JavaScript is disabled in your browser. Please enable JavaScript to view this website.
AB314545

Anti-Glucose Oxidase antibody [EPR27335-25]

  • BOND RX™ Validated
  • 20ul selling size
  • RabMAb
  • Recombinant
  • What is this?

Be the first to review this product! Submit a review

|

(1 Publication)

Rabbit Recombinant Monoclonal Glucose Oxidase antibody. Suitable for WB, IHC-P, ICC/IF, Flow Cyt (Intra), IP, I-ELISA and reacts with Transfected cell lysate - Aspergillus niger, Transfected cell line, Recombinant fragment - Aspergillus niger samples. Cited in 1 publication.

View Alternative Names

Glucose oxidase, GOD, GOx, Beta-D-glucose:oxygen 1-oxido-reductase, gox

7 Images
Flow Cytometry (Intracellular) - Anti-Glucose Oxidase antibody [EPR27335-25] (AB314545)
  • Flow Cyt (Intra)

Supplier Data

Flow Cytometry (Intracellular) - Anti-Glucose Oxidase antibody [EPR27335-25] (AB314545)

Flow cytometric analysis of 4% paraformaldehyde fixed 90% methanol permeabilized Isotype (Left) / 293T cells transfected with a GOX expression vector containing a myc tag (Middle) / 293T cells transfected with a empty expression vector containing a myc tag (Right) cells labelling Glucose Oxidase with ab314545 at 1/5000 dilution (0.01 ug)/Middle and Right compared with a Rabbit monoclonal IgG (ab172730) / Left isotype control and an unlabelled control (cells without incubation with primary antibody and secondary antibody). A Goat Anti-Rabbit IgG (Alexa Fluor® 488, ab150081) at 1/5000 dilution was used as the secondary antibody.

Immunocytochemistry/ Immunofluorescence - Anti-Glucose Oxidase antibody [EPR27335-25] (AB314545)
  • ICC/IF

Supplier Data

Immunocytochemistry/ Immunofluorescence - Anti-Glucose Oxidase antibody [EPR27335-25] (AB314545)

Immunofluorescent analysis of 4% Paraformaldehyde-fixed, 0.1% TritonX-100 permeabilized 293T (human embryonic kidneyepithelial cell) transfected with a GOX expression vector containing a myc tag cells labelling Glucose Oxidase with ab314545 at 1/1000 (0.507 ug/ml) dilution, followed by ab150081 Goat Anti-Rabbit IgG H&L (Alexa Fluor® 488) preadsorbed antibody at 1/1008 (2ug/ml) dilution (Green). Confocal image showing cytoplasmic staining in 293T cells transfected with a GOX expression vector containing a myc tag. Image was taken with a confocal microscope (Leica-Microsystems, TCS SP8). Myc-Tag Mouse mAb (Alexa Fluor® 647) was used to counterstain at 1/100 (0.38ug/ml) dilution (Red). The Nuclear counterstain was DAPI (Blue). Secondary antibody only control : Secondary antibody is ab150081 Goat Anti-Rabbit IgG H&L (Alexa Fluor® 488) preadsorbed at 1/1008 (2ug/ml) dilution.

Immunohistochemistry (Formalin/PFA-fixed paraffin-embedded sections) - Anti-Glucose Oxidase antibody [EPR27335-25] (AB314545)
  • IHC-P

Supplier Data

Immunohistochemistry (Formalin/PFA-fixed paraffin-embedded sections) - Anti-Glucose Oxidase antibody [EPR27335-25] (AB314545)

Immunohistochemical analysis of paraffin-embedded Panel A. HEK-293T cells transfected with a GOX expression vector containing a myc-His tag. Panel B. HEK-293T cells transfected with an empty vector. tissue labeling Glucose Oxidase with ab314545 at 1/2000 (0.254 ug/ml) followed by a ready to use LeicaDS9800 (Bond™ Polymer Refine Detection). Positive staining on HEK-293T cells transfected with a GOX expression vector containing a myc-His tag (Panel A). No staining on HEK-293T cells transfected with an empty vector (Panel B). The section was incubated with ab314545 for 30 mins at room temperature. The immunostaining was performed on a Leica Biosystems BOND® RX instrument. Counterstained with Hematoxylin. Secondary antibody only control : Secondary antibody is a ready to use LeicaDS9800 (Bond™ Polymer Refine Detection). Heat mediated antigen retrieval was performed with Tris-EDTA buffer (pH 9.0, Epitope Retrieval Solution2) for 20 mins.

Immunohistochemistry (Formalin/PFA-fixed paraffin-embedded sections) - Anti-Glucose Oxidase antibody [EPR27335-25] (AB314545)
  • IHC-P

Supplier Data

Immunohistochemistry (Formalin/PFA-fixed paraffin-embedded sections) - Anti-Glucose Oxidase antibody [EPR27335-25] (AB314545)

Immunohistochemical analysis of paraffin-embedded Human cerebrum tissue labeling Glucose Oxidase with ab314545 at 1/2000 (0.254 ug/ml) followed by a ready to use LeicaDS9800 (Bond™ Polymer Refine Detection). Negative control : No staining on human cerebrum. The section was incubated with ab314545 for 30 mins at room temperature. The immunostaining was performed on a Leica Biosystems BOND® RX instrument. Counterstained with Hematoxylin. Secondary antibody only control : Secondary antibody is a ready to use LeicaDS9800 (Bond™ Polymer Refine Detection). Heat mediated antigen retrieval was performed with Tris-EDTA buffer (pH 9.0, Epitope Retrieval Solution2) for 20 mins.

Indirect ELISA - Anti-Glucose Oxidase antibody [EPR27335-25] (AB314545)
  • I-ELISA

Supplier Data

Indirect ELISA - Anti-Glucose Oxidase antibody [EPR27335-25] (AB314545)

Indirect ELISA analysis of ab314545 at 1000-0 ng/ml. The Secondary antibody used was Alkaline Phosphatase-conjugated AffiniPure Goat Anti-Rabbit IgG (H+L) at 1 : 2500 dilution. Antigen : Aspergillus niger Glucose Oxidase. Antigen concentration : 1000 ng/ml

Immunoprecipitation - Anti-Glucose Oxidase antibody [EPR27335-25] (AB314545)
  • IP

Supplier Data

Immunoprecipitation - Anti-Glucose Oxidase antibody [EPR27335-25] (AB314545)

Glucose Oxidase was immunoprecipitated from 0.35 mg 293T (human embryonic kidney epithelial cell) cells transfected with an Aspergillus niger gox expression vector containing a His-tag, whole cell lysate with ab314545 at 1/30 dilution (2ug in 0.35mg lysates). Western blot was performed on the immunoprecipitate using ab314545 at 1/1000 dilution. VeriBlot for IP secondary antibody(HRP)(ab131366) was used at 1/5000 dilution. Lane 1 : 293T (human embryonic kidney epithelial cell) cells transfected with an Aspergillus niger gox expression vector containing a His-tag, whole cell lysate Lane 2 : ab314545 IP in 293T (human embryonic kidney epithelial cell) cells transfected with an Aspergillus niger gox expression vector containing a His-tag, whole cell lysate Lane 3 : Rabbit monoclonal IgG (ab172730) instead of ab314545 in 293T cells transfected with an Aspergillus niger gox expression vector containing a His-tag, whole cell lysate Blocking and dilution buffer and concentration : 5% NFDM/TBST.

All lanes:

Immunoprecipitation - Anti-Glucose Oxidase antibody [EPR27335-25] (ab314545) at 1/30 dilution

All lanes:

293T (human embryonic kidney epithelial cell) cells transfected with an Aspergillus niger gox expression vector containing a His-tag, whole cell lysate

Secondary

All lanes:

Immunoprecipitation - VeriBlot for IP Detection Reagent (HRP) (<a href='/en-us/products/reagents/veriblot-for-ip-detection-reagent-hrp-ab131366'>ab131366</a>) at 1/5000 dilution

false

Exposure time: 5s

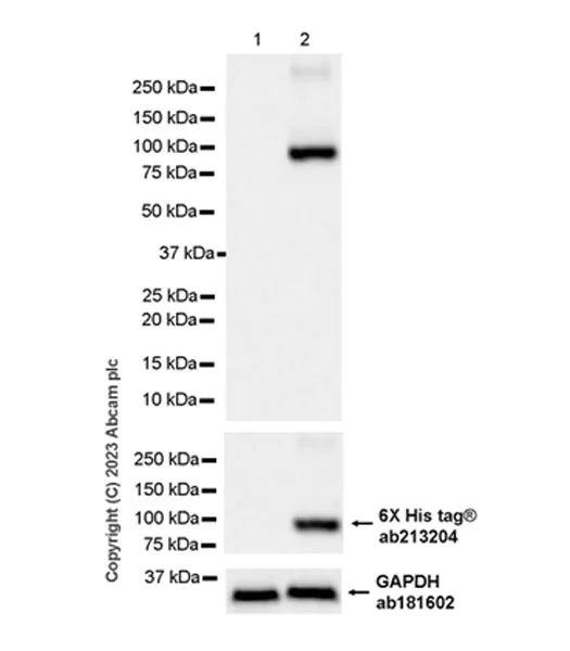
Western blot - Anti-Glucose Oxidase antibody [EPR27335-25] (AB314545)
  • WB

Supplier Data

Western blot - Anti-Glucose Oxidase antibody [EPR27335-25] (AB314545)

Blocking and diluting buffer and concentration : 5% NFDM/TBST In Western blot, Anti-GAPDH antibody [EPR16891] - Loading Control (ab181602) staining at 1/200000 dilution. In Western blot, Anti-6X His tag® antibody [EPR20547] - ChIP Grade (ab213204) staining at 1/5000 dilution.

All lanes:

Western blot - Anti-Glucose Oxidase antibody [EPR27335-25] (ab314545) at 1/1000 dilution

Lane 1:

293T cells transfected with an empty vector containing a His-tag, whole cell lysate at 5 µg

Lane 2:

293T cells transfected with an Aspergillus niger gox expression vector containing a His-tag, whole cell lysate at 5 µg

Secondary

All lanes:

Western blot - Goat Anti-Rabbit IgG H&L (HRP) (<a href='/en-us/products/secondary-antibodies/goat-rabbit-igg-h-l-hrp-ab97051'>ab97051</a>) at 1/100000 dilution

Observed band size: 80 kDa

false

Exposure time: 10s

Key facts

Host species

Rabbit

Clonality

Monoclonal

Clone number

EPR27335-25

Isotype

IgG

Carrier free

No

Applications

IHC-P, IP, I-ELISA, WB, Flow Cyt (Intra), ICC/IF

applications

Immunogen

The exact immunogen used to generate this antibody is proprietary information.

Reactivity data

{ "title": "Reactivity Data", "filters": { "stats": ["", "Species", "Dilution Info", "Notes"], "tabs": { "all-applications": {"fullname" : "All Applications", "shortname": "All Applications"}, "WB" : {"fullname" : "Western blot", "shortname":"WB"}, "IHCP" : {"fullname" : "Immunohistochemistry (Formalin/PFA-fixed paraffin-embedded sections)", "shortname":"IHC-P"}, "ICCIF" : {"fullname" : "Immunocytochemistry/ Immunofluorescence", "shortname":"ICC/IF"}, "FlowCytIntra" : {"fullname" : "Flow Cytometry (Intracellular)", "shortname":"Flow Cyt (Intra)"}, "IP" : {"fullname" : "Immunoprecipitation", "shortname":"IP"}, "IELISA" : {"fullname" : "Indirect ELISA", "shortname":"I-ELISA"} }, "product-promise": { "all": "all", "testedAndGuaranteed": "tested", "guaranteed": "expected", "predicted": "predicted", "notRecommended": "not-recommended" } }, "values": { "Recombinant fragment - Aspergillus niger": { "WB-species-checked": "notRecommended", "WB-species-dilution-info": "", "WB-species-notes": "", "IHCP-species-checked": "notRecommended", "IHCP-species-dilution-info": "", "IHCP-species-notes": "", "ICCIF-species-checked": "notRecommended", "ICCIF-species-dilution-info": "", "ICCIF-species-notes": "", "FlowCytIntra-species-checked": "notRecommended", "FlowCytIntra-species-dilution-info": "", "FlowCytIntra-species-notes": "", "IP-species-checked": "notRecommended", "IP-species-dilution-info": "", "IP-species-notes": "", "IELISA-species-checked": "testedAndGuaranteed", "IELISA-species-dilution-info": "1000 ng/mL", "IELISA-species-notes": "<p></p>" }, "Transfected cell line": { "WB-species-checked": "notRecommended", "WB-species-dilution-info": "", "WB-species-notes": "", "IHCP-species-checked": "testedAndGuaranteed", "IHCP-species-dilution-info": "1/2000", "IHCP-species-notes": "<p></p> Perform heat-mediated antigen retrieval with Tris/EDTA buffer pH 9.0 before commencing with IHC staining protocol.", "ICCIF-species-checked": "testedAndGuaranteed", "ICCIF-species-dilution-info": "1/1000", "ICCIF-species-notes": "<p></p>", "FlowCytIntra-species-checked": "testedAndGuaranteed", "FlowCytIntra-species-dilution-info": "1/5000", "FlowCytIntra-species-notes": "<p></p>", "IP-species-checked": "notRecommended", "IP-species-dilution-info": "", "IP-species-notes": "", "IELISA-species-checked": "notRecommended", "IELISA-species-dilution-info": "", "IELISA-species-notes": "" }, "Transfected cell lysate - Aspergillus niger": { "WB-species-checked": "testedAndGuaranteed", "WB-species-dilution-info": "1/1000", "WB-species-notes": "<p></p>", "IHCP-species-checked": "notRecommended", "IHCP-species-dilution-info": "", "IHCP-species-notes": "", "ICCIF-species-checked": "notRecommended", "ICCIF-species-dilution-info": "", "ICCIF-species-notes": "", "FlowCytIntra-species-checked": "notRecommended", "FlowCytIntra-species-dilution-info": "", "FlowCytIntra-species-notes": "", "IP-species-checked": "testedAndGuaranteed", "IP-species-dilution-info": "1/30", "IP-species-notes": "<p></p>", "IELISA-species-checked": "notRecommended", "IELISA-species-dilution-info": "", "IELISA-species-notes": "" } } }

Product details

Patented technology
Our RabMAb® technology is a patented hybridoma-based technology for making rabbit monoclonal antibodies. For details on our patents, please refer to RabMAb® patents.

What are the advantages of a recombinant monoclonal antibody?
This product is a recombinant monoclonal antibody, which offers several advantages including:

  • - High batch-to-batch consistency and reproducibility
  • - Improved sensitivity and specificity
  • - Long-term security of supply
  • - Animal-free batch production

For more information, read more on recombinant antibodies.

Properties and storage information

Form
Liquid
Purification technique
Affinity purification Protein A
Storage buffer
pH: 7.2 - 7.4 Preservative: 0.01% Sodium azide Constituents: PBS, 40% Glycerol (glycerin, glycerine), 0.05% BSA
Shipped at conditions
Blue Ice
Appropriate short-term storage duration
1-2 weeks
Appropriate short-term storage conditions
+4°C
Appropriate long-term storage conditions
-20°C
Aliquoting information
Upon delivery aliquot
Storage information
Avoid freeze / thaw cycle

Supplementary information

This supplementary information is collated from multiple sources and compiled automatically.

Glucose oxidase also known as GOX is an enzyme that catalyzes the oxidation of beta-D-glucose to glucono delta-lactone releasing hydrogen peroxide as a by-product. This enzyme with a molecular weight of approximately 160 kDa is commonly found in fungi like Aspergillus and Penicillium species. Glucose oxidase is predominantly expressed in the extracellular space of these organisms facilitating its role in glucose metabolism and defense mechanisms. It plays an important role in various biochemical assays including the 'glucose oxidase assay' 'glucose oxidase test' and 'glucose oxidase kit' often used for glucose quantification in diverse samples.
Biological function summary

Glucose oxidase is significant in both metabolic pathways and environmental defense. The enzyme acts as a part of a larger enzymatic reaction complex that includes peroxidase which together help in the glucose oxidase reaction to maintain cellular redox balance. Additionally the production of hydrogen peroxide by glucose oxidase serves as a chemical defense mechanism against microbial infections. This property is harnessed in technical applications making glucose oxidase a valuable tool in biotechnology for both its metabolic impacts and antimicrobial properties.

Pathways

Glucose oxidase is an important enzyme in the carbohydrate metabolism and oxidative stress response pathways. It acts by converting glucose into glucono delta-lactone which can then enter further metabolic processes. The enzyme interacts closely with other proteins particularly those involved in oxidative phosphorylation such as catalase which neutralizes the hydrogen peroxide generated during the glucose oxidase reaction. These interactions help modulate cellular energy production and maintain oxidative homeostasis highlighting its role within broader metabolic networks.

Glucose oxidase activity is relevant to conditions such as diabetes and neurodegenerative diseases. The enzyme's function in glucose monitoring tools plays a critical role in diabetes management where accurate glucose measurement is important. Additionally altered levels of hydrogen peroxide due to dysregulated glucose oxidase activity is implicated in oxidative stress which can contribute to neurodegenerative disorders like Alzheimer's disease. In these contexts the enzyme's interaction with proteins like catalase and superoxide dismutase becomes significant as these proteins aid in mitigating oxidative damage which is central to the pathology of such diseases.

Product protocols

For this product, it's our understanding that no specific protocols are required. You can visit:

Target data

Glucose oxidase catalyzes the oxidation of beta-D-glucose to D-glucono-delta-lactone and hydrogen peroxide in the presence of molecular oxygen. D-glucono-delta-lactone is sequentially hydrolyzed by lactonase to D-gluconic acid, and the resulting hydrogen peroxide is hydrolyzed by catalase to oxygen and water (PubMed : 14188176, PubMed : 14257628, PubMed : 14299649, PubMed : 15450808, PubMed : 2076553, PubMed : 2406261, PubMed : 24283586, PubMed : 28631058, PubMed : 28939970, PubMed : 34500289, PubMed : 7826581, Ref.4, Ref.5). The activity shows high specificity to beta-D-glucose, with very low to no activity towards L-glucose, 2-deoxy-D-glucose, 3-deoxy-D-glucose, 4-deoxy-D-glucose, 5-deoxy-D-glucose, 6-deoxy-D-glucose, 3-O-methyl-D-glucose, 4-O-methyl-D-glucose, 6-O-methyl-D-glucose, 4,6-O-benzylidene-D-glucose, 5-thio-5-deoxy-D-glucose, D-mannose, D-allose, D-galactose, D-fructose, D-arabinose, D-xylose, trehalose, melibiose, L-mannomethylose, lactose, sucrose or 1,5-anhydro-D-glucitol (PubMed : 14188176, PubMed : 14257628, PubMed : 24283586, Ref.5).
See full target information Glucose oxidase

Publications (1)

Recent publications for all applications. Explore the full list and refine your search

Biomaterials research 29:0254 PubMed40994449

2025

Nucleolin-Targeted DNA Nanoflowers Enable Multimodal Synergistic Cancer Therapy.

Applications

Unspecified application

Species

Unspecified reactive species

Anwen Ren,Huan Liu,Zimei Tang,Peng Zheng,Qingyi Hu,Tao Huang
View all publications

Product promise

We are committed to supporting your work with high-quality reagents, and we're here for you every step of the way. In the unlikely event that one of our products does not perform as expected, you're protected by our Product Promise.
For full details, please see our Terms & Conditions

Please note: All products are 'FOR RESEARCH USE ONLY. NOT FOR USE IN DIAGNOSTIC OR THERAPEUTIC PROCEDURES'.

For licensing inquiries, please contact partnerships@abcam.com