JavaScript is disabled in your browser. Please enable JavaScript to view this website.
AB302535

Anti-GluN3A+GluN3B antibody [EPR25287-45] (BSA and Azide free)

Be the first to review this product! Submit a review

|

(0 Publication)

Rabbit Recombinant Monoclonal NR3A antibody. Carrier free. Suitable for WB, IHC-P and reacts with Mouse, Rat samples.

View Alternative Names

Kiaa1973, Grin3a, GluN3A, N-methyl-D-aspartate receptor, N-methyl-D-aspartate receptor subtype 3A, NMDAR-L, NMDAR3A, NR3A

7 Images
Immunohistochemistry (Formalin/PFA-fixed paraffin-embedded sections) - Anti-GluN3A+GluN3B antibody [EPR25287-45] (BSA and Azide free) (AB302535)
  • IHC-P

Supplier Data

Immunohistochemistry (Formalin/PFA-fixed paraffin-embedded sections) - Anti-GluN3A+GluN3B antibody [EPR25287-45] (BSA and Azide free) (AB302535)

This data was developed using ab302534, the same antibody clone in a different buffer formulation. Immunohistochemical analysis of paraffin-embedded Mouse cardiac muscle tissue labeling GluN3A+GluN3B with ab302534 at 1/200 (2.75 ug/ml) followed by a ready to use LeicaDS9800 (Bond™ Polymer Refine Detection) was used. Negative control : No staining on mouse cardiac muscle.The section was incubated with ab302534 for 30 mins at room temperature.The immunostaining was performed on a Leica Biosystems BOND® RX instrument Counterstained with Hematoxylin. Secondary antibody only control : Secondary antibody is a ready to use LeicaDS9800 (Bond™ Polymer Refine Detection) was used. Heat mediated antigen retrieval with Citrate buffer (pH 6.0, epitope retrieval solution 1) for 20 mins

Immunohistochemistry (Formalin/PFA-fixed paraffin-embedded sections) - Anti-GluN3A+GluN3B antibody [EPR25287-45] (BSA and Azide free) (AB302535)
  • IHC-P

Supplier Data

Immunohistochemistry (Formalin/PFA-fixed paraffin-embedded sections) - Anti-GluN3A+GluN3B antibody [EPR25287-45] (BSA and Azide free) (AB302535)

This data was developed using ab302534, the same antibody clone in a different buffer formulation. Immunohistochemical analysis of paraffin-embedded Rat cerebrum tissue labeling GluN3A+GluN3B with ab302534 at 1/200 (2.75 ug/ml) followed by a ready to use LeicaDS9800 (Bond™ Polymer Refine Detection) was used. Postive staining on rat cerebrum (PMID : 7472412).The section was incubated with ab302534 for 30 mins at room temperature.The immunostaining was performed on a Leica Biosystems BOND® RX instrument Counterstained with Hematoxylin. Secondary antibody only control : Secondary antibody is a ready to use LeicaDS9800 (Bond™ Polymer Refine Detection) was used. Heat mediated antigen retrieval with Tris-EDTA buffer (pH 9.0, epitope retrieval solution2) for 20 mins

Immunohistochemistry (Formalin/PFA-fixed paraffin-embedded sections) - Anti-GluN3A+GluN3B antibody [EPR25287-45] (BSA and Azide free) (AB302535)
  • IHC-P

Supplier Data

Immunohistochemistry (Formalin/PFA-fixed paraffin-embedded sections) - Anti-GluN3A+GluN3B antibody [EPR25287-45] (BSA and Azide free) (AB302535)

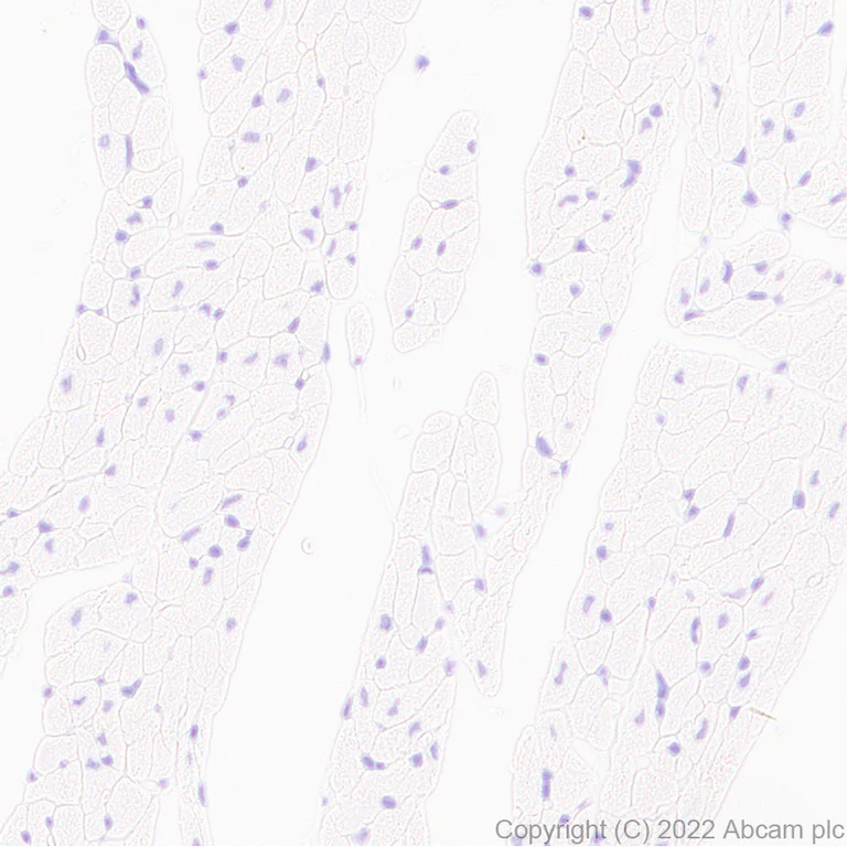
This data was developed using ab302534, the same antibody clone in a different buffer formulation. Immunohistochemical analysis of paraffin-embedded Rat cardiac muscle tissue labeling GluN3A+GluN3B with ab302534 at 1/200 (2.75 ug/ml) followed by a ready to use LeicaDS9800 (Bond™ Polymer Refine Detection) was used. Negative control : No staining on rat cardiac muscle.The section was incubated with ab302534 for 30 mins at room temperature.The immunostaining was performed on a Leica Biosystems BOND® RX instrument Counterstained with Hematoxylin. Secondary antibody only control : Secondary antibody is a ready to use LeicaDS9800 (Bond™ Polymer Refine Detection) was used. Heat mediated antigen retrieval with Citrate buffer (pH 6.0, epitope retrieval solution 1) for 20 mins

Immunohistochemistry (Formalin/PFA-fixed paraffin-embedded sections) - Anti-GluN3A+GluN3B antibody [EPR25287-45] (BSA and Azide free) (AB302535)
  • IHC-P

Supplier Data

Immunohistochemistry (Formalin/PFA-fixed paraffin-embedded sections) - Anti-GluN3A+GluN3B antibody [EPR25287-45] (BSA and Azide free) (AB302535)

This data was developed using ab302534, the same antibody clone in a different buffer formulation. Immunohistochemical analysis of paraffin-embedded Mouse cerebrum tissue labeling GluN3A+GluN3B with ab302534 at 1/200 (2.75 ug/ml) followed by a ready to use LeicaDS9800 (Bond™ Polymer Refine Detection) was used. Postive staining on mouse cerebrum (PMID : 7472412).The section was incubated with ab302534 for 30 mins at room temperature.The immunostaining was performed on a Leica Biosystems BOND® RX instrument Counterstained with Hematoxylin. Secondary antibody only control : Secondary antibody is a ready to use LeicaDS9800 (Bond™ Polymer Refine Detection) was used. Heat mediated antigen retrieval with Tris-EDTA buffer (pH 9.0, epitope retrieval solution2) for 20 mins

Western blot - Anti-GluN3A+GluN3B antibody [EPR25287-45] (BSA and Azide free) (AB302535)
  • WB

Supplier Data

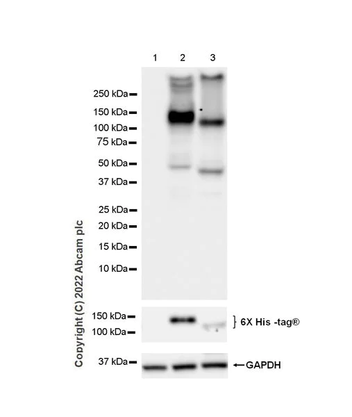
Western blot - Anti-GluN3A+GluN3B antibody [EPR25287-45] (BSA and Azide free) (AB302535)

This data was developed using ab302534, the same antibody clone in a different buffer formulation. Blocking and diluting buffer and concentration : 5% NFDM/TBST This antibody reacts with rat GluN3A and GluN3B. Samples are non-boiled as boiling may cause protein aggregates.

All lanes:

Western blot - Anti-GluN3A+GluN3B antibody [EPR25287-45] (<a href='/en-us/products/primary-antibodies/glun3aglun3b-antibody-epr25287-45-ab302534'>ab302534</a>) at 1/1000 dilution

Lane 1:

HEK-293T (human embryonic kidney epithelial cell) cells transfected with an empty vector containing a his tag, whole cell lysate, 20 µg

Lane 2:

HEK-293T cells transfected with a rat GluN3A expression vector containi a his tag, whole cell lysate, 20 µg

Lane 3:

HEK-293T cells transfected with a rat GluN3B expression vector containi a his tag, whole cell lysate, 20 µg

Secondary

All lanes:

Western blot - Goat Anti-Rabbit IgG H&L (HRP) (<a href='/en-us/products/secondary-antibodies/goat-rabbit-igg-h-l-hrp-ab97051'>ab97051</a>) at 1/100000 dilution

Observed band size: 130 kDa,125 kDa

false

Exposure time: 15s

Western blot - Anti-GluN3A+GluN3B antibody [EPR25287-45] (BSA and Azide free) (AB302535)
  • WB

Supplier Data

Western blot - Anti-GluN3A+GluN3B antibody [EPR25287-45] (BSA and Azide free) (AB302535)

This data was developed using ab302534, the same antibody clone in a different buffer formulation. Blocking and diluting buffer and concentration : 5% NFDM/TBST Negative controls : heart, spleen (PMID : 7472412) Samples are non-boiled as boiling may cause protein aggregates.

All lanes:

Western blot - Anti-GluN3A+GluN3B antibody [EPR25287-45] (<a href='/en-us/products/primary-antibodies/glun3aglun3b-antibody-epr25287-45-ab302534'>ab302534</a>) at 1/1000 dilution

Lane 1:

Mouse thalamus tissue lysate 20 µg

Lane 2:

Mouse P1 brain tissue lysate 20 µg

Lane 3:

Mouse heart tissue lysate 20 µg

Lane 4:

Mouse spleen tissue lysate 20 µg

Secondary

All lanes:

Goat Anti-Rabbit IgG (HRP) with minimal cross-reactivity with human IgG at 1/2000 dilution

Observed band size: 130 kDa

false

Exposure time: 3min

Western blot - Anti-GluN3A+GluN3B antibody [EPR25287-45] (BSA and Azide free) (AB302535)
  • WB

Supplier Data

Western blot - Anti-GluN3A+GluN3B antibody [EPR25287-45] (BSA and Azide free) (AB302535)

This data was developed using ab302534, the same antibody clone in a different buffer formulation.

Blocking and diluting buffer and concentration : 5% NFDM/TBST.

This blot was developed using a high sensitivity ECL substrate. The high-sensitivity ECL substrate used allows for the detection of proteins in the mid-femtogram range.

Negative controls : heart, spleen (PMID : 7472412)

Samples are non-boiled as boiling may cause protein aggregates.

All lanes:

Western blot - Anti-GluN3A+GluN3B antibody [EPR25287-45] (<a href='/en-us/products/primary-antibodies/glun3aglun3b-antibody-epr25287-45-ab302534'>ab302534</a>) at 1/1000 dilution

Lane 1:

Rat thalamus tissue lysate 20 µg

Lane 2:

Rat P0 brain tissue lysate 20 µg

Lane 3:

Rat heart tissue lysate 20 µg

Lane 4:

Rat spleen tissue lysate 20 µg

Secondary

All lanes:

Western blot - Goat Anti-Rabbit IgG H&L (HRP) (<a href='/en-us/products/secondary-antibodies/goat-rabbit-igg-h-l-hrp-ab97051'>ab97051</a>) at 1/100000 dilution

Observed band size: 130 kDa

true

Exposure time: 3min

Key facts

Host species

Rabbit

Clonality

Monoclonal

Clone number

EPR25287-45

Isotype

IgG

Carrier free

Yes

Reacts with

Mouse, Rat

Applications

WB, IHC-P

applications

Immunogen

The exact immunogen used to generate this antibody is proprietary information.

Specificity

The antibody exhibits low sensitivity when detecting rat samples. It is recommended to optimize experimental conditions by increasing the sample loading amount, using a lower antibody dilution ratio, and employing femtogram-level sensitivity substrates.

Reactivity data

{ "title": "Reactivity Data", "filters": { "stats": ["", "Species", "Dilution Info", "Notes"], "tabs": { "all-applications": {"fullname" : "All Applications", "shortname": "All Applications"}, "WB" : {"fullname" : "Western blot", "shortname":"WB"}, "IHCP" : {"fullname" : "Immunohistochemistry (Formalin/PFA-fixed paraffin-embedded sections)", "shortname":"IHC-P"}, "IHCFr" : {"fullname" : "Immunohistochemistry (Frozen sections)", "shortname":"IHC-Fr"}, "ICCIF" : {"fullname" : "Immunocytochemistry/ Immunofluorescence", "shortname":"ICC/IF"} }, "product-promise": { "all": "all", "testedAndGuaranteed": "tested", "guaranteed": "expected", "predicted": "predicted", "notRecommended": "not-recommended" } }, "values": { "Human": { "WB-species-checked": "notRecommended", "WB-species-dilution-info": "", "WB-species-notes": "<p></p>", "IHCP-species-checked": "notRecommended", "IHCP-species-dilution-info": "", "IHCP-species-notes": "<p></p>", "IHCFr-species-checked": "notRecommended", "IHCFr-species-dilution-info": "", "IHCFr-species-notes": "", "ICCIF-species-checked": "notRecommended", "ICCIF-species-dilution-info": "", "ICCIF-species-notes": "" }, "Mouse": { "WB-species-checked": "testedAndGuaranteed", "WB-species-dilution-info": "", "WB-species-notes": "<p></p>", "IHCP-species-checked": "testedAndGuaranteed", "IHCP-species-dilution-info": "", "IHCP-species-notes": "<p></p>", "IHCFr-species-checked": "notRecommended", "IHCFr-species-dilution-info": "", "IHCFr-species-notes": "<p></p>", "ICCIF-species-checked": "notRecommended", "ICCIF-species-dilution-info": "", "ICCIF-species-notes": "<p></p>" }, "Rat": { "WB-species-checked": "testedAndGuaranteed", "WB-species-dilution-info": "", "WB-species-notes": "<p>The antibody exhibits low sensitivity when detecting rat samples. It is recommended to optimize experimental conditions by increasing the sample loading amount, using a lower antibody dilution ratio, and employing femtogram-level sensitivity substrates.</p>", "IHCP-species-checked": "testedAndGuaranteed", "IHCP-species-dilution-info": "", "IHCP-species-notes": "<p></p>", "IHCFr-species-checked": "notRecommended", "IHCFr-species-dilution-info": "", "IHCFr-species-notes": "<p></p>", "ICCIF-species-checked": "notRecommended", "ICCIF-species-dilution-info": "", "ICCIF-species-notes": "<p></p>" } } }

Product details

Want a custom formulation?
This antibody clone is manufactured by Abcam. If you require a custom buffer formulation or conjugation for your experiments, please contact orders@abcam.com

Patented technology
Our RabMAb® technology is a patented hybridoma-based technology for making rabbit monoclonal antibodies. For details on our patents, please refer to RabMAb® patents.

What are the advantages of a recombinant monoclonal antibody?
This product is a recombinant monoclonal antibody, which offers several advantages including:

  • - High batch-to-batch consistency and reproducibility
  • - Improved sensitivity and specificity
  • - Long-term security of supply
  • - Animal-free batch production

For more information, read more on recombinant antibodies.

Conjugation ready
Our carrier-free antibodies are typically supplied in a PBS-only formulation, purified and free of BSA, sodium azide and glycerol. This conjugation-ready format is designed for use with fluorochromes, metal isotopes, oligonucleotides, and enzymes, which makes them ideal for antibody labelling, functional and cell-based assays, flow-based assays (e.g. mass cytometry) and Multiplex Imaging applications.

Use our conjugation kits for antibody conjugates that are ready-to-use in as little as 20 minutes with 1 minute hands-on-time and 100% antibody recovery: available for fluorescent dyes, HRP, biotin and gold.

Properties and storage information

Form
Liquid
Purification technique
Affinity purification Protein A
Storage buffer
pH: 7.2 - 7.4 Constituents: PBS
Shipped at conditions
Blue Ice
Appropriate short-term storage conditions
+4°C
Appropriate long-term storage conditions
+4°C

Supplementary information

This supplementary information is collated from multiple sources and compiled automatically.

The NR3A and NR3B also known as GluN3A and GluN3B are subunits of the NMDA receptor part of the ionotropic glutamate receptor family. They contain a molecular mass of approximately 129 kDa for NR3A and 130 kDa for NR3B. These subunits are expressed mainly in neurons within the central nervous system especially in the developing brain. Alongside the more common NR1 and NR2 subunits NR3 subunits play a unique regulatory role in NMDA receptor function and pharmacology.
Biological function summary

NR3A and NR3B modulate neuronal excitability by disrupting ion flow through the NMDA receptor channel acting as glycine-binding subunits. They integrate into NMDA receptor complexes with NR1 and NR2 subunits that form the receptor’s functional core. By altering calcium permeability and synaptic plasticity these subunits impact processes like learning and memory. The presence of NR3 subunits in the complex influences receptor properties reducing the excitatory response.

Pathways

NR3A and NR3B engage in the synaptic signaling and excitatory neurotransmission pathways which heavily depend on NMDA receptors. These pathways involve proteins such as NR1 and NR2 with which NR3 subunits interact to modulate synaptic transmission. The regulation of calcium influx and downstream signaling pathways including those impacting synaptic strength and plasticity is vital for various neuronal functions.

NR3A and NR3B influence neurodevelopmental and neurodegenerative conditions. Schizophrenia and Alzheimer's disease show links to dysregulated NMDA receptor activity with alterations in NR3 subunit expression playing a role. Research suggests that NR3-related modulation affects disease pathology and interactions with NR1 and NR2 subunits contribute to abnormal receptor function linked to these disorders. Studies focus on how targeting NR3 subunits may offer therapeutic avenues in such diseases.

Product protocols

For this product, it's our understanding that no specific protocols are required. You can visit:

Target data

Component of a non-conventional N-methyl-D-aspartate (NMDA) receptors (NMDARs) that function as heterotetrameric, ligand-gated cation channels with low calcium permeability and low voltage-dependent block by Mg(2+). During the development of neural circuits, participates in the synaptic refinement period, restricting spine maturation and growth (By similarity). Forms glutamatergic receptor complexes with GluN1 and GluN2 subunits which are activated by glycine binding to the GluN1 and GluN3 subunits and L-glutamate binding to GluN2 subunits (By similarity). Forms excitatory glycinergic receptor complexes with GluN1 alone which are activated by glycine binding to the GluN1 and GluN3 subunits (By similarity). GluN3A subunit also binds D-serine (By similarity). Each GluN3 subunit confers differential attributes to channel properties, including activation, deactivation and desensitization kinetics, pH sensitivity, Ca2(+) permeability, and binding to allosteric modulators (By similarity). By competing with GIT1 interaction with ARHGEF7/beta-PIX, may reduce GIT1/ARHGEF7-regulated local activation of RAC1, hence affecting signaling and limiting the maturation and growth of inactive synapses (PubMed : 24297929).
See full target information Grin3a

Additional targets

Grin3b,Grin3b,Grin3b

Product promise

We are committed to supporting your work with high-quality reagents, and we're here for you every step of the way. In the unlikely event that one of our products does not perform as expected, you're protected by our Product Promise.
For full details, please see our Terms & Conditions

Please note: All products are 'FOR RESEARCH USE ONLY. NOT FOR USE IN DIAGNOSTIC OR THERAPEUTIC PROCEDURES'.

For licensing inquiries, please contact partnerships@abcam.com