA transcription. When activated the receptor translocates into the cell nucleus where it can directly interact with DNA to regulate gene expression.
Biological function summary

The glucocorticoid receptor plays a significant role in mediating the physiological effects of glucocorticoids. It controls processes like inflammation and immune response. The receptor is part of a larger receptor complex enhancing its effectiveness in gene regulation. It modulates expression levels of diverse genes involved in metabolism immune functionality and cellular growth. GR's regulatory actions make it contextual within various biological processes impacting cellular behavior extensively.

Pathways

The glucocorticoid receptor integrates into significant signaling networks like the hypothalamic-pituitary-adrenal (HPA) axis and the inflammatory response pathway. This receptor coordinates with other proteins to control stress responses and inflammatory signals. In the HPA axis GR helps regulate cortisol levels and counteracts inflammatory cytokines. Its interaction with other receptors and transcription factors exemplifies its role in essential pathways that maintain homeostasis and stress adaptation within the organism.

Abnormal glucocorticoid receptor function links to conditions like Cushing's syndrome and glucocorticoid resistance. Cushing's syndrome characterized by excessive cortisol levels shows altered GR signaling. Similarly glucocorticoid resistance involves mutations or dysfunctions in GR that lead to improper hormone action affecting inflammation and immune responses. These diseases often involve other proteins such as various cytokines in the inflammatory response showing the broad impact of GR in disease processes.

Product protocols

For this product, it's our understanding that no specific protocols are required. You can visit:

Target data

Receptor for glucocorticoids (GC) (PubMed : 27120390, PubMed : 37478846). Has a dual mode of action : as a transcription factor that binds to glucocorticoid response elements (GRE), both for nuclear and mitochondrial DNA, and as a modulator of other transcription factors (PubMed : 28139699). Affects inflammatory responses, cellular proliferation and differentiation in target tissues. Involved in chromatin remodeling (PubMed : 9590696). Plays a role in rapid mRNA degradation by binding to the 5' UTR of target mRNAs and interacting with PNRC2 in a ligand-dependent manner which recruits the RNA helicase UPF1 and the mRNA-decapping enzyme DCP1A, leading to RNA decay (PubMed : 25775514). Could act as a coactivator for STAT5-dependent transcription upon growth hormone (GH) stimulation and could reveal an essential role of hepatic GR in the control of body growth (By similarity).. Isoform Alpha. Has transcriptional activation and repression activity (PubMed : 11435610, PubMed : 15769988, PubMed : 15866175, PubMed : 17635946, PubMed : 19141540, PubMed : 19248771, PubMed : 20484466, PubMed : 21664385, PubMed : 23820903). Mediates glucocorticoid-induced apoptosis (PubMed : 23303127). Promotes accurate chromosome segregation during mitosis (PubMed : 25847991). May act as a tumor suppressor (PubMed : 25847991). May play a negative role in adipogenesis through the regulation of lipolytic and antilipogenic gene expression (By similarity).. Isoform Beta. Acts as a dominant negative inhibitor of isoform Alpha (PubMed : 20484466, PubMed : 7769088, PubMed : 8621628). Has intrinsic transcriptional activity independent of isoform Alpha when both isoforms are coexpressed (PubMed : 19248771, PubMed : 26711253). Loses this transcription modulator function on its own (PubMed : 20484466). Has no hormone-binding activity (PubMed : 8621628). May play a role in controlling glucose metabolism by maintaining insulin sensitivity (By similarity). Reduces hepatic gluconeogenesis through down-regulation of PEPCK in an isoform Alpha-dependent manner (PubMed : 26711253). Directly regulates STAT1 expression in isoform Alpha-independent manner (PubMed : 26711253).. Isoform Alpha-2. Has lower transcriptional activation activity than isoform Alpha. Exerts a dominant negative effect on isoform Alpha trans-repression mechanism (PubMed : 20484466).. Isoform GR-P. Increases activity of isoform Alpha.. Isoform Alpha-B. More effective than isoform Alpha in transcriptional activation, but not repression activity.. Isoform 10. Has transcriptional activation activity.. Isoform Alpha-C1. Has transcriptional activation activity.. Isoform Alpha-C2. Has transcriptional activation activity.. Isoform Alpha-C3. Has highest transcriptional activation activity of all isoforms created by alternative initiation (PubMed : 15866175, PubMed : 23820903). Has transcriptional repression activity (PubMed : 23303127). Mediates glucocorticoid-induced apoptosis (PubMed : 23303127, PubMed : 23820903).. Isoform Alpha-D1. Has transcriptional activation activity.. Isoform Alpha-D2. Has transcriptional activation activity.. Isoform Alpha-D3. Has lowest transcriptional activation activity of all isoforms created by alternative initiation (PubMed : 15866175, PubMed : 23820903). Has transcriptional repression activity (PubMed : 23303127).
See full target information NR3C1 phospho S211

Publications (10)

Recent publications for all applications. Explore the full list and refine your search

Cell death & disease 14:146 PubMed36810730

2023

Melatonin-mediated FKBP4 downregulation protects against stress-induced neuronal mitochondria dysfunctions by blocking nuclear translocation of GR.

Applications

Unspecified application

Species

Unspecified reactive species

Min Jeong Kim,Gee Euhn Choi,Chang Woo Chae,Jae Ryong Lim,Young Hyun Jung,Jee Hyeon Yoon,Ji Yong Park,Ho Jae Han

Biomolecules 11: PubMed33919331

2021

β-Ionone Attenuates Dexamethasone-Induced Suppression of Collagen and Hyaluronic Acid Synthesis in Human Dermal Fibroblasts.

Applications

Unspecified application

Species

Unspecified reactive species

Dabin Choi,Wesuk Kang,Soyoon Park,Bomin Son,Taesun Park

International journal of molecular sciences 19: PubMed30544846

2018

Glucocorticoid Receptor Binding Inhibits an Intronic Enhancer and is Disrupted by rs4742170 (T) Allele Associated with Specific Wheezing Phenotype in Early Childhood.

Applications

Unspecified application

Species

Unspecified reactive species

Alisa M Gorbacheva,Dmitry V Kuprash,Nikita A Mitkin

Molecular pharmacology 94:1031-1046 PubMed29959223

2018

Long-Acting -Adrenoceptor Agonists Enhance Glucocorticoid Receptor (GR)-Mediated Transcription by Gene-Specific Mechanisms Rather Than Generic Effects via GR.

Applications

Unspecified application

Species

Unspecified reactive species

Christopher F Rider,Mohammed O Altonsy,Mahmoud M Mostafa,Suharsh V Shah,Sarah Sasse,Martijn L Manson,Dong Yan,Carina Kärrman-Mårdh,Anna Miller-Larsson,Anthony N Gerber,Mark A Giembycz,Robert Newton

Scientific reports 7:4135 PubMed28646191

2017

Prednisolone induces apoptosis in corneal epithelial cells through the intrinsic pathway.

Applications

WB

Species

Human

Jin Suk Ryu,Jung Hwa Ko,Mee Kum Kim,Won Ryang Wee,Joo Youn Oh

Journal of immunology (Baltimore, Md. : 1950) 197:3782-3791 PubMed27742828

2016

Cytokine-Induced Glucocorticoid Resistance from Eosinophil Activation: Protein Phosphatase 5 Modulation of Glucocorticoid Receptor Phosphorylation and Signaling.

Applications

Unspecified application

Species

Unspecified reactive species

Konrad Pazdrak,Christof Straub,Rosario Maroto,Susan Stafford,Wendy I White,William J Calhoun,Alexander Kurosky

BMC veterinary research 11:123 PubMed26008782

2015

Glucocorticoid receptor is involved in the breed-dependent transcriptional regulation of 3β-hydroxysteroid dehydrogenase in the liver of preweaning piglets.

Applications

WB

Species

Unspecified reactive species

Xian Li,Yimin Jia,Runsheng Li,Zhiyuan Sun,Xi Li,Shiyan Sui,Ruqian Zhao

The Biochemical journal 466:163-76 PubMed25437352

2014

Decreased adipogenesis and adipose tissue in mice with inactivated protein phosphatase 5.

Applications

Unspecified application

Species

Unspecified reactive species

Wright Jacob,Doron Rosenzweig,Cristina Vázquez-Martin,Suzanne L Duce,Patricia T W Cohen

Hormones (Athens, Greece) 14:109-17 PubMed25402380

2014

The influence of combined oral contraceptives containing drospirenone on hypothalamic-pituitary-adrenocortical axis activity and glucocorticoid receptor expression and function in women with polycystic ovary syndrome.

Applications

Unspecified application

Species

Unspecified reactive species

Djuro Macut,Ivana Božić Antić,Jelena Nestorov,Vladanka Topalović,Jelica Bjekić Macut,Dimitrios Panidis,Biljana Kastratović Kotlica,Efstathios Papadakis,Gordana Matić,Danijela Vojnović Milutinović

American journal of respiratory cell and molecular 40:223-30 PubMed18776133

2008

IFN-gamma reverses IL-2- and IL-4-mediated T-cell steroid resistance.

Applications

Unspecified application

Species

Unspecified reactive species

Elena Goleva,Ling-Bo Li,Donald Y M Leung
View all publications

Product promise

We are committed to supporting your work with high-quality reagents, and we're here for you every step of the way. In the unlikely event that one of our products does not perform as expected, you're protected by our Product Promise.
For full details, please see our Terms & Conditions

Please note: All products are 'FOR RESEARCH USE ONLY. NOT FOR USE IN DIAGNOSTIC OR THERAPEUTIC PROCEDURES'.

For licensing inquiries, please contact partnerships@abcam.com