JavaScript is disabled in your browser. Please enable JavaScript to view this website.
AB240193

Anti-Glutamine Synthetase antibody [EPR13022(B)] - BSA and Azide free

  • BOND RX™ Validated
  • Recombinant
  • KO Validated
  • Advanced Validation
  • RabMAb
  • What is this?

Be the first to review this product! Submit a review

|

(2 Publications)

Rabbit Recombinant Monoclonal Glutamine Synthetase antibody. Carrier free. Suitable for IHC-P, WB, IHC-Fr, mIHC and reacts with Mouse, Human, Nothobranchius furzeri, Rat samples. Cited in 2 publications.

View Alternative Names

GLNS, GLUL, Glutamine synthetase, GS, Glutamate--ammonia ligase, Palmitoyltransferase GLUL

11 Images
Multiplex immunohistochemistry - Anti-Glutamine Synthetase antibody [EPR13022(B)] - BSA and Azide free (AB240193)
  • mIHC

Lab

Multiplex immunohistochemistry - Anti-Glutamine Synthetase antibody [EPR13022(B)] - BSA and Azide free (AB240193)

This data was developed using ab176562, the same antibody clone in a different buffer formulation. Multiplex immunohistochemistry analysis of formalin/PFA-fixed paraffin-embedded Human retina tissue labeling PAX6, Glutamine Synthetase and CRX with ab109233 at 1/10000 dilution, ab240193 at 1/20000 dilution and ab248897 at 1/1000 dilution followed by a ready to use Opal Polymer HRP Ms + Rb secondary antibody. Nuclear counter stain used was DAPI. Heat mediated antigen retrieval with Tris-EDTA buffer (pH 9.0, epitope retrieval solution2) for 20 mins Panel A : merged staining of anti-CRX (gray; Opal™690), anti-Glutamine Synthetase (green; Opal™520) and anti-PAX6 (red; Opal™570) on human retina. Panel B : anti-PAX6 stained on retinal progenitor cells. Panel C : anti-Glutamine Synthetase stained on Müller glia. Panel D : anti-CRX stained on subset cells of outer nuclear layer and inner nuclear layer. The section was incubated in three rounds of staining : in the order of ab248897, ab240193, and ab109233 for 30 mins at room temperature. Each round was followed by a separate fluorescent tyramide signal amplification system. The immunostaining was performed on a Leica Biosystems BOND® RX instrument with an Opal™ 4-color kit. Image acquisition was performed with Leica SP8 confocal microscope.

Immunohistochemistry (Formalin/PFA-fixed paraffin-embedded sections) - Anti-Glutamine Synthetase antibody [EPR13022(B)] - BSA and Azide free (AB240193)
  • IHC-P

Supplier Data

Immunohistochemistry (Formalin/PFA-fixed paraffin-embedded sections) - Anti-Glutamine Synthetase antibody [EPR13022(B)] - BSA and Azide free (AB240193)

Immunohistochemical analysis of formalin-fixed, paraffin-embedded, Human glioma tissue labeling Glutamine Synthetase with unpurified ab176562 at a 1/100 dilution.

This data was developed using the same antibody clone in a different buffer formulation containing PBS, BSA, glycerol, and sodium azide (ab176562).

Heat mediated antigen retrieval was performed with citrate buffer pH 6 before commencing with IHC staining protocol.

Immunohistochemistry (Formalin/PFA-fixed paraffin-embedded sections) - Anti-Glutamine Synthetase antibody [EPR13022(B)] - BSA and Azide free (AB240193)
  • IHC-P

Supplier Data

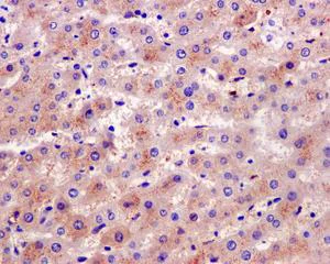
Immunohistochemistry (Formalin/PFA-fixed paraffin-embedded sections) - Anti-Glutamine Synthetase antibody [EPR13022(B)] - BSA and Azide free (AB240193)

Immunohistochemical analysis of formalin-fixed, paraffin-embedded, Human liver tissue labeling Glutamine Synthetase with unpurified ab176562 at a 1/100 dilution.

This data was developed using the same antibody clone in a different buffer formulation containing PBS, BSA, glycerol, and sodium azide (ab176562).

Heat mediated antigen retrieval was performed with citrate buffer pH 6 before commencing with IHC staining protocol.

Immunohistochemistry (Formalin/PFA-fixed paraffin-embedded sections) - Anti-Glutamine Synthetase antibody [EPR13022(B)] - BSA and Azide free (AB240193)
  • IHC-P

Lab

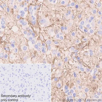
Immunohistochemistry (Formalin/PFA-fixed paraffin-embedded sections) - Anti-Glutamine Synthetase antibody [EPR13022(B)] - BSA and Azide free (AB240193)

Immunohistochemistry (Formalin/PFA-fixed paraffin-embedded sections) analysis of Human glioma tissue sections labeling Glutamine Synthetase with purified ab176562 at 1 : 500 dilution (0.18 μg/ml). Heat mediated antigen retrieval was performed using citrate Buffer, pH6.0. Tissue was counterstained with Hematoxylin. ImmunoHistoProbe one step HRP Polymer (ready to use) secondary antibody was used at 1 : 0 dilution. PBS instead of the primary antibody was used as the negative control.

This data was developed using the same antibody clone in a different buffer formulation containing PBS, BSA, glycerol, and sodium azide (ab176562).

Immunohistochemistry (Frozen sections) - Anti-Glutamine Synthetase antibody [EPR13022(B)] - BSA and Azide free (AB240193)
  • IHC-Fr

Supplier Data

Immunohistochemistry (Frozen sections) - Anti-Glutamine Synthetase antibody [EPR13022(B)] - BSA and Azide free (AB240193)

Immunohistochemical analysis of 4% paraformaldehyde-fixed, 0.2% Triton X-100-permeabilised mouse cerebrum tissue staining glutamine synthetase with ab176562 at 1/250 dilution, followed by alexaFluor®488 Goat anti-Rabbit secondary (ab150077) at 1/1000 dilution. Heat mediated antigen retrieval using sodium citrate buffer (10mM citrate pH 6.0 + 0.05% Tween-20). DAPI was used as a nuclear counterstain.

Positive staining on mouse cerebrum (PMID : 23895693).

This data was developed using the same antibody clone in a different buffer formulation containing PBS, BSA, glycerol, and sodium azide (ab176562).

Immunohistochemistry (Frozen sections) - Anti-Glutamine Synthetase antibody [EPR13022(B)] - BSA and Azide free (AB240193)
  • IHC-Fr

Supplier Data

Immunohistochemistry (Frozen sections) - Anti-Glutamine Synthetase antibody [EPR13022(B)] - BSA and Azide free (AB240193)

Immunohistochemical analysis of 4% paraformaldehyde-fixed, 0.2% Triton X-100-permeabilised rat cerebrum tissue staining glutamine synthetase with ab176562 at 1/250 dilution, followed by alexaFluor®488 Goat anti-Rabbit secondary (ab150077) at 1/1000 dilution. Heat mediated antigen retrieval was performed using sodium citrate buffer (10mM citrate pH 6.0 + 0.05% Tween-20). DAPI was used as a nuclear counterstain.

Positive staining on rat cerebrum (PMID : 23895693).

This data was developed using the same antibody clone in a different buffer formulation containing PBS, BSA, glycerol, and sodium azide (ab176562).

Immunohistochemistry (Formalin/PFA-fixed paraffin-embedded sections) - Anti-Glutamine Synthetase antibody [EPR13022(B)] - BSA and Azide free (AB240193)
  • IHC-P

AbReview62809****

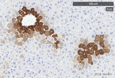
Immunohistochemistry (Formalin/PFA-fixed paraffin-embedded sections) - Anti-Glutamine Synthetase antibody [EPR13022(B)] - BSA and Azide free (AB240193)

ab176562 staining Glutamine Synthetasein Mouse Liver tissue sections by Immunohistochemistry (PFA perfusion fixed frozen sections). Tissue samples were fixed by perfusion with formaldehyde, blocked with PB ab64226 for 10 minutes at room temperature and antigen retrieval was by heat mediation in citrate buffer. The sample was incubated with primary antibody (1/200) for 30 minutes. A HRP-conjugated Goat anti-rabbit polyclonal (1/200) was used as the secondary antibody.

This data was developed using the same antibody clone in a different buffer formulation containing PBS, BSA, glycerol, and sodium azide (ab176562).

This image is courtesy of Alex Van Engelenburg

Western blot - Anti-Glutamine Synthetase antibody [EPR13022(B)] - BSA and Azide free (AB240193)
  • WB

Unknown

Western blot - Anti-Glutamine Synthetase antibody [EPR13022(B)] - BSA and Azide free (AB240193)

This data was developed using ab176562, the same antibody clone in a different buffer formulation :

Lanes 1 - 2 : Merged signal (red and green). Green - ab176562 observed at 42 kDa. Red - loading control, ab130007, observed at 130 kDa.

ab176562 was shown to recognize Glutamine Synthetase in wild-type HAP1 cells as signal was lost at the expected MW in GLUL knockout cells. Additional cross-reactive bands were observed in the wild-type and knockout cells. Wild-type and GLUL knockout samples were subjected to SDS-PAGE. ab176562 and ab130007 (Mouse anti-Vinculin loading control) were incubated overnight at 4°C at 1 μg/ml and 1/20000 dilution respectively. Blots were developed with Goat anti-Rabbit IgG H&L (IRDye® 800CW) preabsorbed ab216773 and Goat anti-Mouse IgG H&L (IRDye® 680RD) preabsorbed ab216776 secondary antibodies at 1/20000 dilution for 1 hour at room temperature before imaging.

All lanes:

Western blot - Anti-Glutamine Synthetase antibody [EPR13022(B)] - BSA and Azide free (ab240193) at 1 µg

Lane 1:

Wild-type HAP1 whole cell lysate at 20 µg

Lane 2:

GLUL knockout HAP1 whole cell lysate at 20 µg

Predicted band size: 42 kDa

false

Western blot - Anti-Glutamine Synthetase antibody [EPR13022(B)] - BSA and Azide free (AB240193)
  • WB

Unknown

Western blot - Anti-Glutamine Synthetase antibody [EPR13022(B)] - BSA and Azide free (AB240193)

This data was developed using ab176562, the same antibody clone in a different buffer formulation.

Blocking and diluting buffer : 5% NFDM/TBST

All lanes:

Western blot - Anti-Glutamine Synthetase antibody [EPR13022(B)] - BSA and Azide free (ab240193) at 1/2000 dilution

Lane 1:

Human fetal liver lysates at 20 µg

Lane 2:

HeLa (Human cervix adenocarcinoma epithelial cell) whole cell lysates at 15 µg

Lane 3:

Mouse spleen lysates at 20 µg

Lane 4:

Rat spleen lysates at 20 µg

Secondary

All lanes:

Western blot - Goat Anti-Rabbit IgG H&L (HRP) (<a href='/en-us/products/secondary-antibodies/goat-rabbit-igg-h-l-hrp-ab97051'>ab97051</a>) at 1/100000 dilution

Predicted band size: 42 kDa

Observed band size: 42 kDa

false

Western blot - Anti-Glutamine Synthetase antibody [EPR13022(B)] - BSA and Azide free (AB240193)
  • WB

Unknown

Western blot - Anti-Glutamine Synthetase antibody [EPR13022(B)] - BSA and Azide free (AB240193)

This data was developed using ab176562, the same antibody clone in a different buffer formulation.

All lanes:

Western blot - Anti-Glutamine Synthetase antibody [EPR13022(B)] - BSA and Azide free (ab240193) at 1/1000 dilution

Lane 1:

Human fetal liver lysate at 10 µg

Lane 2:

Jurkat cell lysate at 10 µg

Lane 3:

HeLa cell lysate at 10 µg

Predicted band size: 42 kDa

true

Immunohistochemistry (Frozen sections) - Anti-Glutamine Synthetase antibody [EPR13022(B)] - BSA and Azide free (AB240193)
  • IHC-Fr

AbReview6919e741f4ec5e9fb5f08989****

Immunohistochemistry (Frozen sections) - Anti-Glutamine Synthetase antibody [EPR13022(B)] - BSA and Azide free (AB240193)

This data was developed using ab176562, the same antibody clone in a different buffer formulation.

Immunohistochemical analysis of PFA-fixed unpermeabilized frozen Nothobranchius furzeri Retina, 6 weeks old (fresh frozen) tissue labeling Glutamine Synthetase with ab176562 at 1/100 dilution for 16 hours at 4°C followed by Goat anti Rabbit Alexa Fluor® 488 at 1/1000 dilution (pseudocolored to cyan). 1% BSA used as blocking agent for 1 hour.

Antigen retrieval was used prior to antibody labelling. Slides were boiled in NaCit (pH=6.0) for 20 minutes and washed 3x PBS with Triton X (0.1%).

This image is courtesy of an Abreview submitted by Ryan Macdonald

  • Unconjugated

    Anti-Glutamine Synthetase antibody [EPR13022(B)]

  • HRP

    HRP Anti-Glutamine Synthetase antibody [EPR13022(B)]

  • 665 Alexa Fluor® 647

    Alexa Fluor® 647 Anti-Glutamine Synthetase antibody [EPR13022(B)]

  • 565 Alexa Fluor® 555

    Alexa Fluor® 555 Anti-Glutamine Synthetase antibody [EPR13022(B)]

  • 519 Alexa Fluor® 488

    Alexa Fluor® 488 Anti-Glutamine Synthetase antibody [EPR13022(B)]

  • 603 Alexa Fluor® 568

    Alexa Fluor® 568 Anti-Glutamine Synthetase antibody [EPR13022(B)]

  • 617 Alexa Fluor® 594

    Alexa Fluor® 594 Anti-Glutamine Synthetase antibody [EPR13022(B)]

Key facts

Host species

Rabbit

Clonality

Monoclonal

Clone number

EPR13022(B)

Isotype

IgG

Carrier free

Yes

Reacts with

Mouse, Rat, Human, Nothobranchius furzeri

Applications

mIHC, IHC-P, IHC-Fr, WB

applications

Immunogen

The exact immunogen used to generate this antibody is proprietary information.

Reactivity data

{ "title": "Reactivity Data", "filters": { "stats": ["", "Species", "Dilution Info", "Notes"], "tabs": { "all-applications": {"fullname" : "All Applications", "shortname": "All Applications"}, "IHCP" : {"fullname" : "Immunohistochemistry (Formalin/PFA-fixed paraffin-embedded sections)", "shortname":"IHC-P"}, "IP" : {"fullname" : "Immunoprecipitation", "shortname":"IP"}, "FlowCyt" : {"fullname" : "Flow Cytometry", "shortname":"Flow Cyt"}, "WB" : {"fullname" : "Western blot", "shortname":"WB"}, "ICCIF" : {"fullname" : "Immunocytochemistry/ Immunofluorescence", "shortname":"ICC/IF"}, "IHCFr" : {"fullname" : "Immunohistochemistry (Frozen sections)", "shortname":"IHC-Fr"}, "mIHC" : {"fullname" : "Multiplex immunohistochemistry", "shortname":"mIHC"} }, "product-promise": { "all": "all", "testedAndGuaranteed": "tested", "guaranteed": "expected", "predicted": "predicted", "notRecommended": "not-recommended" } }, "values": { "Human": { "IHCP-species-checked": "testedAndGuaranteed", "IHCP-species-dilution-info": "", "IHCP-species-notes": "<p>The mouse and rat recommendation is based on the WB results. This antibody may not be suitable for IHC with mouse or rat samples.</p>", "IP-species-checked": "notRecommended", "IP-species-dilution-info": "", "IP-species-notes": "<p></p>", "FlowCyt-species-checked": "notRecommended", "FlowCyt-species-dilution-info": "", "FlowCyt-species-notes": "<p><a href='/en-us/products/primary-antibodies/rabbit-igg-monoclonal-epr25a-isotype-control-low-endotoxin-azide-free-ab199376'>ab199376</a> - Rabbit monoclonal IgG, is suitable for use as an isotype control with this antibody.</p>", "WB-species-checked": "testedAndGuaranteed", "WB-species-dilution-info": "", "WB-species-notes": "<p></p>", "ICCIF-species-checked": "notRecommended", "ICCIF-species-dilution-info": "", "ICCIF-species-notes": "<p></p>", "IHCFr-species-checked": "guaranteed", "IHCFr-species-dilution-info": "", "IHCFr-species-notes": "", "mIHC-species-checked": "testedAndGuaranteed", "mIHC-species-dilution-info": "", "mIHC-species-notes": "<p></p>" }, "Mouse": { "IHCP-species-checked": "testedAndGuaranteed", "IHCP-species-dilution-info": "", "IHCP-species-notes": "<p>The mouse and rat recommendation is based on the WB results. This antibody may not be suitable for IHC with mouse or rat samples.</p>", "IP-species-checked": "notRecommended", "IP-species-dilution-info": "", "IP-species-notes": "<p></p>", "FlowCyt-species-checked": "notRecommended", "FlowCyt-species-dilution-info": "", "FlowCyt-species-notes": "<p><a href='/en-us/products/primary-antibodies/rabbit-igg-monoclonal-epr25a-isotype-control-low-endotoxin-azide-free-ab199376'>ab199376</a> - Rabbit monoclonal IgG, is suitable for use as an isotype control with this antibody.</p>", "WB-species-checked": "guaranteed", "WB-species-dilution-info": "", "WB-species-notes": "", "ICCIF-species-checked": "notRecommended", "ICCIF-species-dilution-info": "", "ICCIF-species-notes": "<p></p>", "IHCFr-species-checked": "testedAndGuaranteed", "IHCFr-species-dilution-info": "", "IHCFr-species-notes": "<p></p>", "mIHC-species-checked": "guaranteed", "mIHC-species-dilution-info": "", "mIHC-species-notes": "" }, "Rat": { "IHCP-species-checked": "guaranteed", "IHCP-species-dilution-info": "", "IHCP-species-notes": "", "IP-species-checked": "notRecommended", "IP-species-dilution-info": "", "IP-species-notes": "<p></p>", "FlowCyt-species-checked": "notRecommended", "FlowCyt-species-dilution-info": "", "FlowCyt-species-notes": "<p><a href='/en-us/products/primary-antibodies/rabbit-igg-monoclonal-epr25a-isotype-control-low-endotoxin-azide-free-ab199376'>ab199376</a> - Rabbit monoclonal IgG, is suitable for use as an isotype control with this antibody.</p>", "WB-species-checked": "guaranteed", "WB-species-dilution-info": "", "WB-species-notes": "", "ICCIF-species-checked": "notRecommended", "ICCIF-species-dilution-info": "", "ICCIF-species-notes": "<p></p>", "IHCFr-species-checked": "testedAndGuaranteed", "IHCFr-species-dilution-info": "", "IHCFr-species-notes": "<p></p>", "mIHC-species-checked": "guaranteed", "mIHC-species-dilution-info": "", "mIHC-species-notes": "" }, "Nothobranchius furzeri": { "IHCP-species-checked": "guaranteed", "IHCP-species-dilution-info": "", "IHCP-species-notes": "", "IP-species-checked": "notRecommended", "IP-species-dilution-info": "", "IP-species-notes": "", "FlowCyt-species-checked": "notRecommended", "FlowCyt-species-dilution-info": "", "FlowCyt-species-notes": "", "WB-species-checked": "guaranteed", "WB-species-dilution-info": "", "WB-species-notes": "", "ICCIF-species-checked": "notRecommended", "ICCIF-species-dilution-info": "", "ICCIF-species-notes": "", "IHCFr-species-checked": "testedAndGuaranteed", "IHCFr-species-dilution-info": "", "IHCFr-species-notes": "<p></p> Perform heat-mediated antigen retrieval with citrate buffer pH 6 before commencing with IHC staining protocol.", "mIHC-species-checked": "guaranteed", "mIHC-species-dilution-info": "", "mIHC-species-notes": "" } } }

Product details

ab240193 is the carrier-free version of ab176562.

Patented technology
Our RabMAb® technology is a patented hybridoma-based technology for making rabbit monoclonal antibodies. For details on our patents, please refer to RabMAb® patents.

What are the advantages of a recombinant monoclonal antibody?
This product is a recombinant monoclonal antibody, which offers several advantages including:

  • - High batch-to-batch consistency and reproducibility
  • - Improved sensitivity and specificity
  • - Long-term security of supply
  • - Animal-free batch production

For more information, read more on recombinant antibodies.

Conjugation ready
Our carrier-free antibodies are typically supplied in a PBS-only formulation, purified and free of BSA, sodium azide and glycerol. This conjugation-ready format is designed for use with fluorochromes, metal isotopes, oligonucleotides, and enzymes, which makes them ideal for antibody labelling, functional and cell-based assays, flow-based assays (e.g. mass cytometry) and Multiplex Imaging applications.

Use our conjugation kits for antibody conjugates that are ready-to-use in as little as 20 minutes with 1 minute hands-on-time and 100% antibody recovery: available for fluorescent dyes, HRP, biotin and gold.

Compatibility
This product is compatible with the Maxpar® Antibody Labeling Kit from Fluidigm, without the need for antibody preparation. Maxpar® is a trademark of Fluidigm Canada Inc.

Properties and storage information

Form
Liquid
Purification technique
Affinity purification Protein A
Storage buffer
pH: 7.2 - 7.4 Constituents: PBS
Shipped at conditions
Blue Ice
Appropriate short-term storage conditions
+4°C
Appropriate long-term storage conditions
+4°C
Storage information
Do Not Freeze

Supplementary information

This supplementary information is collated from multiple sources and compiled automatically.

Glutamine synthetase also known as glutamine s synthetase or glnA is an enzyme that catalyzes the ATP-dependent conversion of glutamate and ammonia into glutamine. This reaction plays an important role in nitrogen metabolism. Glutamine synthetase has a molecular weight of approximately 620 kDa and forms a multimeric structure commonly seen in bacteria plants and animal tissues with significant expression in the brain liver and kidneys.
Biological function summary

This enzyme supports the detoxification of ammonia by incorporating it into glutamine an essential amino acid and nitrogen donor. Glutamine synthetase operates independently rather than as part of a larger protein complex. It assists in maintaining cellular nitrogen balance and facilitates the synthesis of proteins and other nitrogen-containing molecules. Glutamine peptides serve vital roles in cellular processes underlining the significance of their synthesis.

Pathways

Glutamine synthetase integrates into the glutamate and glutamine cycle between neurons and glial cells highlighting its part in neurotransmitter metabolism. It also features prominently in the urea cycle influencing nitrogen disposal in organisms. Glutamine synthetase interacts with glutaminase which assists in transforming glutamine back to glutamate maintaining a balance of nitrogenous compounds within these pathways.

Glutamine synthetase abnormalities link to hepatic encephalopathy and neurodegenerative disorders such as Alzheimer's disease. Altered enzyme expression contributes to increased ammonia levels adversely affecting brain function. In Alzheimer's disease connections with tau and amyloid-beta proteins suggest a link between glutamine synthetase activity and neurotoxic events. Understanding these interactions may offer insights into therapeutic approaches for these conditions.

Product protocols

For this product, it's our understanding that no specific protocols are required. You can visit:

Target data

Glutamine synthetase that catalyzes the ATP-dependent conversion of glutamate and ammonia to glutamine (PubMed : 16267323, PubMed : 30158707, PubMed : 36289327). Its role depends on tissue localization : in the brain, it regulates the levels of toxic ammonia and converts neurotoxic glutamate to harmless glutamine, whereas in the liver, it is one of the enzymes responsible for the removal of ammonia (By similarity). Plays a key role in ammonium detoxification during erythropoiesis : the glutamine synthetase activity is required to remove ammonium generated by porphobilinogen deaminase (HMBS) during heme biosynthesis to prevent ammonium accumulation and oxidative stress (By similarity). Essential for proliferation of fetal skin fibroblasts (PubMed : 18662667). Independently of its glutamine synthetase activity, required for endothelial cell migration during vascular development : acts by regulating membrane localization and activation of the GTPase RHOJ, possibly by promoting RHOJ palmitoylation (PubMed : 30158707). May act as a palmitoyltransferase for RHOJ : able to autopalmitoylate and then transfer the palmitoyl group to RHOJ (PubMed : 30158707). Plays a role in ribosomal 40S subunit biogenesis (PubMed : 26711351). Through the interaction with BEST2, inhibits BEST2 channel activity by affecting the gating at the aperture in the absence of intracellular L-glutamate, but sensitizes BEST2 to intracellular L-glutamate, which promotes the opening of BEST2 and thus relieves its inhibitory effect on BEST2 (PubMed : 36289327).
See full target information GLUL

Publications (2)

Recent publications for all applications. Explore the full list and refine your search

Developmental cell 59:869-881.e6 PubMed38359832

2024

Multimodal mass spectrometry imaging identifies cell-type-specific metabolic and lipidomic variation in the mammalian liver.

Applications

mIHC, mIHC

Species

Human, Mouse

Hua Tian,Presha Rajbhandari,Jay Tarolli,Aubrianna M Decker,Taruna V Neelakantan,Tina Angerer,Fereshteh Zandkarimi,Helen Remotti,Gilles Frache,Nicholas Winograd,Brent R Stockwell

Journal of immunology (Baltimore, Md. : 1950) 204:3400-3415 PubMed32358019

2020

Suppression of Mll1-Complex by Stat3/Cebpβ-Induced miR-21a/21b/181b Maintains the Accumulation, Homeostasis, and Immunosuppressive Function of Polymorphonuclear Myeloid-Derived Suppressor Cells.

Applications

Unspecified application

Species

Unspecified reactive species

Zhiqian Zhang,Xu Huang,Enlin Wang,Yugang Huang,Rongcun Yang
View all publications

Product promise

We are committed to supporting your work with high-quality reagents, and we're here for you every step of the way. In the unlikely event that one of our products does not perform as expected, you're protected by our Product Promise.
For full details, please see our Terms & Conditions

Please note: All products are 'FOR RESEARCH USE ONLY. NOT FOR USE IN DIAGNOSTIC OR THERAPEUTIC PROCEDURES'.

For licensing inquiries, please contact partnerships@abcam.com