JavaScript is disabled in your browser. Please enable JavaScript to view this website.
AB319158

Anti-Glutaredoxin 1 antibody [EPR29206-50]

  • BOND RX™ Validated
  • 20ul selling size
  • Recombinant
  • RabMAb
  • What is this?

Be the first to review this product! Submit a review

|

(0 Publication)

Rabbit Recombinant Monoclonal Glutaredoxin 1 antibody. Suitable for IHC-P, WB and reacts with Human, Mouse samples.

View alternative names

GRX, GLRX, Glutaredoxin-1, Thioltransferase-1, TTase-1

9 Images
Western blot - Anti-Glutaredoxin 1 antibody [EPR29206-50] (AB319158)
  • WB

Supplier Data

Western blot - Anti-Glutaredoxin 1 antibody [EPR29206-50] (AB319158)

Low expression : brain, lung (PMID : 11297543).

The identity of the higher MW bands at approximately 37kDa (in lane 2) and 20kDa (in lanes 3-4) are unknown.

In Western blot, Anti-Vinculin antibody [EPR8185] (ab129002) staining at 1/10000 dilution.

Blocking and dilution buffer and concentration : 5% NFDM/TBST

All lanes:

Western blot - Anti-Glutaredoxin 1 antibody [EPR29206-50] (ab319158) at 1/1000 dilution

Lane 1:

Mouse small intestine tissue lysate at 20 µg

Lane 2:

Mouse liver tissue lysate at 20 µg

Lane 3:

Mouse brain tissue lysate at 20 µg

Lane 4:

Mouse lung tissue lysate at 20 µg

Secondary

All lanes:

Western blot - Goat Anti-Rabbit IgG H&L (HRP) (<a href='/en-us/products/secondary-antibodies/goat-rabbit-igg-h-l-hrp-ab97051'>ab97051</a>) at 1/20000 dilution

False

Exposure time: 92s

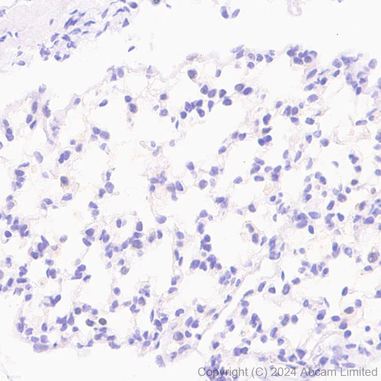
Immunohistochemistry (Formalin/PFA-fixed paraffin-embedded sections) - Anti-Glutaredoxin 1 antibody [EPR29206-50] (AB319158)
  • IHC-P

Supplier Data

Immunohistochemistry (Formalin/PFA-fixed paraffin-embedded sections) - Anti-Glutaredoxin 1 antibody [EPR29206-50] (AB319158)

Immunohistochemical analysis of paraffin-embedded Mouse lung tissue labeling Glutaredoxin 1 with ab319158 at 1/1000 (0.502 ug/ml) dilution followed by a ready to use LeicaDS9800 (Bond™ Polymer Refine Detection).

Low expression tissue : Nearly no staining in mouse lung.
The section was incubated with ab319158 for 30 mins at room temperature.
The immunostaining was performed on a Leica Biosystems BOND® RX instrument

Counterstained with Hematoxylin.

MSD279 antibody only control : Secondary antibody is a ready to use LeicaDS9800 (Bond™ Polymer Refine Detection).

Heat mediated antigen retrieval was performed with Tris-EDTA buffer (pH 9.0 Epitope Retrieval Solution2) for 20 mins

Immunohistochemistry (Formalin/PFA-fixed paraffin-embedded sections) - Anti-Glutaredoxin 1 antibody [EPR29206-50] (AB319158)
  • IHC-P

Supplier Data

Immunohistochemistry (Formalin/PFA-fixed paraffin-embedded sections) - Anti-Glutaredoxin 1 antibody [EPR29206-50] (AB319158)

Immunohistochemical analysis of paraffin-embedded Human lung tissue labeling Glutaredoxin 1 with ab319158 at 1/5000 (0.1 ug/ml) dilution followed by a ready to use LeicaDS9800 (Bond™ Polymer Refine Detection).

Low expression tissue : Nearly no staining in human lung.
The section was incubated with ab319158 for 30 mins at room temperature.
The immunostaining was performed on a Leica Biosystems BOND® RX instrument

Counterstained with Hematoxylin.

MSD279 antibody only control : Secondary antibody is a ready to use LeicaDS9800 (Bond™ Polymer Refine Detection).

Heat mediated antigen retrieval was performed with Tris-EDTA buffer (pH 9.0 Epitope Retrieval Solution2) for 20 mins

Immunohistochemistry (Formalin/PFA-fixed paraffin-embedded sections) - Anti-Glutaredoxin 1 antibody [EPR29206-50] (AB319158)
  • IHC-P

Supplier Data

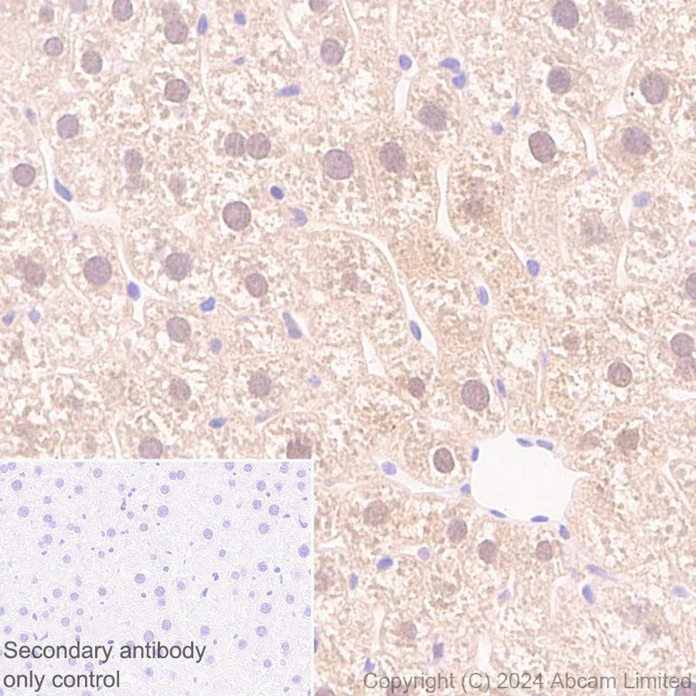
Immunohistochemistry (Formalin/PFA-fixed paraffin-embedded sections) - Anti-Glutaredoxin 1 antibody [EPR29206-50] (AB319158)

Immunohistochemical analysis of paraffin-embedded Mouse liver tissue labeling Glutaredoxin 1 with ab319158 at 1/1000 (0.502 ug/ml) dilution followed by a ready to use LeicaDS9800 (Bond™ Polymer Refine Detection).

Positive staining in mouse liver.
The section was incubated with ab319158 for 30 mins at room temperature.
The immunostaining was performed on a Leica Biosystems BOND® RX instrument

Counterstained with Hematoxylin.

MSD279 antibody only control : Secondary antibody is a ready to use LeicaDS9800 (Bond™ Polymer Refine Detection).

Heat mediated antigen retrieval was performed with Citrate buffer (pH 6.0 Epitope Retrieval Solution 1) for 20 mins

Immunohistochemistry (Formalin/PFA-fixed paraffin-embedded sections) - Anti-Glutaredoxin 1 antibody [EPR29206-50] (AB319158)
  • IHC-P

Supplier Data

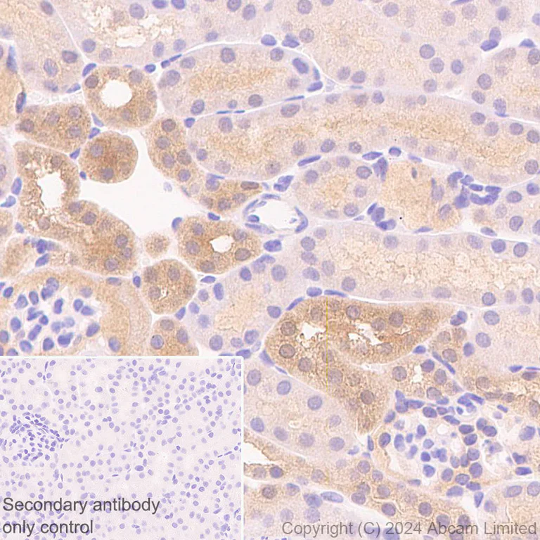
Immunohistochemistry (Formalin/PFA-fixed paraffin-embedded sections) - Anti-Glutaredoxin 1 antibody [EPR29206-50] (AB319158)

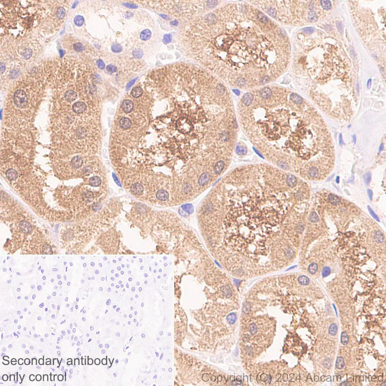
Immunohistochemical analysis of paraffin-embedded Mouse kidney tissue labeling Glutaredoxin 1 with ab319158 at 1/1000 (0.502 ug/ml) dilution followed by a ready to use LeicaDS9800 (Bond™ Polymer Refine Detection).

Positive staining in mouse kidney.
The section was incubated with ab319158 for 30 mins at room temperature.
The immunostaining was performed on a Leica Biosystems BOND® RX instrument

Counterstained with Hematoxylin.

MSD279 antibody only control : Secondary antibody is a ready to use LeicaDS9800 (Bond™ Polymer Refine Detection).

Heat mediated antigen retrieval was performed with Citrate buffer (pH 6.0 Epitope Retrieval Solution 1) for 20 mins

Immunohistochemistry (Formalin/PFA-fixed paraffin-embedded sections) - Anti-Glutaredoxin 1 antibody [EPR29206-50] (AB319158)
  • IHC-P

Supplier Data

Immunohistochemistry (Formalin/PFA-fixed paraffin-embedded sections) - Anti-Glutaredoxin 1 antibody [EPR29206-50] (AB319158)

Immunohistochemical analysis of paraffin-embedded Human kidney tissue labeling Glutaredoxin 1 with ab319158 at 1/5000 (0.502 ug/ml) dilution followed by a ready to use LeicaDS9800 (Bond™ Polymer Refine Detection).

Positive staining in human kidney (PMID : 11297543).
The section was incubated with ab319158 for 30 mins at room temperature.
The immunostaining was performed on a Leica Biosystems BOND® RX instrument

Counterstained with Hematoxylin.

MSD279 antibody only control : Secondary antibody is a ready to use LeicaDS9800 (Bond™ Polymer Refine Detection).

Heat mediated antigen retrieval was performed with Citrate buffer (pH 6.0 Epitope Retrieval Solution 1) for 20 mins

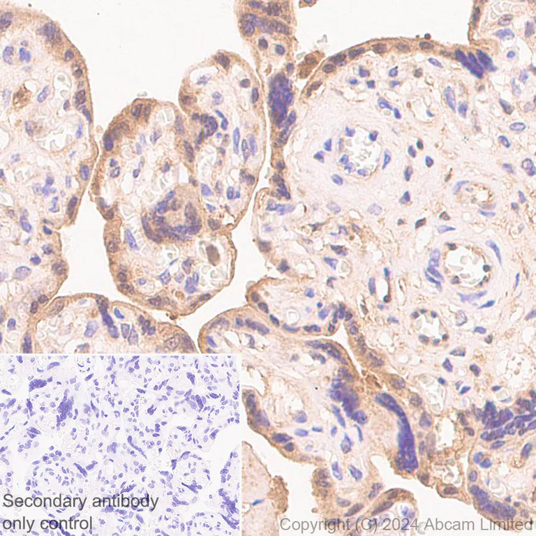
Immunohistochemistry (Formalin/PFA-fixed paraffin-embedded sections) - Anti-Glutaredoxin 1 antibody [EPR29206-50] (AB319158)
  • IHC-P

Supplier Data

Immunohistochemistry (Formalin/PFA-fixed paraffin-embedded sections) - Anti-Glutaredoxin 1 antibody [EPR29206-50] (AB319158)

Immunohistochemical analysis of paraffin-embedded Human placenta tissue labeling Glutaredoxin 1 with ab319158 at 1/5000 (0.1 ug/ml) dilution followed by a ready to use LeicaDS9800 (Bond™ Polymer Refine Detection).

Positive staining in human placenta (PMID : 11297543).
The section was incubated with ab319158 for 30 mins at room temperature.
The immunostaining was performed on a Leica Biosystems BOND® RX instrument

Counterstained with Hematoxylin.

MSD279 antibody only control : Secondary antibody is a ready to use LeicaDS9800 (Bond™ Polymer Refine Detection).

Heat mediated antigen retrieval was performed with Citrate buffer (pH 6.0 Epitope Retrieval Solution 1) for 20 mins

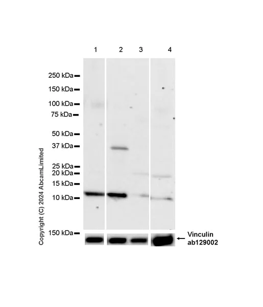
Western blot - Anti-Glutaredoxin 1 antibody [EPR29206-50] (AB319158)
  • WB

Supplier Data

Western blot - Anti-Glutaredoxin 1 antibody [EPR29206-50] (AB319158)

The identity of the higher MW band at approximately 25 kDa (in lane 1) is unknown.

Exposure time : Lanes 1 : 15 seconds Lanes 2-3 : 92 seconds

Blocking and dilution buffer and concentration : 5% NFDM/TBST

All lanes:

Western blot - Anti-Glutaredoxin 1 antibody [EPR29206-50] (ab319158) at 1/1000 dilution

Lane 1:

Human placenta tissue lysate at 20 µg

Lane 2:

Human skeletal muscle tissue lysate at 20 µg

Lane 3:

Mouse skeletal muscle tissue lysate at 20 µg

Secondary

All lanes:

Goat Anti-Rabbit IgG (HRP) with minimal cross-reactivity with human IgG at 1/2000 dilution

False

Western blot - Anti-Glutaredoxin 1 antibody [EPR29206-50] (AB319158)
  • WB

Supplier Data

Western blot - Anti-Glutaredoxin 1 antibody [EPR29206-50] (AB319158)

In Western blot Anti-GAPDH antibody [EPR16891] - Loading Control (ab181602) staining at 1/200000 dilution.

Exposure time : Lanes 1-2 : 180 seconds Lane 3 : 15 seconds

Blocking and dilution buffer and concentration : 5% NFDM/TBST

All lanes:

Western blot - Anti-Glutaredoxin 1 antibody [EPR29206-50] (ab319158) at 1/1000 dilution

Lane 1:

HeLa (human cervical adenocarcinoma epithelial cell) transfected with scrambled siRNA control whole cell lysate at 20 µg

Lane 2:

Hela transfected with siRNA specifically targeting Glutaredoxin 1 whole cell lysate at 20 µg

Lane 3:

Jurkat (human T cell leukemia T lymphocyte from peripheral blood) whole cell lysate at 20 µg

Secondary

All lanes:

Goat Anti-Rabbit IgG (HRP) with minimal cross-reactivity with human IgG at 1/2000 dilution

False

  • Carrier free

    Anti-Glutaredoxin 1 antibody [EPR29206-50] - BSA and Azide free

Key facts

Host species

Rabbit

Clonality

Monoclonal

Clone number

EPR29206-50

Isotype

IgG

Carrier free

No

Reacts with

Human,Mouse

Applications

WB, IHC-P

Immunogen

The exact immunogen used to generate this antibody is proprietary information.

Specificity

The immunogen shares no sequence similarity with GLRX2. Based on the immunogen sequence, we do not expect this antibody to cross-react with GLRX2. No cross-reactivity testing has been performed.

Reactivity data

{ "title": "Reactivity Data", "filters": { "stats": ["", "Species", "Dilution Info", "Notes"], "tabs": { "all-applications": {"fullname" : "All Applications", "shortname": "All Applications"}, "IHCP" : {"fullname" : "Immunohistochemistry (Formalin/PFA-fixed paraffin-embedded sections)", "shortname":"IHC-P"}, "WB" : {"fullname" : "Western blot", "shortname":"WB"}, "ICCIF" : {"fullname" : "Immunocytochemistry/ Immunofluorescence", "shortname":"ICC/IF"} }, "product-promise": { "all": "all", "testedAndGuaranteed": "tested", "guaranteed": "expected", "predicted": "predicted", "notRecommended": "not-recommended" } }, "values": { "Human": { "IHCP-species-checked": "testedAndGuaranteed", "IHCP-species-dilution-info": "1/5000", "IHCP-species-notes": "<p></p> Perform heat-mediated antigen retrieval with citrate buffer pH 6 before commencing with IHC staining protocol.", "WB-species-checked": "testedAndGuaranteed", "WB-species-dilution-info": "1/1000", "WB-species-notes": "<p></p>", "ICCIF-species-checked": "notRecommended", "ICCIF-species-dilution-info": "", "ICCIF-species-notes": "<p></p>" }, "Mouse": { "IHCP-species-checked": "testedAndGuaranteed", "IHCP-species-dilution-info": "1/1000", "IHCP-species-notes": "<p></p> Perform heat-mediated antigen retrieval with citrate buffer pH 6 before commencing with IHC staining protocol.", "WB-species-checked": "testedAndGuaranteed", "WB-species-dilution-info": "1/1000", "WB-species-notes": "<p></p>", "ICCIF-species-checked": "notRecommended", "ICCIF-species-dilution-info": "", "ICCIF-species-notes": "" } } }

Product details

Patented technology
Our RabMAb® technology is a patented hybridoma-based technology for making rabbit monoclonal antibodies. For details on our patents, please refer to RabMAb® patents.

What are the advantages of a recombinant monoclonal antibody?
This product is a recombinant monoclonal antibody, which offers several advantages including:

  • - High batch-to-batch consistency and reproducibility
  • - Improved sensitivity and specificity
  • - Long-term security of supply
  • - Animal-free batch production

For more information, read more on recombinant antibodies.

Properties and storage information

Form
Liquid
Purification technique
Affinity purification Protein A
Storage buffer
pH: 7.2 - 7.4 Preservative: 0.01% Sodium azide Constituents: PBS, 40% Glycerol (glycerin, glycerine), 0.05% BSA
Shipped at Conditions
Blue Ice
Appropriate short-term storage duration
1-2 weeks
Appropriate short-term storage conditions
+4°C
Appropriate long-term storage conditions
-20°C
Aliquoting information
Upon delivery aliquot
Storage information
Avoid freeze / thaw cycle

Supplementary info

This supplementary information is collated from multiple sources and compiled automatically.

Activity summary

Glutaredoxin 1 also known as GLRX or thioltransferase is a small protein with a mass of around 12 kDa. It functions mechanically by catalyzing the reduction of disulfide bonds in proteins using glutathione as a cofactor. This enzyme plays a critical role in maintaining the redox balance within cells. Glutaredoxin 1 is widely expressed in various tissues with particularly high levels in the liver and brain. Its ubiquitous expression highlights its importance in cellular processes requiring reduction-oxidation reactions.

Biological function summary

This enzyme acts as an important regulator in cellular redox homeostasis and defense against oxidative stress. Glutaredoxin 1 does not technically form a complex but often interacts with multiple other proteins to modulate their redox state. It is involved in the regulation of apoptosis signaling pathways and the repair of oxidatively damaged proteins. Through these actions Glutaredoxin 1 protects cells from damage and maintains proper cellular function.

Pathways

Glutaredoxin 1 participates in key processes like the regulation of the thiol-disulfide balance and the glutathione metabolism pathway. These pathways are important for cellular detoxification and antioxidant defense. It works closely with glutathione peroxidase to mitigate oxidative damage and preserves cellular integrity by ensuring reduced forms of cysteine residues on proteins. This function links Glutaredoxin 1 to other proteins such as thioredoxin which shares similar roles in oxidative stress management.

Associated diseases and disorders

Glutaredoxin 1 plays a significant part in neurodegenerative diseases and cardiovascular disorders. Its role in managing oxidative stress links it to conditions such as Alzheimer's disease where oxidative damage is a known contributor to disease progression. The relationship between Glutaredoxin 1 and proteins like amyloid-beta prevalent in Alzheimer's further highlights its importance. In cardiovascular disorders Glutaredoxin 1 influences the function of endothelial nitric oxide synthase a protein important for vascular health suggesting its involvement in maintaining vascular function and preventing cardiovascular diseases.

Product protocols

For this product, it's our understanding that no specific protocols are required. You can visit:

Target data

Has a glutathione-disulfide oxidoreductase activity in the presence of NADPH and glutathione reductase. Reduces low molecular weight disulfides and proteins.
See full target information GLRX

Product promise

We are committed to supporting your work with high-quality reagents, and we're here for you every step of the way. In the unlikely event that one of our products does not perform as expected, you're protected by our Product Promise.
For full details, please see our Terms & Conditions

Please note: All products are 'FOR RESEARCH USE ONLY. NOT FOR USE IN DIAGNOSTIC OR THERAPEUTIC PROCEDURES'.

For licensing inquiries, please contact partnerships@abcam.com