JavaScript is disabled in your browser. Please enable JavaScript to view this website.
AB250709

Anti-Glutamate Receptor 1 (AMPA subtype) antibody [EPR19522] - BSA and Azide free

Be the first to review this product! Submit a review

|

(0 Publication)

Rabbit Recombinant Monoclonal Glutamate Receptor 1 (AMPA subtype) antibody. Carrier free. Suitable for IP, WB, IHC-Fr, IHC-P and reacts with Mouse, Human, Rat, Recombinant fragment - Mouse samples.

View Alternative Names

GLUA1, GLUH1, GLUR1, GRIA1, Glutamate receptor 1, GluR-1, AMPA-selective glutamate receptor 1, GluR-A, GluR-K1

10 Images
Immunohistochemistry (Formalin/PFA-fixed paraffin-embedded sections) - Anti-Glutamate Receptor 1 (AMPA subtype) antibody [EPR19522] - BSA and Azide free (AB250709)
  • IHC-P

Supplier Data

Immunohistochemistry (Formalin/PFA-fixed paraffin-embedded sections) - Anti-Glutamate Receptor 1 (AMPA subtype) antibody [EPR19522] - BSA and Azide free (AB250709)

This data was developed using ab183797, the same antibody clone in a different buffer formulation.

Immunohistochemical analysis of paraffin-embedded Mouse hippocampus tissue labeling Glutamate Receptor 1 (AMPA subtype) with ab183797 at 1/100 dilution, followed by Goat Anti-Rabbit IgG H&L (HRP) (ab97051) at 1/500 dilution. Cytoplasm staining on mouse hippocampus was observed [PMID : 15723058]. Counter stained with Hematoxylin.

Secondary antibody only control : Used PBS instead of primary antibody, secondary antibody is ab97051 at 1/500 dilution.

Perform heat mediated antigen retrieval with Tris/EDTA buffer pH 9.0 before commencing with IHC staining protocol.

Immunohistochemistry (Formalin/PFA-fixed paraffin-embedded sections) - Anti-Glutamate Receptor 1 (AMPA subtype) antibody [EPR19522] - BSA and Azide free (AB250709)
  • IHC-P

Supplier Data

Immunohistochemistry (Formalin/PFA-fixed paraffin-embedded sections) - Anti-Glutamate Receptor 1 (AMPA subtype) antibody [EPR19522] - BSA and Azide free (AB250709)

This data was developed using ab183797, the same antibody clone in a different buffer formulation.

Immunohistochemical analysis of paraffin-embedded Rat stomach tissue labeling Glutamate Receptor 1 (AMPA subtype) with ab183797 at 1/100 dilution, followed by Goat Anti-Rabbit IgG H&L (HRP) (ab97051) at 1/500 dilution. No staining on rat stomach is observed. Counter stained with Hematoxylin.

Perform heat mediated antigen retrieval with Tris/EDTA buffer pH 9.0 before commencing with IHC staining protocol.

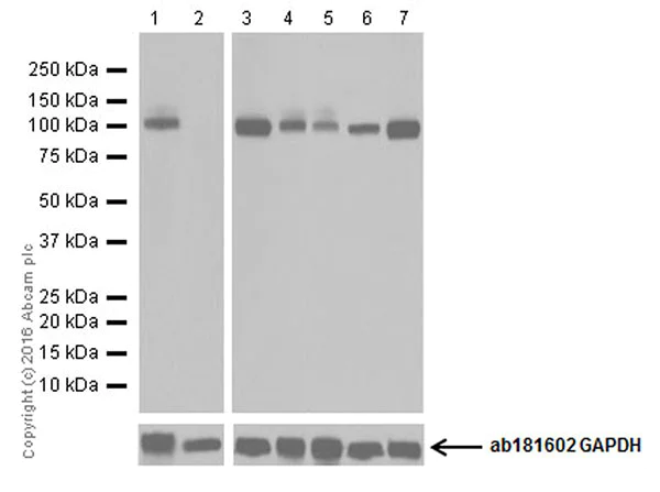
Western blot - Anti-Glutamate Receptor 1 (AMPA subtype) antibody [EPR19522] - BSA and Azide free (AB250709)
  • WB

Supplier Data

Western blot - Anti-Glutamate Receptor 1 (AMPA subtype) antibody [EPR19522] - BSA and Azide free (AB250709)

This data was developed using ab183797, the same antibody clone in a different buffer formulation.

Blocking and dilution buffer : 5% NFDM/TBST.

Exposure times : Lanes 1-2 : 30 seconds; Lanes 3-7 : 15 seconds.

Rodent Glutamate Receptor 1 is widely expressed in brain and represents the predominant excitatory neurotransmitter system but not in liver.

Negative control : Rat liver (PMID : 2480522).

All lanes:

Western blot - Anti-Glutamate Receptor 1 (AMPA subtype) antibody [EPR19522] (<a href='/en-us/products/primary-antibodies/glutamate-receptor-1-ampa-subtype-antibody-epr19522-ab183797'>ab183797</a>) at 1/1000 dilution

Lane 1:

Mouse brain lysate at 20 µg

Lane 2:

Rat liver lysate at 20 µg

Lane 3:

Mouse hippocampus lysate at 20 µg

Lane 4:

Mouse cerebellum lysate at 20 µg

Lane 5:

Rat brain lysate at 20 µg

Lane 6:

Rat cerebellum lysate at 20 µg

Lane 7:

Rat hippocampus lysate at 20 µg

Secondary

All lanes:

Western blot - Goat Anti-Rabbit IgG H&L (HRP) (<a href='/en-us/products/secondary-antibodies/goat-rabbit-igg-h-l-hrp-ab97051'>ab97051</a>) at 1/100000 dilution

Predicted band size: 102 kDa

Observed band size: 102 kDa

false

Immunohistochemistry (Frozen sections) - Anti-Glutamate Receptor 1 (AMPA subtype) antibody [EPR19522] - BSA and Azide free (AB250709)
  • IHC-Fr

Supplier Data

Immunohistochemistry (Frozen sections) - Anti-Glutamate Receptor 1 (AMPA subtype) antibody [EPR19522] - BSA and Azide free (AB250709)

This data was developed using ab183797, the same antibody clone in a different buffer formulation.

Immunohistochemical analysis of 4% paraformaldehyde-fixed, 0.2% Triton X-100 permeabilized frozen Mouse hippocampus tissue labeling Glutamate Receptor 1 (AMPA subtype) with ab183797 at 1/100 dilution, followed by Goat Anti-Rabbit IgG (Alexa Fluor® 488) (ab150077) secondary antibody at 1/1000 dilution (green). Cytoplasm staining on mouse hippocampus was observed. The nuclear counterstain is DAPI (blue).

Secondary antibody only control : Used PBS instead of primary antibody, secondary antibody is ab150077 at 1/1000 dilution.

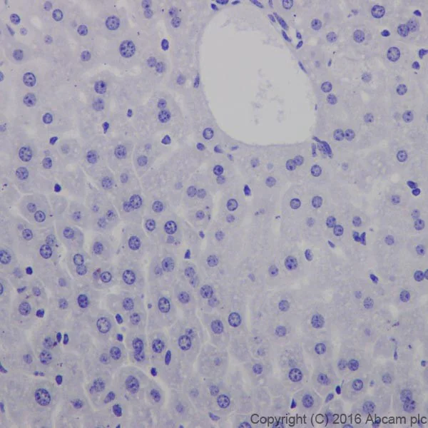
Immunohistochemistry (Formalin/PFA-fixed paraffin-embedded sections) - Anti-Glutamate Receptor 1 (AMPA subtype) antibody [EPR19522] - BSA and Azide free (AB250709)
  • IHC-P

Supplier Data

Immunohistochemistry (Formalin/PFA-fixed paraffin-embedded sections) - Anti-Glutamate Receptor 1 (AMPA subtype) antibody [EPR19522] - BSA and Azide free (AB250709)

This data was developed using ab183797, the same antibody clone in a different buffer formulation.

Immunohistochemical analysis of paraffin-embedded Mouse liver tissue labeling Glutamate Receptor 1 (AMPA subtype) with ab183797 at 1/100 dilution, followed by Goat Anti-Rabbit IgG H&L (HRP) (ab97051) at 1/500 dilution. No staining on mouse liver is observed. Counter stained with Hematoxylin.

Perform heat mediated antigen retrieval with Tris/EDTA buffer pH 9.0 before commencing with IHC staining protocol.

Immunohistochemistry (Frozen sections) - Anti-Glutamate Receptor 1 (AMPA subtype) antibody [EPR19522] - BSA and Azide free (AB250709)
  • IHC-Fr

Supplier Data

Immunohistochemistry (Frozen sections) - Anti-Glutamate Receptor 1 (AMPA subtype) antibody [EPR19522] - BSA and Azide free (AB250709)

This data was developed using ab183797, the same antibody clone in a different buffer formulation.

Immunohistochemical analysis of 4% paraformaldehyde-fixed, 0.2% Triton X-100 permeabilized frozen Mouse hippocampus tissue labeling Glutamate Receptor 1 (AMPA subtype) with ab183797 at 1/100 dilution, followed by Goat anti-rabbit IgG (Alexa Fluor® 488) (ab150077) secondary antibody at 1/1000 dilution (green). Cytoplasm staining on mouse hippocampus was observed. The nuclear counterstain is DAPI (blue).

Secondary antibody only control : Used PBS instead of primary antibody, secondary antibody is ab150077 secondary antibody at 1/1000 dilution.

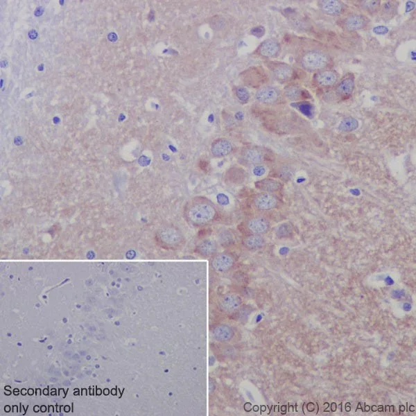
Immunohistochemistry (Formalin/PFA-fixed paraffin-embedded sections) - Anti-Glutamate Receptor 1 (AMPA subtype) antibody [EPR19522] - BSA and Azide free (AB250709)
  • IHC-P

Supplier Data

Immunohistochemistry (Formalin/PFA-fixed paraffin-embedded sections) - Anti-Glutamate Receptor 1 (AMPA subtype) antibody [EPR19522] - BSA and Azide free (AB250709)

This data was developed using ab183797, the same antibody clone in a different buffer formulation.

Immunohistochemical analysis of paraffin-embedded Rat hippocampus tissue labeling Glutamate Receptor 1 (AMPA subtype) with ab183797 at 1/100 dilution, followed by Goat Anti-Rabbit IgG H&L (HRP) (ab97051) at 1/500 dilution. Cytoplasm staining on rat hippocampus is observed [PMID : 15723058]. Counter stained with Hematoxylin.

Secondary antibody only control : Used PBS instead of primary antibody, secondary antibody is ab97051 at 1/500 dilution.

Perform heat mediated antigen retrieval with Tris/EDTA buffer pH 9.0 before commencing with IHC staining protocol.

Immunoprecipitation - Anti-Glutamate Receptor 1 (AMPA subtype) antibody [EPR19522] - BSA and Azide free (AB250709)
  • IP

Supplier Data

Immunoprecipitation - Anti-Glutamate Receptor 1 (AMPA subtype) antibody [EPR19522] - BSA and Azide free (AB250709)

This data was developed using ab183797, the same antibody clone in a different buffer formulation.

Glutamate Receptor 1 (AMPA subtype) was immunoprecipitated from 0.35 mg of Mouse brain whole cell lysate with ab183797 at 1/30 dilution. Western blot was performed from the immunoprecipitate using ab183797 at 1/1000 dilution. VeriBlot for IP Detection Reaction (HRP) (ab131366), was used for detection at 1/10000 dilution.

Lane 1 : Mouse brain whole cell lysate, 10ug (Input).
Lane 2 : ab183797 IP in Mouse brain whole cell lysate.
Lane 3 : Rabbit IgG,monoclonal [EPR25A]-Isotype Control (ab172730) instead of ab183797 in Mouse brain whole cell lysate.

Blocking and dilution buffer and concentration : 5% NFDM/TBST.

Exposure time : 3 minutes.

All lanes:

Immunoprecipitation - Anti-Glutamate Receptor 1 (AMPA subtype) antibody [EPR19522] (<a href='/en-us/products/primary-antibodies/glutamate-receptor-1-ampa-subtype-antibody-epr19522-ab183797'>ab183797</a>)

Predicted band size: 102 kDa

false

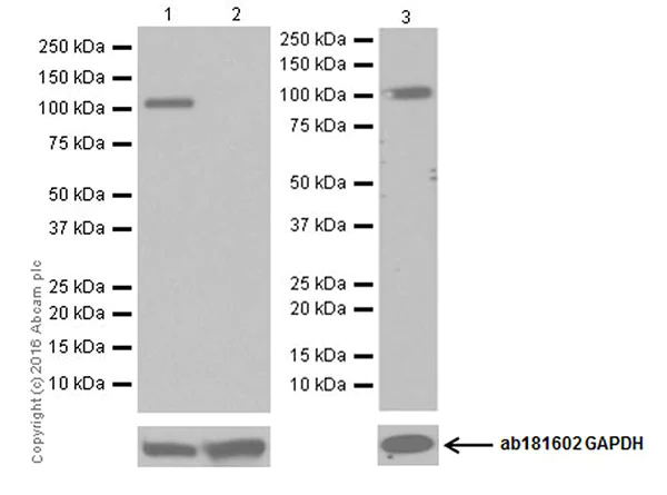
Western blot - Anti-Glutamate Receptor 1 (AMPA subtype) antibody [EPR19522] - BSA and Azide free (AB250709)
  • WB

Supplier Data

Western blot - Anti-Glutamate Receptor 1 (AMPA subtype) antibody [EPR19522] - BSA and Azide free (AB250709)

This data was developed using ab183797, the same antibody clone in a different buffer formulation.

Blocking and dilution buffer : 5% NFDM/TBST.

Human Glutamate Receptor 1 is widely expressed in brain and represents the predominant excitatory neurotransmitter system but not in muscle.

Negative control : human muscle (PMID : 1652753).

All lanes:

Western blot - Anti-Glutamate Receptor 1 (AMPA subtype) antibody [EPR19522] (<a href='/en-us/products/primary-antibodies/glutamate-receptor-1-ampa-subtype-antibody-epr19522-ab183797'>ab183797</a>) at 1/1000 dilution

Lane 1:

Human cerebellum lysate at 20 µg

Lane 2:

Human muscle lysate at 20 µg

Lane 3:

Human fetal brain lysate at 20 µg

Secondary

All lanes:

Goat Anti-Rabbit IgG Peroxidase Conjugate, specific to the non-reduced form of IgG at 1/10000 dilution

Predicted band size: 102 kDa

Observed band size: 102 kDa

false

Exposure time: 3min

Western blot - Anti-Glutamate Receptor 1 (AMPA subtype) antibody [EPR19522] - BSA and Azide free (AB250709)
  • WB

Supplier Data

Western blot - Anti-Glutamate Receptor 1 (AMPA subtype) antibody [EPR19522] - BSA and Azide free (AB250709)

This data was developed using ab183797, the same antibody clone in a different buffer formulation.

Blocking and dilution buffer : 5% NFDM/TBST.

Exposure times : Lane 1 : 2 seconds; Lane 2 : 3 minutes.

Mouse Glutamate Receptor 1 fragment recombinant protein contains aa19-184 with a GST/His-Tag®. Mouse Glutamate Receptor 2 fragment recombinant protein contains aa25-288 with a His-Tag®.

All lanes:

Western blot - Anti-Glutamate Receptor 1 (AMPA subtype) antibody [EPR19522] (<a href='/en-us/products/primary-antibodies/glutamate-receptor-1-ampa-subtype-antibody-epr19522-ab183797'>ab183797</a>) at 1/5000 dilution

Lane 1:

Mouse Glutamate Receptor 1 fragment recombinant protein at 0.01 µg

Lane 2:

Mouse Glutamate Receptor 2 fragment recombinant protein at 0.01 µg

Secondary

All lanes:

Western blot - Goat Anti-Rabbit IgG H&L (HRP) (<a href='/en-us/products/secondary-antibodies/goat-rabbit-igg-h-l-hrp-ab97051'>ab97051</a>) at 1/100000 dilution

Predicted band size: 102 kDa

false

  • Unconjugated

    Anti-Glutamate Receptor 1 (AMPA subtype) antibody [EPR19522]

Key facts

Host species

Rabbit

Clonality

Monoclonal

Clone number

EPR19522

Isotype

IgG

Carrier free

Yes

Reacts with

Mouse, Rat, Human

Applications

IHC-P, IHC-Fr, WB, IP

applications

Immunogen

The exact immunogen used to generate this antibody is proprietary information.

Reactivity data

{ "title": "Reactivity Data", "filters": { "stats": ["", "Species", "Dilution Info", "Notes"], "tabs": { "all-applications": {"fullname" : "All Applications", "shortname": "All Applications"}, "IP" : {"fullname" : "Immunoprecipitation", "shortname":"IP"}, "WB" : {"fullname" : "Western blot", "shortname":"WB"}, "IHCFr" : {"fullname" : "Immunohistochemistry (Frozen sections)", "shortname":"IHC-Fr"}, "IHCP" : {"fullname" : "Immunohistochemistry (Formalin/PFA-fixed paraffin-embedded sections)", "shortname":"IHC-P"} }, "product-promise": { "all": "all", "testedAndGuaranteed": "tested", "guaranteed": "expected", "predicted": "predicted", "notRecommended": "not-recommended" } }, "values": { "Human": { "IP-species-checked": "guaranteed", "IP-species-dilution-info": "", "IP-species-notes": "", "WB-species-checked": "testedAndGuaranteed", "WB-species-dilution-info": "", "WB-species-notes": "<p></p>", "IHCFr-species-checked": "guaranteed", "IHCFr-species-dilution-info": "", "IHCFr-species-notes": "", "IHCP-species-checked": "testedAndGuaranteed", "IHCP-species-dilution-info": "", "IHCP-species-notes": "<p>IHC is recommended for mouse and rat only.</p> Perform heat-mediated antigen retrieval with Tris/EDTA buffer pH 9.0 before commencing with IHC staining protocol." }, "Mouse": { "IP-species-checked": "testedAndGuaranteed", "IP-species-dilution-info": "", "IP-species-notes": "<p></p> Perform heat-mediated antigen retrieval with Tris/EDTA buffer pH 9.0 before commencing with IHC staining protocol.", "WB-species-checked": "testedAndGuaranteed", "WB-species-dilution-info": "", "WB-species-notes": "<p></p>", "IHCFr-species-checked": "testedAndGuaranteed", "IHCFr-species-dilution-info": "", "IHCFr-species-notes": "<p>Antigen retrieval: Heated citrate solution (10mM citrate pH 6.0 + 0.05% Tween-20). IHC is recommended for mouse and rat only.</p>", "IHCP-species-checked": "guaranteed", "IHCP-species-dilution-info": "", "IHCP-species-notes": "" }, "Rat": { "IP-species-checked": "guaranteed", "IP-species-dilution-info": "", "IP-species-notes": "", "WB-species-checked": "testedAndGuaranteed", "WB-species-dilution-info": "", "WB-species-notes": "<p></p>", "IHCFr-species-checked": "guaranteed", "IHCFr-species-dilution-info": "", "IHCFr-species-notes": "", "IHCP-species-checked": "testedAndGuaranteed", "IHCP-species-dilution-info": "", "IHCP-species-notes": "<p>IHC is recommended for mouse and rat only.</p> Perform heat-mediated antigen retrieval with Tris/EDTA buffer pH 9.0 before commencing with IHC staining protocol." }, "Recombinant fragment - Mouse": { "IP-species-checked": "notRecommended", "IP-species-dilution-info": "", "IP-species-notes": "", "WB-species-checked": "testedAndGuaranteed", "WB-species-dilution-info": "", "WB-species-notes": "<p></p>", "IHCFr-species-checked": "notRecommended", "IHCFr-species-dilution-info": "", "IHCFr-species-notes": "", "IHCP-species-checked": "notRecommended", "IHCP-species-dilution-info": "", "IHCP-species-notes": "" } } }

Product details

ab250709 is the carrier-free version of ab183797.

Patented technology
Our RabMAb® technology is a patented hybridoma-based technology for making rabbit monoclonal antibodies. For details on our patents, please refer to RabMAb® patents.

What are the advantages of a recombinant monoclonal antibody?
This product is a recombinant monoclonal antibody, which offers several advantages including:

  • - High batch-to-batch consistency and reproducibility
  • - Improved sensitivity and specificity
  • - Long-term security of supply
  • - Animal-free batch production

For more information, read more on recombinant antibodies.

Conjugation ready
Our carrier-free antibodies are typically supplied in a PBS-only formulation, purified and free of BSA, sodium azide and glycerol. This conjugation-ready format is designed for use with fluorochromes, metal isotopes, oligonucleotides, and enzymes, which makes them ideal for antibody labelling, functional and cell-based assays, flow-based assays (e.g. mass cytometry) and Multiplex Imaging applications.

Use our conjugation kits for antibody conjugates that are ready-to-use in as little as 20 minutes with 1 minute hands-on-time and 100% antibody recovery: available for fluorescent dyes, HRP, biotin and gold.

Compatibility
This product is compatible with the Maxpar® Antibody Labeling Kit from Fluidigm, without the need for antibody preparation. Maxpar® is a trademark of Fluidigm Canada Inc.

Properties and storage information

Form
Liquid
Purification technique
Affinity purification Protein A
Storage buffer
pH: 7.2 - 7.4 Constituents: PBS
Shipped at conditions
Blue Ice
Appropriate short-term storage conditions
+4°C
Appropriate long-term storage conditions
+4°C
Storage information
Do Not Freeze

Supplementary information

This supplementary information is collated from multiple sources and compiled automatically.

Glutamate Receptor 1 (AMPA subtype) also known as GluR1 is a subunit of the AMPA receptor complex which mediates fast synaptic transmission in the central nervous system. It is an ionotropic receptor for glutamate functioning by opening ion channels to allow the flow of Na+ and Ca2+ ions across the cell membrane contributing to excitatory neurotransmission. The GluR1 subunit has a molecular mass of approximately 100 kDa. This receptor is commonly expressed in the brain regions such as the hippocampus and the cerebral cortex playing an important role in synaptic plasticity and memory formation.
Biological function summary

The GluR1 subunit is an essential component of the AMPA receptor complex which typically forms as a tetramer. This complex modulates synaptic strength and plasticity processes critical for learning and memory. The activity of AMPA receptors including those containing GluR1 is regulated by several auxiliary proteins and is essential for post-synaptic responses. The GluR1 subunit also interacts with other proteins such as TARPs which modulate its trafficking and channel properties.

Pathways

The GluR1-containing AMPA receptors participate significantly in the glutamatergic signaling pathway which is vital for fast excitatory synaptic transmission in the brain. This pathway also involves the NMDA receptors which work together with AMPA receptors to regulate synaptic plasticity and neuronal communication. Additionally the GluR1 interacts within the long-term potentiation (LTP) pathway contributing to the strengthening of synapses an essential mechanism underlying learning and memory.

Dysfunction in GluR1 and associated AMPA receptors has been implicated in conditions like Alzheimer's disease and epilepsy. Alzheimer's disease exhibits decreased synaptic transmission and plasticity linked to impaired GluR1 function and its interactions with NMDA receptors. In epilepsy abnormal GluR1 activity may contribute to heightened neuronal excitability and seizure propagation. Targeting GluR1 or associated pathways offers potential for therapeutic interventions in these disorders possibly through drugs such as memantine and NBQX which modulate receptor activity.

Product protocols

For this product, it's our understanding that no specific protocols are required. You can visit:

Target data

Ionotropic glutamate receptor that functions as a ligand-gated cation channel, gated by L-glutamate and glutamatergic agonists such as alpha-amino-3-hydroxy-5-methyl-4-isoxazolepropionic acid (AMPA), quisqualic acid, and kainic acid (PubMed : 1311100, PubMed : 20805473, PubMed : 21172611, PubMed : 28628100, PubMed : 35675825). L-glutamate acts as an excitatory neurotransmitter at many synapses in the central nervous system. Binding of the excitatory neurotransmitter L-glutamate induces a conformation change, leading to the opening of the cation channel, and thereby converts the chemical signal to an electrical impulse upon entry of monovalent and divalent cations such as sodium and calcium. The receptor then desensitizes rapidly and enters in a transient inactive state, characterized by the presence of bound agonist (By similarity). In the presence of CACNG2 or CACNG4 or CACNG7 or CACNG8, shows resensitization which is characterized by a delayed accumulation of current flux upon continued application of L-glutamate (PubMed : 21172611). Resensitization is blocked by CNIH2 through interaction with CACNG8 in the CACNG8-containing AMPA receptors complex (PubMed : 21172611). Calcium (Ca(2+)) permeability depends on subunits composition and, heteromeric channels containing edited GRIA2 subunit are calcium-impermeable. Also permeable to other divalents cations such as strontium(2+) and magnesium(2+) and monovalent cations such as potassium(1+) and lithium(1+) (By similarity).
See full target information GRIA1

Product promise

We are committed to supporting your work with high-quality reagents, and we're here for you every step of the way. In the unlikely event that one of our products does not perform as expected, you're protected by our Product Promise.
For full details, please see our Terms & Conditions

Associated Products

Select an associated product type
Alternative Product
Primary Antibodies

AB31232

Anti-Glutamate Receptor 1 (AMPA subtype) antibody

primary-antibodies

glutamate-receptor-1-ampa-subtype-antibody-ab31232

5

(9 reviews)

Please note: All products are 'FOR RESEARCH USE ONLY. NOT FOR USE IN DIAGNOSTIC OR THERAPEUTIC PROCEDURES'.

For licensing inquiries, please contact partnerships@abcam.com