JavaScript is disabled in your browser. Please enable JavaScript to view this website.
AB262716

Anti-Glutaminase C antibody

Be the first to review this product! Submit a review

|

(3 Publications)

Rabbit Polyclonal Glutaminase antibody. Suitable for IP, WB, IHC-P, ICC/IF and reacts with Human, Mouse samples. Cited in 3 publications. Immunogen corresponding to Recombinant Fragment Protein within Human GLS.

View Alternative Names

GLS1, KIAA0838, GLS, K-glutaminase, L-glutamine amidohydrolase

6 Images
Immunohistochemistry (Formalin/PFA-fixed paraffin-embedded sections) - Anti-Glutaminase C antibody (AB262716)
  • IHC-P

Supplier Data

Immunohistochemistry (Formalin/PFA-fixed paraffin-embedded sections) - Anti-Glutaminase C antibody (AB262716)

Paraffin embedded human breast carcinoma tissue stained for Glutaminase C using ab262716 at a 1/500 dilution in immunohistochemistry.

Antigen Retrieval : EDTA based, pH 8.0 buffer, 15mins.

Immunocytochemistry/ Immunofluorescence - Anti-Glutaminase C antibody (AB262716)
  • ICC/IF

Supplier Data

Immunocytochemistry/ Immunofluorescence - Anti-Glutaminase C antibody (AB262716)

A549 cells stained for Glutaminase C using ab262716 at a 1/500 dilution (green) in ICC/IF.

Cells were fixed in 4% paraformaldehyde at RT for 15 mins.
Red : Histone H3K9ac (acetyl Lys9), a nucleus marker, stained by Histone H3K9ac (acetyl Lys9) antibody diluted at 1/500.
Blue : Hoechst 33342 staining.
Scale bar = 10 μm.

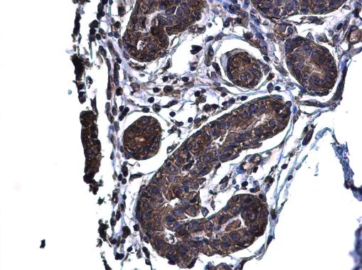
Immunohistochemistry (Formalin/PFA-fixed paraffin-embedded sections) - Anti-Glutaminase C antibody (AB262716)
  • IHC-P

Supplier Data

Immunohistochemistry (Formalin/PFA-fixed paraffin-embedded sections) - Anti-Glutaminase C antibody (AB262716)

Paraffin embedded mouse duodenum tissue stained for Glutaminase C using ab262716 at a 1/500 dilution in immunohistochemistry.

Antigen Retrieval : EDTA based, pH 8.0 buffer, 15mins.

Immunohistochemistry (Formalin/PFA-fixed paraffin-embedded sections) - Anti-Glutaminase C antibody (AB262716)
  • IHC-P

Supplier Data

Immunohistochemistry (Formalin/PFA-fixed paraffin-embedded sections) - Anti-Glutaminase C antibody (AB262716)

Paraffin embedded human colon carcinoma tissue stained for Glutaminase C using ab262716 at a 1/500 dilution in immunohistochemistry.

Antigen Retrieval : EDTA based, pH 8.0 buffer, 15mins.

Immunoprecipitation - Anti-Glutaminase C antibody (AB262716)
  • IP

Supplier Data

Immunoprecipitation - Anti-Glutaminase C antibody (AB262716)

Immunoprecipitation of Glutaminase C protein from MDA-MB-231 whole cell extracts using 5 μg of ab262716.
Western blot analysis was performed using ab262716.
EasyBlot anti-Rabbit IgG was used as a secondary reagent.

Lane 1 : Input

Lane 2 : Control IgG IP

Lane 3 : ab262716 IP

All lanes:

Immunoprecipitation - Anti-Glutaminase C antibody (ab262716)

false

Western blot - Anti-Glutaminase C antibody (AB262716)
  • WB

Supplier Data

Western blot - Anti-Glutaminase C antibody (AB262716)

This antibody specifically recognizes GAC but not the KGA isoform.

7.5% SDS-PAGE.

All lanes:

Western blot - Anti-Glutaminase C antibody (ab262716) at 1/5000 dilution

Lane 1:

Non-transfected MDA-MB-231 whole cell extracts at 30 µg

Lane 2:

GLS1(GAC isoform specific) shRNA-transfected MDA-MB-231 whole cell extracts at 30 µg

Predicted band size: 73 kDa

false

Key facts

Host species

Rabbit

Clonality

Polyclonal

Isotype

IgG

Carrier free

No

Reacts with

Mouse, Human

Applications

WB, IHC-P, IP, ICC/IF

applications

Immunogen

Recombinant Fragment Protein within Human GLS. The exact immunogen used to generate this antibody is proprietary information.

O94925

Reactivity data

{ "title": "Reactivity Data", "filters": { "stats": ["", "Species", "Dilution Info", "Notes"], "tabs": { "all-applications": {"fullname" : "All Applications", "shortname": "All Applications"}, "IP" : {"fullname" : "Immunoprecipitation", "shortname":"IP"}, "WB" : {"fullname" : "Western blot", "shortname":"WB"}, "IHCP" : {"fullname" : "Immunohistochemistry (Formalin/PFA-fixed paraffin-embedded sections)", "shortname":"IHC-P"}, "ICCIF" : {"fullname" : "Immunocytochemistry/ Immunofluorescence", "shortname":"ICC/IF"} }, "product-promise": { "all": "all", "testedAndGuaranteed": "tested", "guaranteed": "expected", "predicted": "predicted", "notRecommended": "not-recommended" } }, "values": { "Human": { "IP-species-checked": "testedAndGuaranteed", "IP-species-dilution-info": "1/100 - 1/500", "IP-species-notes": "<p></p>", "WB-species-checked": "testedAndGuaranteed", "WB-species-dilution-info": "1/1000 - 1/10000", "WB-species-notes": "<p></p>", "IHCP-species-checked": "testedAndGuaranteed", "IHCP-species-dilution-info": "1/100 - 1/1000", "IHCP-species-notes": "<p></p>", "ICCIF-species-checked": "testedAndGuaranteed", "ICCIF-species-dilution-info": "1/100 - 1/1000", "ICCIF-species-notes": "<p></p>" }, "Mouse": { "IP-species-checked": "guaranteed", "IP-species-dilution-info": "", "IP-species-notes": "", "WB-species-checked": "guaranteed", "WB-species-dilution-info": "", "WB-species-notes": "", "IHCP-species-checked": "testedAndGuaranteed", "IHCP-species-dilution-info": "1/100 - 1/1000", "IHCP-species-notes": "<p></p>", "ICCIF-species-checked": "guaranteed", "ICCIF-species-dilution-info": "", "ICCIF-species-notes": "" } } }

Properties and storage information

Form
Liquid
Purification technique
Affinity purification Immunogen
Storage buffer
pH: 7 Preservative: 0.025% Proclin 300 Constituents: PBS, 20% Glycerol (glycerin, glycerine)
Shipped at conditions
Blue Ice
Appropriate short-term storage duration
1-2 weeks
Appropriate short-term storage conditions
+4°C
Appropriate long-term storage conditions
-20°C
Aliquoting information
Upon delivery aliquot
Storage information
Avoid freeze / thaw cycle

Supplementary information

This supplementary information is collated from multiple sources and compiled automatically.

Glutaminase C also known as kidney-type glutaminase or GLS2 is an enzyme with a high molecular mass of approximately 65 kDa. This enzyme belongs to the mitochondrial compartment and carries out the conversion of glutamine to glutamate releasing ammonia in the process. It is expressed in various tissues including brain kidney and liver where it plays an important role in cellular metabolism. The enzyme demonstrates increased expression levels under specific conditions where cellular proliferation and energy requirements are high.
Biological function summary

Glutaminase C acts as an important player in nitrogen metabolism and cellular bioenergetics. It functions within the mitochondria facilitating the glutaminolysis pathway which provides intermediates for the tricarboxylic acid (TCA) cycle. Although glutaminase C mainly acts as a monomer in certain conditions it might participate in multiprotein complexes that aid its regulation and activity. This regulatory mechanism plays a vital role in energy homeostasis and cellular growth demands.

Pathways

Glutaminase C is involved in the glutaminolysis and TCA cycle pathways contributing significantly to energy production and biosynthesis in proliferating cells. It works in concert with related proteins like glutamate dehydrogenase which further converts the produced glutamate into α-ketoglutarate feeding into the TCA cycle. These combined actions support cellular adaptations during increased metabolic demand especially in cancerous cells where metabolic shifts are noticeable.

Glutaminase C has a strong connection to cancer and neurological disorders. Cancer cells frequently exhibit heightened glutaminase C activity to sustain rapid growth associating with proteins such as c-Myc that drive metabolic reprogramming. Additionally in neurological ailments like epilepsy dysregulation of glutaminase C may alter neurotransmitter levels disturbing normal synaptic function. The enzyme's activity links to proteins involved in neuronal signaling suggesting its influence extends beyond mere metabolic processes.

Product protocols

For this product, it's our understanding that no specific protocols are required. You can visit:

Target data

Catalyzes the first reaction in the primary pathway for the renal catabolism of glutamine. Plays a role in maintaining acid-base homeostasis. Regulates the levels of the neurotransmitter glutamate, the main excitatory neurotransmitter in the brain (PubMed : 30239721, PubMed : 30575854, PubMed : 30970188).. Isoform 2. Lacks catalytic activity.
See full target information GLS

Publications (3)

Recent publications for all applications. Explore the full list and refine your search

Brain sciences 14: PubMed38790419

2024

Annexin 1 Reduces Dermatitis-Induced Itch and Cholestatic Itch through Inhibiting Neuroinflammation and Iron Overload in the Spinal Dorsal Horn of Mice.

Applications

Unspecified application

Species

Unspecified reactive species

Tang Li,Lingyue Hu,Chao Qin,Yuanjie Li,Zhenhua Song,Yang Jiao,Chunyan Wang,Wei Cui,Linlin Zhang

Bioactive materials 21:483-498 PubMed36185739

2022

HDAC I/IIb selective inhibitor Purinostat Mesylate combined with GLS1 inhibition effectively eliminates CML stem cells.

Applications

Unspecified application

Species

Unspecified reactive species

Qiang Qiu,Linyu Yang,Yunyu Feng,Zejiang Zhu,Ning Li,Li Zheng,Yuanyuan Sun,Cong Pan,Huandi Qiu,Xue Cui,Wei He,Fang Wang,Yuyao Yi,Minghai Tang,Zhuang Yang,Yunfan Yang,Zhihui Li,Lijuan Chen,Yiguo Hu

Cellular and molecular gastroenterology and hepatology 13:113-127 PubMed34530178

2021

Nrf2 Mutation/Activation Is Dispensable for the Development of Chemically Induced Mouse HCC.

Applications

Unspecified application

Species

Unspecified reactive species

Sandra Mattu,Patrizia Zavattari,Marta Anna Kowalik,Marina Serra,Pia Sulas,Rajesh Pal,Elisabetta Puliga,Salvatore Sutti,Beatrice Foglia,Maurizio Parola,Emanuele Albano,Silvia Giordano,Andrea Perra,Amedeo Columbano
View all publications

Product promise

We are committed to supporting your work with high-quality reagents, and we're here for you every step of the way. In the unlikely event that one of our products does not perform as expected, you're protected by our Product Promise.
For full details, please see our Terms & Conditions

Please note: All products are 'FOR RESEARCH USE ONLY. NOT FOR USE IN DIAGNOSTIC OR THERAPEUTIC PROCEDURES'.

For licensing inquiries, please contact partnerships@abcam.com