JavaScript is disabled in your browser. Please enable JavaScript to view this website.
AB87230

Anti-Glucose 6 Phosphate Dehydrogenase antibody

5

(1 Review)

|

(9 Publications)

Rabbit Polyclonal Glucose 6 Phosphate Dehydrogenase antibody. Suitable for IHC-P, WB, ICC/IF and reacts with Human, Mouse samples. Cited in 9 publications.

View Alternative Names

Glucose-6-phosphate 1-dehydrogenase, G6PD

3 Images
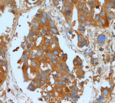
Immunohistochemistry (Formalin/PFA-fixed paraffin-embedded sections) - Anti-Glucose 6 Phosphate Dehydrogenase antibody (AB87230)
  • IHC-P

Unknown

Immunohistochemistry (Formalin/PFA-fixed paraffin-embedded sections) - Anti-Glucose 6 Phosphate Dehydrogenase antibody (AB87230)

IHC image of Glucose 6 Phosphate Dehydrogenase staining in human breast carcinoma formalin fixed paraffin embedded tissue section, performed on a Leica BondTM system using the standard protocol F. The section was pre-treated using heat mediated antigen retrieval with sodium citrate buffer (pH6, epitope retrieval solution 1) for 20 mins. The section was then incubated with ab87230, 10µg/ml, for 15 mins at room temperature and detected using an HRP conjugated compact polymer system. DAB was used as the chromogen. The section was then counterstained with haematoxylin and mounted with DPX.

Immunocytochemistry/ Immunofluorescence - Anti-Glucose 6 Phosphate Dehydrogenase antibody (AB87230)
  • ICC/IF

Lab

Immunocytochemistry/ Immunofluorescence - Anti-Glucose 6 Phosphate Dehydrogenase antibody (AB87230)

ab87230 stained in Hela cells. Cells were fixed with 4% paraformaldehyde (10min) at room temperature and incubated with PBS containing 10% goat serum, 0.3 M glycine, 1% BSA and 0.1% triton for 1h at room temperature to permeabilise the cells and block non-specific protein-protein interactions. The cells were then incubated with the antibody ab87230 at 1μg/ml and ab7291 (Mouse monoclonal [DM1A] to alpha Tubulin - Loading Control) at 1/1000 dilution overnight at +4°C. The secondary antibodies were ab150120 (pseudo-colored red) and ab150081 (colored green) used at 1 ug/ml for 1hour at room temperature. DAPI was used to stain the cell nuclei (colored blue) at a concentration of 1.43μM for 1hour at room temperature

Western blot - Anti-Glucose 6 Phosphate Dehydrogenase antibody (AB87230)
  • WB

Unknown

Western blot - Anti-Glucose 6 Phosphate Dehydrogenase antibody (AB87230)

All lanes:

Western blot - Anti-Glucose 6 Phosphate Dehydrogenase antibody (ab87230) at 1 µg/mL

Lane 1:

RAW 264.7 (Mouse leukaemic monocyte macrophage cell line) Whole Cell Lysate at 10 µg

Lane 2:

Human lymph node tissue lysate - total protein (<a href='/en-us/products/unavailable/human-lymph-node-tissue-lysate-total-protein-ab29871'>ab29871</a>) at 10 µg

Lane 3:

Jurkat (Human T cell lymphoblast-like cell line) Whole Cell Lysate at 10 µg

Secondary

All lanes:

Goat polyclonal to Rabbit IgG - H&L - Pre-Adsorbed (HRP) at 1/3000 dilution

Predicted band size: 59 kDa

Observed band size: 59 kDa,95 kDa

true

Exposure time: 30s

Key facts

Host species

Rabbit

Clonality

Polyclonal

Isotype

IgG

Carrier free

No

Reacts with

Mouse, Human

Applications

ICC/IF, IHC-P, WB

applications

Immunogen

The exact immunogen used to generate this antibody is proprietary information.

Reactivity data

{ "title": "Reactivity Data", "filters": { "stats": ["", "Species", "Dilution Info", "Notes"], "tabs": { "all-applications": {"fullname" : "All Applications", "shortname": "All Applications"}, "IHCP" : {"fullname" : "Immunohistochemistry (Formalin/PFA-fixed paraffin-embedded sections)", "shortname":"IHC-P"}, "WB" : {"fullname" : "Western blot", "shortname":"WB"}, "ICCIF" : {"fullname" : "Immunocytochemistry/ Immunofluorescence", "shortname":"ICC/IF"} }, "product-promise": { "all": "all", "testedAndGuaranteed": "tested", "guaranteed": "expected", "predicted": "predicted", "notRecommended": "not-recommended" } }, "values": { "Human": { "IHCP-species-checked": "testedAndGuaranteed", "IHCP-species-dilution-info": "10 µg/mL", "IHCP-species-notes": "<p></p>", "WB-species-checked": "guaranteed", "WB-species-dilution-info": "", "WB-species-notes": "", "ICCIF-species-checked": "testedAndGuaranteed", "ICCIF-species-dilution-info": "1 µg/mL", "ICCIF-species-notes": "<p></p>" }, "Mouse": { "IHCP-species-checked": "guaranteed", "IHCP-species-dilution-info": "", "IHCP-species-notes": "", "WB-species-checked": "testedAndGuaranteed", "WB-species-dilution-info": "1 µg/mL", "WB-species-notes": "<p></p>", "ICCIF-species-checked": "guaranteed", "ICCIF-species-dilution-info": "", "ICCIF-species-notes": "" }, "Rat": { "IHCP-species-checked": "predicted", "IHCP-species-dilution-info": "", "IHCP-species-notes": "", "WB-species-checked": "predicted", "WB-species-dilution-info": "", "WB-species-notes": "", "ICCIF-species-checked": "predicted", "ICCIF-species-dilution-info": "", "ICCIF-species-notes": "" }, "Cat": { "IHCP-species-checked": "predicted", "IHCP-species-dilution-info": "", "IHCP-species-notes": "", "WB-species-checked": "predicted", "WB-species-dilution-info": "", "WB-species-notes": "", "ICCIF-species-checked": "predicted", "ICCIF-species-dilution-info": "", "ICCIF-species-notes": "" }, "Chinese hamster": { "IHCP-species-checked": "predicted", "IHCP-species-dilution-info": "", "IHCP-species-notes": "", "WB-species-checked": "predicted", "WB-species-dilution-info": "", "WB-species-notes": "", "ICCIF-species-checked": "predicted", "ICCIF-species-dilution-info": "", "ICCIF-species-notes": "" }, "Cow": { "IHCP-species-checked": "predicted", "IHCP-species-dilution-info": "", "IHCP-species-notes": "", "WB-species-checked": "predicted", "WB-species-dilution-info": "", "WB-species-notes": "", "ICCIF-species-checked": "predicted", "ICCIF-species-dilution-info": "", "ICCIF-species-notes": "" }, "Dog": { "IHCP-species-checked": "predicted", "IHCP-species-dilution-info": "", "IHCP-species-notes": "", "WB-species-checked": "predicted", "WB-species-dilution-info": "", "WB-species-notes": "", "ICCIF-species-checked": "predicted", "ICCIF-species-dilution-info": "", "ICCIF-species-notes": "" }, "Horse": { "IHCP-species-checked": "predicted", "IHCP-species-dilution-info": "", "IHCP-species-notes": "", "WB-species-checked": "predicted", "WB-species-dilution-info": "", "WB-species-notes": "", "ICCIF-species-checked": "predicted", "ICCIF-species-dilution-info": "", "ICCIF-species-notes": "" }, "Macaque monkey": { "IHCP-species-checked": "predicted", "IHCP-species-dilution-info": "", "IHCP-species-notes": "", "WB-species-checked": "predicted", "WB-species-dilution-info": "", "WB-species-notes": "", "ICCIF-species-checked": "predicted", "ICCIF-species-dilution-info": "", "ICCIF-species-notes": "" }, "Sheep": { "IHCP-species-checked": "predicted", "IHCP-species-dilution-info": "", "IHCP-species-notes": "", "WB-species-checked": "predicted", "WB-species-dilution-info": "", "WB-species-notes": "", "ICCIF-species-checked": "predicted", "ICCIF-species-dilution-info": "", "ICCIF-species-notes": "" }, "Turkey": { "IHCP-species-checked": "predicted", "IHCP-species-dilution-info": "", "IHCP-species-notes": "", "WB-species-checked": "predicted", "WB-species-dilution-info": "", "WB-species-notes": "", "ICCIF-species-checked": "predicted", "ICCIF-species-dilution-info": "", "ICCIF-species-notes": "" }, "Zebrafish": { "IHCP-species-checked": "predicted", "IHCP-species-dilution-info": "", "IHCP-species-notes": "", "WB-species-checked": "predicted", "WB-species-dilution-info": "", "WB-species-notes": "", "ICCIF-species-checked": "predicted", "ICCIF-species-dilution-info": "", "ICCIF-species-notes": "" } } }

Properties and storage information

Form
Liquid
Purification technique
Affinity purification Immunogen
Storage buffer
pH: 7.4 Preservative: 0.02% Sodium azide Constituents: PBS, 1% BSA
Shipped at conditions
Blue Ice
Appropriate short-term storage duration
1-2 weeks
Appropriate short-term storage conditions
+4°C
Appropriate long-term storage conditions
-20°C
Aliquoting information
Upon delivery aliquot
Storage information
Avoid freeze / thaw cycle

Supplementary information

This supplementary information is collated from multiple sources and compiled automatically.

Glucose 6 Phosphate Dehydrogenase also known as G6PD or G6P dehydrogenase plays an important role in the pentose phosphate pathway catalyzing the conversion of glucose 6-phosphate to 6-phosphoglucono-δ-lactone while producing NADPH from NADP+. G6PD with a molecular mass of approximately 59 kDa is expressed in various tissues with high levels found in red blood cells liver and adrenal glands. This enzyme is vital for protecting cells from oxidative damage by supplying reductive capacity.
Biological function summary

Glucose 6-phosphate dehydrogenase is essential for maintaining cellular redox balance especially in cells lacking mitochondria like red blood cells. It functions as part of a monomer which can dimerize depending on the cellular needs and conditions. The activity of G6PD directly affects the production of NADPH which is necessary for the biosynthesis of nucleic acids and lipids and for maintaining reduced glutathione levels therefore sustaining the antioxidant capacity of the cell.

Pathways

Glucose 6-phosphate dehydrogenase is a pivotal enzyme in the oxidative phase of the pentose phosphate pathway which provides ribose 5-phosphate for nucleotide synthesis and NADPH for reductive biosynthetic reactions. G6PD connects with other enzymes in the pathway such as 6-phosphogluconate dehydrogenase contributing to the regulation of cellular metabolic needs. Its function is tightly linked to glucose metabolism and indirectly influences glycolytic processes.

Alterations in glucose 6-phosphate dehydrogenase activity lead to conditions such as G6PD deficiency which can cause hemolytic anemia when individuals are exposed to certain drugs infections or foods. This enzyme's deficiency is one of the most common enzymatic disorders in humans and is triggered by genetic mutations affecting G6PD function. Moreover G6PD has implications in cancer biology as its activity influences the proliferation and survival of cancer cells alongside other proteins like TP53 and NF-κB which are involved in cellular stress responses.

Product protocols

For this product, it's our understanding that no specific protocols are required. You can visit:

Target data

Catalyzes the rate-limiting step of the oxidative pentose-phosphate pathway, which represents a route for the dissimilation of carbohydrates besides glycolysis. The main function of this enzyme is to provide reducing power (NADPH) and pentose phosphates for fatty acid and nucleic acid synthesis.
See full target information Glucose-6-phosphate 1-dehydrogenase

Publications (9)

Recent publications for all applications. Explore the full list and refine your search

International journal of molecular sciences 25: PubMed39273244

2024

Strategies to Maintain Redox Homeostasis in Yeast Cells with Impaired Fermentation-Dependent NADPH Generation.

Applications

Unspecified application

Species

Unspecified reactive species

Magdalena Kwolek-Mirek,Roman Maslanka,Sabina Bednarska,Michał Przywara,Kornelia Kwolek,Renata Zadrag-Tecza

Frontiers in immunology 14:1170475 PubMed37483604

2023

regulates fatty acid metabolism and proliferation at the Pre-B cell stage during B cell development.

Applications

Unspecified application

Species

Unspecified reactive species

Jaya Prakash Chalise,Ali Ehsani,Mengistu Lemecha,Yu-Wen Hung,Guoxiang Zhang,Garrett P Larson,Keiichi Itakura

Frontiers in oncology 13:1127517 PubMed36910628

2023

Potential use of TG68 - A novel thyromimetic - for the treatment of non-alcoholic fatty liver (NAFLD)-associated hepatocarcinogenesis.

Applications

Unspecified application

Species

Unspecified reactive species

Andrea Caddeo,Marina Serra,Francesca Sedda,Andrea Bacci,Clementina Manera,Simona Rapposelli,Amedeo Columbano,Andrea Perra,Marta Anna Kowalik

International journal of molecular sciences 24: PubMed36614102

2022

Unbalance between Pyridine Nucleotide Cofactors in The SOD1 Deficient Yeast Causes Hypersensitivity to Alcohols and Aldehydes.

Applications

Unspecified application

Species

Unspecified reactive species

Magdalena Kwolek-Mirek,Sabina Bednarska,Aleksandra Dubicka-Lisowska,Roman Maslanka,Renata Zadrag-Tecza,Pawel Kaszycki

Cellular and molecular gastroenterology and hepatology 14:609-624 PubMed35714859

2022

Deletion of Lactate Dehydrogenase-A Impairs Oncogene-Induced Mouse Hepatocellular Carcinoma Development.

Applications

Unspecified application

Species

Unspecified reactive species

Marina Serra,Mario Di Matteo,Jens Serneels,Rajesh Pal,Sarah Trusso Cafarello,Martina Lanza,Carlos Sanchez-Martin,Matthias Evert,Alessandra Castegna,Diego Francesco Calvisi,Massimiliano Mazzone,Amedeo Columbano

Cellular and molecular gastroenterology and hepatology 13:113-127 PubMed34530178

2021

Nrf2 Mutation/Activation Is Dispensable for the Development of Chemically Induced Mouse HCC.

Applications

Unspecified application

Species

Unspecified reactive species

Sandra Mattu,Patrizia Zavattari,Marta Anna Kowalik,Marina Serra,Pia Sulas,Rajesh Pal,Elisabetta Puliga,Salvatore Sutti,Beatrice Foglia,Maurizio Parola,Emanuele Albano,Silvia Giordano,Andrea Perra,Amedeo Columbano

Nature communications 9:4045 PubMed30279493

2018

Correcting glucose-6-phosphate dehydrogenase deficiency with a small-molecule activator.

Applications

Unspecified application

Species

Unspecified reactive species

Sunhee Hwang,Karen Mruk,Simin Rahighi,Andrew G Raub,Che-Hong Chen,Lisa E Dorn,Naoki Horikoshi,Soichi Wakatsuki,James K Chen,Daria Mochly-Rosen

Proteomics 14:1833-43 PubMed24866292

2014

Arsenite-induced changes in hepatic protein abundance in cynomolgus monkeys (Macaca fascicularis).

Applications

Unspecified application

Species

Unspecified reactive species

Soohee Kim,Seung Heon Lee,Seungwoo Lee,Jung-Duck Park,Doug-Young Ryu

Experimental hematology 41:697-710.e2 PubMed23603363

2013

A model of glucose-6-phosphate dehydrogenase deficiency in the zebrafish.

Applications

Unspecified application

Species

Unspecified reactive species

Xiaobai Patrinostro,Michelle L Carter,Ashley C Kramer,Troy C Lund
View all publications

Product promise

We are committed to supporting your work with high-quality reagents, and we're here for you every step of the way. In the unlikely event that one of our products does not perform as expected, you're protected by our Product Promise.
For full details, please see our Terms & Conditions

Please note: All products are 'FOR RESEARCH USE ONLY. NOT FOR USE IN DIAGNOSTIC OR THERAPEUTIC PROCEDURES'.

For licensing inquiries, please contact partnerships@abcam.com