JavaScript is disabled in your browser. Please enable JavaScript to view this website.
AB250610

Anti-GluN2C antibody [EPR18949] - BSA and Azide free

Be the first to review this product! Submit a review

|

(0 Publication)

Rabbit Recombinant Monoclonal GluN2C antibody. Carrier free. Suitable for WB and reacts with Mouse, Rat samples.

View Alternative Names

GluN2C, Glutamate [NMDA] receptor subunit epsilon-3, N-methyl D-aspartate receptor subtype 2C, NMDAR2C, NR2C, Grin2c

1 Images
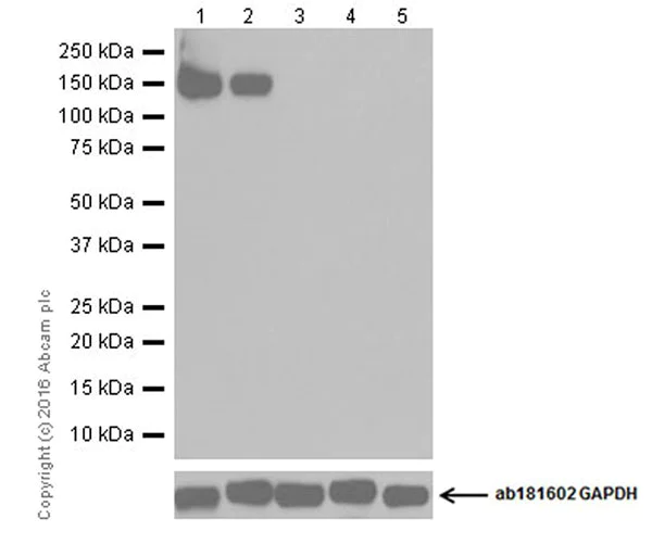
Western blot - Anti-GluN2C antibody [EPR18949] - BSA and Azide free (AB250610)
  • WB

Supplier Data

Western blot - Anti-GluN2C antibody [EPR18949] - BSA and Azide free (AB250610)

This data was developed using ab182278, the same antibody clone in a different buffer formulation.

Blocking and dilution buffer : 5% NFDM/TBST.

The molecular weight and tissue specificity is consistent with reference (PMID : 8987814).

All lanes:

Western blot - Anti-GluN2C antibody [EPR18949] (<a href='/en-us/products/primary-antibodies/glun2c-antibody-epr18949-ab182278'>ab182278</a>) at 1/1000 dilution

Lane 1:

Mouse cerebellum lysate at 20 µg

Lane 2:

Rat cerebellum lysate at 20 µg

Lane 3:

Mouse heart lysate at 20 µg

Lane 4:

Rat kidney lysate at 20 µg

Lane 5:

Neuro-2a (Mouse neuroblastoma cell line) whole cell lysate at 20 µg

Secondary

All lanes:

Western blot - Goat Anti-Rabbit IgG H&L (HRP) (<a href='/en-us/products/secondary-antibodies/goat-rabbit-igg-h-l-hrp-ab97051'>ab97051</a>) at 1/100000 dilution

Predicted band size: 134 kDa

Observed band size: 135 kDa

false

Exposure time: 3min

Key facts

Host species

Rabbit

Clonality

Monoclonal

Clone number

EPR18949

Isotype

IgG

Carrier free

Yes

Reacts with

Mouse, Rat

Applications

WB

applications

Immunogen

The exact immunogen used to generate this antibody is proprietary information.

Reactivity data

{ "title": "Reactivity Data", "filters": { "stats": ["", "Species", "Dilution Info", "Notes"], "tabs": { "all-applications": {"fullname" : "All Applications", "shortname": "All Applications"}, "WB" : {"fullname" : "Western blot", "shortname":"WB"} }, "product-promise": { "all": "all", "testedAndGuaranteed": "tested", "guaranteed": "expected", "predicted": "predicted", "notRecommended": "not-recommended" } }, "values": { "Mouse": { "WB-species-checked": "testedAndGuaranteed", "WB-species-dilution-info": "", "WB-species-notes": "<p></p>" }, "Rat": { "WB-species-checked": "testedAndGuaranteed", "WB-species-dilution-info": "", "WB-species-notes": "<p></p>" } } }

Product details

ab250610 is the carrier-free version of ab182278.

Patented technology
Our RabMAb® technology is a patented hybridoma-based technology for making rabbit monoclonal antibodies. For details on our patents, please refer to RabMAb® patents.

What are the advantages of a recombinant monoclonal antibody?
This product is a recombinant monoclonal antibody, which offers several advantages including:

  • - High batch-to-batch consistency and reproducibility
  • - Improved sensitivity and specificity
  • - Long-term security of supply
  • - Animal-free batch production

For more information, read more on recombinant antibodies.

Conjugation ready
Our carrier-free antibodies are typically supplied in a PBS-only formulation, purified and free of BSA, sodium azide and glycerol. This conjugation-ready format is designed for use with fluorochromes, metal isotopes, oligonucleotides, and enzymes, which makes them ideal for antibody labelling, functional and cell-based assays, flow-based assays (e.g. mass cytometry) and Multiplex Imaging applications.

Use our conjugation kits for antibody conjugates that are ready-to-use in as little as 20 minutes with 1 minute hands-on-time and 100% antibody recovery: available for fluorescent dyes, HRP, biotin and gold.

Compatibility
This product is compatible with the Maxpar® Antibody Labeling Kit from Fluidigm, without the need for antibody preparation. Maxpar® is a trademark of Fluidigm Canada Inc.

Properties and storage information

Form
Liquid
Purification technique
Affinity purification Protein A
Storage buffer
pH: 7.2 - 7.4 Constituents: PBS
Shipped at conditions
Blue Ice
Appropriate short-term storage conditions
+4°C
Appropriate long-term storage conditions
+4°C
Storage information
Do Not Freeze

Supplementary information

This supplementary information is collated from multiple sources and compiled automatically.

GluN2C also known as NR2C is a subunit of the NMDA (N-methyl-D-aspartate) receptor an important ion channel in the central nervous system. This protein with a molecular weight of approximately 140 kDa is mainly expressed in the cerebellum and certain thalamic regions of the brain. GluN2C forms part of the ligand-gated ion channels which are important for synaptic transmission and plasticity. By co-assembling with other subunits of NMDA receptors GluN2C plays a vital role in modulating the receptor's response to neurotransmitters like glutamate and glycine.
Biological function summary

NMDA receptors which include the GluN2C subunit perform important functions in calcium ion influx across the cell membrane when activated. This calcium signaling is important for processes such as neuronal development synaptic plasticity and cognitive functions like learning and memory. The NMDA receptor operates as a heterotetrameric complex typically assembled from two GluN1 and two GluN2 (or GluN3) subunits with GluN2C representing one of several variants of the GluN2 subunit.

Pathways

GluN2C plays a role in the glutamatergic signaling pathway which is critical for excitatory neurotransmission in the brain. This pathway includes interactions with proteins such as PSD-95 and CaMKII which are important for synaptic strength and plasticity. Another key pathway is the calcium signaling pathway where GluN2C contributes to calcium-mediated cellular responses influencing neuronal excitability and survival.

GluN2C has associations with neurological conditions like schizophrenia and cerebellar ataxia. Alterations in NMDA receptor function including changes involving the GluN2C subunit can lead to dysregulated synaptic signaling observed in these disorders. In schizophrenia the GluN2C-containing NMDA receptors may interact with synaptic proteins like PSD-95 potentially affecting synaptic architecture and neurotransmitter dynamics. In cerebellar ataxia disruptions in GluN2C expression or function could impair motor coordination emphasizing the importance of proper NMDA receptor function for neurological health.

Product protocols

For this product, it's our understanding that no specific protocols are required. You can visit:

Target data

Component of N-methyl-D-aspartate (NMDA) receptors (NMDARs) that function as heterotetrameric, ligand-gated cation channels with high calcium permeability and voltage-dependent block by Mg(2+) (PubMed : 1377365). Participates in synaptic plasticity for learning and memory formation by contributing to the slow phase of excitatory postsynaptic current and long-term synaptic potentiation (PubMed : 8987814). Channel activation requires binding of the neurotransmitter L-glutamate to the GluN2 subunit, glycine or D-serine binding to the GluN1 subunit, plus membrane depolarization to eliminate channel inhibition by Mg(2+) (PubMed : 1377365, PubMed : 7790891). NMDARs mediate simultaneously the potasium efflux and the influx of calcium and sodium (By similarity). Each GluN2 subunit confers differential attributes to channel properties, including activation, deactivation and desensitization kinetics, pH sensitivity, Ca2(+) permeability, and binding to allosteric modulators (PubMed : 1377365). Plays a role in regulating the balance between excitatory and inhibitory activity of pyramidal neurons in the prefrontal cortex (PubMed : 27922130).
See full target information Grin2c

Product promise

We are committed to supporting your work with high-quality reagents, and we're here for you every step of the way. In the unlikely event that one of our products does not perform as expected, you're protected by our Product Promise.
For full details, please see our Terms & Conditions

Please note: All products are 'FOR RESEARCH USE ONLY. NOT FOR USE IN DIAGNOSTIC OR THERAPEUTIC PROCEDURES'.

For licensing inquiries, please contact partnerships@abcam.com