JavaScript is disabled in your browser. Please enable JavaScript to view this website.
AB218120

Anti-Glucose 6 Phosphate Dehydrogenase antibody [EPR6292] - BSA and Azide free

Be the first to review this product! Submit a review

|

(0 Publication)

Rabbit Recombinant Monoclonal Glucose 6 Phosphate Dehydrogenase antibody. Carrier free. Suitable for IHC-P, WB, Flow Cyt (Intra) and reacts with Human samples.

View Alternative Names

Glucose-6-phosphate 1-dehydrogenase, G6PD

4 Images
Immunohistochemistry (Formalin/PFA-fixed paraffin-embedded sections) - Anti-Glucose 6 Phosphate Dehydrogenase antibody [EPR6292] - BSA and Azide free (AB218120)
  • IHC-P

Unknown

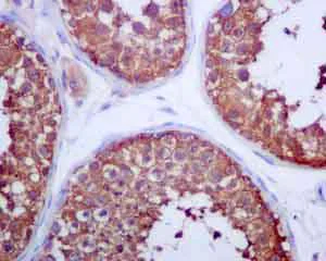
Immunohistochemistry (Formalin/PFA-fixed paraffin-embedded sections) - Anti-Glucose 6 Phosphate Dehydrogenase antibody [EPR6292] - BSA and Azide free (AB218120)

This data was developed using ab133525, the same antibody clone in a different buffer formulation.

Immunohistochemistry analysis of Paraffin Embedded Human testis tissue labelling Glucose 6 Phosphate Dehydrogenase with ab133525 at 1/50. Perform heat mediated antigen retrieval with citrate buffer pH 6 before commencing with IHC staining protocol.

Flow Cytometry (Intracellular) - Anti-Glucose 6 Phosphate Dehydrogenase antibody [EPR6292] - BSA and Azide free (AB218120)
  • Flow Cyt (Intra)

Lab

Flow Cytometry (Intracellular) - Anti-Glucose 6 Phosphate Dehydrogenase antibody [EPR6292] - BSA and Azide free (AB218120)

This data was developed using ab133525, the same antibody clone in a different buffer formulation.

Flow Cytometry analysis of A549 (Human lung carcinoma epithelial cell) cells labeling Glucose 6 Phosphate Dehydrogenase with purified ab133525 at 1/1000 dilution (1 μg/mL) (Red). Cells were fixed with 4% Paraformaldehyde and permeabilised with 90% Methanol. A Goat anti rabbit IgG (Alexa Fluor® 488, ab150077) secondary antibody was used at 1/2000. Isotype control - Rabbit monoclonal IgG (Black). Unlabeled control - Cell without incubation with primary antibody and secondary antibody (Blue).

Western blot - Anti-Glucose 6 Phosphate Dehydrogenase antibody [EPR6292] - BSA and Azide free (AB218120)
  • WB

Unknown

Western blot - Anti-Glucose 6 Phosphate Dehydrogenase antibody [EPR6292] - BSA and Azide free (AB218120)

This data was developed using ab133525, the same antibody clone in a different buffer formulation.

All lanes:

Western blot - Anti-Glucose 6 Phosphate Dehydrogenase antibody [EPR6292] (<a href='/en-us/products/primary-antibodies/glucose-6-phosphate-dehydrogenase-antibody-epr6292-ab133525'>ab133525</a>) at 1/1000 dilution

Lane 1:

Molt 4 cell lysate at 10 µg

Lane 2:

A549 cell lysate at 10 µg

Lane 3:

MCF7 cell lysate at 10 µg

Lane 4:

HeLa cell lysate at 10 µg

Lane 5:

HepG2 cell lysate at 10 µg

Secondary

All lanes:

Goat anti-rabbit at 1/2000 dilution

Predicted band size: 59 kDa

Observed band size: 58 kDa

false

OI-RD Scanning - Anti-Glucose 6 Phosphate Dehydrogenase antibody [EPR6292] - BSA and Azide free (AB218120)
  • OI-RD Scanning

Unknown

OI-RD Scanning - Anti-Glucose 6 Phosphate Dehydrogenase antibody [EPR6292] - BSA and Azide free (AB218120)

We have systematically measured KD (the equilibrium dissociation constant between the antibody and its antigen), of more than 840 recombinant antibodies to assess not only their individual KD values but also to see the average affinity of antibody. Based on the comparison with published literature values for mouse monoclonal antibodies, Recombinant antibodies appear to be on average 1-2 order of magnitude higher affinity.

  • Unconjugated

    Anti-Glucose 6 Phosphate Dehydrogenase antibody [EPR6292]

  • 519 Alexa Fluor® 488

    Anti-Glucose 6 Phosphate Dehydrogenase antibody [EPR6292] (Alexa Fluor® 488)

Key facts

Host species

Rabbit

Clonality

Monoclonal

Clone number

EPR6292

Isotype

IgG

Carrier free

Yes

Reacts with

Human

Applications

WB, Flow Cyt (Intra), IHC-P

applications

Immunogen

The exact immunogen used to generate this antibody is proprietary information.

Reactivity data

{ "title": "Reactivity Data", "filters": { "stats": ["", "Species", "Dilution Info", "Notes"], "tabs": { "all-applications": {"fullname" : "All Applications", "shortname": "All Applications"}, "IHCP" : {"fullname" : "Immunohistochemistry (Formalin/PFA-fixed paraffin-embedded sections)", "shortname":"IHC-P"}, "IP" : {"fullname" : "Immunoprecipitation", "shortname":"IP"}, "WB" : {"fullname" : "Western blot", "shortname":"WB"}, "FlowCytIntra" : {"fullname" : "Flow Cytometry (Intracellular)", "shortname":"Flow Cyt (Intra)"} }, "product-promise": { "all": "all", "testedAndGuaranteed": "tested", "guaranteed": "expected", "predicted": "predicted", "notRecommended": "not-recommended" } }, "values": { "Human": { "IHCP-species-checked": "testedAndGuaranteed", "IHCP-species-dilution-info": "", "IHCP-species-notes": "<p></p>", "IP-species-checked": "notRecommended", "IP-species-dilution-info": "", "IP-species-notes": "<p></p>", "WB-species-checked": "testedAndGuaranteed", "WB-species-dilution-info": "", "WB-species-notes": "<p></p>", "FlowCytIntra-species-checked": "testedAndGuaranteed", "FlowCytIntra-species-dilution-info": "", "FlowCytIntra-species-notes": "<p></p>" } } }

Product details

ab218120 is the carrier-free version of ab133525.

Cellular localisation: centrosome, cytosol, internal side of plasma membrane, intracellular membrane bounded organelle. There are 3 isoforms produced by alternative splicing.

Species reactivity
Mouse, Rat: We have preliminary internal testing data to indicate this antibody may not react with these species.
Please contact us for more information.

Patented technology
Our RabMAb® technology is a patented hybridoma-based technology for making rabbit monoclonal antibodies. For details on our patents, please refer to RabMAb® patents.

What are the advantages of a recombinant monoclonal antibody?
This product is a recombinant monoclonal antibody, which offers several advantages including:

  • - High batch-to-batch consistency and reproducibility
  • - Improved sensitivity and specificity
  • - Long-term security of supply
  • - Animal-free batch production

For more information, read more on recombinant antibodies.

Conjugation ready
Our carrier-free antibodies are typically supplied in a PBS-only formulation, purified and free of BSA, sodium azide and glycerol. This conjugation-ready format is designed for use with fluorochromes, metal isotopes, oligonucleotides, and enzymes, which makes them ideal for antibody labelling, functional and cell-based assays, flow-based assays (e.g. mass cytometry) and Multiplex Imaging applications.

Use our conjugation kits for antibody conjugates that are ready-to-use in as little as 20 minutes with 1 minute hands-on-time and 100% antibody recovery: available for fluorescent dyes, HRP, biotin and gold.

Compatibility
This product is compatible with the Maxpar® Antibody Labeling Kit from Fluidigm, without the need for antibody preparation. Maxpar® is a trademark of Fluidigm Canada Inc.

Properties and storage information

Form
Liquid
Purification technique
Affinity purification Protein A
Storage buffer
pH: 7.2 - 7.4 Constituents: PBS
Shipped at conditions
Blue Ice
Appropriate short-term storage conditions
+4°C
Appropriate long-term storage conditions
+4°C
Storage information
Do Not Freeze

Supplementary information

This supplementary information is collated from multiple sources and compiled automatically.

Glucose 6 Phosphate Dehydrogenase also known as G6PD or G6P dehydrogenase plays an important role in the pentose phosphate pathway catalyzing the conversion of glucose 6-phosphate to 6-phosphoglucono-δ-lactone while producing NADPH from NADP+. G6PD with a molecular mass of approximately 59 kDa is expressed in various tissues with high levels found in red blood cells liver and adrenal glands. This enzyme is vital for protecting cells from oxidative damage by supplying reductive capacity.
Biological function summary

Glucose 6-phosphate dehydrogenase is essential for maintaining cellular redox balance especially in cells lacking mitochondria like red blood cells. It functions as part of a monomer which can dimerize depending on the cellular needs and conditions. The activity of G6PD directly affects the production of NADPH which is necessary for the biosynthesis of nucleic acids and lipids and for maintaining reduced glutathione levels therefore sustaining the antioxidant capacity of the cell.

Pathways

Glucose 6-phosphate dehydrogenase is a pivotal enzyme in the oxidative phase of the pentose phosphate pathway which provides ribose 5-phosphate for nucleotide synthesis and NADPH for reductive biosynthetic reactions. G6PD connects with other enzymes in the pathway such as 6-phosphogluconate dehydrogenase contributing to the regulation of cellular metabolic needs. Its function is tightly linked to glucose metabolism and indirectly influences glycolytic processes.

Alterations in glucose 6-phosphate dehydrogenase activity lead to conditions such as G6PD deficiency which can cause hemolytic anemia when individuals are exposed to certain drugs infections or foods. This enzyme's deficiency is one of the most common enzymatic disorders in humans and is triggered by genetic mutations affecting G6PD function. Moreover G6PD has implications in cancer biology as its activity influences the proliferation and survival of cancer cells alongside other proteins like TP53 and NF-κB which are involved in cellular stress responses.

Product protocols

For this product, it's our understanding that no specific protocols are required. You can visit:

Target data

Catalyzes the rate-limiting step of the oxidative pentose-phosphate pathway, which represents a route for the dissimilation of carbohydrates besides glycolysis. The main function of this enzyme is to provide reducing power (NADPH) and pentose phosphates for fatty acid and nucleic acid synthesis.
See full target information Glucose-6-phosphate 1-dehydrogenase

Product promise

We are committed to supporting your work with high-quality reagents, and we're here for you every step of the way. In the unlikely event that one of our products does not perform as expected, you're protected by our Product Promise.
For full details, please see our Terms & Conditions

Please note: All products are 'FOR RESEARCH USE ONLY. NOT FOR USE IN DIAGNOSTIC OR THERAPEUTIC PROCEDURES'.

For licensing inquiries, please contact partnerships@abcam.com