JavaScript is disabled in your browser. Please enable JavaScript to view this website.
AB192831

Anti-GluN2C antibody [EPR19046]

Be the first to review this product! Submit a review

|

(2 Publications)

Rabbit Recombinant Monoclonal GluN2C antibody. Suitable for WB and reacts with Recombinant fragment - Mouse, Mouse, Rat samples. Cited in 2 publications.

View Alternative Names

GluN2C, Glutamate [NMDA] receptor subunit epsilon-3, N-methyl D-aspartate receptor subtype 2C, NMDAR2C, NR2C, Grin2c

2 Images
Western blot - Anti-GluN2C antibody [EPR19046] (AB192831)
  • WB

Supplier Data

Western blot - Anti-GluN2C antibody [EPR19046] (AB192831)

Blocking/Dilution buffer : 5% NFDM/TBST.

Exposure time : Lane 1 : 1 second; Lane 2 : 3 minutes.

Mouse GluN2C fragment recombinant protein contains aa300-499 with a His-Tag®. NMDAR2D fragment recombinant protein contains aa328-526 with a His-Tag®. These two recombinant proteins were made in-house. NMDAR2A and NMDAR2B were not tested, as bands of their size (180 kD) were not detected in tissue lysates.

All lanes:

Western blot - Anti-GluN2C antibody [EPR19046] (ab192831) at 1/1000 dilution

Lane 1:

Mouse GluN2C fragment recombinant protein at 0.01 µg

Lane 2:

Mouse NMDAR2D fragment recombinant protein at 0.01 µg

Secondary

All lanes:

Western blot - Goat Anti-Rabbit IgG H&L (HRP) (<a href='/en-us/products/secondary-antibodies/goat-rabbit-igg-h-l-hrp-ab97051'>ab97051</a>) at 1/100000 dilution

Predicted band size: 134 kDa,22 kDa

Observed band size: 22 kDa

false

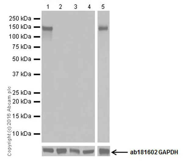
Western blot - Anti-GluN2C antibody [EPR19046] (AB192831)
  • WB

Supplier Data

Western blot - Anti-GluN2C antibody [EPR19046] (AB192831)

Blocking/Dilution buffer : 5% NFDM/TBST.

Exposure time : Lane 1,2,3 and 4 : 1 minute; Lane 5 : 15 seconds.

All lanes:

Western blot - Anti-GluN2C antibody [EPR19046] (ab192831) at 1/1000 dilution

Lane 1:

Mouse cerebellum lysate at 20 µg

Lane 2:

Mouse heart lysate at 20 µg

Lane 3:

C6 (Rat glial tumor cell line) whole cell lysate at 20 µg

Lane 4:

Rat liver lysate at 20 µg

Lane 5:

Rat cerebellum lysate at 20 µg

Secondary

All lanes:

Western blot - Goat Anti-Rabbit IgG H&L (HRP) (<a href='/en-us/products/secondary-antibodies/goat-rabbit-igg-h-l-hrp-ab97051'>ab97051</a>) at 1/100000 dilution

Predicted band size: 134 kDa

Observed band size: 135 kDa

false

  • Carrier free

    Anti-GluN2C antibody [EPR19046] - BSA and Azide free

Key facts

Host species

Rabbit

Clonality

Monoclonal

Clone number

EPR19046

Isotype

IgG

Carrier free

No

Reacts with

Mouse, Rat

Applications

WB

applications

Immunogen

The exact immunogen used to generate this antibody is proprietary information.

Reactivity data

{ "title": "Reactivity Data", "filters": { "stats": ["", "Species", "Dilution Info", "Notes"], "tabs": { "all-applications": {"fullname" : "All Applications", "shortname": "All Applications"}, "IHCFr" : {"fullname" : "Immunohistochemistry (Frozen sections)", "shortname":"IHC-Fr"}, "IHCP" : {"fullname" : "Immunohistochemistry (Formalin/PFA-fixed paraffin-embedded sections)", "shortname":"IHC-P"}, "WB" : {"fullname" : "Western blot", "shortname":"WB"} }, "product-promise": { "all": "all", "testedAndGuaranteed": "tested", "guaranteed": "expected", "predicted": "predicted", "notRecommended": "not-recommended" } }, "values": { "Mouse": { "IHCFr-species-checked": "notRecommended", "IHCFr-species-dilution-info": "", "IHCFr-species-notes": "<p></p>", "IHCP-species-checked": "notRecommended", "IHCP-species-dilution-info": "", "IHCP-species-notes": "<p></p>", "WB-species-checked": "testedAndGuaranteed", "WB-species-dilution-info": "1/1000", "WB-species-notes": "<p></p>" }, "Rat": { "IHCFr-species-checked": "notRecommended", "IHCFr-species-dilution-info": "", "IHCFr-species-notes": "<p></p>", "IHCP-species-checked": "notRecommended", "IHCP-species-dilution-info": "", "IHCP-species-notes": "<p></p>", "WB-species-checked": "testedAndGuaranteed", "WB-species-dilution-info": "1/1000", "WB-species-notes": "<p></p>" }, "Recombinant fragment - Mouse": { "IHCFr-species-checked": "notRecommended", "IHCFr-species-dilution-info": "", "IHCFr-species-notes": "", "IHCP-species-checked": "notRecommended", "IHCP-species-dilution-info": "", "IHCP-species-notes": "", "WB-species-checked": "testedAndGuaranteed", "WB-species-dilution-info": "1/1000", "WB-species-notes": "<p></p>" } } }

Product details

Patented technology
Our RabMAb® technology is a patented hybridoma-based technology for making rabbit monoclonal antibodies. For details on our patents, please refer to RabMAb® patents.

What are the advantages of a recombinant monoclonal antibody?
This product is a recombinant monoclonal antibody, which offers several advantages including:

  • - High batch-to-batch consistency and reproducibility
  • - Improved sensitivity and specificity
  • - Long-term security of supply
  • - Animal-free batch production

For more information, read more on recombinant antibodies.

Properties and storage information

Form
Liquid
Purification technique
Affinity purification Protein A
Storage buffer
pH: 7.2 - 7.4 Preservative: 0.01% Sodium azide Constituents: PBS, 40% Glycerol (glycerin, glycerine), 0.05% BSA
Shipped at conditions
Blue Ice
Appropriate short-term storage duration
1-2 weeks
Appropriate short-term storage conditions
+4°C
Appropriate long-term storage conditions
-20°C
Aliquoting information
Upon delivery aliquot
Storage information
Avoid freeze / thaw cycle

Supplementary information

This supplementary information is collated from multiple sources and compiled automatically.

GluN2C also known as NR2C is a subunit of the NMDA (N-methyl-D-aspartate) receptor an important ion channel in the central nervous system. This protein with a molecular weight of approximately 140 kDa is mainly expressed in the cerebellum and certain thalamic regions of the brain. GluN2C forms part of the ligand-gated ion channels which are important for synaptic transmission and plasticity. By co-assembling with other subunits of NMDA receptors GluN2C plays a vital role in modulating the receptor's response to neurotransmitters like glutamate and glycine.
Biological function summary

NMDA receptors which include the GluN2C subunit perform important functions in calcium ion influx across the cell membrane when activated. This calcium signaling is important for processes such as neuronal development synaptic plasticity and cognitive functions like learning and memory. The NMDA receptor operates as a heterotetrameric complex typically assembled from two GluN1 and two GluN2 (or GluN3) subunits with GluN2C representing one of several variants of the GluN2 subunit.

Pathways

GluN2C plays a role in the glutamatergic signaling pathway which is critical for excitatory neurotransmission in the brain. This pathway includes interactions with proteins such as PSD-95 and CaMKII which are important for synaptic strength and plasticity. Another key pathway is the calcium signaling pathway where GluN2C contributes to calcium-mediated cellular responses influencing neuronal excitability and survival.

GluN2C has associations with neurological conditions like schizophrenia and cerebellar ataxia. Alterations in NMDA receptor function including changes involving the GluN2C subunit can lead to dysregulated synaptic signaling observed in these disorders. In schizophrenia the GluN2C-containing NMDA receptors may interact with synaptic proteins like PSD-95 potentially affecting synaptic architecture and neurotransmitter dynamics. In cerebellar ataxia disruptions in GluN2C expression or function could impair motor coordination emphasizing the importance of proper NMDA receptor function for neurological health.

Product protocols

For this product, it's our understanding that no specific protocols are required. You can visit:

Target data

Component of N-methyl-D-aspartate (NMDA) receptors (NMDARs) that function as heterotetrameric, ligand-gated cation channels with high calcium permeability and voltage-dependent block by Mg(2+) (PubMed : 1377365). Participates in synaptic plasticity for learning and memory formation by contributing to the slow phase of excitatory postsynaptic current and long-term synaptic potentiation (PubMed : 8987814). Channel activation requires binding of the neurotransmitter L-glutamate to the GluN2 subunit, glycine or D-serine binding to the GluN1 subunit, plus membrane depolarization to eliminate channel inhibition by Mg(2+) (PubMed : 1377365, PubMed : 7790891). NMDARs mediate simultaneously the potasium efflux and the influx of calcium and sodium (By similarity). Each GluN2 subunit confers differential attributes to channel properties, including activation, deactivation and desensitization kinetics, pH sensitivity, Ca2(+) permeability, and binding to allosteric modulators (PubMed : 1377365). Plays a role in regulating the balance between excitatory and inhibitory activity of pyramidal neurons in the prefrontal cortex (PubMed : 27922130).
See full target information Grin2c

Publications (2)

Recent publications for all applications. Explore the full list and refine your search

Cells 13: PubMed39513900

2024

Thyroid Hormone Supplementation Restores Cognitive Deficit, Insulin Signaling, and Neuroinflammation in the Hippocampus of a Sporadic Alzheimer's-like Disease Rat Model.

Applications

Unspecified application

Species

Unspecified reactive species

Paulina Sepúlveda,Ana Flavia Fernandes Ferreira,Cristian Sandoval,Giovanna Bergoc,Ana Caroline Rippi Moreno,Maria Tereza Nunes,Andréa da Silva Torrão

International journal of molecular sciences 25: PubMed39337395

2024

Metabolomics-Based Study of the Protective Effect of 4-Hydroxybenzyl Alcohol on Ischemic Astrocytes.

Applications

Unspecified application

Species

Unspecified reactive species

Tian Xiao,Xingzhi Yu,Jie Tao,Liping Yang,Xiaohua Duan
View all publications

Product promise

We are committed to supporting your work with high-quality reagents, and we're here for you every step of the way. In the unlikely event that one of our products does not perform as expected, you're protected by our Product Promise.
For full details, please see our Terms & Conditions

Please note: All products are 'FOR RESEARCH USE ONLY. NOT FOR USE IN DIAGNOSTIC OR THERAPEUTIC PROCEDURES'.

For licensing inquiries, please contact partnerships@abcam.com