JavaScript is disabled in your browser. Please enable JavaScript to view this website.
AB303612

Anti-Glucokinase antibody [EPR25847-150]

  • BOND RX™ Validated
  • 20ul selling size
  • RabMAb
  • Recombinant
  • What is this?

Be the first to review this product! Submit a review

|

(0 Publication)

Rabbit Recombinant Monoclonal HXK4 antibody. Suitable for IHC-P and reacts with Human, Mouse samples.

View Alternative Names

Hexokinase-4, HK4, Glucokinase, Hexokinase type IV, Hexokinase-D, HK IV, GCK

6 Images
Immunohistochemistry (Formalin/PFA-fixed paraffin-embedded sections) - Anti-Glucokinase antibody [EPR25847-150] (AB303612)
  • IHC-P

Supplier Data

Immunohistochemistry (Formalin/PFA-fixed paraffin-embedded sections) - Anti-Glucokinase antibody [EPR25847-150] (AB303612)

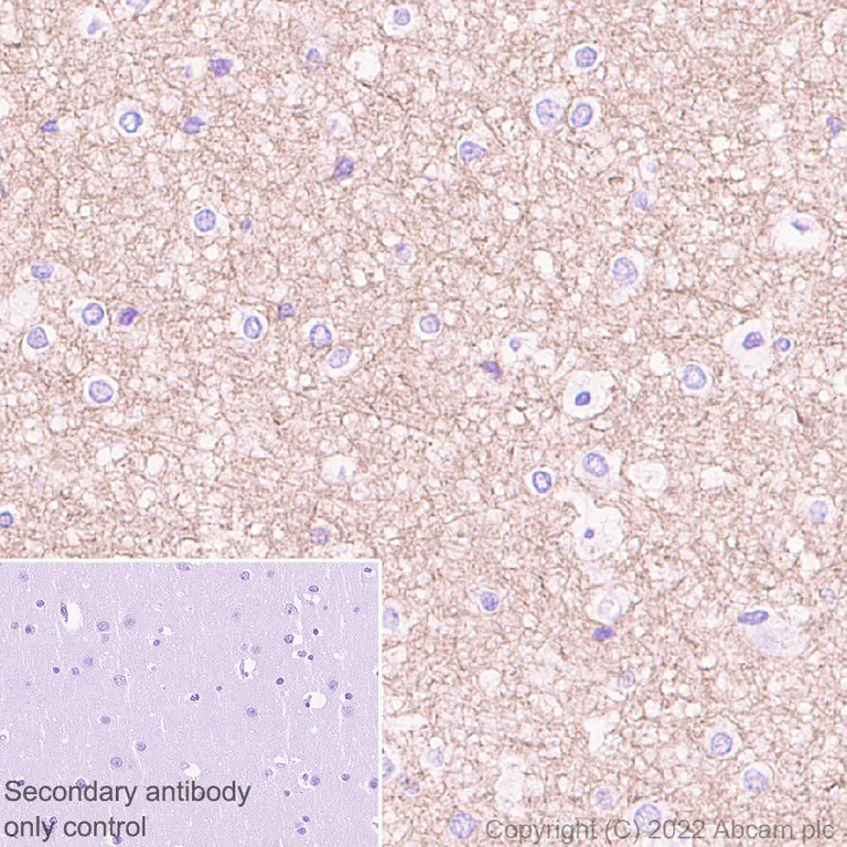
Immunohistochemical analysis of paraffin-embedded human cerebrum tissue labeling Glucokinase with ab303612 at 1/250 dilution (4.68 µg/ml), followed by a ready to use LeicaDS9800 (Bond™ Polymer Refine Detection). Positive staining on human cerebrum is observed. The section was incubated with ab303612 at 4°C overnight. The immunostaining was performed on a Leica Biosystems BOND® RX instrument. Counterstained with Hematoxylin.

Secondary antibody only control : Primary diluent was used instead of primary antibody, followed by ready to use LeicaDS9800 (BOND™ Polymer Refine Detection).

Heat mediated antigen retrieval with Tris-EDTA buffer (pH 9.0, epitope retrieval solution2) for 20 mins was used.

Immunohistochemistry (Formalin/PFA-fixed paraffin-embedded sections) - Anti-Glucokinase antibody [EPR25847-150] (AB303612)
  • IHC-P

Supplier Data

Immunohistochemistry (Formalin/PFA-fixed paraffin-embedded sections) - Anti-Glucokinase antibody [EPR25847-150] (AB303612)

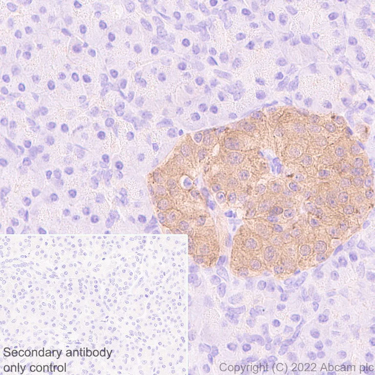
Immunohistochemical analysis of paraffin-embedded human pancreas tissue labeling Glucokinase with ab303612 at 1/250 dilution (4.68 µg/ml), followed by a ready to use LeicaDS9800 (Bond™ Polymer Refine Detection). Positive staining on human pancreatic islet is observed. The section was incubated with ab303612 at 4°C overnight. The immunostaining was performed on a Leica Biosystems BOND® RX instrument. Counterstained with Hematoxylin.

Secondary antibody only control : Primary diluent was used instead of primary antibody, followed by ready to use LeicaDS9800 (BOND™ Polymer Refine Detection).

Heat mediated antigen retrieval with Tris-EDTA buffer (pH 9.0, epitope retrieval solution2) for 20 mins was used.

Immunohistochemistry (Formalin/PFA-fixed paraffin-embedded sections) - Anti-Glucokinase antibody [EPR25847-150] (AB303612)
  • IHC-P

Supplier Data

Immunohistochemistry (Formalin/PFA-fixed paraffin-embedded sections) - Anti-Glucokinase antibody [EPR25847-150] (AB303612)

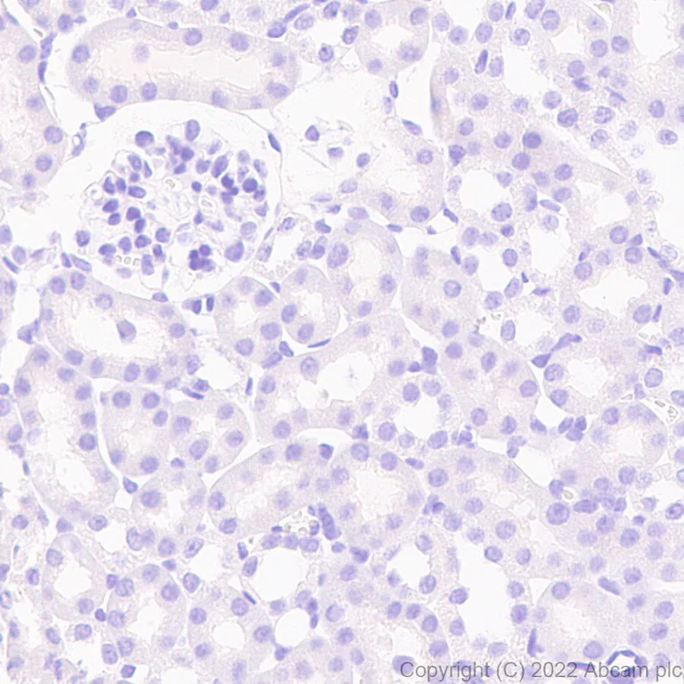
Immunohistochemical analysis of paraffin-embedded human kidney tissue labeling Glucokinase with ab303612 at 1/250 dilution (4.68 µg/ml), followed by a ready to use LeicaDS9800 (Bond™ Polymer Refine Detection). Negative control : no staining on human kidney is observed.

The section was incubated with ab303612 at 4°C overnight. The immunostaining was performed on a Leica Biosystems BOND® RX instrument. Counterstained with Hematoxylin.

Secondary antibody only control : Primary diluent was used instead of primary antibody, followed by ready to use LeicaDS9800 (BOND™ Polymer Refine Detection).

Heat mediated antigen retrieval with Tris-EDTA buffer (pH 9.0, epitope retrieval solution2) for 20 mins was used.

Immunohistochemistry (Formalin/PFA-fixed paraffin-embedded sections) - Anti-Glucokinase antibody [EPR25847-150] (AB303612)
  • IHC-P

Supplier Data

Immunohistochemistry (Formalin/PFA-fixed paraffin-embedded sections) - Anti-Glucokinase antibody [EPR25847-150] (AB303612)

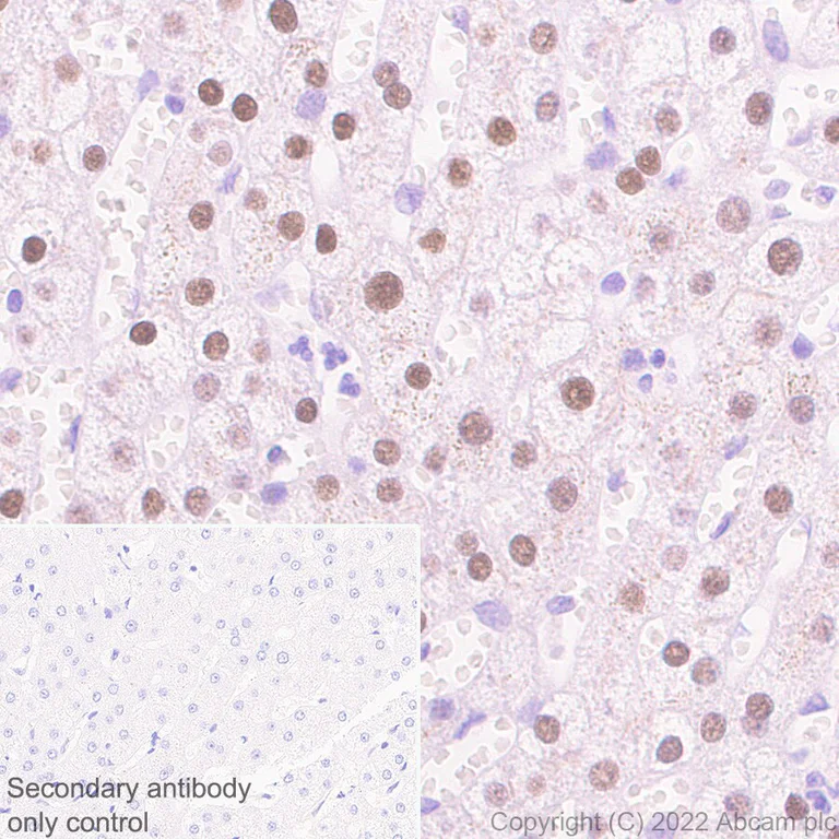
Immunohistochemical analysis of paraffin-embedded human liver tissue labeling Glucokinase with ab303612 at 1/250 dilution (4.68 µg/ml), followed by a ready to use LeicaDS9800 (Bond™ Polymer Refine Detection). Positive staining on human liver is observed. The section was incubated with ab303612 at 4°C overnight. The immunostaining was performed on a Leica Biosystems BOND® RX instrument. Counterstained with Hematoxylin.

Secondary antibody only control : Primary diluent was used instead of primary antibody, followed by ready to use LeicaDS9800 (BOND™ Polymer Refine Detection).

Heat mediated antigen retrieval with Tris-EDTA buffer (pH 9.0, epitope retrieval solution2) for 20 mins was used.

Immunohistochemistry (Formalin/PFA-fixed paraffin-embedded sections) - Anti-Glucokinase antibody [EPR25847-150] (AB303612)
  • IHC-P

Supplier Data

Immunohistochemistry (Formalin/PFA-fixed paraffin-embedded sections) - Anti-Glucokinase antibody [EPR25847-150] (AB303612)

Immunohistochemical analysis of paraffin-embedded mouse liver tissue labeling Glucokinase with ab303612 at 1/250 dilution (4.68 µg/ml), followed by a ready to use LeicaDS9800 (Bond™ Polymer Refine Detection). Positive staining on mouse liver is observed. The section was incubated with ab303612 for 10 min at room temerature. The immunostaining was performed on a Leica Biosystems BOND® RX instrument. Counterstained with Hematoxylin.

Secondary antibody only control : Primary diluent was used instead of primary antibody, followed by ready to use LeicaDS9800 (BOND™ Polymer Refine Detection).

Heat mediated antigen retrieval with Tris-EDTA buffer (pH 9.0, epitope retrieval solution2) for 20 mins was used.

Immunohistochemistry (Formalin/PFA-fixed paraffin-embedded sections) - Anti-Glucokinase antibody [EPR25847-150] (AB303612)
  • IHC-P

Supplier Data

Immunohistochemistry (Formalin/PFA-fixed paraffin-embedded sections) - Anti-Glucokinase antibody [EPR25847-150] (AB303612)

Immunohistochemical analysis of paraffin-embedded mouse kidney tissue labeling Glucokinase with ab303612 at 1/250 dilution (4.68 µg/ml), followed by a ready to use LeicaDS9800 (Bond™ Polymer Refine Detection). Negative control : no staining on mouse kidney is observed.

The section was incubated with ab303612 for 30 mins at room temperature. The immunostaining was performed on a Leica Biosystems BOND® RX instrument. Counterstained with Hematoxylin.

Secondary antibody only control : Primary diluent was used instead of primary antibody, followed by ready to use LeicaDS9800 (BOND™ Polymer Refine Detection).

Heat mediated antigen retrieval with Tris-EDTA buffer (pH 9.0, epitope retrieval solution2) for 20 mins was used.

Key facts

Host species

Rabbit

Clonality

Monoclonal

Clone number

EPR25847-150

Isotype

IgG

Carrier free

No

Reacts with

Human, Mouse

Applications

IHC-P

applications

Immunogen

The exact immunogen used to generate this antibody is proprietary information.

Reactivity data

{ "title": "Reactivity Data", "filters": { "stats": ["", "Species", "Dilution Info", "Notes"], "tabs": { "all-applications": {"fullname" : "All Applications", "shortname": "All Applications"}, "WB" : {"fullname" : "Western blot", "shortname":"WB"}, "IHCP" : {"fullname" : "Immunohistochemistry (Formalin/PFA-fixed paraffin-embedded sections)", "shortname":"IHC-P"}, "ICCIF" : {"fullname" : "Immunocytochemistry/ Immunofluorescence", "shortname":"ICC/IF"}, "FlowCytIntra" : {"fullname" : "Flow Cytometry (Intracellular)", "shortname":"Flow Cyt (Intra)"}, "IP" : {"fullname" : "Immunoprecipitation", "shortname":"IP"} }, "product-promise": { "all": "all", "testedAndGuaranteed": "tested", "guaranteed": "expected", "predicted": "predicted", "notRecommended": "not-recommended" } }, "values": { "Human": { "WB-species-checked": "notRecommended", "WB-species-dilution-info": "", "WB-species-notes": "<p></p>", "IHCP-species-checked": "testedAndGuaranteed", "IHCP-species-dilution-info": "1/250", "IHCP-species-notes": "<p></p>", "ICCIF-species-checked": "notRecommended", "ICCIF-species-dilution-info": "", "ICCIF-species-notes": "<p></p>", "FlowCytIntra-species-checked": "notRecommended", "FlowCytIntra-species-dilution-info": "", "FlowCytIntra-species-notes": "<p></p>", "IP-species-checked": "notRecommended", "IP-species-dilution-info": "", "IP-species-notes": "<p></p>" }, "Mouse": { "WB-species-checked": "notRecommended", "WB-species-dilution-info": "", "WB-species-notes": "", "IHCP-species-checked": "testedAndGuaranteed", "IHCP-species-dilution-info": "1/250", "IHCP-species-notes": "<p></p>", "ICCIF-species-checked": "notRecommended", "ICCIF-species-dilution-info": "", "ICCIF-species-notes": "", "FlowCytIntra-species-checked": "notRecommended", "FlowCytIntra-species-dilution-info": "", "FlowCytIntra-species-notes": "", "IP-species-checked": "notRecommended", "IP-species-dilution-info": "", "IP-species-notes": "" }, "Rat": { "WB-species-checked": "notRecommended", "WB-species-dilution-info": "", "WB-species-notes": "", "IHCP-species-checked": "notRecommended", "IHCP-species-dilution-info": "1/250", "IHCP-species-notes": "<p></p>", "ICCIF-species-checked": "notRecommended", "ICCIF-species-dilution-info": "", "ICCIF-species-notes": "", "FlowCytIntra-species-checked": "notRecommended", "FlowCytIntra-species-dilution-info": "", "FlowCytIntra-species-notes": "", "IP-species-checked": "notRecommended", "IP-species-dilution-info": "", "IP-species-notes": "" } } }

Product details

Patented technology
Our RabMAb® technology is a patented hybridoma-based technology for making rabbit monoclonal antibodies. For details on our patents, please refer to RabMAb® patents.

What are the advantages of a recombinant monoclonal antibody?
This product is a recombinant monoclonal antibody, which offers several advantages including:

  • - High batch-to-batch consistency and reproducibility
  • - Improved sensitivity and specificity
  • - Long-term security of supply
  • - Animal-free batch production

For more information, read more on recombinant antibodies.

Properties and storage information

Form
Liquid
Purification technique
Affinity purification Protein A
Storage buffer
pH: 7.2 - 7.4 Preservative: 0.01% Sodium azide Constituents: PBS, 40% Glycerol (glycerin, glycerine), 0.05% BSA
Shipped at conditions
Blue Ice
Appropriate short-term storage duration
1-2 weeks
Appropriate short-term storage conditions
+4°C
Appropriate long-term storage conditions
-20°C
Aliquoting information
Upon delivery aliquot
Storage information
Avoid freeze / thaw cycle

Supplementary information

This supplementary information is collated from multiple sources and compiled automatically.

Glucokinase also known as GCK is an enzyme with a mass around 50 kDa. It functions by catalyzing the phosphorylation of glucose to glucose-6-phosphate an important step in glycolysis. Glucokinase displays a higher affinity for glucose as compared to other hexokinases which is indicated by its specific kinetic property known as the Km value. This enzyme is mainly expressed in the liver and pancreatic beta-cells where it plays an important role in glucose metabolism. Additionally glucokinase can also be found in the hypothalamus indicating its broader reach in carbohydrate sensing.
Biological function summary

Glucokinase acts as a glucose sensor regulating blood sugar levels and insulin secretion. This process does not involve the enzyme as part of a larger complex. Instead glucokinase functions independently to sense glucose concentrations and adjusts the rate of glucose phosphorylation accordingly. Its activity significantly affects the balance of glucose uptake and energy production especially during postprandial states when glucose levels rise. Glucokinase activity is therefore important to maintaining glucose homeostasis.

Pathways

Glucokinase plays a central role in the glycolytic pathway and interacts with the insulin signaling pathway. Within these pathways it influences how the liver stores glucose as glycogen and controls insulin release from pancreatic beta-cells. Glucokinase activity is modulated by glucose levels and is closely related to insulin receptor substrates that affect downstream insulin signaling. Its function is important for the proper regulation of these pathways linking glucose sensing with metabolic control in varied tissues.

Glucokinase is pivotal in the context of diabetes mellitus and hyperglycemia. Mutations or dysregulation of glucokinase can lead to different forms of diabetes including maturity-onset diabetes of the young type 2 (MODY2). Glucokinase inhibitors and activators are being explored as potential therapeutic agents for modulating glucose levels in diabetics. Additionally its role interfaces with the functions of insulin tying glucokinase closely to conditions of insulin resistance and pancreatic dysfunction. Understanding these connections is instrumental for developing targeted treatment strategies.

Product protocols

For this product, it's our understanding that no specific protocols are required. You can visit:

Target data

Catalyzes the phosphorylation of hexose, such as D-glucose, D-fructose and D-mannose, to hexose 6-phosphate (D-glucose 6-phosphate, D-fructose 6-phosphate and D-mannose 6-phosphate, respectively) (PubMed : 11916951, PubMed : 15277402, PubMed : 17082186, PubMed : 18322640, PubMed : 19146401, PubMed : 25015100, PubMed : 7742312, PubMed : 8325892). Compared to other hexokinases, has a weak affinity for D-glucose, and is effective only when glucose is abundant (By similarity). Mainly expressed in pancreatic beta cells and the liver and constitutes a rate-limiting step in glucose metabolism in these tissues (PubMed : 11916951, PubMed : 15277402, PubMed : 18322640, PubMed : 25015100, PubMed : 8325892). Since insulin secretion parallels glucose metabolism and the low glucose affinity of GCK ensures that it can change its enzymatic activity within the physiological range of glucose concentrations, GCK acts as a glucose sensor in the pancreatic beta cell (By similarity). In pancreas, plays an important role in modulating insulin secretion (By similarity). In liver, helps to facilitate the uptake and conversion of glucose by acting as an insulin-sensitive determinant of hepatic glucose usage (By similarity). Required to provide D-glucose 6-phosphate for the synthesis of glycogen (PubMed : 8878425). Mediates the initial step of glycolysis by catalyzing phosphorylation of D-glucose to D-glucose 6-phosphate (PubMed : 7742312).
See full target information Hexokinase-4

Product promise

We are committed to supporting your work with high-quality reagents, and we're here for you every step of the way. In the unlikely event that one of our products does not perform as expected, you're protected by our Product Promise.
For full details, please see our Terms & Conditions

Please note: All products are 'FOR RESEARCH USE ONLY. NOT FOR USE IN DIAGNOSTIC OR THERAPEUTIC PROCEDURES'.

For licensing inquiries, please contact partnerships@abcam.com