JavaScript is disabled in your browser. Please enable JavaScript to view this website.
AB280206

Anti-Glutamate receptor 4 antibody [EPR24283-69] - BSA and Azide free

Be the first to review this product! Submit a review

|

(0 Publication)

Rabbit Recombinant Monoclonal GluA4 antibody. Carrier free. Suitable for WB, IHC-P and reacts with Mouse, Rat, Human samples.

View Alternative Names

GluA4, GLUR4, GRIA4, Glutamate receptor 4, GluR-4, GluR4, AMPA-selective glutamate receptor 4, GluR-D

7 Images
Immunohistochemistry (Formalin/PFA-fixed paraffin-embedded sections) - Anti-Glutamate receptor 4 antibody [EPR24283-69] - BSA and Azide free (AB280206)
  • IHC-P

Supplier Data

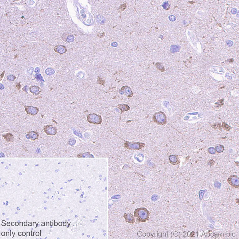
Immunohistochemistry (Formalin/PFA-fixed paraffin-embedded sections) - Anti-Glutamate receptor 4 antibody [EPR24283-69] - BSA and Azide free (AB280206)

This data was developed using ab280199, the same antibody clone in a different buffer formulation.

Immunohistochemical analysis of paraffin-embedded Human cerebrum tissue labeling Glutamate receptor 4 with ab280199 at 1/500 dilution followed by a ready to use Rabbit specific IHC polymer detection kit HRP/DAB (ab209101). Positive staining on human cerebrum. The section was incubated with ab280199 for 30 mins at room temperature. The immunostaining was performed on a Leica Biosystems BOND® RX instrument Counterstained with Hematoxylin.

Secondary antibody only control : Secondary antibody is a ready to use Rabbit specific IHC polymer detection kit HRP/DAB (ab209101).

Heat mediated antigen retrieval with Tris-EDTA buffer (pH 9.0, epitope retrieval solution2) for 20 mins

Immunohistochemistry (Formalin/PFA-fixed paraffin-embedded sections) - Anti-Glutamate receptor 4 antibody [EPR24283-69] - BSA and Azide free (AB280206)
  • IHC-P

Supplier Data

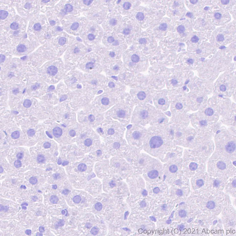
Immunohistochemistry (Formalin/PFA-fixed paraffin-embedded sections) - Anti-Glutamate receptor 4 antibody [EPR24283-69] - BSA and Azide free (AB280206)

This data was developed using ab280199, the same antibody clone in a different buffer formulation.

Immunohistochemical analysis of paraffin-embedded Mouse liver tissue labeling Glutamate receptor 4 with ab280199 at 1/2000 dilution followed by a ready to use Rabbit specific IHC polymer detection kit HRP/DAB (ab209101). Negative control : No staining on mouse liver. (PMID : 1372042) The section was incubated with ab280199 for 30 mins at room temperature. The immunostaining was performed on a Leica Biosystems BOND® RX instrument Counterstained with Hematoxylin.

Secondary antibody only control : Secondary antibody is a ready to use Rabbit specific IHC polymer detection kit HRP/DAB (ab209101).

Heat mediated antigen retrieval with Tris-EDTA buffer (pH 9.0, epitope retrieval solution2) for 20 mins

Immunohistochemistry (Formalin/PFA-fixed paraffin-embedded sections) - Anti-Glutamate receptor 4 antibody [EPR24283-69] - BSA and Azide free (AB280206)
  • IHC-P

Supplier Data

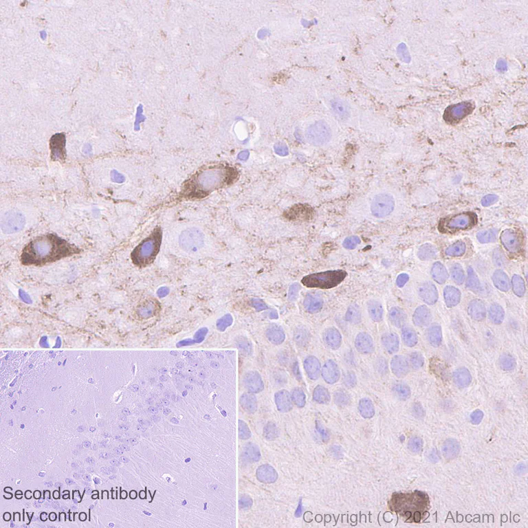
Immunohistochemistry (Formalin/PFA-fixed paraffin-embedded sections) - Anti-Glutamate receptor 4 antibody [EPR24283-69] - BSA and Azide free (AB280206)

This data was developed using ab280199, the same antibody clone in a different buffer formulation.

Immunohistochemical analysis of paraffin-embedded Mouse cerebrum tissue labeling Glutamate receptor 4 with ab280199 at 1/2000 dilution followed by a ready to use Rabbit specific IHC polymer detection kit HRP/DAB (ab209101). Positive staining on mouse cerebrum. (PMID : 20662939) The section was incubated with ab280199 for 30 mins at room temperature. The immunostaining was performed on a Leica Biosystems BOND® RX instrument Counterstained with Hematoxylin.

Secondary antibody only control : Secondary antibody is a ready to use Rabbit specific IHC polymer detection kit HRP/DAB (ab209101).

Heat mediated antigen retrieval with Tris-EDTA buffer (pH 9.0, epitope retrieval solution2) for 20 mins

Immunohistochemistry (Formalin/PFA-fixed paraffin-embedded sections) - Anti-Glutamate receptor 4 antibody [EPR24283-69] - BSA and Azide free (AB280206)
  • IHC-P

Supplier Data

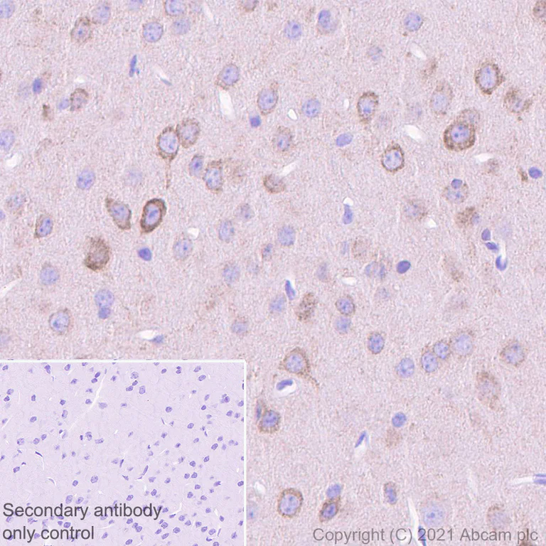
Immunohistochemistry (Formalin/PFA-fixed paraffin-embedded sections) - Anti-Glutamate receptor 4 antibody [EPR24283-69] - BSA and Azide free (AB280206)

This data was developed using ab280199, the same antibody clone in a different buffer formulation.

Immunohistochemical analysis of paraffin-embedded Rat cerebrum tissue labeling Glutamate receptor 4 with ab280199 at 1/2000 dilution followed by a ready to use Rabbit specific IHC polymer detection kit HRP/DAB (ab209101). Positive staining on rat cerebrum. The section was incubated with ab280199 for 30 mins at room temperature. The immunostaining was performed on a Leica Biosystems BOND® RX instrument Counterstained with Hematoxylin.

Secondary antibody only control : Secondary antibody is a ready to use Rabbit specific IHC polymer detection kit HRP/DAB (ab209101).

Heat mediated antigen retrieval with Tris-EDTA buffer (pH 9.0, epitope retrieval solution2) for 20 mins

Western blot - Anti-Glutamate receptor 4 antibody [EPR24283-69] - BSA and Azide free (AB280206)
  • WB

Lab

Western blot - Anti-Glutamate receptor 4 antibody [EPR24283-69] - BSA and Azide free (AB280206)

This data was developed using ab280199, the same antibody clone in a different buffer formulation.

Blocking and diluting buffer and concentration : 5% NFDM/TBST

Samples are non-boiled as boiling may cause protein aggregates.

The expression pattern is consistent to previous reports (PMID : 12657691, PMID : 26985043, PMID : 20549383)

Negative control : human liver (PMID : 1372042)

Exposure time : 3.25 seconds

All lanes:

Western blot - Anti-Glutamate receptor 4 antibody [EPR24283-69] (<a href='/en-us/products/primary-antibodies/glutamate-receptor-4-antibody-epr24283-69-ab280199'>ab280199</a>) at 1/1000 dilution

Lane 1:

Human cerebellum tissue lysate at 20 µg

Lane 2:

Human liver tissue lysate at 40 µg

Secondary

All lanes:

Goat Anti-Rabbit IgG (HRP) with minimal cross-reactivity with human IgG at 1/2000 dilution

Predicted band size: 101 kDa

Observed band size: 100 kDa

false

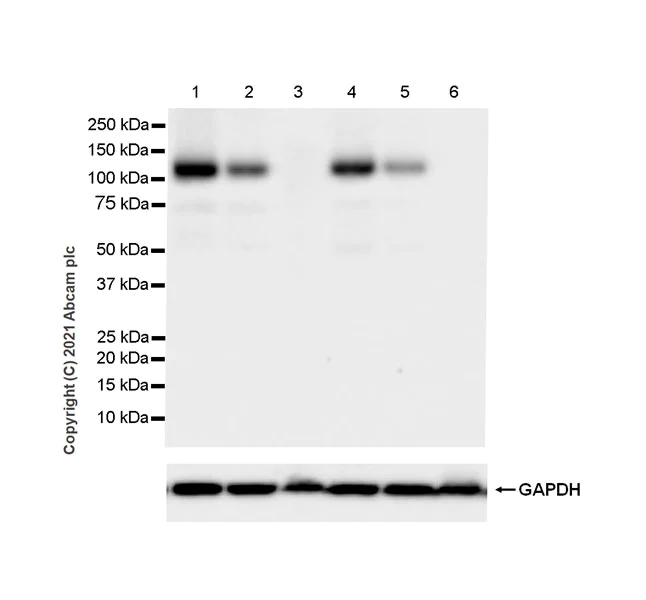
Western blot - Anti-Glutamate receptor 4 antibody [EPR24283-69] - BSA and Azide free (AB280206)
  • WB

Lab

Western blot - Anti-Glutamate receptor 4 antibody [EPR24283-69] - BSA and Azide free (AB280206)

This data was developed using ab280199, the same antibody clone in a different buffer formulation.

Blocking and diluting buffer and concentration : 5% NFDM/TBST

Samples are non-boiled as boiling may cause protein aggregates.

The expression pattern is consistent to previous reports (PMID : 12657691, PMID : 26985043, PMID : 20549383)

Negative control : liver (PMID : 1372042)

Exposure time : 7.75 seconds

All lanes:

Western blot - Anti-Glutamate receptor 4 antibody [EPR24283-69] (<a href='/en-us/products/primary-antibodies/glutamate-receptor-4-antibody-epr24283-69-ab280199'>ab280199</a>) at 1/1000 dilution

Lane 1:

Rat cerebellum tissue lysate at 20 µg

Lane 2:

Rat brain tissue lysate at 20 µg

Lane 3:

Rat liver tissue lysate at 40 µg

Lane 4:

Mouse cerebellum tissue lysate at 20 µg

Lane 5:

Mouse brain tissue lysate at 20 µg

Lane 6:

Mouse liver tissue lysate at 40 µg

Secondary

All lanes:

Western blot - Goat Anti-Rabbit IgG H&L (HRP) (<a href='/en-us/products/secondary-antibodies/goat-rabbit-igg-h-l-hrp-ab97051'>ab97051</a>) at 1/50000 dilution

Predicted band size: 101 kDa

Observed band size: 100 kDa

false

Western blot - Anti-Glutamate receptor 4 antibody [EPR24283-69] - BSA and Azide free (AB280206)
  • WB

Lab

Western blot - Anti-Glutamate receptor 4 antibody [EPR24283-69] - BSA and Azide free (AB280206)

This data was developed using ab280199, the same antibody clone in a different buffer formulation.

Blocking and diluting buffer and concentration : 5% NFDM/TBST

In Western blot, Anti-Myc tag antibody [9E10] - Loading Control (ab32) staining at 1/10000 dilution.

This antibody does weak cross-react with Human GRIA1 and not cross-react with Human GRIA2 and GRIA3.

Exposure time : ab280199 : 40s, ab32 : 80s.

All lanes:

Western blot - Anti-Glutamate receptor 4 antibody [EPR24283-69] (<a href='/en-us/products/primary-antibodies/glutamate-receptor-4-antibody-epr24283-69-ab280199'>ab280199</a>) at 1/5000 dilution

Lane 1:

293T transfected with an empty vector (vector control), containing a myc-His-tag®, whole cell lysate at 20 µg

Lane 2:

293T transfected with Human fragment GRIA2 expression vector containing a c-term myc-His-tag®, whole cell lysate at 20 µg

Lane 3:

293T transfected with Human full length GRIA3 expression vector containing a n-term myc-His-tag®, whole cell lysate at 20 µg

Lane 4:

293T transfected with human full length GRIA4 expression vector containing a c-term myc-His-tag®, whole cell lysate at 20 µg

Lane 5:

Recombinant Human full length GRIA1 Protein containing a C-Myc/DDK tag at 100 ng

Secondary

Lanes 1 - 5:

Western blot - Goat Anti-Rabbit IgG H&L (HRP) (<a href='/en-us/products/secondary-antibodies/goat-rabbit-igg-h-l-hrp-ab97051'>ab97051</a>) at 1/100000 dilution

Lanes 1 - 5:

Goat anti-mouse IgG (H+L), Peroxidase conjugated at 1/10000 dilution

Observed band size: 100 kDa

false

  • Unconjugated

    Anti-Glutamate receptor 4 antibody [EPR24283-69]

Key facts

Host species

Rabbit

Clonality

Monoclonal

Clone number

EPR24283-69

Isotype

IgG

Carrier free

Yes

Reacts with

Mouse, Rat, Human

Applications

WB, IHC-P

applications

Immunogen

The exact immunogen used to generate this antibody is proprietary information.

Specificity

This antibody weakly cross-reacts with Human GRIA1 but does not cross-react with Human GRIA2 and GRIA3.

Reactivity data

{ "title": "Reactivity Data", "filters": { "stats": ["", "Species", "Dilution Info", "Notes"], "tabs": { "all-applications": {"fullname" : "All Applications", "shortname": "All Applications"}, "ICCIF" : {"fullname" : "Immunocytochemistry/ Immunofluorescence", "shortname":"ICC/IF"}, "IP" : {"fullname" : "Immunoprecipitation", "shortname":"IP"}, "FlowCyt" : {"fullname" : "Flow Cytometry", "shortname":"Flow Cyt"}, "WB" : {"fullname" : "Western blot", "shortname":"WB"}, "IHCP" : {"fullname" : "Immunohistochemistry (Formalin/PFA-fixed paraffin-embedded sections)", "shortname":"IHC-P"}, "IHCFr" : {"fullname" : "Immunohistochemistry (Frozen sections)", "shortname":"IHC-Fr"} }, "product-promise": { "all": "all", "testedAndGuaranteed": "tested", "guaranteed": "expected", "predicted": "predicted", "notRecommended": "not-recommended" } }, "values": { "Human": { "ICCIF-species-checked": "notRecommended", "ICCIF-species-dilution-info": "", "ICCIF-species-notes": "<p></p>", "IP-species-checked": "notRecommended", "IP-species-dilution-info": "", "IP-species-notes": "<p></p>", "FlowCyt-species-checked": "notRecommended", "FlowCyt-species-dilution-info": "", "FlowCyt-species-notes": "<p></p>", "WB-species-checked": "testedAndGuaranteed", "WB-species-dilution-info": "", "WB-species-notes": "<p></p>", "IHCP-species-checked": "testedAndGuaranteed", "IHCP-species-dilution-info": "", "IHCP-species-notes": "<p></p>", "IHCFr-species-checked": "notRecommended", "IHCFr-species-dilution-info": "", "IHCFr-species-notes": "<p></p>" }, "Mouse": { "ICCIF-species-checked": "notRecommended", "ICCIF-species-dilution-info": "", "ICCIF-species-notes": "<p></p>", "IP-species-checked": "notRecommended", "IP-species-dilution-info": "", "IP-species-notes": "<p></p>", "FlowCyt-species-checked": "notRecommended", "FlowCyt-species-dilution-info": "", "FlowCyt-species-notes": "<p></p>", "WB-species-checked": "testedAndGuaranteed", "WB-species-dilution-info": "", "WB-species-notes": "<p></p>", "IHCP-species-checked": "testedAndGuaranteed", "IHCP-species-dilution-info": "", "IHCP-species-notes": "<p></p>", "IHCFr-species-checked": "notRecommended", "IHCFr-species-dilution-info": "", "IHCFr-species-notes": "<p></p>" }, "Rat": { "ICCIF-species-checked": "notRecommended", "ICCIF-species-dilution-info": "", "ICCIF-species-notes": "<p></p>", "IP-species-checked": "notRecommended", "IP-species-dilution-info": "", "IP-species-notes": "<p></p>", "FlowCyt-species-checked": "notRecommended", "FlowCyt-species-dilution-info": "", "FlowCyt-species-notes": "<p></p>", "WB-species-checked": "testedAndGuaranteed", "WB-species-dilution-info": "", "WB-species-notes": "<p></p>", "IHCP-species-checked": "testedAndGuaranteed", "IHCP-species-dilution-info": "", "IHCP-species-notes": "<p></p>", "IHCFr-species-checked": "notRecommended", "IHCFr-species-dilution-info": "", "IHCFr-species-notes": "<p></p>" } } }

Product details

ab280206 is the carrier-free version of ab280199.

Patented technology
Our RabMAb® technology is a patented hybridoma-based technology for making rabbit monoclonal antibodies. For details on our patents, please refer to RabMAb® patents.

What are the advantages of a recombinant monoclonal antibody?
This product is a recombinant monoclonal antibody, which offers several advantages including:

  • - High batch-to-batch consistency and reproducibility
  • - Improved sensitivity and specificity
  • - Long-term security of supply
  • - Animal-free batch production

For more information, read more on recombinant antibodies.

Conjugation ready
Our carrier-free antibodies are typically supplied in a PBS-only formulation, purified and free of BSA, sodium azide and glycerol. This conjugation-ready format is designed for use with fluorochromes, metal isotopes, oligonucleotides, and enzymes, which makes them ideal for antibody labelling, functional and cell-based assays, flow-based assays (e.g. mass cytometry) and Multiplex Imaging applications.

Use our conjugation kits for antibody conjugates that are ready-to-use in as little as 20 minutes with 1 minute hands-on-time and 100% antibody recovery: available for fluorescent dyes, HRP, biotin and gold.

Compatibility
This product is compatible with the Maxpar® Antibody Labeling Kit from Fluidigm, without the need for antibody preparation. Maxpar® is a trademark of Fluidigm Canada Inc.

Properties and storage information

Form
Liquid
Purification technique
Affinity purification Protein A
Storage buffer
Constituents: PBS
Shipped at conditions
Blue Ice
Appropriate short-term storage conditions
+4°C
Appropriate long-term storage conditions
+4°C

Supplementary information

This supplementary information is collated from multiple sources and compiled automatically.

Glutamate receptor 4 also known as GluR4 or AMPA receptor 4 is an ionotropic glutamate receptor subunit. This protein has approximately 100 kDa molecular weight. Structurally GluR4 functions as a ligand-gated ion channel that selectively conducts sodium and potassium ions across the neuronal cell membrane. It is typically expressed in the central nervous system with a higher concentration in cerebellar Purkinje cells hippocampal pyramidal neurons and other areas involved in synaptic transmission. This receptor plays a fundamental role in mediating fast excitatory synaptic transmission.
Biological function summary

GluR4 facilitates the fast excitatory neurotransmission by binding to the neurotransmitter glutamate. It forms part of the AMPA receptor complex which consists of four subunits that assemble to create a functional receptor. By enabling rapid and precise control over synaptic signaling GluR4 participates importantly in processes like synaptic plasticity a cellular mechanism for learning and memory. The receptor's dynamic regulation of ion flow into the neuron underpins its role in shaping the physiological response to excitatory stimuli.

Pathways

GluR4 plays an important role within the glutamatergic synapse pathway. It interacts directly with other proteins such as stargazin which assists in the trafficking and anchoring of AMPA receptors at synaptic sites. GluR4 is also involved in the long-term potentiation pathway a mechanism for strengthening synapses that is vital for learning. When glutamate opens the channel GluR4 allows the influx of sodium ions which can lead to depolarization and trigger downstream signaling events. This receptor works in conjunction with NMDA receptors to modulate synaptic strength and connectivity.

GluR4 has been implicated in neurological conditions such as epilepsy and neurodegenerative diseases like Alzheimer's. In epilepsy dysregulation of glutamate receptors including GluR4 can lead to abnormal neuronal excitability and seizures. Another connection exists with amyloid beta protein found in Alzheimer's disease which can disrupt glutamate receptor function leading to synaptic dysfunction. Investigating these associations helps to understand the pathological mechanisms and potential therapeutic approaches targeting GluR4-related pathways.

Product protocols

For this product, it's our understanding that no specific protocols are required. You can visit:

Target data

Ionotropic glutamate receptor that functions as a ligand-gated cation channel, gated by L-glutamate and glutamatergic agonists such as alpha-amino-3-hydroxy-5-methyl-4-isoxazolepropionic acid (AMPA), quisqualic acid, and kainic acid (By similarity). L-glutamate acts as an excitatory neurotransmitter at many synapses in the central nervous system and plays an important role in fast excitatory synaptic transmission (By similarity). Binding of the excitatory neurotransmitter L-glutamate induces a conformation change, leading to the opening of the cation channel, and thereby converts the chemical signal to an electrical impulse upon entry of monovalent and divalent cations such as sodium and calcium. The receptor then desensitizes rapidly and enters a transient inactive state, characterized by the presence of bound agonist (By similarity). In the presence of CACNG8, shows resensitization which is characterized by a delayed accumulation of current flux upon continued application of L-glutamate (PubMed : 21172611).
See full target information GRIA4

Product promise

We are committed to supporting your work with high-quality reagents, and we're here for you every step of the way. In the unlikely event that one of our products does not perform as expected, you're protected by our Product Promise.
For full details, please see our Terms & Conditions

Please note: All products are 'FOR RESEARCH USE ONLY. NOT FOR USE IN DIAGNOSTIC OR THERAPEUTIC PROCEDURES'.

For licensing inquiries, please contact partnerships@abcam.com