JavaScript is disabled in your browser. Please enable JavaScript to view this website.
AB317033

Anti-Glutaminase antibody [EPR28716-72] - BSA and Azide free

0

(1 Review)

|

(0 Publication)

Rabbit Recombinant Monoclonal Glutaminase antibody. Carrier free. Suitable for Dot, WB, ICC/IF, Flow Cyt (Intra) and reacts with Synthetic peptide - Mouse, Human, Mouse, Rat samples.

View Alternative Names

Gls1, Kiaa0838, GLS

6 Images
Immunocytochemistry/ Immunofluorescence - Anti-Glutaminase antibody [EPR28716-72] - BSA and Azide free (AB317033)
  • ICC/IF

Supplier Data

Immunocytochemistry/ Immunofluorescence - Anti-Glutaminase antibody [EPR28716-72] - BSA and Azide free (AB317033)

This data was developed using ab317032, the same antibody clone in a different buffer formulation.

Immunofluorescent analysis of 4% Paraformaldehyde-fixed, 0.1% TritonX-100 permeabilized NIH/3T3 (mouse embryonic fibroblast) cells labelling Glutaminase with ab317032 at 1/500 (1.016 ug/ml) dilution, followed by ab150081 Goat Anti-Rabbit IgG H&L (Alexa Fluor® 488) preadsorbed antibody at 1/1000 (2 ug/ml) dilution (Green).

Confocal image showing mitochondrial staining in NIH/3T3 cell line (shown in green). The counterstain was observed in magenta. Nuclear DNA was labeled with DAPI (shown in blue).
Image was taken with a confocal microscope(Leica-Microsystems, TCS SP8).

anti-COX IV mouse monoclonal antibody - Mitochondrial Marker was used to counterstain at 1/200 (2.5ug/ml) dilution (Magenta). The Nuclear counterstain was DAPI (Blue).

Secondary antibody only control : Secondary antibody is ab150081 Goat Anti-Rabbit IgG H&L (Alexa Fluor® 488) preadsorbed at 1/1000 (2 ug/ml) dilution.

Immunocytochemistry/ Immunofluorescence - Anti-Glutaminase antibody [EPR28716-72] - BSA and Azide free (AB317033)
  • ICC/IF

Supplier Data

Immunocytochemistry/ Immunofluorescence - Anti-Glutaminase antibody [EPR28716-72] - BSA and Azide free (AB317033)

This data was developed using ab317032, the same antibody clone in a different buffer formulation.

Immunofluorescent analysis of 4% Paraformaldehyde-fixed, 0.1% TritonX-100 permeabilized Neuro-2a (mouse neuroblastoma neuroblast) cells labelling Glutaminase with ab317032 at 1/500 (1.016 ug/ml) dilution, followed by ab150081 Goat Anti-Rabbit IgG H&L (Alexa Fluor® 488) preadsorbed antibody at 1/1000 (2 ug/ml) dilution (Green).

Confocal image showing mitochondrial staining in Neuro-2a cell line (shown in green). The counterstain was observed in magenta. Nuclear DNA was labeled with DAPI (shown in blue).
Image was taken with a confocal microscope(Leica-Microsystems, TCS SP8).

anti-COX IV mouse monoclonal antibody - Mitochondrial Marker was used to counterstain at 1/200 (2.5ug/ml) dilution (Magenta). The Nuclear counterstain was DAPI (Blue).

Secondary antibody only control : Secondary antibody is ab150081 Goat Anti-Rabbit IgG H&L (Alexa Fluor® 488) preadsorbed at 1/1000 (2 ug/ml) dilution.

Flow Cytometry (Intracellular) - Anti-Glutaminase antibody [EPR28716-72] - BSA and Azide free (AB317033)
  • Flow Cyt (Intra)

Supplier Data

Flow Cytometry (Intracellular) - Anti-Glutaminase antibody [EPR28716-72] - BSA and Azide free (AB317033)

This data was developed using ab317032, the same antibody clone in a different buffer formulation.

Flow cytometric analysis of 4% paraformaldehyde fixed 90% methanol permeabilized NIH/3T3 (mouse embryonic fibroblast) cells labelling Glutaminase with ab317032 at 1/50 dilution (1 ug)/Red compared with a Rabbit monoclonal IgG (ab172730) (Black) isotype control and an unlabelled control (cells without incubation with primary antibody and secondary antibody) (Blue).

Goat Anti-Rabbit IgG (Alexa Fluor® 488, ab150081) at 1/5000 dilution was used as the secondary antibody.

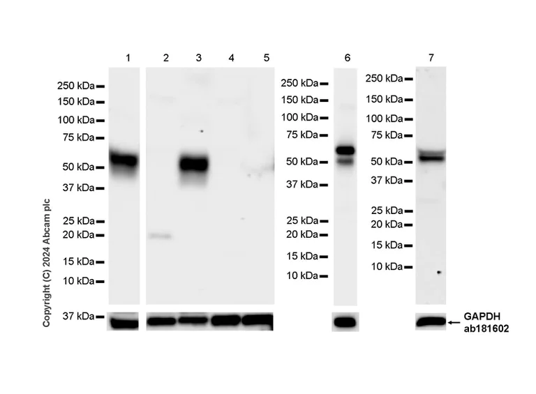
Western blot - Anti-Glutaminase antibody [EPR28716-72] - BSA and Azide free (AB317033)
  • WB

Supplier Data

Western blot - Anti-Glutaminase antibody [EPR28716-72] - BSA and Azide free (AB317033)

This data was developed using ab317032, the same antibody clone in a different buffer formulation.

Negative control : liver (PMID : 19428809).

This antibody could detect 2 isoforms produced by alternative splicing.

In Western blot, Anti-GAPDH antibody [EPR16891] - Loading Control (ab181602) staining at 1/200000 dilution.

Exposure time : Lane 1-5 : 15 seconds, Lane 6 : 3 seconds, Lane 7 : 70 seconds

All lanes:

Western blot - Anti-Glutaminase antibody [EPR28716-72] (<a href='/en-us/products/primary-antibodies/glutaminase-antibody-epr28716-72-ab317032'>ab317032</a>) at 1/1000 dilution

Lane 1:

Mouse kidney tissue lysate at 50 µg

Lane 2:

Mouse liver tissue lysate at 50 µg

Lane 3:

Rat kidney tissue lysate at 50 µg

Lane 4:

Rat liver tissue lysate at 50 µg

Lane 5:

Human liver tissue lysate at 50 µg

Lane 6:

Human kidney tissue lysate at 20 µg

Lane 7:

Human lung tissue lysate at 50 µg

Secondary

All lanes:

Goat Anti-Rabbit IgG (HRP) with minimal cross-reactivity with human IgG at 1/2000 dilution

Observed band size: 66 kDa,73 kDa,36 kDa

false

Western blot - Anti-Glutaminase antibody [EPR28716-72] - BSA and Azide free (AB317033)
  • WB

Supplier Data

Western blot - Anti-Glutaminase antibody [EPR28716-72] - BSA and Azide free (AB317033)

This data was developed using ab317032, the same antibody clone in a different buffer formulation.

This antibody could detect 2 isoforms produced by alternative splicing.

Exposure time : Lane 1-4 : 10 seconds, Lane 5 : 15 seconds

All lanes:

Western blot - Anti-Glutaminase antibody [EPR28716-72] (<a href='/en-us/products/primary-antibodies/glutaminase-antibody-epr28716-72-ab317032'>ab317032</a>) at 1/1000 dilution

Lane 1:

Neuro-2a (mouse neuroblastoma neuroblast) whole cell lysate at 50 µg

Lane 2:

B16-F10 (Mouse skin melanoma), whole cell lysate at 50 µg

Lane 3:

HEK-293 (human embryonic kidney epithelial cell) whole cell lysate at 50 µg

Lane 4:

G-401(human rhabdoid tumor kidney epithelial cell) whole cell lysate at 50 µg

Lane 5:

NIH/3T3 (mouse embryonic fibroblast) whole cell lysate at 50 µg

Secondary

All lanes:

Goat Anti-Rabbit IgG (HRP) with minimal cross-reactivity with human IgG at 1/2000 dilution

Observed band size: 66 kDa,73 kDa

false

Dot Blot - Anti-Glutaminase antibody [EPR28716-72] - BSA and Azide free (AB317033)
  • Dot

Supplier Data

Dot Blot - Anti-Glutaminase antibody [EPR28716-72] - BSA and Azide free (AB317033)

This data was developed using ab317032, the same antibody clone in a different buffer formulation.

Dot blot analysis of Glutaminase using ab317032 at 1 : 1000 (0.508 ug/ml) followed by a Goat Anti-Rabbit IgG, (H+L), Peroxidase conjugated (ab97051) at 1 : 100,000 dilution.

Blocking and diluting buffer and concentration : 5% NFDM/TBST.

This antibody does not cross-react with human/Mouse/Rat GLS2.

All lanes:

Dot Blot - Anti-Glutaminase antibody [EPR28716-72] (<a href='/en-us/products/primary-antibodies/glutaminase-antibody-epr28716-72-ab317032'>ab317032</a>) at 1/1000 dilution

Lane 1:

Mouse GLS1 peptide a

Lane 2:

Human GLS2 peptide b

Lane 3:

Mouse/Rat GLS2 peptide c

Lane 4:

Human GLS2 peptide d

Lane 5:

Mouse/Rat GLS2 peptide e

Secondary

All lanes:

Dot Blot - Goat Anti-Rabbit IgG H&L (HRP) (<a href='/en-us/products/secondary-antibodies/goat-rabbit-igg-h-l-hrp-ab97051'>ab97051</a>) at 1/100000 dilution

false

Exposure time: 180s

Key facts

Host species

Rabbit

Clonality

Monoclonal

Clone number

EPR28716-72

Isotype

IgG

Carrier free

Yes

Reacts with

Human, Mouse, Rat

Applications

Dot, Flow Cyt (Intra), ICC/IF, WB

applications

Immunogen

The exact immunogen used to generate this antibody is proprietary information.

Reactivity data

{ "title": "Reactivity Data", "filters": { "stats": ["", "Species", "Dilution Info", "Notes"], "tabs": { "all-applications": {"fullname" : "All Applications", "shortname": "All Applications"}, "Dot" : {"fullname" : "Dot Blot", "shortname":"Dot"}, "WB" : {"fullname" : "Western blot", "shortname":"WB"}, "ICCIF" : {"fullname" : "Immunocytochemistry/ Immunofluorescence", "shortname":"ICC/IF"}, "FlowCytIntra" : {"fullname" : "Flow Cytometry (Intracellular)", "shortname":"Flow Cyt (Intra)"}, "IHCP" : {"fullname" : "Immunohistochemistry (Formalin/PFA-fixed paraffin-embedded sections)", "shortname":"IHC-P"}, "IP" : {"fullname" : "Immunoprecipitation", "shortname":"IP"} }, "product-promise": { "all": "all", "testedAndGuaranteed": "tested", "guaranteed": "expected", "predicted": "predicted", "notRecommended": "not-recommended" } }, "values": { "Human": { "Dot-species-checked": "guaranteed", "Dot-species-dilution-info": "", "Dot-species-notes": "", "WB-species-checked": "testedAndGuaranteed", "WB-species-dilution-info": "", "WB-species-notes": "<p></p>", "ICCIF-species-checked": "guaranteed", "ICCIF-species-dilution-info": "", "ICCIF-species-notes": "", "FlowCytIntra-species-checked": "guaranteed", "FlowCytIntra-species-dilution-info": "", "FlowCytIntra-species-notes": "", "IHCP-species-checked": "notRecommended", "IHCP-species-dilution-info": "", "IHCP-species-notes": "<p></p>", "IP-species-checked": "notRecommended", "IP-species-dilution-info": "", "IP-species-notes": "<p></p>" }, "Mouse": { "Dot-species-checked": "guaranteed", "Dot-species-dilution-info": "", "Dot-species-notes": "", "WB-species-checked": "testedAndGuaranteed", "WB-species-dilution-info": "", "WB-species-notes": "<p></p>", "ICCIF-species-checked": "testedAndGuaranteed", "ICCIF-species-dilution-info": "", "ICCIF-species-notes": "<p></p>", "FlowCytIntra-species-checked": "testedAndGuaranteed", "FlowCytIntra-species-dilution-info": "", "FlowCytIntra-species-notes": "<p></p>", "IHCP-species-checked": "notRecommended", "IHCP-species-dilution-info": "", "IHCP-species-notes": "<p></p>", "IP-species-checked": "notRecommended", "IP-species-dilution-info": "", "IP-species-notes": "" }, "Rat": { "Dot-species-checked": "guaranteed", "Dot-species-dilution-info": "", "Dot-species-notes": "", "WB-species-checked": "testedAndGuaranteed", "WB-species-dilution-info": "", "WB-species-notes": "<p></p>", "ICCIF-species-checked": "guaranteed", "ICCIF-species-dilution-info": "", "ICCIF-species-notes": "", "FlowCytIntra-species-checked": "guaranteed", "FlowCytIntra-species-dilution-info": "", "FlowCytIntra-species-notes": "", "IHCP-species-checked": "notRecommended", "IHCP-species-dilution-info": "", "IHCP-species-notes": "<p></p>", "IP-species-checked": "notRecommended", "IP-species-dilution-info": "", "IP-species-notes": "" }, "Synthetic peptide - Mouse": { "Dot-species-checked": "testedAndGuaranteed", "Dot-species-dilution-info": "", "Dot-species-notes": "<p></p>", "WB-species-checked": "notRecommended", "WB-species-dilution-info": "", "WB-species-notes": "", "ICCIF-species-checked": "notRecommended", "ICCIF-species-dilution-info": "", "ICCIF-species-notes": "", "FlowCytIntra-species-checked": "notRecommended", "FlowCytIntra-species-dilution-info": "", "FlowCytIntra-species-notes": "", "IHCP-species-checked": "notRecommended", "IHCP-species-dilution-info": "", "IHCP-species-notes": "", "IP-species-checked": "notRecommended", "IP-species-dilution-info": "", "IP-species-notes": "" } } }

Product details

ab317033 is the carrirer-free version of ab317032.

Patented technology
Our RabMAb® technology is a patented hybridoma-based technology for making rabbit monoclonal antibodies. For details on our patents, please refer to RabMAb® patents.

What are the advantages of a recombinant monoclonal antibody?
This product is a recombinant monoclonal antibody, which offers several advantages including:

  • - High batch-to-batch consistency and reproducibility
  • - Improved sensitivity and specificity
  • - Long-term security of supply
  • - Animal-free batch production

For more information, read more on recombinant antibodies.

Conjugation ready
Our carrier-free antibodies are typically supplied in a PBS-only formulation, purified and free of BSA, sodium azide and glycerol. This conjugation-ready format is designed for use with fluorochromes, metal isotopes, oligonucleotides, and enzymes, which makes them ideal for antibody labelling, functional and cell-based assays, flow-based assays (e.g. mass cytometry) and Multiplex Imaging applications.

Use our conjugation kits for antibody conjugates that are ready-to-use in as little as 20 minutes with 1 minute hands-on-time and 100% antibody recovery: available for fluorescent dyes, HRP, biotin and gold.

Compatibility
This product is compatible with the Maxpar® Antibody Labeling Kit from Fluidigm, without the need for antibody preparation. Maxpar® is a trademark of Fluidigm Canada Inc.

Properties and storage information

Form
Liquid
Purification technique
Affinity purification Protein A
Storage buffer
pH: 7.2 - 7.4 Constituents: PBS
Shipped at conditions
Blue Ice
Appropriate short-term storage conditions
+4°C
Appropriate long-term storage conditions
+4°C

Supplementary information

This supplementary information is collated from multiple sources and compiled automatically.

Glutaminase also known as GLS or GLS1 is an enzyme that catalyzes the conversion of glutamine to glutamate an important step in cellular nitrogen and energy metabolism. This enzyme weighs approximately 65 kDa and is expressed in various tissues particularly in the brain kidney and liver. Glutaminase exists in two isoforms GLS1 and GLS2 with GLS1 being the more studied due to its role in cancer metabolism.
Biological function summary

Glutaminase plays a central role in cellular processes by facilitating the production of glutamate which is an important neurotransmitter in the brain and a precursor for the synthesis of gamma-aminobutyric acid (GABA). It is not part of a larger complex but acts independently in the mitochondrial matrix where it performs the glutaminase reaction. The activity of this enzyme is monitored closely because it affects multiple cellular functions and has implications in many diseases.

Pathways

Glutaminase is instrumental in the glutaminolysis and tricarboxylic acid (TCA) cycles. These pathways are essential for cellular energy production and biosynthesis. GLS1 activity influences other proteins such as alanine transaminase (ALT) and aspartate transaminase (AST) which also play roles in amino acid metabolism and energy production. Glutaminase inhibitors have been explored as potential therapeutic agents by disrupting the glutaminolysis pathway in cancer cells leading to decreased tumor growth.

Glutaminase has a significant link to cancer and neurodegenerative diseases. In cancer GLS1 activity is often upregulated as tumor cells require increased glutamine metabolism for growth and survival making GLS1 inhibitors a target in cancer therapy. Neurodegenerative disorders such as Alzheimer's disease also show altered glutamate levels implicating glutaminase in disease progression. These disorders highlight the enzyme's potential connections with proteins like NMDA receptors in the brain where glutamate acts as a neurotransmitter affecting synaptic activity.

Product protocols

For this product, it's our understanding that no specific protocols are required. You can visit:

Target data

Catalyzes the first reaction in the primary pathway for the renal catabolism of glutamine. Plays a role in maintaining acid-base homeostasis. Regulates the levels of the neurotransmitter glutamate, the main excitatory neurotransmitter in the brain.
See full target information Glutaminase

Product promise

We are committed to supporting your work with high-quality reagents, and we're here for you every step of the way. In the unlikely event that one of our products does not perform as expected, you're protected by our Product Promise.
For full details, please see our Terms & Conditions

Please note: All products are 'FOR RESEARCH USE ONLY. NOT FOR USE IN DIAGNOSTIC OR THERAPEUTIC PROCEDURES'.

For licensing inquiries, please contact partnerships@abcam.com