JavaScript is disabled in your browser. Please enable JavaScript to view this website.
AB31232

Anti-Glutamate Receptor 1 (AMPA subtype) antibody

5

(9 Reviews)

|

(191 Publications)

Anti-Glutamate Receptor 1 (AMPA subtype) antibody (ab31232) is a rabbit polyclonal antibody detecting Glutamate Receptor 1 (AMPA subtype) in Western Blot, IHC-P. Suitable for Common marmoset, Mouse, Rat.

- Over 160 publications
- Trusted since 2006

View Alternative Names

GLUA1, GLUH1, GLUR1, GRIA1, Glutamate receptor 1, GluR-1, AMPA-selective glutamate receptor 1, GluR-A, GluR-K1

4 Images
Western blot - Anti-Glutamate Receptor 1 (AMPA subtype) antibody (AB31232)
  • WB

Ap

Western blot - Anti-Glutamate Receptor 1 (AMPA subtype) antibody (AB31232)

This blot was produced using a 4-12% Bis-tris gel under the MOPS buffer system. The gel was run at 200V for 50 minutes before being transferred onto a Nitrocellulose membrane at 30V for 70 minutes. The membrane was then blocked for an hour using 2% Bovine Serum Albumin before being incubated with ab31232 overnight at 4°C. Antibody binding was detected using an anti-rabbit antibody conjugated to HRP, and visualised using ECL development solution ab133406.

All lanes:

Western blot - Anti-Glutamate Receptor 1 (AMPA subtype) antibody (ab31232) at 1 µg/mL

Lane 1:

Brain (Mouse) Tissue Lysate at 10 µg

Lane 2:

Brain (Rat) Tissue Lysate at 10 µg

Secondary

All lanes:

Goat Anti-Rabbit IgG H&L (HRP) preadsorbed at 1/50000 dilution

Predicted band size: 102 kDa

Observed band size: 102 kDa,47 kDa

true

Exposure time: 20min

Immunohistochemistry (Formalin/PFA-fixed paraffin-embedded sections) - Anti-Glutamate Receptor 1 (AMPA subtype) antibody (AB31232)
  • IHC-P

AbReview17454****

Immunohistochemistry (Formalin/PFA-fixed paraffin-embedded sections) - Anti-Glutamate Receptor 1 (AMPA subtype) antibody (AB31232)

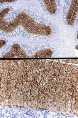
Immunohistochemistical detection of Glutamate Receptor 1 (AMPA subtype) with ab31232 on formaldehyde-fixed paraffin-embedded rat cerebellum sections. Antigen retrieval step : heat mediated in citric acid pH6. Blocking step : 1% BSA for 10 mins @ rt°C. Primary antibody was incubated at 1/200 for 2 hours @ room temp. Secondary antibody : anti-rabbit IgGs conjugated to biotin (1/200). The composite image shows localisation of this protein apparently exclusive to the molecular layer of the cerebellum upper image (low power). In the lower image (higher power), the molecular layer positivity appears to be compartmentalised/restricted.

This image is courtesy of Carl Hobbs, King's College London, United Kingdom

Immunohistochemistry (Formalin/PFA-fixed paraffin-embedded sections) - Anti-Glutamate Receptor 1 (AMPA subtype) antibody (AB31232)
  • IHC-P

Lab

Immunohistochemistry (Formalin/PFA-fixed paraffin-embedded sections) - Anti-Glutamate Receptor 1 (AMPA subtype) antibody (AB31232)

IHC image of Glutamate Receptor 1 (AMPA subtype) staining in a section of formalin-fixed paraffin-embedded normal rat brain performed on a Leica BONDTM system using the standard protocol F. The section was pre-treated using heat mediated antigen retrieval with sodium citrate buffer (pH6, epitope retrieval solution 1) for 20mins. The section was then incubated with ab31232, 1ug/ml, for 15 mins at room temperature and detected using an HRP conjugated compact polymer system. DAB was used as the chromogen. The section was then counterstained with haematoxylin and mounted with DPX.

For other IHC staining systems (automated and non-automated) customers should optimize variable parameters such as antigen retrieval conditions, primary antibody concentration and antibody incubation times.

Immunohistochemistry (Formalin/PFA-fixed paraffin-embedded sections) - Anti-Glutamate Receptor 1 (AMPA subtype) antibody (AB31232)
  • IHC-P

Collaborator

Immunohistochemistry (Formalin/PFA-fixed paraffin-embedded sections) - Anti-Glutamate Receptor 1 (AMPA subtype) antibody (AB31232)

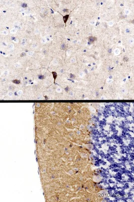
Immunohistochemistical detection of Glutamate Receptor 1 (AMPA subtype) with ab31232 on formaldehyde-fixed paraffin-embedded mouse brain sections. Antigen retrieval step : heat mediated in Citric acid pH6 buffer.Blocking step : 1%BSA for 10 mins @ rt°C. Primary antibody ab31232 incubated at 1/100 for 2 hours. Secondary antibody : anti-rabbit IgGs conjugated to biotin (1/200). The composite image shows immunostaining in cell bodies and processes of a subset of neurones in the mouse cortex (upper image) and also in the dendritic fields of the molecular layer of the mouse cerebellum (lower image). Purkinje cells of the cerebellum are negative but their primary processes are clearly delineated by a punctate membrane-region positivity. What appears to be small cells in close contact with the Purkinje cell bodies are strongly positive (perhaps these are basket cells).

This image is courtesy of Carl Hobbs, King's College London, United Kingdom

Key facts

Host species

Rabbit

Clonality

Polyclonal

Isotype

IgG

Carrier free

No

Reacts with

Mouse, Rat, Common marmoset

Applications

IHC-FoFr, WB, IHC-P

applications

Immunogen

The exact immunogen used to generate this antibody is proprietary information.

Specificity

Based on sequence analysis, ab31232 shares 100% homology with Human, Mouse and Rat Glutamate Receptor 1 (AMPA subtype), however we have been unable to demonstrate reactivity with human tissues in experiments. Abcam welcomes customer feedback and would appreciate any comments regarding this product.

Replenishment batches of our polyclonal antibody, ab31232 are tested in WB. Previous batches were additionally validated in IHC-FoFr and IHC-P. These applications are still expected to work and are covered by our Abpromise guarantee. You may also be interested in our alternative recombinant antibody, ab183797.

Reactivity data

{ "title": "Reactivity Data", "filters": { "stats": ["", "Species", "Dilution Info", "Notes"], "tabs": { "all-applications": {"fullname" : "All Applications", "shortname": "All Applications"}, "IHCP" : {"fullname" : "Immunohistochemistry (Formalin/PFA-fixed paraffin-embedded sections)", "shortname":"IHC-P"}, "WB" : {"fullname" : "Western blot", "shortname":"WB"}, "IHCFoFr" : {"fullname" : "Immunohistochemistry (PFA perfusion fixed frozen sections)", "shortname":"IHC-FoFr"} }, "product-promise": { "all": "all", "testedAndGuaranteed": "tested", "guaranteed": "expected", "predicted": "predicted", "notRecommended": "not-recommended" } }, "values": { "Human": { "IHCP-species-checked": "predicted", "IHCP-species-dilution-info": "", "IHCP-species-notes": "", "WB-species-checked": "predicted", "WB-species-dilution-info": "", "WB-species-notes": "", "IHCFoFr-species-checked": "predicted", "IHCFoFr-species-dilution-info": "", "IHCFoFr-species-notes": "" }, "Mouse": { "IHCP-species-checked": "testedAndGuaranteed", "IHCP-species-dilution-info": "5 µg/mL", "IHCP-species-notes": "<p></p> Perform heat-mediated antigen retrieval before commencing with IHC staining protocol.", "WB-species-checked": "testedAndGuaranteed", "WB-species-dilution-info": "1 µg/mL", "WB-species-notes": "<p></p>", "IHCFoFr-species-checked": "guaranteed", "IHCFoFr-species-dilution-info": "", "IHCFoFr-species-notes": "<p></p>" }, "Rat": { "IHCP-species-checked": "testedAndGuaranteed", "IHCP-species-dilution-info": "5 µg/mL", "IHCP-species-notes": "<p></p> Perform heat-mediated antigen retrieval before commencing with IHC staining protocol.", "WB-species-checked": "testedAndGuaranteed", "WB-species-dilution-info": "1 µg/mL", "WB-species-notes": "<p></p>", "IHCFoFr-species-checked": "guaranteed", "IHCFoFr-species-dilution-info": "", "IHCFoFr-species-notes": "<p></p>" }, "Common marmoset": { "IHCP-species-checked": "predicted", "IHCP-species-dilution-info": "", "IHCP-species-notes": "", "WB-species-checked": "predicted", "WB-species-dilution-info": "", "WB-species-notes": "", "IHCFoFr-species-checked": "guaranteed", "IHCFoFr-species-dilution-info": "", "IHCFoFr-species-notes": "<p></p>" }, "Monkey": { "IHCP-species-checked": "predicted", "IHCP-species-dilution-info": "", "IHCP-species-notes": "", "WB-species-checked": "predicted", "WB-species-dilution-info": "", "WB-species-notes": "", "IHCFoFr-species-checked": "predicted", "IHCFoFr-species-dilution-info": "", "IHCFoFr-species-notes": "" } } }

Product details

What is this antibody validated in?
Anti-Glutamate Receptor 1 (AMPA subtype) antibody (ab31232) is a rabbit polyclonal antibody and is validated for use in Western Blot (WB), Immunohistochemistry (IHC-P) in Common marmoset, Mouse, Rat samples.

Trusted by the scientific community
Anti-Glutamate Receptor 1 (AMPA subtype) (ab31232) was first used in a scientific publication in 2006 and has been cited over 160 times in peer-reviewed journals.

Reviewed by scientists
Anti-Glutamate Receptor 1 (AMPA subtype) (ab31232) has over 5 independent reviews from customers.

Properties and storage information

Form
Liquid
Purification technique
Affinity purification Immunogen
Storage buffer
pH: 7.4 Preservative: 0.02% Sodium azide Constituents: PBS, 1% BSA
Shipped at conditions
Blue Ice
Appropriate short-term storage duration
1-2 weeks
Appropriate short-term storage conditions
+4°C
Appropriate long-term storage conditions
-20°C
Aliquoting information
Upon delivery aliquot
Storage information
Avoid freeze / thaw cycle

Supplementary information

This supplementary information is collated from multiple sources and compiled automatically.

Glutamate Receptor 1 (AMPA subtype) also known as GluR1 is a subunit of the AMPA receptor complex which mediates fast synaptic transmission in the central nervous system. It is an ionotropic receptor for glutamate functioning by opening ion channels to allow the flow of Na+ and Ca2+ ions across the cell membrane contributing to excitatory neurotransmission. The GluR1 subunit has a molecular mass of approximately 100 kDa. This receptor is commonly expressed in the brain regions such as the hippocampus and the cerebral cortex playing an important role in synaptic plasticity and memory formation.
Biological function summary

The GluR1 subunit is an essential component of the AMPA receptor complex which typically forms as a tetramer. This complex modulates synaptic strength and plasticity processes critical for learning and memory. The activity of AMPA receptors including those containing GluR1 is regulated by several auxiliary proteins and is essential for post-synaptic responses. The GluR1 subunit also interacts with other proteins such as TARPs which modulate its trafficking and channel properties.

Pathways

The GluR1-containing AMPA receptors participate significantly in the glutamatergic signaling pathway which is vital for fast excitatory synaptic transmission in the brain. This pathway also involves the NMDA receptors which work together with AMPA receptors to regulate synaptic plasticity and neuronal communication. Additionally the GluR1 interacts within the long-term potentiation (LTP) pathway contributing to the strengthening of synapses an essential mechanism underlying learning and memory.

Dysfunction in GluR1 and associated AMPA receptors has been implicated in conditions like Alzheimer's disease and epilepsy. Alzheimer's disease exhibits decreased synaptic transmission and plasticity linked to impaired GluR1 function and its interactions with NMDA receptors. In epilepsy abnormal GluR1 activity may contribute to heightened neuronal excitability and seizure propagation. Targeting GluR1 or associated pathways offers potential for therapeutic interventions in these disorders possibly through drugs such as memantine and NBQX which modulate receptor activity.

Product protocols

For this product, it's our understanding that no specific protocols are required. You can visit:

Target data

Ionotropic glutamate receptor that functions as a ligand-gated cation channel, gated by L-glutamate and glutamatergic agonists such as alpha-amino-3-hydroxy-5-methyl-4-isoxazolepropionic acid (AMPA), quisqualic acid, and kainic acid (PubMed : 1311100, PubMed : 20805473, PubMed : 21172611, PubMed : 28628100, PubMed : 35675825). L-glutamate acts as an excitatory neurotransmitter at many synapses in the central nervous system. Binding of the excitatory neurotransmitter L-glutamate induces a conformation change, leading to the opening of the cation channel, and thereby converts the chemical signal to an electrical impulse upon entry of monovalent and divalent cations such as sodium and calcium. The receptor then desensitizes rapidly and enters in a transient inactive state, characterized by the presence of bound agonist (By similarity). In the presence of CACNG2 or CACNG4 or CACNG7 or CACNG8, shows resensitization which is characterized by a delayed accumulation of current flux upon continued application of L-glutamate (PubMed : 21172611). Resensitization is blocked by CNIH2 through interaction with CACNG8 in the CACNG8-containing AMPA receptors complex (PubMed : 21172611). Calcium (Ca(2+)) permeability depends on subunits composition and, heteromeric channels containing edited GRIA2 subunit are calcium-impermeable. Also permeable to other divalents cations such as strontium(2+) and magnesium(2+) and monovalent cations such as potassium(1+) and lithium(1+) (By similarity).
See full target information GRIA1

Publications (191)

Recent publications for all applications. Explore the full list and refine your search

Frontiers in molecular neuroscience 18:1635852 PubMed40771360

2025

Chronic reduction of synaptic proteins in the epileptogenic lesion of patients with hippocampal sclerosis.

Applications

Unspecified application

Species

Unspecified reactive species

Akiko Oota-Ishigaki,Nami Suzuki,Keiya Iijima,Yutaro Takayama,Yuiko Kimura,Kotaro Hattori,Masaki Iwasaki,Takashi Hayashi

Nature 641:427-437 PubMed40205038

2025

Stress dynamically modulates neuronal autophagy to gate depression onset.

Applications

Unspecified application

Species

Unspecified reactive species

Liang Yang,Chen Guo,Zhiwei Zheng,Yiyan Dong,Qifeng Xie,Zijian Lv,Min Li,Yangyang Lu,Xiaonan Guo,Rongshan Deng,Yiqin Liu,Yirong Feng,Ruiqi Mu,Xuliang Zhang,Huan Ma,Zhong Chen,Zhijun Zhang,Zhaoqi Dong,Wei Yang,Xiangnan Zhang,Yihui Cui

Cell biology and toxicology 41:38 PubMed39875576

2025

Esketamine alleviates depressive-like behavior in neuropathic pain mice through the METTL3-GluA1 pathway.

Applications

Unspecified application

Species

Unspecified reactive species

Xiaoming Ji,Zhimin Huang,Chenming Zhou,Yu Wang,Dongliang Geng,Guoliang Zhang,Yunxiao Kang,Rui Cui,Jinyang Wang,Tianyun Zhang

Frontiers in pharmacology 15:1451895 PubMed39834820

2025

Restraint stress effects on glutamate signaling protein levels in the rats' frontal cortex: Does β1 adrenoceptor activity matter?

Applications

Unspecified application

Species

Unspecified reactive species

Agnieszka Zelek-Molik,Anna Gądek-Michalska,Michał Wilczkowski,Adam Bielawski,Katarzyna Maziarz,Grzegorz Kreiner,Irena Nalepa

Neural regeneration research 20:3259-3272 PubMed39715097

2024

Glutamatergic CYLD deletion leads to aberrant excitatory activity in the basolateral amygdala: association with enhanced cued fear expression.

Applications

Unspecified application

Species

Unspecified reactive species

Huidong Li,Faqin Li,Zhaoyi Chen,Erwen Wu,Xiaoxi Dai,Danni Li,Haojie An,Shiyi Zeng,Chunyan Wang,Li Yang,Cheng Long

Molecular brain 17:87 PubMed39604975

2024

Loss of mitochondrial enzyme GPT2 leads to reprogramming of synaptic glutamate metabolism.

Applications

Unspecified application

Species

Unspecified reactive species

Ozan Baytas,Shawn M Davidson,Julie A Kauer,Eric M Morrow

Translational psychiatry 14:468 PubMed39521765

2024

Ketamine attenuates kidney damage and depression-like behaviors in mice with cisplatin-induced acute kidney injury.

Applications

Unspecified application

Species

Unspecified reactive species

Tianwen Huang,Yangyang He,Ruijuan Cheng,Qiuping Zhang,Xiang Zhong,Kenji Hashimoto,Yi Liu,Yaoyu Pu

Aging cell 24:e14365 PubMed39380362

2024

Hippocampal rejuvenation by a single intracerebral injection of one-carbon metabolites in C57BL6 old wild-type mice.

Applications

Unspecified application

Species

Unspecified reactive species

Alejandro Antón-Fernández,Rocío Peinado Cauchola,Félix Hernández,Jesús Ávila

Frontiers in behavioral neuroscience 18:1428146 PubMed39050700

2024

Dissecting the contribution of human chromosome 21 syntenic regions to recognition memory processes in adult and aged mouse models of Down syndrome.

Applications

Unspecified application

Species

Unspecified reactive species

Tara Canonica,Emma J Kidd,Dorota Gibbins,Eva Lana-Elola,Elizabeth M C Fisher,Victor L J Tybulewicz,Mark Good

Molecular psychiatry 29:3607-3622 PubMed38822069

2024

The ion channel TRPA1 is a modulator of the cocaine reward circuit in the nucleus accumbens.

Applications

Unspecified application

Species

Unspecified reactive species

Young-Jung Kim,Su Jeong Choi,Sa-Ik Hong,Jung-Cheol Park,Youyoung Lee,Shi-Xun Ma,Kwang-Hyun Hur,Young Lee,Kyeong-Man Kim,Hyung Kyu Kim,Hee Young Kim,Seok-Yong Lee,Se-Young Choi,Choon-Gon Jang
View all publications

Product promise

We are committed to supporting your work with high-quality reagents, and we're here for you every step of the way. In the unlikely event that one of our products does not perform as expected, you're protected by our Product Promise.
For full details, please see our Terms & Conditions

Please note: All products are 'FOR RESEARCH USE ONLY. NOT FOR USE IN DIAGNOSTIC OR THERAPEUTIC PROCEDURES'.

For licensing inquiries, please contact partnerships@abcam.com