JavaScript is disabled in your browser. Please enable JavaScript to view this website.
AB248669

Anti-Glucosidase 2 subunit beta antibody [EPR8046] - BSA and Azide free

Be the first to review this product! Submit a review

|

(1 Publication)

Rabbit Recombinant Monoclonal Glucosidase 2 subunit beta antibody. Carrier free. Suitable for IHC-P, WB and reacts with Human samples. Cited in 1 publication.

View Alternative Names

G19P1, PRKCSH, Glucosidase 2 subunit beta, 80K-H protein, Glucosidase II subunit beta, Protein kinase C substrate 60.1 kDa protein heavy chain, PKCSH

3 Images
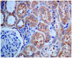
Immunohistochemistry (Formalin/PFA-fixed paraffin-embedded sections) - Anti-Glucosidase 2 subunit beta antibody [EPR8046] - BSA and Azide free (AB248669)
  • IHC-P

Unknown

Immunohistochemistry (Formalin/PFA-fixed paraffin-embedded sections) - Anti-Glucosidase 2 subunit beta antibody [EPR8046] - BSA and Azide free (AB248669)

This data was developed using ab134071, the same antibody clone in a different buffer formulation.

Immunohistochemical analysis of paraffin-embedded Human kidney tissue labelling Glucosidase 2 subunit beta with ab134071 at 1/100 dilution.

Perform heat mediated antigen retrieval before commencing with IHC staining protocol.

Western blot - Anti-Glucosidase 2 subunit beta antibody [EPR8046] - BSA and Azide free (AB248669)
  • WB

Lab

Western blot - Anti-Glucosidase 2 subunit beta antibody [EPR8046] - BSA and Azide free (AB248669)

This data was developed using the same antibody clone in a different buffer formulation (ab134071).

Lanes 1- 4 : Merged signal (red and green). Green - ab134071 observed at 80 kDa. Red - Anti-GAPDH antibody [6C5] - Loading Control (ab8245) observed at 37 kDa.

ab134071 was shown to react with PRKCSH in wild-type HEK-293T cells in western blot. Loss of signal was observed when knockout cell line ab266770 (knockout cell lysate ab257608) was used. Wild-type HEK-293T and PRKCSH knockout HEK-293T cell lysates were subjected to SDS-PAGE. Membrane was blocked for 1 hour at room temperature in 0.1% TBST with 3% non-fat dried milk. ab134071 and Anti-GAPDH antibody [6C5] - Loading Control (ab8245) overnight at 4°C at a 1 in 1000 dilution and a 1 in 20000 dilution respectively. Blots were developed with Goat anti-Rabbit IgG H&L (IRDye®800CW) preadsorbed (ab216773) and Goat anti-Mouse IgG H&L (IRDye®680RD) preadsorbed (ab216776) secondary antibodies at 1 in 20000 dilution for 1 hour at room temperature before imaging.

All lanes:

Western blot - Anti-Glucosidase 2 subunit beta antibody [EPR8046] (<a href='/en-us/products/primary-antibodies/glucosidase-2-subunit-beta-antibody-epr8046-ab134071'>ab134071</a>) at 1/1000 dilution

Lane 1:

Wild-type HEK-293T cell lysate at 20 µg

Lane 2:

PRKCSH knockout HEK-293T cell lysate at 20 µg

Lane 2:

Western blot - Human PRKCSH (Glucosidase 2 subunit beta) knockout HEK-293T cell line (<a href='/en-us/products/cell-lines/human-prkcsh-glucosidase-2-subunit-beta-knockout-hek-293t-cell-line-ab266770'>ab266770</a>)

Lane 3:

HeLa cell lysate at 20 µg

Lane 4:

Daudi cell lysate at 20 µg

Predicted band size: 59 kDa

Observed band size: 80 kDa

false

Western blot - Anti-Glucosidase 2 subunit beta antibody [EPR8046] - BSA and Azide free (AB248669)
  • WB

Unknown

Western blot - Anti-Glucosidase 2 subunit beta antibody [EPR8046] - BSA and Azide free (AB248669)

This data was developed using ab134071, the same antibody clone in a different buffer formulation.

All lanes:

Western blot - Anti-Glucosidase 2 subunit beta antibody [EPR8046] (<a href='/en-us/products/primary-antibodies/glucosidase-2-subunit-beta-antibody-epr8046-ab134071'>ab134071</a>) at 1/1000 dilution

Lane 1:

HeLa cell lysate at 10 µg

Lane 2:

Jurkat cell lysate at 10 µg

Lane 3:

A431 cell lysate at 10 µg

Secondary

All lanes:

HRP labelled goat anti-rabbit at 1/2000 dilution

Predicted band size: 59 kDa

false

  • Unconjugated

    Anti-Glucosidase 2 subunit beta antibody [EPR8046]

Key facts

Host species

Rabbit

Clonality

Monoclonal

Clone number

EPR8046

Isotype

IgG

Carrier free

Yes

Reacts with

Human

Applications

WB, IHC-P

applications

Immunogen

The exact immunogen used to generate this antibody is proprietary information.

Reactivity data

{ "title": "Reactivity Data", "filters": { "stats": ["", "Species", "Dilution Info", "Notes"], "tabs": { "all-applications": {"fullname" : "All Applications", "shortname": "All Applications"}, "IHCP" : {"fullname" : "Immunohistochemistry (Formalin/PFA-fixed paraffin-embedded sections)", "shortname":"IHC-P"}, "ICCIF" : {"fullname" : "Immunocytochemistry/ Immunofluorescence", "shortname":"ICC/IF"}, "FlowCyt" : {"fullname" : "Flow Cytometry", "shortname":"Flow Cyt"}, "WB" : {"fullname" : "Western blot", "shortname":"WB"} }, "product-promise": { "all": "all", "testedAndGuaranteed": "tested", "guaranteed": "expected", "predicted": "predicted", "notRecommended": "not-recommended" } }, "values": { "Human": { "IHCP-species-checked": "testedAndGuaranteed", "IHCP-species-dilution-info": "", "IHCP-species-notes": "<p></p>", "ICCIF-species-checked": "notRecommended", "ICCIF-species-dilution-info": "", "ICCIF-species-notes": "<p></p>", "FlowCyt-species-checked": "notRecommended", "FlowCyt-species-dilution-info": "", "FlowCyt-species-notes": "<p></p>", "WB-species-checked": "testedAndGuaranteed", "WB-species-dilution-info": "", "WB-species-notes": "<p></p>" }, "Mouse": { "IHCP-species-checked": "predicted", "IHCP-species-dilution-info": "", "IHCP-species-notes": "", "ICCIF-species-checked": "notRecommended", "ICCIF-species-dilution-info": "", "ICCIF-species-notes": "", "FlowCyt-species-checked": "notRecommended", "FlowCyt-species-dilution-info": "", "FlowCyt-species-notes": "", "WB-species-checked": "predicted", "WB-species-dilution-info": "", "WB-species-notes": "" }, "Rat": { "IHCP-species-checked": "predicted", "IHCP-species-dilution-info": "", "IHCP-species-notes": "", "ICCIF-species-checked": "notRecommended", "ICCIF-species-dilution-info": "", "ICCIF-species-notes": "", "FlowCyt-species-checked": "notRecommended", "FlowCyt-species-dilution-info": "", "FlowCyt-species-notes": "", "WB-species-checked": "predicted", "WB-species-dilution-info": "", "WB-species-notes": "" } } }

Product details

ab248669 is the carrier-free version of ab134071.

Patented technology
Our RabMAb® technology is a patented hybridoma-based technology for making rabbit monoclonal antibodies. For details on our patents, please refer to RabMAb® patents.

What are the advantages of a recombinant monoclonal antibody?
This product is a recombinant monoclonal antibody, which offers several advantages including:

  • - High batch-to-batch consistency and reproducibility
  • - Improved sensitivity and specificity
  • - Long-term security of supply
  • - Animal-free batch production

For more information, read more on recombinant antibodies.

Conjugation ready
Our carrier-free antibodies are typically supplied in a PBS-only formulation, purified and free of BSA, sodium azide and glycerol. This conjugation-ready format is designed for use with fluorochromes, metal isotopes, oligonucleotides, and enzymes, which makes them ideal for antibody labelling, functional and cell-based assays, flow-based assays (e.g. mass cytometry) and Multiplex Imaging applications.

Use our conjugation kits for antibody conjugates that are ready-to-use in as little as 20 minutes with 1 minute hands-on-time and 100% antibody recovery: available for fluorescent dyes, HRP, biotin and gold.

Compatibility
This product is compatible with the Maxpar® Antibody Labeling Kit from Fluidigm, without the need for antibody preparation. Maxpar® is a trademark of Fluidigm Canada Inc.

Properties and storage information

Form
Liquid
Purification technique
Affinity purification Protein A
Storage buffer
pH: 7.2 - 7.4 Constituents: PBS
Shipped at conditions
Blue Ice
Appropriate short-term storage conditions
+4°C
Appropriate long-term storage conditions
+4°C
Storage information
Do Not Freeze

Supplementary information

This supplementary information is collated from multiple sources and compiled automatically.

Glucosidase 2 subunit beta also known as PRKCSH plays an important role in protein processing within the endoplasmic reticulum (ER). This protein forms part of the heterodimeric enzyme complex glucosidase II responsible for cleaving glucose molecules during glycoprotein maturation. With a molecular weight of about 60 kDa glucosidase 2 subunit beta is important for efficient N-linked glycosylation which is a fundamental process for protein folding and quality control. This protein localizes mainly to the ER where it contributes to proper cellular functions by aiding in the preparation of proteins for trafficking to their final destinations.
Biological function summary

Glucosidase 2 subunit beta is associated with protein maturation and quality control within the ER lumen. It is part of the glucosidase II complex which functions to trim glucose residues from N-linked oligosaccharides on nascent glycoproteins facilitating their proper folding and preventing misfolded proteins' accumulation. This activity ensures that only properly folded proteins progress through the secretory pathway while faulty proteins are targeted for degradation. Through these processes glucosidase 2 subunit beta supports cellular homeostasis and protein turnover.

Pathways

Glucosidase 2 subunit beta plays an influential role in the protein processing and ER-associated degradation (ERAD) pathways. The protein operates within these pathways to regulate glycoprotein folding impacting the unfolding protein response (UPR). It interacts with several proteins including calnexin and calreticulin which are key players in the glycoprotein folding process. Moreover the proper function of glucosidase 2 subunit beta in these pathways is necessary for maintaining the cellular stress response ultimately ensuring efficient cell function and survival.

Defects in glucosidase 2 subunit beta have links to autosomal dominant polycystic liver disease (PCLD). Mutations in PRKCSH which encodes glucosidase 2 subunit beta can lead to the development of PCLD due to disrupted glycoprotein folding and ER stress-induced apoptosis. Additionally abnormalities in its function may indirectly connect to diabetes mellitus by affecting insulin receptor glycosylation and secretion processes. These relationships illustrate the broader impact of glucosidase 2 subunit beta on health and disease providing insight into potential therapeutic targets for treatment strategies.

Product protocols

For this product, it's our understanding that no specific protocols are required. You can visit:

Target data

Regulatory subunit of glucosidase II that cleaves sequentially the 2 innermost alpha-1,3-linked glucose residues from the Glc(2)Man(9)GlcNAc(2) oligosaccharide precursor of immature glycoproteins (PubMed : 10929008). Required for efficient PKD1/Polycystin-1 biogenesis and trafficking to the plasma membrane of the primary cilia (By similarity).
See full target information PRKCSH

Publications (1)

Recent publications for all applications. Explore the full list and refine your search

Theranostics 12:4513-4535 PubMed35832075

2022

Blockade of phosphotyrosine pathways suggesting SH2 superbinder as a novel therapy for pulmonary fibrosis.

Applications

Unspecified application

Species

Unspecified reactive species

Meng Wang,An-Dong Liu,Qian Niu,Xiao Feng,Yuan-Yi Zheng,Shuai-Jun Chen,Hui Xu,Qian Li,Guo-Qing Hou,Xiao-Yang Bi,Yu-Zhi Lu,Pei-Pei Cheng,Li-Mei Liang,Ye-Han Jiang,Li-Qin Zhao,Fei Liu,Lin-Jie Song,Li-Ling Zhou,Ling-Yan Xiao,Feng Chen,Shawn Shun-Cheng Li,Wan-Li Ma,Xuan Cao,Hong Ye
View all publications

Product promise

We are committed to supporting your work with high-quality reagents, and we're here for you every step of the way. In the unlikely event that one of our products does not perform as expected, you're protected by our Product Promise.
For full details, please see our Terms & Conditions

Please note: All products are 'FOR RESEARCH USE ONLY. NOT FOR USE IN DIAGNOSTIC OR THERAPEUTIC PROCEDURES'.

For licensing inquiries, please contact partnerships@abcam.com