JavaScript is disabled in your browser. Please enable JavaScript to view this website.
AB236088

Anti-Glucuronic Acid Epimerase/GLCE antibody

Be the first to review this product! Submit a review

|

(1 Publication)

Rabbit Polyclonal Glucuronic Acid Epimerase/GLCE antibody. Suitable for WB, IHC-P and reacts with Rat, Mouse, Human samples. Cited in 1 publication. Immunogen corresponding to Recombinant Fragment Protein within Human GLCE aa 1 to C-terminus.

View Alternative Names

KIAA0836, GLCE, D-glucuronyl C5-epimerase, Heparan sulfate C5-epimerase, Heparin/heparan sulfate:glucuronic acid C5-epimerase, Heparosan-N-sulfate-glucuronate 5-epimerase, Hsepi

3 Images
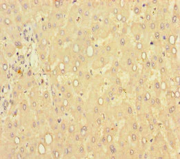
Immunohistochemistry (Formalin/PFA-fixed paraffin-embedded sections) - Anti-Glucuronic Acid Epimerase/GLCE antibody (AB236088)
  • IHC-P

Supplier Data

Immunohistochemistry (Formalin/PFA-fixed paraffin-embedded sections) - Anti-Glucuronic Acid Epimerase/GLCE antibody (AB236088)

Paraffin-embedded human liver tissue stained for Glucuronic Acid Epimerase/GLCE using ab236088 at 1/100 dilution in immunohistochemical analysis.

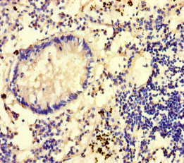
Immunohistochemistry (Formalin/PFA-fixed paraffin-embedded sections) - Anti-Glucuronic Acid Epimerase/GLCE antibody (AB236088)
  • IHC-P

Supplier Data

Immunohistochemistry (Formalin/PFA-fixed paraffin-embedded sections) - Anti-Glucuronic Acid Epimerase/GLCE antibody (AB236088)

Paraffin-embedded human appendix tissue stained for Glucuronic Acid Epimerase/GLCE using ab236088 at 1/100 dilution in immunohistochemical analysis.

Western blot - Anti-Glucuronic Acid Epimerase/GLCE antibody (AB236088)
  • WB

Supplier Data

Western blot - Anti-Glucuronic Acid Epimerase/GLCE antibody (AB236088)

All lanes:

Western blot - Anti-Glucuronic Acid Epimerase/GLCE antibody (ab236088) at 1/1000 dilution

Lane 1:

Rat liver lysate

Lane 2:

Mouse kidney lysate

Secondary

All lanes:

Goat polyclonal to Rabbit IgG at 1/10000 dilution

Predicted band size: 70 kDa

false

Key facts

Host species

Rabbit

Clonality

Polyclonal

Isotype

IgG

Carrier free

No

Reacts with

Mouse, Rat, Human

Applications

WB, IHC-P

applications

Immunogen

Recombinant Fragment Protein within Human GLCE aa 1 to C-terminus. The exact immunogen used to generate this antibody is proprietary information.

O94923

Reactivity data

{ "title": "Reactivity Data", "filters": { "stats": ["", "Species", "Dilution Info", "Notes"], "tabs": { "all-applications": {"fullname" : "All Applications", "shortname": "All Applications"}, "WB" : {"fullname" : "Western blot", "shortname":"WB"}, "IHCP" : {"fullname" : "Immunohistochemistry (Formalin/PFA-fixed paraffin-embedded sections)", "shortname":"IHC-P"} }, "product-promise": { "all": "all", "testedAndGuaranteed": "tested", "guaranteed": "expected", "predicted": "predicted", "notRecommended": "not-recommended" } }, "values": { "Human": { "WB-species-checked": "guaranteed", "WB-species-dilution-info": "", "WB-species-notes": "", "IHCP-species-checked": "testedAndGuaranteed", "IHCP-species-dilution-info": "1/20 - 1/200", "IHCP-species-notes": "<p></p>" }, "Mouse": { "WB-species-checked": "testedAndGuaranteed", "WB-species-dilution-info": "1/1000 - 1/5000", "WB-species-notes": "<p></p>", "IHCP-species-checked": "guaranteed", "IHCP-species-dilution-info": "", "IHCP-species-notes": "" }, "Rat": { "WB-species-checked": "testedAndGuaranteed", "WB-species-dilution-info": "1/1000 - 1/5000", "WB-species-notes": "<p></p>", "IHCP-species-checked": "guaranteed", "IHCP-species-dilution-info": "", "IHCP-species-notes": "" }, "Cow": { "WB-species-checked": "predicted", "WB-species-dilution-info": "", "WB-species-notes": "", "IHCP-species-checked": "predicted", "IHCP-species-dilution-info": "", "IHCP-species-notes": "" } } }

Properties and storage information

Form
Liquid
Purification technique
Affinity purification Protein G
Purification notes
Purity >95%.
Storage buffer
pH: 7.4 Preservative: 0.03% Proclin 300 Constituents: PBS, 50% Glycerol (glycerin, glycerine)
Shipped at conditions
Blue Ice
Appropriate short-term storage duration
1-2 weeks
Appropriate short-term storage conditions
+4°C
Appropriate long-term storage conditions
-20°C
Aliquoting information
Upon delivery aliquot
Storage information
Avoid freeze / thaw cycle

Supplementary information

This supplementary information is collated from multiple sources and compiled automatically.

Glucuronic Acid Epimerase also known as GLCE is an enzyme that epimerizes D-glucuronic acid to L-iduronic acid in the biosynthesis of glycosaminoglycans like heparan sulfate. This enzyme has a molecular mass of approximately 39 kDa. It is mainly expressed in human tissues such as liver kidney and placenta. Expression levels might vary slightly depending on the specific tissue but these are areas where significant enzyme activity is observed.
Biological function summary

Glucuronic Acid Epimerase plays an important role in the modification of glycosaminoglycans by changing the stereochemistry of uronic acid residues. This ability to alter sugar components is important for creating diverse structural and functional variations in heparan sulfate chains. Though not part of a larger protein complex GLCE's activity significantly affects the structural integrity and function of extracellular matrix components.

Pathways

Glucuronic Acid Epimerase is involved in the heparan sulfate biosynthesis pathway which is essential for cell signaling and interaction. The enzyme coordinates with other biosynthetic enzymes like N-deacetylase/N-sulfotransferase (NDST) to generate unique heparan sulfate structures. These structures mediate interactions with growth factors within the heparan sulfate biosynthesis and modification pathway.

Altered Glucuronic Acid Epimerase activity might influence pathological conditions such as cancer and cardiovascular diseases. Aberrant heparan sulfate structures linked to irregular GLCE function can contribute to tumor growth by affecting cell proliferation and angiogenesis. Additionally disorders like Ehlers-Danlos syndrome which also involves abnormal glycosaminoglycan metabolism might relate to GLCE activity. Interactions with proteins such as fibroblast growth factors (FGF) might influence these disease processes.

Product protocols

For this product, it's our understanding that no specific protocols are required. You can visit:

Target data

Converts D-glucuronic acid residues adjacent to N-sulfate sugar residues to L-iduronic acid residues, both in maturing heparan sulfate (HS) and heparin chains. This is important for further modifications that determine the specificity of interactions between these glycosaminoglycans and proteins.
See full target information GLCE

Publications (1)

Recent publications for all applications. Explore the full list and refine your search

Autophagy 21:530-547 PubMed39324484

2024

SMURF1 mediates damaged lysosomal homeostasis by ubiquitinating PPP3CB to promote the activation of TFEB.

Applications

Unspecified application

Species

Unspecified reactive species

Qin Xia,Xuan Liu,Lu Zhong,Jun Qu,Lei Dong
View all publications

Product promise

We are committed to supporting your work with high-quality reagents, and we're here for you every step of the way. In the unlikely event that one of our products does not perform as expected, you're protected by our Product Promise.
For full details, please see our Terms & Conditions

Please note: All products are 'FOR RESEARCH USE ONLY. NOT FOR USE IN DIAGNOSTIC OR THERAPEUTIC PROCEDURES'.

For licensing inquiries, please contact partnerships@abcam.com