JavaScript is disabled in your browser. Please enable JavaScript to view this website.
AB313775

Anti-Glucose Transporter GLUT4 antibody [EPR26571-45]

  • BOND RX™ Validated
  • 20ul selling size
  • RabMAb
  • Recombinant
  • What is this?

Be the first to review this product! Submit a review

|

(4 Publications)

Anti-Glucose Transporter GLUT4 antibody [EPR26571-45] (ab313775) is a rabbit monoclonal antibody detecting Glucose Transporter GLUT4 in Western Blot, IP, IHC-P, ICC/IF, Dot Blot. Suitable for Human, Mouse, Rat.

- Biophysical QC for unrivalled batch-batch consistency

View Alternative Names

Glut4, Slc2a4, GT2, GLUT-4

15 Images
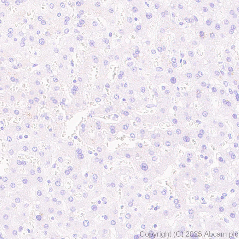
Immunohistochemistry (Formalin/PFA-fixed paraffin-embedded sections) - Anti-Glucose Transporter GLUT4 antibody [EPR26571-45] (AB313775)
  • IHC-P

Supplier Data

Immunohistochemistry (Formalin/PFA-fixed paraffin-embedded sections) - Anti-Glucose Transporter GLUT4 antibody [EPR26571-45] (AB313775)

Immunohistochemical analysis of paraffin-embedded Human liver tissue labeling SLC2A4 with ab313775 at 1/5000 (0.104 µg/ml) followed by a ready to use LeicaDS9800 (Bond™ Polymer Refine Detection). Negative control : No staining on human liver. The section was incubated with ab313775 for 30 mins at room temperature. The immunostaining was performed on a Leica Biosystems BOND® RX instrument Counterstained with Hematoxylin. Secondary antibody only control : Secondary antibody is a ready to use LeicaDS9800 (Bond™ Polymer Refine Detection).Heat mediated antigen retrieval was performed with Citrate buffer (pH 6.0, Epitope Retrieval Solution 1) for 20 mins

Immunohistochemistry (Formalin/PFA-fixed paraffin-embedded sections) - Anti-Glucose Transporter GLUT4 antibody [EPR26571-45] (AB313775)
  • IHC-P

Supplier Data

Immunohistochemistry (Formalin/PFA-fixed paraffin-embedded sections) - Anti-Glucose Transporter GLUT4 antibody [EPR26571-45] (AB313775)

Immunohistochemical analysis of paraffin-embedded Human skeletal muscle tissue labeling SLC2A4 with ab313775 at 1/5000 (0.104 µg/ml) followed by a ready to use LeicaDS9800 (Bond™ Polymer Refine Detection). Cytoplasmic staining on human skeletal muscle. The section was incubated with ab313775 for 30 mins at room temperature. The immunostaining was performed on a Leica Biosystems BOND® RX instrument Counterstained with Hematoxylin. Secondary antibody only control : Secondary antibody is a ready to use LeicaDS9800 (Bond™ Polymer Refine Detection).Heat mediated antigen retrieval was performed with Citrate buffer (pH 6.0, Epitope Retrieval Solution 1) for 20 mins

Immunohistochemistry (Formalin/PFA-fixed paraffin-embedded sections) - Anti-Glucose Transporter GLUT4 antibody [EPR26571-45] (AB313775)
  • IHC-P

Supplier Data

Immunohistochemistry (Formalin/PFA-fixed paraffin-embedded sections) - Anti-Glucose Transporter GLUT4 antibody [EPR26571-45] (AB313775)

Immunohistochemical analysis of paraffin-embedded Mouse liver tissue labeling SLC2A4 with ab313775 at 1/5000 (0.104 µg/ml) followed by a ready to use LeicaDS9800 (Bond™ Polymer Refine Detection). Negative control : No staining on mouse liver. The section was incubated with ab313775 for 30 mins at room temperature. The immunostaining was performed on a Leica Biosystems BOND® RX instrument Counterstained with Hematoxylin. Secondary antibody only control : Secondary antibody is a ready to use LeicaDS9800 (Bond™ Polymer Refine Detection).Heat mediated antigen retrieval was performed with Citrate buffer (pH 6.0, Epitope Retrieval Solution 1) for 20 mins

Immunohistochemistry (Formalin/PFA-fixed paraffin-embedded sections) - Anti-Glucose Transporter GLUT4 antibody [EPR26571-45] (AB313775)
  • IHC-P

Supplier Data

Immunohistochemistry (Formalin/PFA-fixed paraffin-embedded sections) - Anti-Glucose Transporter GLUT4 antibody [EPR26571-45] (AB313775)

Immunohistochemical analysis of paraffin-embedded Rat skeletal muscle tissue labeling SLC2A4 with ab313775 at 1/5000 (0.104 µg/ml) followed by a ready to use LeicaDS9800 (Bond™ Polymer Refine Detection). Cytoplasmic staining on rat skeletal muscle. The section was incubated with ab313775 for 30 mins at room temperature. The immunostaining was performed on a Leica Biosystems BOND® RX instrument Counterstained with Hematoxylin. Secondary antibody only control : Secondary antibody is a ready to use LeicaDS9800 (Bond™ Polymer Refine Detection).Heat mediated antigen retrieval was performed with Citrate buffer (pH 6.0, Epitope Retrieval Solution 1) for 20 mins

Immunohistochemistry (Formalin/PFA-fixed paraffin-embedded sections) - Anti-Glucose Transporter GLUT4 antibody [EPR26571-45] (AB313775)
  • IHC-P

Supplier Data

Immunohistochemistry (Formalin/PFA-fixed paraffin-embedded sections) - Anti-Glucose Transporter GLUT4 antibody [EPR26571-45] (AB313775)

Immunohistochemical analysis of paraffin-embedded Rat cardiac muscle tissue labeling SLC2A4 with ab313775 at 1/5000 (0.104 µg/ml) followed by a ready to use LeicaDS9800 (Bond™ Polymer Refine Detection). Cytoplasmic staining on rat cardiac muscle. The section was incubated with ab313775 for 30 mins at room temperature. The immunostaining was performed on a Leica Biosystems BOND® RX instrument Counterstained with Hematoxylin. Secondary antibody only control : Secondary antibody is a ready to use LeicaDS9800 (Bond™ Polymer Refine Detection).Heat mediated antigen retrieval was performed with Citrate buffer (pH 6.0, Epitope Retrieval Solution 1) for 20 mins

Immunocytochemistry/ Immunofluorescence - Anti-Glucose Transporter GLUT4 antibody [EPR26571-45] (AB313775)
  • ICC/IF

Supplier Data

Immunocytochemistry/ Immunofluorescence - Anti-Glucose Transporter GLUT4 antibody [EPR26571-45] (AB313775)

Immunofluorescent analysis of 4% Paraformaldehyde-fixed, 0.1% TritonX-100 permeabilized 3T3-L1 (mouse embryonic fibroblast) cells labelling SLC2A4 with ab313775 at 1/100 (5.18 µg/ml) dilution, followed by ab150081 Goat Anti-Rabbit IgG H&L (Alexa Fluor® 488) preadsorbed antibody at 1/1000 (2 µg/ml) dilution (Green). Confocal image showing cytoplasmic staining in differentiated 3T3-L1 cells, and no staining in 3T3-L1 cells. Image was taken with a confocal microscope(Leica-Microsystems, TCS SP8) ab195889 Anti-alpha Tubulin mouse monoclonal antibody - Microtubule Marker (Alexa Fluor® 594) was used to counterstain tubulin at 1/200 (2.5 µg/ml) dilution (Red). The Nuclear counterstain was DAPI (Blue). Secondary antibody only control : Secondary antibody is ab150081 Goat Anti-Rabbit IgG H&L (Alexa Fluor® 488) preadsorbed at 1/1000 (2 µg/ml) dilution.

Immunohistochemistry (Formalin/PFA-fixed paraffin-embedded sections) - Anti-Glucose Transporter GLUT4 antibody [EPR26571-45] (AB313775)
  • IHC-P

Supplier Data

Immunohistochemistry (Formalin/PFA-fixed paraffin-embedded sections) - Anti-Glucose Transporter GLUT4 antibody [EPR26571-45] (AB313775)

Immunohistochemical analysis of paraffin-embedded Mouse skeletal muscle tissue labeling SLC2A4 with ab313775 at 1/5000 (0.104 µg/ml) followed by a ready to use LeicaDS9800 (Bond™ Polymer Refine Detection). Cytoplasmic staining on mouse skeletal muscle (PMID : 2654938; PMID : 23877319; PMID : 33061888). The section was incubated with ab313775 for 30 mins at room temperature. The immunostaining was performed on a Leica Biosystems BOND® RX instrument Counterstained with Hematoxylin. Secondary antibody only control : Secondary antibody is a ready to use LeicaDS9800 (Bond™ Polymer Refine Detection).Heat mediated antigen retrieval was performed with Citrate buffer (pH 6.0, Epitope Retrieval Solution 1) for 20 mins

Immunohistochemistry (Formalin/PFA-fixed paraffin-embedded sections) - Anti-Glucose Transporter GLUT4 antibody [EPR26571-45] (AB313775)
  • IHC-P

Supplier Data

Immunohistochemistry (Formalin/PFA-fixed paraffin-embedded sections) - Anti-Glucose Transporter GLUT4 antibody [EPR26571-45] (AB313775)

Immunohistochemical analysis of paraffin-embedded Rat liver tissue labeling SLC2A4 with ab313775 at 1/5000 (0.104 µg/ml) followed by a ready to use LeicaDS9800 (Bond™ Polymer Refine Detection). Negative control : No staining on rat liver. The section was incubated with ab313775 for 30 mins at room temperature. The immunostaining was performed on a Leica Biosystems BOND® RX instrument Counterstained with Hematoxylin. Secondary antibody only control : Secondary antibody is a ready to use LeicaDS9800 (Bond™ Polymer Refine Detection).Heat mediated antigen retrieval was performed with Citrate buffer (pH 6.0, Epitope Retrieval Solution 1) for 20 mins

Immunoprecipitation - Anti-Glucose Transporter GLUT4 antibody [EPR26571-45] (AB313775)
  • IP

Supplier Data

Immunoprecipitation - Anti-Glucose Transporter GLUT4 antibody [EPR26571-45] (AB313775)

SLC2A4 was immunoprecipitated from 0.35 mg Mouse heart tissue lysate with ab313775 at 1/30 dilution (2µg in 0.35mg lysates). Western blot was performed on the immunoprecipitate using ab313775 at 1/1000 dilution. VeriBlot for IP secondary antibody (HRP) (ab131366) was used at 1/5000 dilution.

Lane 1 : Mouse heart tissue lysate 5 µg
Lane 2 : ab313775 IP in Mouse heart tissue lysate
Lane 3 : Rabbit monoclonal IgG (ab172730) instead of ab313775 in mouse heart tissue lysate.

Blocking and dilution buffer and concentration : 5% NFDM/TBST. Exposure time : 3 seconds The expression profile/ molecular weight observed is consistent with what has been described in the literature (PMID : 27302065).

All lanes:

Immunoprecipitation - Anti-Glucose Transporter GLUT4 antibody [EPR26571-45] (ab313775) at 1/30 dilution

All lanes:

Mouse heart tissue lysate

Secondary

All lanes:

Immunoprecipitation - VeriBlot for IP Detection Reagent (HRP) (<a href='/en-us/products/reagents/veriblot-for-ip-detection-reagent-hrp-ab131366'>ab131366</a>) at 1/5000 dilution

false

Exposure time: 3s

Western blot - Anti-Glucose Transporter GLUT4 antibody [EPR26571-45] (AB313775)
  • WB

Supplier Data

Western blot - Anti-Glucose Transporter GLUT4 antibody [EPR26571-45] (AB313775)

Blocking and diluting buffer and concentration : 5% NFDM/TBST Negative control : liver (PMID : 2654938). Samples are non-boiled as boiling may cause protein aggregation. In Western blot, Anti-Vinculin antibody [EPR8185] (ab129002) staining at 1/10000 dilution. Exposure time : 48 seconds

All lanes:

Western blot - Anti-Glucose Transporter GLUT4 antibody [EPR26571-45] (ab313775) at 1/1000 dilution

Lane 1:

Human skeletal muscle tissue lysate at 20 µg

Lane 2:

Human liver tissue lysate at 20 µg

Secondary

All lanes:

Goat Anti-Rabbit IgG (HRP) with minimal cross-reactivity with human IgG at 1/1000 dilution

Observed band size: 51 kDa

false

Exposure time: 48s

Western blot - Anti-Glucose Transporter GLUT4 antibody [EPR26571-45] (AB313775)
  • WB

Supplier Data

Western blot - Anti-Glucose Transporter GLUT4 antibody [EPR26571-45] (AB313775)

Blocking and diluting buffer and concentration : 5% NFDM/TBST.

This blot was developed using a high sensitivity ECL substrate. The high-sensitivity ECL substrate used allows for the detection of proteins in the mid-femtogram range.

Samples are non-boiled as boiling may cause protein aggregation.

In Western blot, Anti-GAPDH antibody [EPR16891] - Loading Control (ab181602) staining at 1/200000 dilution.

All lanes:

Western blot - Anti-Glucose Transporter GLUT4 antibody [EPR26571-45] (ab313775) at 1/1000 dilution

Lane 1:

RD (Human muscle rhabdomyosarcoma) whole cell lysate at 20 µg

Lane 2:

A673 (human muscle Ewing's Sarcoma) whole cell lysate at 20 µg

Secondary

All lanes:

Western blot - Goat Anti-Rabbit IgG H&L (HRP) (<a href='/en-us/products/secondary-antibodies/goat-rabbit-igg-h-l-hrp-ab97051'>ab97051</a>) at 1/100000 dilution

Observed band size: 51 kDa

true

Exposure time: 180s

Western blot - Anti-Glucose Transporter GLUT4 antibody [EPR26571-45] (AB313775)
  • WB

Supplier Data

Western blot - Anti-Glucose Transporter GLUT4 antibody [EPR26571-45] (AB313775)

Blocking and diluting buffer and concentration : 5% NFDM/TBST Low expression : kidney (PMID : 2654938). Samples are non-boiled as boiling may cause protein aggregation. In Western blot, Anti-GAPDH antibody [EPR16891] - Loading Control (ab181602) staining at 1/200000 dilution. Exposure time : 105 seconds

All lanes:

Western blot - Anti-Glucose Transporter GLUT4 antibody [EPR26571-45] (ab313775) at 1/1000 dilution

Lane 1:

Mouse skeletal muscle tissue lysate at 20 µg

Lane 2:

Mouse heart tissue lysate at 20 µg

Lane 3:

Mouse kidney tissue lysate at 20 µg

Secondary

All lanes:

Western blot - Goat Anti-Rabbit IgG H&L (HRP) (<a href='/en-us/products/secondary-antibodies/goat-rabbit-igg-h-l-hrp-ab97051'>ab97051</a>) at 1/100000 dilution

Observed band size: 51 kDa

false

Exposure time: 105s

Western blot - Anti-Glucose Transporter GLUT4 antibody [EPR26571-45] (AB313775)
  • WB

Supplier Data

Western blot - Anti-Glucose Transporter GLUT4 antibody [EPR26571-45] (AB313775)

Blocking and diluting buffer and concentration : 5% NFDM/TBST.

This blot was developed using a high sensitivity ECL substrate. The high-sensitivity ECL substrate used allows for the detection of proteins in the mid-femtogram range.

Samples are non-boiled as boiling may cause protein aggregation.

In Western blot, Anti-GAPDH antibody [EPR16891] - Loading Control (ab181602) staining at 1/200000 dilution.

All lanes:

Western blot - Anti-Glucose Transporter GLUT4 antibody [EPR26571-45] (ab313775) at 1/1000 dilution

Lane 1:

Untreated 3T3-L1 (mouse embryonic fibroblast) whole cell lysate at 20 µg

Lane 2:

3T3-L1 differentiation for 6 days whole cell lysate at 20 µg

Secondary

All lanes:

Western blot - Goat Anti-Rabbit IgG H&L (HRP) (<a href='/en-us/products/secondary-antibodies/goat-rabbit-igg-h-l-hrp-ab97051'>ab97051</a>) at 1/100000 dilution

Observed band size: 51 kDa

true

Exposure time: 158s

Western blot - Anti-Glucose Transporter GLUT4 antibody [EPR26571-45] (AB313775)
  • WB

Supplier Data

Western blot - Anti-Glucose Transporter GLUT4 antibody [EPR26571-45] (AB313775)

Blocking and diluting buffer and concentration : 5% NFDM/TBST Negative control : liver (PMID : 2654938), lung (PMID : 2654938). Samples are non-boiled as boiling may cause protein aggregation. In Western blot, Anti-Vinculin antibody [EPR8185] (ab129002) staining at 1/10000 dilution. Exposure time : 15 seconds

All lanes:

Western blot - Anti-Glucose Transporter GLUT4 antibody [EPR26571-45] (ab313775) at 1/1000 dilution

Lane 1:

Rat heart tissue lysate at 20 µg

Lane 2:

Rat liver tissue lysate at 20 µg

Lane 3:

Rat lung tissue lysate at 20 µg

Secondary

All lanes:

Western blot - Goat Anti-Rabbit IgG H&L (HRP) (<a href='/en-us/products/secondary-antibodies/goat-rabbit-igg-h-l-hrp-ab97051'>ab97051</a>) at 1/100000 dilution

Observed band size: 51 kDa

false

Exposure time: 15s

Dot Blot - Anti-Glucose Transporter GLUT4 antibody [EPR26571-45] (AB313775)
  • Dot

Supplier Data

Dot Blot - Anti-Glucose Transporter GLUT4 antibody [EPR26571-45] (AB313775)

Dot blot analysis of SLC2A4 using ab313775 at 1 : 1000 (0.518 ug/ml) followed by a Goat Anti-Rabbit IgG, (H+L), Peroxidase conjugated (ab97051) at 1 : 100,000 dilution. Exposure time : 8 seconds. Blocking and diluting buffer and concentration : 5% NFDM/TBST

  • Carrier free

    Anti-Glucose Transporter GLUT4 antibody [EPR26571-45] - BSA and Azide free

Key facts

Host species

Rabbit

Clonality

Monoclonal

Clone number

EPR26571-45

Isotype

IgG

Carrier free

No

Reacts with

Human, Mouse, Rat

Applications

IHC-P, IP, WB, Dot, ICC/IF

applications

Immunogen

The exact immunogen used to generate this antibody is proprietary information.

Reactivity data

{ "title": "Reactivity Data", "filters": { "stats": ["", "Species", "Dilution Info", "Notes"], "tabs": { "all-applications": {"fullname" : "All Applications", "shortname": "All Applications"}, "IHCP" : {"fullname" : "Immunohistochemistry (Formalin/PFA-fixed paraffin-embedded sections)", "shortname":"IHC-P"}, "ICCIF" : {"fullname" : "Immunocytochemistry/ Immunofluorescence", "shortname":"ICC/IF"}, "WB" : {"fullname" : "Western blot", "shortname":"WB"}, "IP" : {"fullname" : "Immunoprecipitation", "shortname":"IP"}, "Dot" : {"fullname" : "Dot Blot", "shortname":"Dot"}, "FlowCytIntra" : {"fullname" : "Flow Cytometry (Intracellular)", "shortname":"Flow Cyt (Intra)"} }, "product-promise": { "all": "all", "testedAndGuaranteed": "tested", "guaranteed": "expected", "predicted": "predicted", "notRecommended": "not-recommended" } }, "values": { "Human": { "IHCP-species-checked": "testedAndGuaranteed", "IHCP-species-dilution-info": "1/5000", "IHCP-species-notes": "<p></p> Perform heat-mediated antigen retrieval with citrate buffer pH 6 before commencing with IHC staining protocol.", "ICCIF-species-checked": "guaranteed", "ICCIF-species-dilution-info": "", "ICCIF-species-notes": "", "WB-species-checked": "testedAndGuaranteed", "WB-species-dilution-info": "1/1000", "WB-species-notes": "<p></p>", "IP-species-checked": "guaranteed", "IP-species-dilution-info": "", "IP-species-notes": "", "Dot-species-checked": "guaranteed", "Dot-species-dilution-info": "", "Dot-species-notes": "", "FlowCytIntra-species-checked": "notRecommended", "FlowCytIntra-species-dilution-info": "", "FlowCytIntra-species-notes": "" }, "Mouse": { "IHCP-species-checked": "testedAndGuaranteed", "IHCP-species-dilution-info": "1/5000", "IHCP-species-notes": "<p></p> Perform heat-mediated antigen retrieval with citrate buffer pH 6 before commencing with IHC staining protocol.", "ICCIF-species-checked": "testedAndGuaranteed", "ICCIF-species-dilution-info": "1/100", "ICCIF-species-notes": "<p></p>", "WB-species-checked": "testedAndGuaranteed", "WB-species-dilution-info": "1/1000", "WB-species-notes": "<p></p>", "IP-species-checked": "testedAndGuaranteed", "IP-species-dilution-info": "1/30", "IP-species-notes": "<p></p>", "Dot-species-checked": "guaranteed", "Dot-species-dilution-info": "", "Dot-species-notes": "", "FlowCytIntra-species-checked": "notRecommended", "FlowCytIntra-species-dilution-info": "", "FlowCytIntra-species-notes": "<p></p>" }, "Rat": { "IHCP-species-checked": "testedAndGuaranteed", "IHCP-species-dilution-info": "1/5000", "IHCP-species-notes": "<p></p> Perform heat-mediated antigen retrieval with citrate buffer pH 6 before commencing with IHC staining protocol.", "ICCIF-species-checked": "guaranteed", "ICCIF-species-dilution-info": "", "ICCIF-species-notes": "", "WB-species-checked": "testedAndGuaranteed", "WB-species-dilution-info": "1/1000", "WB-species-notes": "<p></p>", "IP-species-checked": "guaranteed", "IP-species-dilution-info": "", "IP-species-notes": "", "Dot-species-checked": "guaranteed", "Dot-species-dilution-info": "", "Dot-species-notes": "", "FlowCytIntra-species-checked": "notRecommended", "FlowCytIntra-species-dilution-info": "", "FlowCytIntra-species-notes": "" }, "Transfected cell lysate - Human": { "IHCP-species-checked": "notRecommended", "IHCP-species-dilution-info": "", "IHCP-species-notes": "", "ICCIF-species-checked": "notRecommended", "ICCIF-species-dilution-info": "", "ICCIF-species-notes": "", "WB-species-checked": "notRecommended", "WB-species-dilution-info": "", "WB-species-notes": "", "IP-species-checked": "notRecommended", "IP-species-dilution-info": "", "IP-species-notes": "", "Dot-species-checked": "testedAndGuaranteed", "Dot-species-dilution-info": "1/1000", "Dot-species-notes": "<p></p>", "FlowCytIntra-species-checked": "notRecommended", "FlowCytIntra-species-dilution-info": "", "FlowCytIntra-species-notes": "" } } }

Product details

What is this antibody validated in?
Anti-Glucose Transporter GLUT4 antibody [EPR26571-45] (ab313775) is a rabbit recombinant monoclonal antibody and is validated for use in Western Blot (WB), Immunoprecipitation (IP), Immunohistochemistry (IHC-P), Immunocytochemistry/immunofluorescence (ICC/IF), Dot Blot in Human, Mouse, Rat samples.

What is the molecular weight of Glucose Transporter GLUT4?
Anti-Glucose Transporter GLUT4 [EPR26571-45] (ab313775) specifically detects a band for Glucose Transporter GLUT4 (UniProt: P14142) at a molecular weight of 54kDa.

Trial sizes available!
Test your antibody or perform pre-screening before committing to a larger quantity. Sold in 10µl. Discover our selection of trial-size antibodies.

Other related products
We have a range of other formats of antibody clone [EPR26571-45] also available for your convenience: ab313775, Carrier free - ab313776

Patented technology
Our RabMAb® technology is a patented hybridoma-based technology for making rabbit monoclonal antibodies. For details on our patents, please refer to RabMAb® patents.

What are the advantages of a recombinant monoclonal antibody?
This product is a recombinant monoclonal antibody, which offers several advantages including:

  • - High batch-to-batch consistency and reproducibility
  • - Improved sensitivity and specificity
  • - Long-term security of supply
  • - Animal-free batch production

For more information, read more on recombinant antibodies.

Properties and storage information

Form
Liquid
Purification technique
Affinity purification Protein A
Storage buffer
pH: 7.2 - 7.4 Preservative: 0.01% Sodium azide Constituents: PBS, 40% Glycerol (glycerin, glycerine), 0.05% BSA
Shipped at conditions
Blue Ice
Appropriate short-term storage duration
1-2 weeks
Appropriate short-term storage conditions
+4°C
Appropriate long-term storage conditions
-20°C
Aliquoting information
Upon delivery aliquot
Storage information
Avoid freeze / thaw cycle

Supplementary information

This supplementary information is collated from multiple sources and compiled automatically.

Glucose transporter GLUT4 also known as GLUT-4 or GLUT 4 transporter plays an important role in glucose uptake in cells. It is an insulin-responsive class I facilitated glucose transporter. GLUT4 predominantly expresses in insulin-sensitive tissues such as adipose tissue and skeletal and cardiac muscles. The functional transport mechanism facilitates glucose entry into the cell by translocating from intracellular vesicles to the plasma membrane in response to insulin stimulation. The molecular weight of GLUT4 is about 50 kDa and this property is often observed in techniques such as GLUT4 western blot where it aids in the identification of the transporter.
Biological function summary

GLUT4 helps regulate blood sugar levels through its control over glucose uptake in muscle and adipose tissues. As an important component of the insulin-regulated glucose transport system GLUT4 responds to increased insulin levels by moving to the cell's surface aiding in glucose transportation into the cell. This adaptive response reduces blood glucose concentration after food intake. GLUT4 operates largely independently but may interact with other glucose transporters like GLUT1 to maintain normal cellular glucose homeostasis.

Pathways

GLUT4 plays a significant role in the insulin signaling pathway and glucose homeostasis. Activation of the insulin receptor triggers a signaling cascade that includes enzymes like Akt (protein kinase B) which facilitates the translocation of GLUT4 vesicles to the plasma membrane. This translocation is important for glucose entry into the cells. Other key proteins in this pathway include IRS (insulin receptor substrate) proteins which act as signaling intermediates to link insulin receptor activation to downstream targets like GLUT4. Its activity is central to the maintenance of energy balance and storage in the body.

GLUT4 is closely associated with conditions like type 2 diabetes and obesity. Impaired GLUT4 function or expression can lead to decreased insulin sensitivity and glucose uptake contributing to the hyperglycemic state found in type 2 diabetes. Additionally obesity often presents a parallel decline in GLUT4 activity exacerbating insulin resistance. The regulation of GLUT4 is influenced by proteins such as insulin receptor and IRS proteins which when dysfunctional contribute to the pathogenesis of these metabolic disorders.

Product protocols

For this product, it's our understanding that no specific protocols are required. You can visit:

Target data

Insulin-regulated facilitative glucose transporter, which plays a key role in removal of glucose from circulation (PubMed : 26240143, PubMed : 26629404). Response to insulin is regulated by its intracellular localization : in the absence of insulin, it is efficiently retained intracellularly within storage compartments in muscle and fat cells (PubMed : 26240143, PubMed : 26629404). Upon insulin stimulation, translocates from these compartments to the cell surface where it transports glucose from the extracellular milieu into the cell (PubMed : 26240143, PubMed : 26629404).
See full target information Slc2a4

Publications (4)

Recent publications for all applications. Explore the full list and refine your search

Molecular medicine (Cambridge, Mass.) 31:180 PubMed40346484

2025

The MYC/TXNIP axis mediates NCL-Suppressed CD8T cell immune response in lung adenocarcinoma.

Applications

Unspecified application

Species

Unspecified reactive species

Dan Xiao,Tanxiu Chen,Xinlin Yu,Ying Song,Yigang Liu,Wei Yan

Journal of clinical biochemistry and nutrition 76:125-130 PubMed40151406

2025

β-Elemene inhibits adipogenesis in 3T3-L1 cells by regulating AMPK pathway.

Applications

Unspecified application

Species

Unspecified reactive species

Xiang Deng,Zhenmin Liu,Sen Yang

Kidney international reports 10:227-246 PubMed39810759

2025

Effect of Mesenchymal Stem Cell-Derived Extracellular Vesicles Induced by Advanced Glycation End Products on Energy Metabolism in Vascular Endothelial Cells.

Applications

Unspecified application

Species

Unspecified reactive species

Jiabin Liang,Sihang Cheng,Qide Song,Yukuan Tang,Qian Wang,Hanwei Chen,Jie Feng,Lin Yang,Shunli Li,Zhiwei Wang,Jinghui Fan,Chen Huang

Diabetology & metabolic syndrome 16:33 PubMed38302999

2024

Leptin receptor deficiency impedes metabolic surgery related-weight loss through inhibition of energy expenditure in db/db mice.

Applications

Unspecified application

Species

Unspecified reactive species

Dan Tong,Jie Xiang,Wei Liu,Fang Sun,Lijuan Wang,Aidi Mou,Tingbing Cao,Qing Zhou,Mei You,Yingying Liao,Peng Gao,Daoyan Liu,Zongshi Lu,Zhiming Zhu
View all publications

Product promise

We are committed to supporting your work with high-quality reagents, and we're here for you every step of the way. In the unlikely event that one of our products does not perform as expected, you're protected by our Product Promise.
For full details, please see our Terms & Conditions

Please note: All products are 'FOR RESEARCH USE ONLY. NOT FOR USE IN DIAGNOSTIC OR THERAPEUTIC PROCEDURES'.

For licensing inquiries, please contact partnerships@abcam.com