JavaScript is disabled in your browser. Please enable JavaScript to view this website.
AB137431

Anti-Glutathione Peroxidase 2/GPX2 antibody

Be the first to review this product! Submit a review

|

(22 Publications)

Rabbit Polyclonal Glutathione Peroxidase 2/GPX2 antibody. Suitable for ICC/IF, IP, WB, IHC-P and reacts with Human, Mouse samples. Cited in 22 publications. Immunogen corresponding to Synthetic Peptide within Human Glutathione peroxidase 2 aa 100 to C-terminus.

View Alternative Names

Glutathione peroxidase 2, GPx-2, GSHPx-2, Gastrointestinal glutathione peroxidase, Glutathione peroxidase-gastrointestinal, Glutathione peroxidase-related protein 2, Phospholipid hydroperoxide glutathione peroxidase GPX2, GPx-GI, GSHPx-GI, GPRP-2, GPX2

10 Images
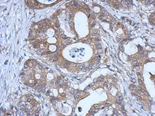
Immunohistochemistry (Formalin/PFA-fixed paraffin-embedded sections) - Anti-Glutathione Peroxidase 2/GPX2 antibody (AB137431)
  • IHC-P

Unknown

Immunohistochemistry (Formalin/PFA-fixed paraffin-embedded sections) - Anti-Glutathione Peroxidase 2/GPX2 antibody (AB137431)

Immunohistochemical analysis of paraffin-embedded Human gastric carcinoma tissue labelling Glutathione Peroxidase 2/GPX2 with ab137431 at 1/500 dilution.

Immunocytochemistry/ Immunofluorescence - Anti-Glutathione Peroxidase 2/GPX2 antibody (AB137431)
  • ICC/IF

Supplier Data

Immunocytochemistry/ Immunofluorescence - Anti-Glutathione Peroxidase 2/GPX2 antibody (AB137431)

Immunofluorescence analysis of HepG2 cells fixed in 4% paraformaldehyde at RT for 15 min labelling GPX2 protein at granule using ab137431 at a 1/500 dilution (Green). alpha Tubulin, a cytoskeleton marker was stained at a 1/1000 dilution (Red). DAPI was used for nuclear staining (Blue).

Immunoprecipitation - Anti-Glutathione Peroxidase 2/GPX2 antibody (AB137431)
  • IP

Supplier Data

Immunoprecipitation - Anti-Glutathione Peroxidase 2/GPX2 antibody (AB137431)

Immunoprecipitation of Glutathione Peroxidase 2/GPX2 protein from HepG2 whole cell extracts using 5 μg of ab137431.
Western blot analysis was performed using ab137431.

All lanes:

Immunoprecipitation - Anti-Glutathione Peroxidase 2/GPX2 antibody (ab137431)

Predicted band size: 22 kDa

false

Immunohistochemistry (Formalin/PFA-fixed paraffin-embedded sections) - Anti-Glutathione Peroxidase 2/GPX2 antibody (AB137431)
  • IHC-P

Unknown

Immunohistochemistry (Formalin/PFA-fixed paraffin-embedded sections) - Anti-Glutathione Peroxidase 2/GPX2 antibody (AB137431)

Immunohistochemical analysis of paraffin-embedded Mouse muscle tissue labelling Glutathione Peroxidase 2/GPX2 with ab137431 at 1/500 dilution.

Western blot - Anti-Glutathione Peroxidase 2/GPX2 antibody (AB137431)
  • WB

Supplier Data

Western blot - Anti-Glutathione Peroxidase 2/GPX2 antibody (AB137431)

Samples were separated by 12% SDS-PAGE.

All lanes:

Western blot - Anti-Glutathione Peroxidase 2/GPX2 antibody (ab137431) at 1/1000 dilution

Lane 1:

293T whole cell extracts at 30 µg

Lane 2:

A431 whole cell extracts at 30 µg

Secondary

All lanes:

HRP-conjugated anti-rabbit IgG

Predicted band size: 22 kDa

false

Western blot - Anti-Glutathione Peroxidase 2/GPX2 antibody (AB137431)
  • WB

Lab

Western blot - Anti-Glutathione Peroxidase 2/GPX2 antibody (AB137431)

Western blot : Anti-Glutathione Peroxidase 2/GPX2 antibody ab137431 staining at 1/1000 dilution, shown in green; Mouse anti alpha Tubulin ab7291 loading control staining at 1/20000 dilution, shown in magenta. A band was observed at 20 kDa in Wild-type A549 cell lysates with no signal observed at this size in GPX2 knockout A549 cell line. To generate this image, samples were run on an SDS-PAGE gel then transferred onto a nitrocellulose membrane. Membranes were blocked in 3pc Milk in TBS-0.1 % Tween® 20 (TBS-T) before incubation with primary antibodies overnight at 4 °C. Blots were washed four times in TBS-T, incubated with secondary antibodies for 1 h at room temperature, washed again four times then imaged. Secondary antibodies used were Goat anti-Rabbit 800CW and Goat anti-Mouse 680RD at 1/20,000 dilution.

All lanes:

Western blot - Anti-Glutathione Peroxidase 2/GPX2 antibody (ab137431) at 1/1000 dilution

Lane 1:

Wild-type A549 at 20 µg

Lane 2:

GPX2 knockout A549 cell line at 20 µg

Lane 3:

HepG2 at 20 µg

Lane 4:

HeLa at 20 µg

Secondary

All lanes:

Goat anti-Rabbit 800CW & Goat anti-Mouse 680RD at 1/20000 dilution

Predicted band size: 22 kDa

Observed band size: 20 kDa,51 kDa

false

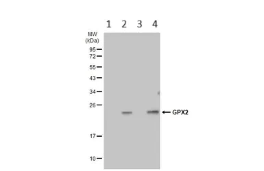
Western blot - Anti-Glutathione Peroxidase 2/GPX2 antibody (AB137431)
  • WB

Supplier Data

Western blot - Anti-Glutathione Peroxidase 2/GPX2 antibody (AB137431)

Samples were separated by 12% SDS-PAGE. Corresponding RNA expression data for the same cell lines are based on Human Protein Atlas program.

All lanes:

Western blot - Anti-Glutathione Peroxidase 2/GPX2 antibody (ab137431) at 1/1000 dilution

Lane 1:

HeLa whole cell extracts at 30 µg

Lane 2:

HepG2 whole cell extracts at 30 µg

Secondary

All lanes:

HRP-conjugated anti-rabbit IgG

Predicted band size: 22 kDa

false

Western blot - Anti-Glutathione Peroxidase 2/GPX2 antibody (AB137431)
  • WB

Supplier Data

Western blot - Anti-Glutathione Peroxidase 2/GPX2 antibody (AB137431)

Samples were separated by 12 % SDS-PAGE.

All lanes:

Western blot - Anti-Glutathione Peroxidase 2/GPX2 antibody (ab137431) at 1/1000 dilution

All lanes:

HepG2 Whole cell extracts at 30 µg

Predicted band size: 22 kDa

false

Western blot - Anti-Glutathione Peroxidase 2/GPX2 antibody (AB137431)
  • WB

Supplier Data

Western blot - Anti-Glutathione Peroxidase 2/GPX2 antibody (AB137431)

Samples were separated by 12% SDS-PAGE.

All lanes:

Western blot - Anti-Glutathione Peroxidase 2/GPX2 antibody (ab137431) at 1/1000 dilution

Lane 1:

293T whole cell extracts at 30 µg

Lane 2:

A431 whole cell extracts at 30 µg

Lane 3:

HeLa whole cell extracts at 30 µg

Lane 4:

HepG2 whole cell extracts at 30 µg

Secondary

All lanes:

HRP-conjugated anti-rabbit IgG

Predicted band size: 22 kDa

false

Western blot - Anti-Glutathione Peroxidase 2/GPX2 antibody (AB137431)
  • WB

Supplier Data

Western blot - Anti-Glutathione Peroxidase 2/GPX2 antibody (AB137431)

Samples were separated by 12% SDS-PAGE.

All lanes:

Western blot - Anti-Glutathione Peroxidase 2/GPX2 antibody (ab137431) at 1/10000 dilution

Lane 1:

Non-transfected HepG2 whole cell extracts at 30 µg

Lane 2:

GPX2 shRNA transfected HepG2 whole cell extracts at 30 µg

Secondary

All lanes:

HRP-conjugated anti-rabbit IgG

Predicted band size: 22 kDa

false

Key facts

Host species

Rabbit

Clonality

Polyclonal

Isotype

IgG

Carrier free

No

Reacts with

Mouse, Human

Applications

WB, IHC-P, IP, ICC/IF

applications

Immunogen

Synthetic Peptide within Human Glutathione peroxidase 2 aa 100 to C-terminus. The exact immunogen used to generate this antibody is proprietary information.

P18283

Reactivity data

{ "title": "Reactivity Data", "filters": { "stats": ["", "Species", "Dilution Info", "Notes"], "tabs": { "all-applications": {"fullname" : "All Applications", "shortname": "All Applications"}, "ICCIF" : {"fullname" : "Immunocytochemistry/ Immunofluorescence", "shortname":"ICC/IF"}, "IP" : {"fullname" : "Immunoprecipitation", "shortname":"IP"}, "WB" : {"fullname" : "Western blot", "shortname":"WB"}, "IHCP" : {"fullname" : "Immunohistochemistry (Formalin/PFA-fixed paraffin-embedded sections)", "shortname":"IHC-P"} }, "product-promise": { "all": "all", "testedAndGuaranteed": "tested", "guaranteed": "expected", "predicted": "predicted", "notRecommended": "not-recommended" } }, "values": { "Human": { "ICCIF-species-checked": "testedAndGuaranteed", "ICCIF-species-dilution-info": "", "ICCIF-species-notes": "<p></p>", "IP-species-checked": "testedAndGuaranteed", "IP-species-dilution-info": "1/100 - 1/500", "IP-species-notes": "<p></p>", "WB-species-checked": "testedAndGuaranteed", "WB-species-dilution-info": "1/500 - 1/3000", "WB-species-notes": "<p></p>", "IHCP-species-checked": "testedAndGuaranteed", "IHCP-species-dilution-info": "1/100 - 1/1000", "IHCP-species-notes": "<p>Suggested antigen retrieval using heat mediated 10mM Citrate buffer (pH6.0) or Tris-EDTA buffer (pH8.0).</p>" }, "Mouse": { "ICCIF-species-checked": "guaranteed", "ICCIF-species-dilution-info": "", "ICCIF-species-notes": "", "IP-species-checked": "guaranteed", "IP-species-dilution-info": "", "IP-species-notes": "", "WB-species-checked": "guaranteed", "WB-species-dilution-info": "", "WB-species-notes": "", "IHCP-species-checked": "testedAndGuaranteed", "IHCP-species-dilution-info": "1/100 - 1/1000", "IHCP-species-notes": "<p>Suggested antigen retrieval using heat mediated 10mM Citrate buffer (pH6.0) or Tris-EDTA buffer (pH8.0).</p>" }, "Rat": { "ICCIF-species-checked": "predicted", "ICCIF-species-dilution-info": "", "ICCIF-species-notes": "", "IP-species-checked": "predicted", "IP-species-dilution-info": "", "IP-species-notes": "", "WB-species-checked": "predicted", "WB-species-dilution-info": "", "WB-species-notes": "", "IHCP-species-checked": "predicted", "IHCP-species-dilution-info": "", "IHCP-species-notes": "" }, "Cow": { "ICCIF-species-checked": "predicted", "ICCIF-species-dilution-info": "", "ICCIF-species-notes": "", "IP-species-checked": "predicted", "IP-species-dilution-info": "", "IP-species-notes": "", "WB-species-checked": "predicted", "WB-species-dilution-info": "", "WB-species-notes": "", "IHCP-species-checked": "predicted", "IHCP-species-dilution-info": "", "IHCP-species-notes": "" }, "Dog": { "ICCIF-species-checked": "predicted", "ICCIF-species-dilution-info": "", "ICCIF-species-notes": "", "IP-species-checked": "predicted", "IP-species-dilution-info": "", "IP-species-notes": "", "WB-species-checked": "predicted", "WB-species-dilution-info": "", "WB-species-notes": "", "IHCP-species-checked": "predicted", "IHCP-species-dilution-info": "", "IHCP-species-notes": "" }, "Monkey": { "ICCIF-species-checked": "predicted", "ICCIF-species-dilution-info": "", "ICCIF-species-notes": "", "IP-species-checked": "predicted", "IP-species-dilution-info": "", "IP-species-notes": "", "WB-species-checked": "predicted", "WB-species-dilution-info": "", "WB-species-notes": "", "IHCP-species-checked": "predicted", "IHCP-species-dilution-info": "", "IHCP-species-notes": "" }, "Pig": { "ICCIF-species-checked": "predicted", "ICCIF-species-dilution-info": "", "ICCIF-species-notes": "", "IP-species-checked": "predicted", "IP-species-dilution-info": "", "IP-species-notes": "", "WB-species-checked": "predicted", "WB-species-dilution-info": "", "WB-species-notes": "", "IHCP-species-checked": "predicted", "IHCP-species-dilution-info": "", "IHCP-species-notes": "" } } }

Properties and storage information

Form
Liquid
Purification technique
Affinity purification Immunogen
Storage buffer
pH: 7 Preservative: 0.025% Proclin 300 Constituents: PBS, 20% Glycerol (glycerin, glycerine)
Shipped at conditions
Blue Ice
Appropriate short-term storage conditions
+4°C
Appropriate long-term storage conditions
-20°C
Aliquoting information
Upon delivery aliquot
Storage information
Avoid freeze / thaw cycle

Supplementary information

This supplementary information is collated from multiple sources and compiled automatically.

Glutathione Peroxidase 2 (GPX2) also known as GPX-GI or GPX2 weight belongs to the glutathione peroxidase family. This enzyme plays a mechanical role in reducing hydrogen peroxide by using glutathione which protects cells from oxidative damage. GPX2 is a selenoprotein with a molecular weight of approximately 22 kDa. It is expressed in the gastrointestinal tract particularly in the epithelial cells of the intestines and is also present in other tissues to a lesser extent.
Biological function summary

GPX2 functions as an antioxidant defense mechanism. It works in safeguarding cells by reducing reactive oxygen species and maintaining cellular redox balance. GPX2 is not part of a larger multiprotein complex but works closely with other antioxidant proteins to protect cells. Its expression helps regulate cellular homeostasis and supports tissue integrity especially under oxidative stress conditions.

Pathways

GPX2 continues its relevance in the glutathione metabolism pathway where it cooperates with other glutathione peroxidases and detoxifies peroxides. GPX2 also participates in the oxidative stress response pathway and interacts with proteins like GSSG and GPX1 enhancing the cellular antioxidant capacity. Its activity in these pathways underlines its significant role in maintaining cellular health and integrity by preventing oxidative damage.

GPX2 relates it to colorectal cancer and inflammatory bowel disease. In such conditions GPX2's expression levels are often altered indicating its role in cancer progression and inflammation management. The protein connects to other antioxidant enzymes such as GPX1 and SOD in the context of these diseases with changes in its function potentially impacting disease development and progression.

Product protocols

For this product, it's our understanding that no specific protocols are required. You can visit:

Target data

Catalyzes the reduction of hydroperoxides in a glutathione-dependent manner thus regulating cellular redox homeostasis (PubMed : 36608588, PubMed : 8428933). Can reduce small soluble hydroperoxides such as H2O2, cumene hydroperoxide and tert-butyl hydroperoxide, as well as several fatty acid-derived hydroperoxides (PubMed : 36608588, PubMed : 8428933). Cannot reduce phosphatidycholine hydroperoxide (PubMed : 8428933).
See full target information Glutathione peroxidase 2

Publications (22)

Recent publications for all applications. Explore the full list and refine your search

Nature communications 16:8030 PubMed40877267

2025

Organic-inorganic covalent selenium reversing ischemic reperfusion injury.

Applications

Unspecified application

Species

Unspecified reactive species

Zushuang Xiong,Guanning Huang,Jia-Run Huang,Ying Liu,Lizhen He,Tianfeng Chen

Redox biology 84:103681 PubMed40403491

2025

MOTS-c attenuates lung ischemia-reperfusion injury via MYH9-Dependent nuclear translocation and transcriptional activation of antioxidant genes.

Applications

Unspecified application

Species

Unspecified reactive species

Xiangyu Li,Faliang Zhan,Guangfeng Qiu,Peng Lu,Zihao Shen,Yuanpu Qi,Minchao Wu,Mingyu Chu,Jia Feng,Ziang Wen,Xin Yao,Ao Wang,Wanjun Jin,Xiao Zhang,Junjie Liao,Jialin Zhang,Meijuan Song,Wei Wang,Xiaowei Wang

Bioactive materials 37:393-406 PubMed38689659

2024

Biosynthesis of fungus-based oral selenium microcarriers for radioprotection and immuno-homeostasis shaping against radiation-induced heart disease.

Applications

Unspecified application

Species

Unspecified reactive species

Chang Liu,Weiyi Wang,Haoqiang Lai,Yikang Chen,Lvyi Li,Haiwei Li,Meixiao Zhan,Tianfeng Chen,Wenqiang Cao,Xiaoling Li

Antioxidants (Basel, Switzerland) 13: PubMed38671839

2024

Selenium Deficiency Exacerbates Hyperoxia-Induced Lung Injury in Newborn C3H/HeN Mice.

Applications

Unspecified application

Species

Unspecified reactive species

Lora C Bailey-Downs,Laura G Sherlock,Michaela N Crossley,Aristides Rivera Negron,Paul T Pierce,Shirley Wang,Hua Zhong,Cynthia Carter,Kathryn Burge,Jeffrey V Eckert,Lynette K Rogers,Peter F Vitiello,Trent E Tipple

Cell reports. Medicine 4:101224 PubMed37797616

2023

Glutathione dynamics is a potential predictive and therapeutic trait for neoadjuvant chemotherapy response in bladder cancer.

Applications

Unspecified application

Species

Unspecified reactive species

YongHwan Kim,Hyein Ju,Seung-Yeon Yoo,Jinahn Jeong,Jinbeom Heo,Seungun Lee,Ja-Min Park,Sun Young Yoon,Se Un Jeong,Jinyoung Lee,HongDuck Yun,Chae-Min Ryu,Jinah Lee,Yun Ji Nam,Hyungu Kwon,Jaekyoung Son,Gowun Jeong,Ji-Hye Oh,Chang Ohk Sung,Eui Man Jeong,Jaehoon An,Sungho Won,Bumsik Hong,Jae Lyun Lee,Yong Mee Cho,Dong-Myung Shin

Chemical research in toxicology 36:900-915 PubMed37184393

2023

Cystine/Glutamate Xc Antiporter Induction Compensates for Transsulfuration Pathway Repression by 2,3,7,8-Tetrachlorodibenzo--dioxin (TCDD) to Ensure Cysteine for Hepatic Glutathione Biosynthesis.

Applications

Unspecified application

Species

Unspecified reactive species

Karina Orlowska,Russ R Fling,Rance Nault,Anthony L Schilmiller,Timothy R Zacharewski

FASEB bioAdvances 5:233-250 PubMed37287867

2023

GPX2 promotes EMT and metastasis in non-small cell lung cancer by activating PI3K/AKT/mTOR/Snail signaling axis.

Applications

Unspecified application

Species

Unspecified reactive species

Fang Peng,Qiushi Xu,Xiaomeng Jing,Xinming Chi,Zheming Zhang,Xiangpeng Meng,Xinyuan Liu,Jiao Yan,Xuefeng Liu,Shujuan Shao

BMC genomics 24:127 PubMed36932340

2023

Proteomics and transcriptomics profiling reveals distinct aspects of kidney stone related genes in calculi rats.

Applications

Unspecified application

Species

Unspecified reactive species

Wang Zhu,Deng Qiong,Gu Yanli,Li Min,Zhang Ying,Hu Qiyi,Zhang Shenping,Wang Xisheng,Liang Hui

Redox biology 46:102070 PubMed34304108

2021

Production and purification of homogenous recombinant human selenoproteins reveals a unique codon skipping event in E. coli and GPX4-specific affinity to bromosulfophthalein.

Applications

Unspecified application

Species

Unspecified reactive species

Qing Cheng,Antonella Roveri,Giorgio Cozza,Luciana Bordin,Isabelle Rohn,Tanja Schwerdtle,Anna Kipp,Fulvio Ursini,Matilde Maiorino,Giovanni Miotto,Elias S J Arnér

Gastric cancer : official journal of the International Gastric Cancer Association and the Japanese Gastric Cancer Association 24:1089-1099 PubMed33963958

2021

Expression of CD44 variant 9 induces chemoresistance of gastric cancer by controlling intracellular reactive oxygen spices accumulation.

Applications

Unspecified application

Species

Unspecified reactive species

Tomoko Jogo,Eiji Oki,Ryota Nakanishi,Koji Ando,Yuichiro Nakashima,Yasue Kimura,Hiroshi Saeki,Yoshinao Oda,Yoshihiko Maehara,Masaki Mori
View all publications

Product promise

We are committed to supporting your work with high-quality reagents, and we're here for you every step of the way. In the unlikely event that one of our products does not perform as expected, you're protected by our Product Promise.
For full details, please see our Terms & Conditions

Please note: All products are 'FOR RESEARCH USE ONLY. NOT FOR USE IN DIAGNOSTIC OR THERAPEUTIC PROCEDURES'.

For licensing inquiries, please contact partnerships@abcam.com