JavaScript is disabled in your browser. Please enable JavaScript to view this website.
AB91034

Anti-Glucose 6 Phosphate Dehydrogenase antibody [AT2F6]

5

(2 Reviews)

|

(3 Publications)

Mouse Monoclonal Glucose 6 Phosphate Dehydrogenase antibody. Suitable for WB, ICC/IF and reacts with Human samples. Cited in 3 publications. Immunogen corresponding to Recombinant Fragment Protein within Human Glucose-6-phosphate 1-dehydrogenase aa 1 to C-terminus.

View Alternative Names

Glucose-6-phosphate 1-dehydrogenase, G6PD

2 Images
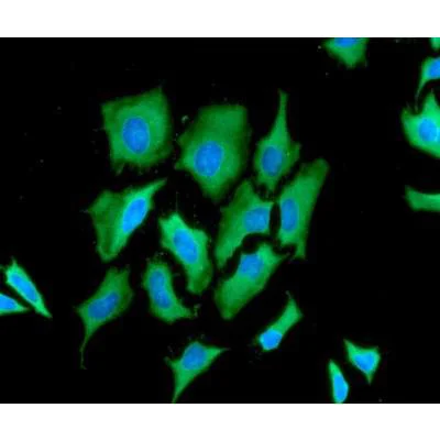
Immunocytochemistry/ Immunofluorescence - Anti-Glucose 6 Phosphate Dehydrogenase antibody [AT2F6] (AB91034)
  • ICC/IF

Supplier Data

Immunocytochemistry/ Immunofluorescence - Anti-Glucose 6 Phosphate Dehydrogenase antibody [AT2F6] (AB91034)

Immunocytochemistry/ Immunofluorescence analysis of HeLa cells labeling Glucose 6 Phosphate Dehydrogenase with ab91034 at 1/100 dilution. The secondary antibody used was Alexa Fluor 488. DAPI was used to stain the cell nucleus (blue).

Western blot - Anti-Glucose 6 Phosphate Dehydrogenase antibody [AT2F6] (AB91034)
  • WB

Supplier Data

Western blot - Anti-Glucose 6 Phosphate Dehydrogenase antibody [AT2F6] (AB91034)

All lanes:

Western blot - Anti-Glucose 6 Phosphate Dehydrogenase antibody [AT2F6] (ab91034) at 1/1000 dilution

Lane 1:

MCF7 cell lysate

Lane 2:

HeLa cell lysate

Secondary

All lanes:

Goat Anti-Mouse HRP conjugated

Predicted band size: 59 kDa

true

Key facts

Host species

Mouse

Clonality

Monoclonal

Clone number

AT2F6

Isotype

IgG2b

Light chain type

kappa

Carrier free

No

Reacts with

Human

Applications

WB, ICC/IF

applications

Immunogen

Recombinant Fragment Protein within Human Glucose-6-phosphate 1-dehydrogenase aa 1 to C-terminus. The exact immunogen used to generate this antibody is proprietary information.

P11413

Reactivity data

{ "title": "Reactivity Data", "filters": { "stats": ["", "Species", "Dilution Info", "Notes"], "tabs": { "all-applications": {"fullname" : "All Applications", "shortname": "All Applications"}, "WB" : {"fullname" : "Western blot", "shortname":"WB"}, "ICCIF" : {"fullname" : "Immunocytochemistry/ Immunofluorescence", "shortname":"ICC/IF"} }, "product-promise": { "all": "all", "testedAndGuaranteed": "tested", "guaranteed": "expected", "predicted": "predicted", "notRecommended": "not-recommended" } }, "values": { "Human": { "WB-species-checked": "testedAndGuaranteed", "WB-species-dilution-info": "1/1000 - 1/2000", "WB-species-notes": "<p></p>", "ICCIF-species-checked": "testedAndGuaranteed", "ICCIF-species-dilution-info": "1/100", "ICCIF-species-notes": "<p></p>" } } }

Product details

This product was changed from ascites to tissue culture supernatant on 11th April 2019. Please note that the dilutions may need to be adjusted accordingly. If you have any questions, please do not hesitate to contact our scientific support team.

Properties and storage information

Form
Liquid
Purification technique
Affinity purification Protein A
Storage buffer
pH: 7.4 Preservative: 0.02% Sodium azide Constituents: PBS, 10% Glycerol (glycerin, glycerine)
Shipped at conditions
Blue Ice
Appropriate short-term storage duration
1-2 weeks
Appropriate short-term storage conditions
+4°C
Appropriate long-term storage conditions
-20°C
Aliquoting information
Upon delivery aliquot
Storage information
Avoid freeze / thaw cycle

Supplementary information

This supplementary information is collated from multiple sources and compiled automatically.

Glucose 6 Phosphate Dehydrogenase also known as G6PD or G6P dehydrogenase plays an important role in the pentose phosphate pathway catalyzing the conversion of glucose 6-phosphate to 6-phosphoglucono-δ-lactone while producing NADPH from NADP+. G6PD with a molecular mass of approximately 59 kDa is expressed in various tissues with high levels found in red blood cells liver and adrenal glands. This enzyme is vital for protecting cells from oxidative damage by supplying reductive capacity.
Biological function summary

Glucose 6-phosphate dehydrogenase is essential for maintaining cellular redox balance especially in cells lacking mitochondria like red blood cells. It functions as part of a monomer which can dimerize depending on the cellular needs and conditions. The activity of G6PD directly affects the production of NADPH which is necessary for the biosynthesis of nucleic acids and lipids and for maintaining reduced glutathione levels therefore sustaining the antioxidant capacity of the cell.

Pathways

Glucose 6-phosphate dehydrogenase is a pivotal enzyme in the oxidative phase of the pentose phosphate pathway which provides ribose 5-phosphate for nucleotide synthesis and NADPH for reductive biosynthetic reactions. G6PD connects with other enzymes in the pathway such as 6-phosphogluconate dehydrogenase contributing to the regulation of cellular metabolic needs. Its function is tightly linked to glucose metabolism and indirectly influences glycolytic processes.

Alterations in glucose 6-phosphate dehydrogenase activity lead to conditions such as G6PD deficiency which can cause hemolytic anemia when individuals are exposed to certain drugs infections or foods. This enzyme's deficiency is one of the most common enzymatic disorders in humans and is triggered by genetic mutations affecting G6PD function. Moreover G6PD has implications in cancer biology as its activity influences the proliferation and survival of cancer cells alongside other proteins like TP53 and NF-κB which are involved in cellular stress responses.

Product protocols

For this product, it's our understanding that no specific protocols are required. You can visit:

Target data

Catalyzes the rate-limiting step of the oxidative pentose-phosphate pathway, which represents a route for the dissimilation of carbohydrates besides glycolysis. The main function of this enzyme is to provide reducing power (NADPH) and pentose phosphates for fatty acid and nucleic acid synthesis.
See full target information Glucose-6-phosphate 1-dehydrogenase

Publications (3)

Recent publications for all applications. Explore the full list and refine your search

Scientific reports 13:9333 PubMed37291185

2023

Primary mouse myoblast metabotropic purinoceptor profiles and calcium signalling differ with their muscle origin and are altered in mdx dystrophinopathy.

Applications

Unspecified application

Species

Unspecified reactive species

Justyna Róg,Aleksandra Oksiejuk,Dariusz C Górecki,Krzysztof Zabłocki

Cell metabolism 35:316-331.e6 PubMed36584675

2022

Metabolic adaptation supports enhanced macrophage efferocytosis in limited-oxygen environments.

Applications

Unspecified application

Species

Unspecified reactive species

Ya-Ting Wang,Alissa J Trzeciak,Waleska Saitz Rojas,Pedro Saavedra,Yan-Ting Chen,Rachel Chirayil,Jon Iker Etchegaray,Christopher D Lucas,Daniel J Puleston,Kayvan R Keshari,Justin S A Perry

Nature communications 11:1533 PubMed32210228

2020

Subpopulation targeting of pyruvate dehydrogenase and GLUT1 decouples metabolic heterogeneity during collective cancer cell invasion.

Applications

Unspecified application

Species

Unspecified reactive species

R Commander,C Wei,A Sharma,J K Mouw,L J Burton,E Summerbell,D Mahboubi,R J Peterson,J Konen,W Zhou,Y Du,H Fu,M Shanmugam,A I Marcus
View all publications

Product promise

We are committed to supporting your work with high-quality reagents, and we're here for you every step of the way. In the unlikely event that one of our products does not perform as expected, you're protected by our Product Promise.
For full details, please see our Terms & Conditions

Please note: All products are 'FOR RESEARCH USE ONLY. NOT FOR USE IN DIAGNOSTIC OR THERAPEUTIC PROCEDURES'.

For licensing inquiries, please contact partnerships@abcam.com