JavaScript is disabled in your browser. Please enable JavaScript to view this website.
AB202027

Anti-Glutaminase C antibody [EPR19525]

0

(1 Review)

|

(6 Publications)

Rabbit Recombinant Monoclonal Glutaminase antibody. Suitable for IP, WB, ICC/IF, Flow Cyt (Intra) and reacts with Human, Mouse, Rat samples. Cited in 6 publications.

View Alternative Names

GLS1, KIAA0838, GLS, K-glutaminase, L-glutamine amidohydrolase

10 Images
Flow Cytometry (Intracellular) - Anti-Glutaminase C antibody [EPR19525] (AB202027)
  • Flow Cyt (Intra)

Lab

Flow Cytometry (Intracellular) - Anti-Glutaminase C antibody [EPR19525] (AB202027)

Flow cytometry overlay histogram showing left wild-type HAP1 positive cells and right negative GLS knockout HAP1 stained with ab202027 (red line). The cells were fixed with 80% methanol (5 min) and then permeabilised with 0.1% PBS-Triton X-100 for 15 min. The cells were then incubated in 1x PBS containing 10% normal goat serum to block non-specific protein-protein interaction followed by the antibody (ab202027) (1x 106 in 100μl at 1 μg/ml (1/603)) for 30min at 22°C.

The secondary antibody Goat Anti-Rabbit IgG H&L (Alexa Fluor® 488) preadsorbed was incubated at 1/4000 for 30min at 22°C.

Isotype control antibody was Recombinant Rabbit IgG, monoclonal [EPR25A] - Isotype Control (black line) used at the same concentration and conditions as the primary antibody. Unlabelled sample (blue line) was also used as a control.

Acquisition of >5000 events were collected using a 50 mW Blue laser (488nm) and 530/30 bandpass filter.

This antibody gave a positive signal in wild-type HAP1 fixed with 4% formaldehyde (10 min) and then permeabilised with 0.1% PBS-Triton X-100 for 15 min under the same conditions.

Immunocytochemistry/ Immunofluorescence - Anti-Glutaminase C antibody [EPR19525] (AB202027)
  • ICC/IF

Supplier Data

Immunocytochemistry/ Immunofluorescence - Anti-Glutaminase C antibody [EPR19525] (AB202027)

Immunofluorescent analysis of 100% methanol-fixed, 0.1% Triton X-100 permeabilized HeLa (Human epithelial cell line from cervix adenocarcinoma) cells labeling Glutaminase C with ab202027 at 1/500 dilution, followed by Goat anti-rabbit IgG (Alexa Fluor® 488) (ab150077) secondary antibody at 1/1000 dilution (green). Confocal image showing mitochondrial staining on HeLa cell line.

The nuclear counter stain is DAPI (blue). COX IV is detected with ab33985 (anti-COX IV(mouse mAb)) at 1/1000 dilution and ab150120 (AlexaFluor®594 Goat anti-Mouse secondary) at 1/1000 dilution (red).

Secondary antibody only control : Used PBS instead of primary antibody, secondary antibody is Goat anti-rabbit IgG (Alexa Fluor® 488) (ab150077) at 1/1000 dilution.

Immunocytochemistry/ Immunofluorescence - Anti-Glutaminase C antibody [EPR19525] (AB202027)
  • ICC/IF

Supplier Data

Immunocytochemistry/ Immunofluorescence - Anti-Glutaminase C antibody [EPR19525] (AB202027)

Immunofluorescent analysis of 100% methanol-fixed, 0.1% Triton X-100 permeabilized HeLa (Human epithelial cell line from cervix adenocarcinoma) cells labeling Glutaminase C with ab202027 at 1/500 dilution, followed by Goat anti-rabbit IgG (Alexa Fluor® 488) (ab150077) secondary antibody at 1/1000 dilution (green). Confocal image showing cytoplasmic staining on HeLa cell line.

The nuclear counter stain is DAPI (blue). Tubulin is detected with ab195889 (Anti-alpha Tubulin antibody [DM1A] - Microtubule Marker (Alexa Fluor® 594)) at 1/200 dilution (red).

Secondary antibody only control : Used PBS instead of primary antibody, secondary antibody is Goat anti-rabbit IgG (Alexa Fluor® 488) (ab150077) at 1/1000 dilution.

Flow Cytometry (Intracellular) - Anti-Glutaminase C antibody [EPR19525] (AB202027)
  • Flow Cyt (Intra)

Supplier Data

Flow Cytometry (Intracellular) - Anti-Glutaminase C antibody [EPR19525] (AB202027)

Intracellular flow cytometric analysis of 4% paraformaldehyde-fixed HeLa (Human epithelial cell line from cervix adenocarcinoma) cells labeling Glutaminase Cwith ab202027 at 1/600 dilution (red) compared with a rabbit monoclonal IgG isotype control (ab172730; black) and an unlabelled control (cells without incubation with primary antibody and secondary antibody; blue). Goat anti rabbit IgG (Alexa Fluorr® 488) at 1/2000 dilution was used as the secondary antibody.

Immunocytochemistry/ Immunofluorescence - Anti-Glutaminase C antibody [EPR19525] (AB202027)
  • ICC/IF

Lab

Immunocytochemistry/ Immunofluorescence - Anti-Glutaminase C antibody [EPR19525] (AB202027)

Immunofluorescent analysis of 4% PFA-fixed, 0.1% Triton X-100 permeabilized Hap1 WT and Hap1-GLS KO cells labelling Glutaminase C with ab202027 at 0.2 μg/ml concentration followed by ab150081 Goat Anti-Rabbit IgG H&L (Alexa Fluor® 488) preadsorbed antibody at 1/1000 (2 μg/ml dilution (Green). Image showing cytoplasmic staining in Hap1 WT cell line. ab7291 Anti-alpha Tubulin antibody [DM1A] was used to counterstain tubulin at 1/1000 dilution (Magenta). The nuclear counterstain was DAPI (Blue).

Immunoprecipitation - Anti-Glutaminase C antibody [EPR19525] (AB202027)
  • IP

Supplier Data

Immunoprecipitation - Anti-Glutaminase C antibody [EPR19525] (AB202027)

Glutaminase was immunoprecipitated from 0.35 mg of HeLa (Human epithelial cell line from cervix adenocarcinoma) whole cell lysate with ab202027 at 1/30 dilution. Western blot was performed from the immunoprecipitate using ab202027 at 1/1000 dilution. VeriBlot for IP Detection Reagent (HRP) (ab131366), was used for detection at 1/10000 dilution.

Lane 1 : HeLa whole cell lysate, 10 μg (Input).

Lane 2 : ab202027 IP in HeLa whole cell lysate.

Lane 3 : Rabbit monoclonal IgG (ab172730) instead of ab202027 in HeLa whole cell lysate.

Blocking and dilution buffer and concentration : 5% NFDM/TBST.

Exposure time : 10 seconds.

All lanes:

Immunoprecipitation - Anti-Glutaminase C antibody [EPR19525] (ab202027)

Observed band size: 65 kDa

false

Immunocytochemistry/ Immunofluorescence - Anti-Glutaminase C antibody [EPR19525] (AB202027)
  • ICC/IF

Supplier Data

Immunocytochemistry/ Immunofluorescence - Anti-Glutaminase C antibody [EPR19525] (AB202027)

Immunofluorescent analysis of 100% methanol-fixed, 0.1% Triton X-100 permeabilized NIH/3T3 (Mouse embryonic fibroblast cell line) cells labeling Glutaminase C with ab202027 at 1/500 dilution, followed by Goat anti-rabbit IgG (Alexa Fluor® 488) (ab150077) secondary antibody at 1/1000 dilution (green). Confocal image showing cytoplasmic staining on NIH/3T3 cell line.

The nuclear counter stain is DAPI (blue). Tubulin is detected with ab195889 (Anti-alpha Tubulin antibody [DM1A] - Microtubule Marker (Alexa Fluor® 594)) at 1/200 dilution (red).

Secondary antibody only control : Used PBS instead of primary antibody, secondary antibody is Goat anti-rabbit IgG (Alexa Fluor® 488) (ab150077) at 1/1000 dilution.

Western blot - Anti-Glutaminase C antibody [EPR19525] (AB202027)
  • WB

Supplier Data

Western blot - Anti-Glutaminase C antibody [EPR19525] (AB202027)

Blocking/Dilution buffer : 5% NFDM/TBST.

All lanes:

Western blot - Anti-Glutaminase C antibody [EPR19525] (ab202027) at 1/1000 dilution

Lane 1:

HepG2 (Human liver hepatocellular carcinoma cell line) whole cell lysate at 20 µg

Lane 2:

HeLa (Human epithelial cell line from cervix adenocarcinoma) whole cell lysate at 20 µg

Lane 3:

K562 (Human chronic myelogenous leukemia cell line from bone marrow) whole cell lysate at 20 µg

Lane 4:

Jurkat (Human T cell leukemia cell line from peripheral blood) whole cell lysate at 20 µg

Lane 5:

Hepa1-6 (Mouse epithelial hepatoma cell line) whole cell lysate at 20 µg

Secondary

All lanes:

Western blot - Goat Anti-Rabbit IgG H&L (HRP) (<a href='/en-us/products/secondary-antibodies/goat-rabbit-igg-h-l-hrp-ab97051'>ab97051</a>) at 1/100000 dilution

Predicted band size: 65 kDa

Observed band size: 65 kDa

false

Exposure time: 15s

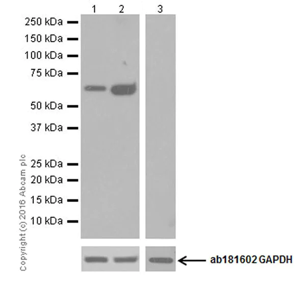
Western blot - Anti-Glutaminase C antibody [EPR19525] (AB202027)
  • WB

Supplier Data

Western blot - Anti-Glutaminase C antibody [EPR19525] (AB202027)

Blocking/Dilution buffer : 5% NFDM/TBST.

The observed expression profile is consistent with what has been described in UniProtKB (Glutaminase C is highly expressed in heart and pancreas, but is not detected in liver).

All lanes:

Western blot - Anti-Glutaminase C antibody [EPR19525] (ab202027) at 1/1000 dilution

Lane 1:

Human fetal heart lysate at 10 µg

Lane 2:

Human fetal kidney lysate at 10 µg

Lane 3:

Human fetal liver lysate at 10 µg

Secondary

All lanes:

Goat Anti-Rabbit IgG Peroxidase Conjugate, specific to the non-reduced form of IgG at 1/10000 dilution

Predicted band size: 65 kDa

Observed band size: 65 kDa

false

Exposure time: 15s

Western blot - Anti-Glutaminase C antibody [EPR19525] (AB202027)
  • WB

Supplier Data

Western blot - Anti-Glutaminase C antibody [EPR19525] (AB202027)

Blocking/Dilution buffer : 5% NFDM/TBST.

Exposure times : Lane 1 and 2 : 3 minutes; Lane 3 : 10 seconds; Lane 4, 5 and 6 : 3 minutes; Lane 7 : 30 seconds; Lane 8, 9 and 10 : 15 seconds.

All lanes:

Western blot - Anti-Glutaminase C antibody [EPR19525] (ab202027) at 1/5000 dilution

Lane 1:

Mouse brain lysate at 10 µg

Lane 2:

Mouse heart lysate at 10 µg

Lane 3:

Mouse spleen lysate at 10 µg

Lane 4:

Rat brain lysate at 10 µg

Lane 5:

Rat heart lysate at 10 µg

Lane 6:

Rat spleen lysate at 10 µg

Lane 7:

C6 (Rat glial tumor cell line) whole cell lysate at 10 µg

Lane 8:

RAW 264.7 (Mouse macrophage cell line transformed with Abelson murine leukemia virus) whole cell lysate at 10 µg

Lane 9:

PC-12 (Rat adrenal gland pheochromocytoma cell line) whole cell lysate at 10 µg

Lane 10:

NIH/3T3 (Mouse embryonic fibroblast cell line) whole cell lysate at 10 µg

Secondary

All lanes:

Western blot - Goat Anti-Rabbit IgG H&L (HRP) (<a href='/en-us/products/secondary-antibodies/goat-rabbit-igg-h-l-hrp-ab97051'>ab97051</a>) at 1/100000 dilution

Predicted band size: 65 kDa

Observed band size: 65 kDa

false

  • Carrier free

    Anti-Glutaminase C antibody [EPR19525] - BSA and Azide free

Key facts

Host species

Rabbit

Clonality

Monoclonal

Clone number

EPR19525

Isotype

IgG

Carrier free

No

Reacts with

Mouse, Rat, Human

Applications

WB, Flow Cyt (Intra), IP, ICC/IF

applications

Immunogen

The exact immunogen used to generate this antibody is proprietary information.

Reactivity data

{ "title": "Reactivity Data", "filters": { "stats": ["", "Species", "Dilution Info", "Notes"], "tabs": { "all-applications": {"fullname" : "All Applications", "shortname": "All Applications"}, "IP" : {"fullname" : "Immunoprecipitation", "shortname":"IP"}, "WB" : {"fullname" : "Western blot", "shortname":"WB"}, "ICCIF" : {"fullname" : "Immunocytochemistry/ Immunofluorescence", "shortname":"ICC/IF"}, "FlowCytIntra" : {"fullname" : "Flow Cytometry (Intracellular)", "shortname":"Flow Cyt (Intra)"} }, "product-promise": { "all": "all", "testedAndGuaranteed": "tested", "guaranteed": "expected", "predicted": "predicted", "notRecommended": "not-recommended" } }, "values": { "Human": { "IP-species-checked": "testedAndGuaranteed", "IP-species-dilution-info": "1/30", "IP-species-notes": "<p></p>", "WB-species-checked": "testedAndGuaranteed", "WB-species-dilution-info": "1/1000", "WB-species-notes": "<p></p>", "ICCIF-species-checked": "testedAndGuaranteed", "ICCIF-species-dilution-info": "1/500", "ICCIF-species-notes": "<p></p>", "FlowCytIntra-species-checked": "testedAndGuaranteed", "FlowCytIntra-species-dilution-info": "1/600", "FlowCytIntra-species-notes": "<p><a href='/en-us/products/primary-antibodies/rabbit-igg-monoclonal-epr25a-isotype-control-ab172730'>ab172730</a> - Rabbit monoclonal IgG, is suitable for use as an isotype control with this antibody.</p>" }, "Mouse": { "IP-species-checked": "guaranteed", "IP-species-dilution-info": "", "IP-species-notes": "", "WB-species-checked": "testedAndGuaranteed", "WB-species-dilution-info": "1/1000", "WB-species-notes": "<p></p>", "ICCIF-species-checked": "testedAndGuaranteed", "ICCIF-species-dilution-info": "1/500", "ICCIF-species-notes": "<p></p>", "FlowCytIntra-species-checked": "guaranteed", "FlowCytIntra-species-dilution-info": "", "FlowCytIntra-species-notes": "" }, "Rat": { "IP-species-checked": "guaranteed", "IP-species-dilution-info": "", "IP-species-notes": "", "WB-species-checked": "testedAndGuaranteed", "WB-species-dilution-info": "1/1000", "WB-species-notes": "<p></p>", "ICCIF-species-checked": "guaranteed", "ICCIF-species-dilution-info": "", "ICCIF-species-notes": "", "FlowCytIntra-species-checked": "guaranteed", "FlowCytIntra-species-dilution-info": "", "FlowCytIntra-species-notes": "" } } }

Product details

Patented technology
Our RabMAb® technology is a patented hybridoma-based technology for making rabbit monoclonal antibodies. For details on our patents, please refer to RabMAb® patents.

What are the advantages of a recombinant monoclonal antibody?
This product is a recombinant monoclonal antibody, which offers several advantages including:

  • - High batch-to-batch consistency and reproducibility
  • - Improved sensitivity and specificity
  • - Long-term security of supply
  • - Animal-free batch production

For more information, read more on recombinant antibodies.

Properties and storage information

Form
Liquid
Purification technique
Affinity purification Protein A
Storage buffer
pH: 7.2 - 7.4 Preservative: 0.01% Sodium azide Constituents: PBS, 40% Glycerol (glycerin, glycerine), 0.05% BSA
Shipped at conditions
Blue Ice
Appropriate short-term storage duration
1-2 weeks
Appropriate short-term storage conditions
+4°C
Appropriate long-term storage conditions
-20°C
Aliquoting information
Upon delivery aliquot
Storage information
Avoid freeze / thaw cycle

Supplementary information

This supplementary information is collated from multiple sources and compiled automatically.

Glutaminase C also known as kidney-type glutaminase or GLS2 is an enzyme with a high molecular mass of approximately 65 kDa. This enzyme belongs to the mitochondrial compartment and carries out the conversion of glutamine to glutamate releasing ammonia in the process. It is expressed in various tissues including brain kidney and liver where it plays an important role in cellular metabolism. The enzyme demonstrates increased expression levels under specific conditions where cellular proliferation and energy requirements are high.
Biological function summary

Glutaminase C acts as an important player in nitrogen metabolism and cellular bioenergetics. It functions within the mitochondria facilitating the glutaminolysis pathway which provides intermediates for the tricarboxylic acid (TCA) cycle. Although glutaminase C mainly acts as a monomer in certain conditions it might participate in multiprotein complexes that aid its regulation and activity. This regulatory mechanism plays a vital role in energy homeostasis and cellular growth demands.

Pathways

Glutaminase C is involved in the glutaminolysis and TCA cycle pathways contributing significantly to energy production and biosynthesis in proliferating cells. It works in concert with related proteins like glutamate dehydrogenase which further converts the produced glutamate into α-ketoglutarate feeding into the TCA cycle. These combined actions support cellular adaptations during increased metabolic demand especially in cancerous cells where metabolic shifts are noticeable.

Glutaminase C has a strong connection to cancer and neurological disorders. Cancer cells frequently exhibit heightened glutaminase C activity to sustain rapid growth associating with proteins such as c-Myc that drive metabolic reprogramming. Additionally in neurological ailments like epilepsy dysregulation of glutaminase C may alter neurotransmitter levels disturbing normal synaptic function. The enzyme's activity links to proteins involved in neuronal signaling suggesting its influence extends beyond mere metabolic processes.

Product protocols

For this product, it's our understanding that no specific protocols are required. You can visit:

Target data

Catalyzes the first reaction in the primary pathway for the renal catabolism of glutamine. Plays a role in maintaining acid-base homeostasis. Regulates the levels of the neurotransmitter glutamate, the main excitatory neurotransmitter in the brain (PubMed : 30239721, PubMed : 30575854, PubMed : 30970188).. Isoform 2. Lacks catalytic activity.
See full target information GLS

Publications (6)

Recent publications for all applications. Explore the full list and refine your search

Journal of traditional Chinese medicine = Chung i tsa chih ying wen pan 45:806-816 PubMed40810226

2025

Exploration of the mechanism of Danggui Buxue decoction for the treatment of gastric ulcer based on network pharmacology, molecular docking, and experiment.

Applications

Unspecified application

Species

Unspecified reactive species

Song Mingming,Men Bo,Chen Mei,Liu Rui,M O Hongping,Zhang Da,Pan Tao,Wen Xudong

Stem cell research & therapy 16:213 PubMed40301995

2025

Targeting prominin-2/BACH1/GLS pathway to inhibit oxidative stress-induced ferroptosis of bone mesenchymal stem cells.

Applications

Unspecified application

Species

Unspecified reactive species

Yuzhu Xu,Lele Zhang,Xuanfei Xu,Yuao Tao,Pengfei Xue,Yuntao Wang,Renjie Chai,Xiaotao Wu

Gut microbes 16:2428425 PubMed39567865

2024

Rotavirus rewires host cell metabolic pathways toward glutamine catabolism for effective virus infection.

Applications

Unspecified application

Species

Unspecified reactive species

Suvrotoa Mitra,Ratul Datta Chaudhuri,Rakesh Sarkar,Shreya Banerjee,Arpita Mukherjee,Ranjana Sharma,Animesh Gope,Kei Kitahara,Shin-Ichi Miyoshi,Mamta Chawla-Sarkar

PLoS pathogens 20:e1012552 PubMed39259763

2024

Prion diseases disrupt glutamate/glutamine metabolism in skeletal muscle.

Applications

Unspecified application

Species

Unspecified reactive species

Davide Caredio,Maruša Koderman,Karl J Frontzek,Silvia Sorce,Mario Nuvolone,Juliane Bremer,Giovanni Mariutti,Petra Schwarz,Lidia Madrigal,Marija Mitrovic,Stefano Sellitto,Nathalie Streichenberger,Claudia Scheckel,Adriano Aguzzi

Cell metabolism 32:420-436.e12 PubMed32768387

2020

Sirt2 Inhibition Enhances Metabolic Fitness and Effector Functions of Tumor-Reactive T Cells.

Applications

Unspecified application

Species

Unspecified reactive species

Imene Hamaidi,Lin Zhang,Nayoung Kim,Min-Hsuan Wang,Cristina Iclozan,Bin Fang,Min Liu,John M Koomen,Anders E Berglund,Sean J Yoder,Jiqiang Yao,Robert W Engelman,Ben C Creelan,Jose R Conejo-Garcia,Scott J Antonia,James J Mulé,Sungjune Kim

Cell metabolism 31:267-283.e12 PubMed31866442

2019

A Variant of SLC1A5 Is a Mitochondrial Glutamine Transporter for Metabolic Reprogramming in Cancer Cells.

Applications

Unspecified application

Species

Unspecified reactive species

Hee Chan Yoo,Seung Joon Park,Miso Nam,Juwon Kang,Kibum Kim,Joo Hye Yeo,Joon-Ki Kim,Yunkyung Heo,Hee Seung Lee,Myeong Youl Lee,Chang Woo Lee,Jong Soon Kang,Yun-Hee Kim,Jinu Lee,Junjeong Choi,Geum-Sook Hwang,Seungmin Bang,Jung Min Han
View all publications

Product promise

We are committed to supporting your work with high-quality reagents, and we're here for you every step of the way. In the unlikely event that one of our products does not perform as expected, you're protected by our Product Promise.
For full details, please see our Terms & Conditions

Please note: All products are 'FOR RESEARCH USE ONLY. NOT FOR USE IN DIAGNOSTIC OR THERAPEUTIC PROCEDURES'.

For licensing inquiries, please contact partnerships@abcam.com