JavaScript is disabled in your browser. Please enable JavaScript to view this website.
AB202908

Anti-GLUT12 antibody

2

(2 Reviews)

|

(1 Publication)

Rabbit Polyclonal GLUT12 antibody. Suitable for Flow Cyt (Intra), IHC-P and reacts with Human, Mouse samples. Cited in 1 publication. Immunogen corresponding to Synthetic Peptide within Human SLC2A12 aa 250-350 conjugated to Keyhole Limpet Haemocyanin.

View Alternative Names

GLUT12, SLC2A12, Glucose transporter type 12, GLUT-12

2 Images
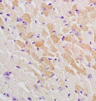
Immunohistochemistry (Formalin/PFA-fixed paraffin-embedded sections) - Anti-GLUT12 antibody (AB202908)
  • IHC-P

Supplier Data

Immunohistochemistry (Formalin/PFA-fixed paraffin-embedded sections) - Anti-GLUT12 antibody (AB202908)

Immunohistochemical analysis of formalin/PFA-fixed paraffin-embedded mouse heart tissue sections labeling GLUT12 with ab202908 at a 1/200 dilution, followed by conjugation to the secondary antibody and DAB staining.

Flow Cytometry (Intracellular) - Anti-GLUT12 antibody (AB202908)
  • Flow Cyt (Intra)

Supplier Data

Flow Cytometry (Intracellular) - Anti-GLUT12 antibody (AB202908)

Human LNCaP prostate cancer cells stained with ab202908 for 30 minutes at 4°C, followed by secondary antibody Alexa-Fluor 488 incubation for 30 minutes at 4°C in the dark.

Key facts

Host species

Rabbit

Clonality

Polyclonal

Isotype

IgG

Carrier free

No

Reacts with

Mouse, Human

Applications

IHC-P, Flow Cyt (Intra)

applications

Immunogen

Synthetic Peptide within Human SLC2A12 aa 250-350 conjugated to Keyhole Limpet Haemocyanin. The exact immunogen used to generate this antibody is proprietary information.

Q8TD20

Reactivity data

{ "title": "Reactivity Data", "filters": { "stats": ["", "Species", "Dilution Info", "Notes"], "tabs": { "all-applications": {"fullname" : "All Applications", "shortname": "All Applications"}, "FlowCytIntra" : {"fullname" : "Flow Cytometry (Intracellular)", "shortname":"Flow Cyt (Intra)"}, "IHCP" : {"fullname" : "Immunohistochemistry (Formalin/PFA-fixed paraffin-embedded sections)", "shortname":"IHC-P"} }, "product-promise": { "all": "all", "testedAndGuaranteed": "tested", "guaranteed": "expected", "predicted": "predicted", "notRecommended": "not-recommended" } }, "values": { "Human": { "FlowCytIntra-species-checked": "testedAndGuaranteed", "FlowCytIntra-species-dilution-info": "1/20 - 1/100", "FlowCytIntra-species-notes": "<p><a href='/en-us/products/primary-antibodies/rabbit-igg-polyclonal-isotype-control-chip-grade-ab171870'>ab171870</a> - Rabbit polyclonal IgG, is suitable for use as an isotype control with this antibody.</p>", "IHCP-species-checked": "guaranteed", "IHCP-species-dilution-info": "", "IHCP-species-notes": "" }, "Mouse": { "FlowCytIntra-species-checked": "guaranteed", "FlowCytIntra-species-dilution-info": "", "FlowCytIntra-species-notes": "", "IHCP-species-checked": "testedAndGuaranteed", "IHCP-species-dilution-info": "1/50 - 1/500", "IHCP-species-notes": "<p>Use at 1/50 - 1/200 with fluorescent detection methods.</p> Perform heat-mediated antigen retrieval with citrate buffer pH 6 before commencing with IHC staining protocol." } } }

Properties and storage information

Form
Liquid
Purification technique
Affinity purification Protein A
Storage buffer
pH: 7.4 Preservative: 0.02% Proclin 300 Constituents: 50% Glycerol (glycerin, glycerine), 48.98% TBS, 1X, 1% BSA
Shipped at conditions
Blue Ice
Appropriate short-term storage duration
1-2 weeks
Appropriate short-term storage conditions
+4°C
Appropriate long-term storage conditions
-20°C
Aliquoting information
Upon delivery aliquot
Storage information
Avoid freeze / thaw cycle

Supplementary information

This supplementary information is collated from multiple sources and compiled automatically.

GLUT12 also known as Glucose Transporter type 12 is a member of the solute carrier family 2 encoded by the SLC2A12 gene. This protein facilitates glucose transport across the cell membrane. GLUT12 is expressed in insulin-sensitive tissues like skeletal muscle adipose tissue and the small intestine. It has a molecular mass of approximately 65 kDa. This protein plays an important role in cellular energy balance by helping to regulate glucose uptake in response to metabolic needs.
Biological function summary

GLUT12 contributes to glucose homeostasis by modulating intracellular glucose levels. It is not known to be a part of a larger protein complex which distinguishes it among glucose transporters. GLUT12 expression can be influenced by insulin highlighting its role in insulin-mediated glucose uptake which is pivotal for maintaining normal cellular function in insulin-responsive tissues.

Pathways

GLUT12 is integral to the glucose transport pathway and the insulin signaling pathway. Within these pathways GLUT12 interacts with other glucose transporters like GLUT4 which further highlights its role in insulin-dependent glucose uptake in tissues such as muscle and fat. The regulation of GLUT12 activity could potentially impact the efficiency of glucose utilization in these metabolic pathways.

GLUT12 has been implicated in conditions like type 2 diabetes and certain cancers. In type 2 diabetes altered GLUT12 expression or function may contribute to impaired insulin signaling similar to disturbances seen with GLUT4. Furthermore GLUT12 expression levels can be modified in some cancer types where it may play a role in the metabolic adaptations that cancer cells undergo. Understanding how GLUT12 functions and interacts with other proteins within these contexts could offer insights into therapeutic strategies.

Product protocols

For this product, it's our understanding that no specific protocols are required. You can visit:

Target data

Insulin-independent facilitative glucose transporter.
See full target information SLC2A12

Publications (1)

Recent publications for all applications. Explore the full list and refine your search

Journal of cellular biochemistry 119:2900-2910 PubMed29091306

2017

Effects of apelin on retinal microglial cells in a rat model of oxygen-induced retinopathy of prematurity.

Applications

Unspecified application

Species

Unspecified reactive species

Wei Zhang,Ding-Guo Zhang,Xing Liang,Wei-Liang Zhang,Jing-Xue Ma
View all publications

Product promise

We are committed to supporting your work with high-quality reagents, and we're here for you every step of the way. In the unlikely event that one of our products does not perform as expected, you're protected by our Product Promise.
For full details, please see our Terms & Conditions

Please note: All products are 'FOR RESEARCH USE ONLY. NOT FOR USE IN DIAGNOSTIC OR THERAPEUTIC PROCEDURES'.

For licensing inquiries, please contact partnerships@abcam.com