JavaScript is disabled in your browser. Please enable JavaScript to view this website.
AB133525

Anti-Glucose 6 Phosphate Dehydrogenase antibody [EPR6292]

5

(1 Review)

|

(23 Publications)

Rabbit Recombinant Monoclonal Glucose 6 Phosphate Dehydrogenase antibody. Suitable for IHC-P, WB, Flow Cyt (Intra) and reacts with Human samples. Cited in 23 publications.

View Alternative Names

Glucose-6-phosphate 1-dehydrogenase, G6PD

4 Images
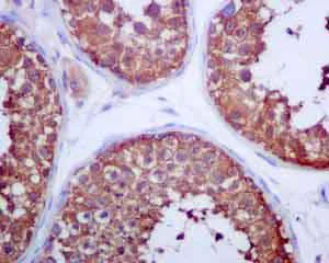
Immunohistochemistry (Formalin/PFA-fixed paraffin-embedded sections) - Anti-Glucose 6 Phosphate Dehydrogenase antibody [EPR6292] (AB133525)
  • IHC-P

Unknown

Immunohistochemistry (Formalin/PFA-fixed paraffin-embedded sections) - Anti-Glucose 6 Phosphate Dehydrogenase antibody [EPR6292] (AB133525)

Immunohistochemistry analysis of Paraffin Embedded Human testis tissue labelling Glucose 6 Phosphate Dehydrogenase with ab133525 at 1/50.

Perform heat mediated antigen retrieval with citrate buffer pH 6 before commencing with IHC staining protocol.

Flow Cytometry (Intracellular) - Anti-Glucose 6 Phosphate Dehydrogenase antibody [EPR6292] (AB133525)
  • Flow Cyt (Intra)

Lab

Flow Cytometry (Intracellular) - Anti-Glucose 6 Phosphate Dehydrogenase antibody [EPR6292] (AB133525)

Flow Cytometry analysis of A549 (Human lung carcinoma epithelial cell) cells labeling Glucose 6 Phosphate Dehydrogenase with purified ab133525 at 1/1000 dilution (1 μg/mL) (Red). Cells were fixed with 4% Paraformaldehyde and permeabilised with 90% Methanol. A Goat anti rabbit IgG (Alexa Fluor® 488, ab150077) secondary antibody was used at 1/2000. Isotype control - Rabbit monoclonal IgG (Black). Unlabeled control - Cell without incubation with primary antibody and secondary antibody (Blue).

Western blot - Anti-Glucose 6 Phosphate Dehydrogenase antibody [EPR6292] (AB133525)
  • WB

Unknown

Western blot - Anti-Glucose 6 Phosphate Dehydrogenase antibody [EPR6292] (AB133525)

All lanes:

Western blot - Anti-Glucose 6 Phosphate Dehydrogenase antibody [EPR6292] (ab133525) at 1/1000 dilution

Lane 1:

Molt 4 cell lysate at 10 µg

Lane 2:

A549 cell lysate at 10 µg

Lane 3:

MCF7 cell lysate at 10 µg

Lane 4:

HeLa cell lysate at 10 µg

Lane 5:

HepG2 cell lysate at 10 µg

Secondary

All lanes:

Goat anti-rabbit at 1/2000 dilution

Predicted band size: 59 kDa

Observed band size: 58 kDa

false

OI-RD Scanning - Anti-Glucose 6 Phosphate Dehydrogenase antibody [EPR6292] (AB133525)
  • OI-RD Scanning

Unknown

OI-RD Scanning - Anti-Glucose 6 Phosphate Dehydrogenase antibody [EPR6292] (AB133525)

We have systematically measured KD (the equilibrium dissociation constant between the antibody and its antigen), of more than 840 recombinant antibodies to assess not only their individual KD values but also to see the average affinity of antibody. Based on the comparison with published literature values for mouse monoclonal antibodies, Recombinant antibodies appear to be on average 1-2 order of magnitude higher affinity.

  • 665 Alexa Fluor® 647

    Alexa Fluor® 647 Anti-Glucose 6 Phosphate Dehydrogenase antibody [EPR6292]

  • Carrier free

    Anti-Glucose 6 Phosphate Dehydrogenase antibody [EPR6292] - BSA and Azide free

  • 519 Alexa Fluor® 488

    Anti-Glucose 6 Phosphate Dehydrogenase antibody [EPR6292] (Alexa Fluor® 488)

Key facts

Host species

Rabbit

Clonality

Monoclonal

Clone number

EPR6292

Isotype

IgG

Carrier free

No

Reacts with

Human

Applications

Flow Cyt (Intra), IHC-P, WB

applications

Immunogen

The exact immunogen used to generate this antibody is proprietary information.

Reactivity data

{ "title": "Reactivity Data", "filters": { "stats": ["", "Species", "Dilution Info", "Notes"], "tabs": { "all-applications": {"fullname" : "All Applications", "shortname": "All Applications"}, "IHCP" : {"fullname" : "Immunohistochemistry (Formalin/PFA-fixed paraffin-embedded sections)", "shortname":"IHC-P"}, "IP" : {"fullname" : "Immunoprecipitation", "shortname":"IP"}, "WB" : {"fullname" : "Western blot", "shortname":"WB"}, "FlowCytIntra" : {"fullname" : "Flow Cytometry (Intracellular)", "shortname":"Flow Cyt (Intra)"} }, "product-promise": { "all": "all", "testedAndGuaranteed": "tested", "guaranteed": "expected", "predicted": "predicted", "notRecommended": "not-recommended" } }, "values": { "Human": { "IHCP-species-checked": "testedAndGuaranteed", "IHCP-species-dilution-info": "1/50 - 1/100", "IHCP-species-notes": "<p></p> Perform heat-mediated antigen retrieval with citrate buffer pH 6 before commencing with IHC staining protocol.", "IP-species-checked": "notRecommended", "IP-species-dilution-info": "", "IP-species-notes": "<p></p>", "WB-species-checked": "testedAndGuaranteed", "WB-species-dilution-info": "1/1000 - 1/10000", "WB-species-notes": "<p></p>", "FlowCytIntra-species-checked": "testedAndGuaranteed", "FlowCytIntra-species-dilution-info": "1/1000", "FlowCytIntra-species-notes": "<p><a href='/en-us/products/primary-antibodies/rabbit-igg-monoclonal-epr25a-isotype-control-ab172730'>ab172730</a> - Rabbit monoclonal IgG, is suitable for use as an isotype control with this antibody.</p>" } } }

Product details

Cellular localisation: centrosome, cytosol, internal side of plasma membrane, intracellular membrane bounded organelle. There are 3 isoforms produced by alternative splicing.

Species reactivity
Mouse, Rat: We have preliminary internal testing data to indicate this antibody may not react with these species.
Please contact us for more information.

Patented technology
Our RabMAb® technology is a patented hybridoma-based technology for making rabbit monoclonal antibodies. For details on our patents, please refer to RabMAb® patents.

What are the advantages of a recombinant monoclonal antibody?
This product is a recombinant monoclonal antibody, which offers several advantages including:

  • - High batch-to-batch consistency and reproducibility
  • - Improved sensitivity and specificity
  • - Long-term security of supply
  • - Animal-free batch production

For more information, read more on recombinant antibodies.

Properties and storage information

Form
Liquid
Purification technique
Affinity purification Protein A
Storage buffer
pH: 7.2 - 7.4 Preservative: 0.05% Sodium azide Constituents: 50% Tissue culture supernatant, 40% Glycerol (glycerin, glycerine), 9.85% Tris glycine
Shipped at conditions
Blue Ice
Appropriate short-term storage duration
1-2 weeks
Appropriate short-term storage conditions
+4°C
Appropriate long-term storage conditions
-20°C
Aliquoting information
Upon delivery aliquot
Storage information
Stable for 12 months at -20°C

Supplementary information

This supplementary information is collated from multiple sources and compiled automatically.

Glucose 6 Phosphate Dehydrogenase also known as G6PD or G6P dehydrogenase plays an important role in the pentose phosphate pathway catalyzing the conversion of glucose 6-phosphate to 6-phosphoglucono-δ-lactone while producing NADPH from NADP+. G6PD with a molecular mass of approximately 59 kDa is expressed in various tissues with high levels found in red blood cells liver and adrenal glands. This enzyme is vital for protecting cells from oxidative damage by supplying reductive capacity.
Biological function summary

Glucose 6-phosphate dehydrogenase is essential for maintaining cellular redox balance especially in cells lacking mitochondria like red blood cells. It functions as part of a monomer which can dimerize depending on the cellular needs and conditions. The activity of G6PD directly affects the production of NADPH which is necessary for the biosynthesis of nucleic acids and lipids and for maintaining reduced glutathione levels therefore sustaining the antioxidant capacity of the cell.

Pathways

Glucose 6-phosphate dehydrogenase is a pivotal enzyme in the oxidative phase of the pentose phosphate pathway which provides ribose 5-phosphate for nucleotide synthesis and NADPH for reductive biosynthetic reactions. G6PD connects with other enzymes in the pathway such as 6-phosphogluconate dehydrogenase contributing to the regulation of cellular metabolic needs. Its function is tightly linked to glucose metabolism and indirectly influences glycolytic processes.

Alterations in glucose 6-phosphate dehydrogenase activity lead to conditions such as G6PD deficiency which can cause hemolytic anemia when individuals are exposed to certain drugs infections or foods. This enzyme's deficiency is one of the most common enzymatic disorders in humans and is triggered by genetic mutations affecting G6PD function. Moreover G6PD has implications in cancer biology as its activity influences the proliferation and survival of cancer cells alongside other proteins like TP53 and NF-κB which are involved in cellular stress responses.

Product protocols

For this product, it's our understanding that no specific protocols are required. You can visit:

Target data

Catalyzes the rate-limiting step of the oxidative pentose-phosphate pathway, which represents a route for the dissimilation of carbohydrates besides glycolysis. The main function of this enzyme is to provide reducing power (NADPH) and pentose phosphates for fatty acid and nucleic acid synthesis.
See full target information Glucose-6-phosphate 1-dehydrogenase

Publications (23)

Recent publications for all applications. Explore the full list and refine your search

Journal of translational medicine 23:679 PubMed40533802

2025

The impact of de novo lipogenesis on predicting survival and clinical therapy: an exploration based on a multigene prognostic model in hepatocellular carcinoma.

Applications

Unspecified application

Species

Unspecified reactive species

Xin Zhou,Guangzu Cui,Erya Hu,Xinwen Wang,Diya Tang,Xiangyang Zhang,Jiayao Ma,Yin Li,Haicong Liu,Qingping Peng,Ying Han,Yihong Chen,Shan Zeng,Yan Zhang,Hong Shen

Nature communications 16:3932 PubMed40287409

2025

Glucose-6-phosphate-dehydrogenase on old peroxisomes maintains self-renewal of epithelial stem cells after asymmetric cell division.

Applications

Unspecified application

Species

Unspecified reactive species

Hien Bui,Simon Andersson,Agustin Sola-Carvajal,Tommaso De Marchi,Eliisa Vähäkangas,Minna Holopainen,Andrew H House,Bohdana M Rovenko,Johanna I Englund,Maria Kasper,Emilia Kuuluvainen,Reijo Käkelä,Ville Hietakangas,Emma Niméus,Pekka Katajisto

Frontiers in pharmacology 16:1563865 PubMed40166471

2025

Metformin upregulates circadian gene PER2 to inhibit growth and enhance the sensitivity of glioblastoma cell lines to radiotherapy via SIRT2/G6PD pathway.

Applications

Unspecified application

Species

Unspecified reactive species

Hailiang Li,Zheng Ma,Wanfu Yang,Yifan Zhang,Jinping Sun,Haifeng Jiang,Faxuan Wang,Li Hou,Hechun Xia

Cell death & disease 15:670 PubMed39266534

2024

The NRF2-CARM1 axis links glucose sensing to transcriptional and epigenetic regulation of the pentose phosphate pathway in gastric cancer.

Applications

Unspecified application

Species

Unspecified reactive species

Miaomiao Ping,Guangyao Li,Qijiao Li,Yang Fang,Taotao Fan,Jing Wu,Ruiyi Zhang,Lesha Zhang,Bing Shen,Jizheng Guo

iScience 27:110045 PubMed38947529

2024

Renal inflammation combined with renal function reserve reduction accelerate kidney aging via pentose phosphate pathway.

Applications

Unspecified application

Species

Unspecified reactive species

Bing Han,YiXuan Zhang,Chao Liu,Pengcheng Ji,Zenghui Xing,Xiaodong Geng,Kun Chi,Ming Gong,Yingying Li,Ying Zhang,Zhangning Fu,Quan Hong,Guangyan Cai,Xiangmei Chen,Xuefeng Sun

The EMBO journal 43:2337-2367 PubMed38649537

2024

SUCLG1 restricts POLRMT succinylation to enhance mitochondrial biogenesis and leukemia progression.

Applications

Unspecified application

Species

Unspecified reactive species

Weiwei Yan,Chengmei Xie,Sijun Sun,Quan Zheng,Jingyi Wang,Zihao Wang,Cheuk-Him Man,Haiyan Wang,Yunfan Yang,Tianshi Wang,Leilei Shi,Shengjie Zhang,Chen Huang,Shuangnian Xu,Yi-Ping Wang

International journal of molecular sciences 23: PubMed36142502

2022

Metabolic Adaptation as Potential Target in Papillary Renal Cell Carcinomas Based on Their In Situ Metabolic Characteristics.

Applications

Unspecified application

Species

Unspecified reactive species

Ildikó Krencz,Enikő Vetlényi,Titanilla Dankó,Gábor Petővári,Dorottya Moldvai,Dániel Sztankovics,Regina Raffay,Katalin Mészáros,Endre Sebestyén,Gyula Végső,Judit Pápay,Anna Sebestyén

Acta pharmaceutica Sinica. B 12:1871-1884 PubMed35847493

2022

Nuclear TIGAR mediates an epigenetic and metabolic autoregulatory loop NRF2 in cancer therapeutic resistance.

Applications

Unspecified application

Species

Unspecified reactive species

Hong Wang,Qianqian Wang,Guodi Cai,Zhijian Duan,Zoann Nugent,Jie Huang,Jianwei Zheng,Alexander D Borowsky,Jian Jian Li,Peiqing Liu,Hsing-Jien Kung,Leigh Murphy,Hong-Wu Chen,Junjian Wang

Antioxidants (Basel, Switzerland) 11: PubMed35453346

2022

BRD4 Targets the KEAP1-Nrf2-G6PD Axis and Suppresses Redox Metabolism in Small Cell Lung Cancer.

Applications

Unspecified application

Species

Unspecified reactive species

Yang Lv,Xiaotong Lv,Jiahui Zhang,Guozhen Cao,Changzhi Xu,Buchang Zhang,Wenchu Lin

Pathology oncology research : POR 28:1610231 PubMed35392503

2022

Analysis of mTORC1/C2 and Metabolism-Related Proteins in Pediatric Osteosarcoma.

Applications

Unspecified application

Species

Unspecified reactive species

Anna Mohás,Ildikó Krencz,Zsófia Váradi,Gabriella Arató,Luca Felkai,Dorottya Judit Kiss,Dorottya Moldvai,Anna Sebestyén,Monika Csóka
View all publications

Product promise

We are committed to supporting your work with high-quality reagents, and we're here for you every step of the way. In the unlikely event that one of our products does not perform as expected, you're protected by our Product Promise.
For full details, please see our Terms & Conditions

Please note: All products are 'FOR RESEARCH USE ONLY. NOT FOR USE IN DIAGNOSTIC OR THERAPEUTIC PROCEDURES'.

For licensing inquiries, please contact partnerships@abcam.com