JavaScript is disabled in your browser. Please enable JavaScript to view this website.
AB275965

Anti-GPx-3 + GPx-5 antibody [EPR19951-136]

  • BOND RX™ Validated
  • RabMAb
  • Recombinant
  • 20ul selling size
  • What is this?

0

(1 Review)

|

(3 Publications)

Rabbit Recombinant Monoclonal Glutathione Peroxidase 3/GPx-3 antibody. Suitable for WB, IHC-P and reacts with Human samples. Cited in 3 publications.

View Alternative Names

GPXP, GPX3, Glutathione peroxidase 3, GPx-3, GSHPx-3, Extracellular glutathione peroxidase, Plasma glutathione peroxidase, GPx-P, GSHPx-P, Epididymal secretory glutathione peroxidase, Epididymis-specific glutathione peroxidase-like protein, Glutathione peroxidase 5, EGLP, GPx-5, GSHPx-5, GPX5

4 Images
Immunohistochemistry (Formalin/PFA-fixed paraffin-embedded sections) - Anti-GPx-3 + GPx-5 antibody [EPR19951-136] (AB275965)
  • IHC-P

Unknown

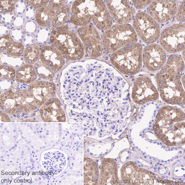
Immunohistochemistry (Formalin/PFA-fixed paraffin-embedded sections) - Anti-GPx-3 + GPx-5 antibody [EPR19951-136] (AB275965)

Immunohistochemical analysis of paraffin-embedded Human kidney tissue labeling GPx-3 + GPx-5 with ab275965 at 1/5000 (0.116 ug/ml) dilution followed by a ready to use Rabbit specific IHC polymer detection kit HRP/DAB (ab209101). Cytoplasmic staining on proximal tubules of human kidney. The section was incubated with ab275965 for 15 mins at room temperature. The immunostaining was performed on a Leica Biosystems BOND® RX instrument. Counterstained with Hematoxylin.

Secondary antibody only control : Secondary antibody is a ready to use Rabbit specific IHC polymer detection kit HRP/DAB (ab209101).

Heat mediated antigen retrieval with Tris-EDTA buffer (pH 9.0, epitope retrieval solution2) for 20 mins.

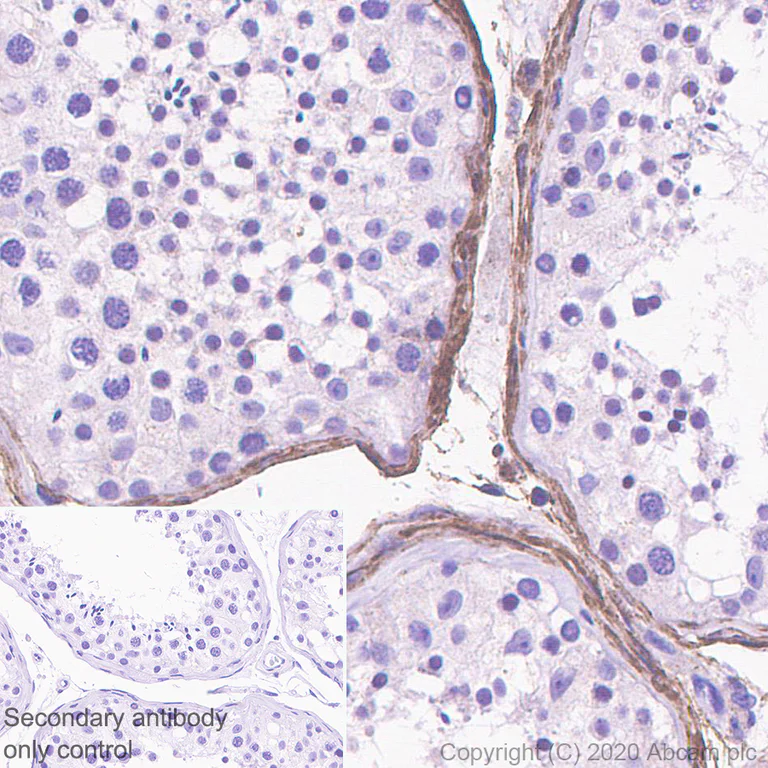
Immunohistochemistry (Formalin/PFA-fixed paraffin-embedded sections) - Anti-GPx-3 + GPx-5 antibody [EPR19951-136] (AB275965)
  • IHC-P

Unknown

Immunohistochemistry (Formalin/PFA-fixed paraffin-embedded sections) - Anti-GPx-3 + GPx-5 antibody [EPR19951-136] (AB275965)

Immunohistochemical analysis of paraffin-embedded Human testis tissue labeling GPx-3 + GPx-5 with ab275965 at 1/5000 (0.116 ug/ml) dilution followed by a ready to use Rabbit specific IHC polymer detection kit HRP/DAB (ab209101). Positive staining on basement membrane of human seminiferous tubules. The section was incubated with ab275965 for 15 mins at room temperature. The immunostaining was performed on a Leica Biosystems BOND® RX instrument. Counterstained with Hematoxylin.

Secondary antibody only control : Secondary antibody is a ready to use Rabbit specific IHC polymer detection kit HRP/DAB (ab209101).

Heat mediated antigen retrieval with Tris-EDTA buffer (pH 9.0, epitope retrieval solution2) for 20 mins.

Western blot - Anti-GPx-3 + GPx-5 antibody [EPR19951-136] (AB275965)
  • WB

Lab

Western blot - Anti-GPx-3 + GPx-5 antibody [EPR19951-136] (AB275965)

Blocking and diluting buffer and concentration : 5% NFDM/TBST.

The expression pattern is consistent with what has been described in the literature (PMID : 20015939).

Low expression : human liver (PMID : 9820194, 15294905).

Exposure time : 92 seconds.

All lanes:

Western blot - Anti-GPx-3 + GPx-5 antibody [EPR19951-136] (ab275965) at 1/1000 dilution

Lane 1:

Human kidney tissue lysate at 20 µg

Lane 2:

Human liver tissue lysate at 20 µg

Secondary

All lanes:

VeriBlot for IP secondary antibody(HRP)(<a href='/en-us/products/reagents/veriblot-for-ip-detection-reagent-hrp-ab131366'>ab131366</a>) at 1/1000 dilution

Predicted band size: 26 kDa

Observed band size: 22 kDa,24 kDa

false

Western blot - Anti-GPx-3 + GPx-5 antibody [EPR19951-136] (AB275965)
  • WB

Lab

Western blot - Anti-GPx-3 + GPx-5 antibody [EPR19951-136] (AB275965)

Blocking and diluting buffer and concentration : 5% NFDM/TBST.

The expression pattern is consistent with what has been described in the literature (PMID : 20015939).

Exposure time : Lane 1 : 37 seconds Lane 2 : 3 minutes.

All lanes:

Western blot - Anti-GPx-3 + GPx-5 antibody [EPR19951-136] (ab275965) at 1/1000 dilution

Lane 1:

Human plasma at 20 µg

Lane 2:

Human lung tissue lysate at 20 µg

Secondary

All lanes:

Goat Anti-Rabbit IgG (HRP) with minimal cross-reactivity with human IgG at 1/2000 dilution

Predicted band size: 26 kDa

Observed band size: 24 kDa

false

  • Carrier free

    Anti-GPx-3 + GPx-5 antibody [EPR19951-136] - BSA and Azide free

Key facts

Host species

Rabbit

Clonality

Monoclonal

Clone number

EPR19951-136

Isotype

IgG

Carrier free

No

Reacts with

Human

Applications

IHC-P, WB

applications

Immunogen

The exact immunogen used to generate this antibody is proprietary information.

Specificity

The immunogen used for this product shares 73% homology with GPx-6. Our tests suggest this antibody does not cross-react with GPx-6.

Reactivity data

{ "title": "Reactivity Data", "filters": { "stats": ["", "Species", "Dilution Info", "Notes"], "tabs": { "all-applications": {"fullname" : "All Applications", "shortname": "All Applications"}, "ICCIF" : {"fullname" : "Immunocytochemistry/ Immunofluorescence", "shortname":"ICC/IF"}, "IP" : {"fullname" : "Immunoprecipitation", "shortname":"IP"}, "FlowCyt" : {"fullname" : "Flow Cytometry", "shortname":"Flow Cyt"}, "WB" : {"fullname" : "Western blot", "shortname":"WB"}, "IHCP" : {"fullname" : "Immunohistochemistry (Formalin/PFA-fixed paraffin-embedded sections)", "shortname":"IHC-P"} }, "product-promise": { "all": "all", "testedAndGuaranteed": "tested", "guaranteed": "expected", "predicted": "predicted", "notRecommended": "not-recommended" } }, "values": { "Human": { "ICCIF-species-checked": "notRecommended", "ICCIF-species-dilution-info": "", "ICCIF-species-notes": "<p></p>", "IP-species-checked": "notRecommended", "IP-species-dilution-info": "1/30", "IP-species-notes": "<p></p>", "FlowCyt-species-checked": "notRecommended", "FlowCyt-species-dilution-info": "", "FlowCyt-species-notes": "<p></p>", "WB-species-checked": "testedAndGuaranteed", "WB-species-dilution-info": "1/1000", "WB-species-notes": "<p></p>", "IHCP-species-checked": "testedAndGuaranteed", "IHCP-species-dilution-info": "1/5000", "IHCP-species-notes": "<p></p> Perform heat-mediated antigen retrieval with Tris/EDTA buffer pH 9.0 before commencing with IHC staining protocol." }, "Mouse": { "ICCIF-species-checked": "notRecommended", "ICCIF-species-dilution-info": "", "ICCIF-species-notes": "<p></p>", "IP-species-checked": "notRecommended", "IP-species-dilution-info": "", "IP-species-notes": "", "FlowCyt-species-checked": "notRecommended", "FlowCyt-species-dilution-info": "", "FlowCyt-species-notes": "", "WB-species-checked": "notRecommended", "WB-species-dilution-info": "1/1000", "WB-species-notes": "<p></p>", "IHCP-species-checked": "notRecommended", "IHCP-species-dilution-info": "1/5000", "IHCP-species-notes": "<p></p> Perform heat-mediated antigen retrieval with Tris/EDTA buffer pH 9.0 before commencing with IHC staining protocol." }, "Rat": { "ICCIF-species-checked": "notRecommended", "ICCIF-species-dilution-info": "", "ICCIF-species-notes": "", "IP-species-checked": "notRecommended", "IP-species-dilution-info": "", "IP-species-notes": "", "FlowCyt-species-checked": "notRecommended", "FlowCyt-species-dilution-info": "", "FlowCyt-species-notes": "", "WB-species-checked": "notRecommended", "WB-species-dilution-info": "1/1000", "WB-species-notes": "<p></p>", "IHCP-species-checked": "notRecommended", "IHCP-species-dilution-info": "1/5000", "IHCP-species-notes": "<p></p> Perform heat-mediated antigen retrieval with Tris/EDTA buffer pH 9.0 before commencing with IHC staining protocol." } } }

Product details

Patented technology
Our RabMAb® technology is a patented hybridoma-based technology for making rabbit monoclonal antibodies. For details on our patents, please refer to RabMAb® patents.

What are the advantages of a recombinant monoclonal antibody?
This product is a recombinant monoclonal antibody, which offers several advantages including:

  • - High batch-to-batch consistency and reproducibility
  • - Improved sensitivity and specificity
  • - Long-term security of supply
  • - Animal-free batch production

For more information, read more on recombinant antibodies.

Properties and storage information

Form
Liquid
Purification technique
Affinity purification Protein A
Storage buffer
Preservative: 0.01% Sodium azide Constituents: PBS, 40% Glycerol (glycerin, glycerine), 0.05% BSA
Shipped at conditions
Blue Ice
Appropriate short-term storage duration
1-2 weeks
Appropriate short-term storage conditions
+4°C
Appropriate long-term storage conditions
-20°C
Aliquoting information
Upon delivery aliquot
Storage information
Avoid freeze / thaw cycle

Supplementary information

This supplementary information is collated from multiple sources and compiled automatically.

Glutathione Peroxidase 3 also known as GPx-3 or 3GPx is an antioxidant enzyme important for protecting cells from oxidative damage by reducing hydrogen peroxide and organic hydroperoxides. It is a member of the glutathione peroxidase family and has a molecular mass of approximately 23 kDa. GPx-3 is expressed mainly in the kidney and subsequently released into the bloodstream playing an important role in its extracellular antioxidant defense mechanism.
Biological function summary

GPx-3 helps maintain cellular redox balance and is involved in detoxifying harmful oxidative agents. It does not form part of any larger complex but works independently to reduce peroxides with the help of glutathione an important reducing agent. GPx-3 has significant activities in plasma and extracellular fluids indicating its role in protecting the body from oxidative stress away from cellular environments.

Pathways

GPx-3 functions in the glutathione metabolic pathway and the defense system against oxidative stress. It works together with proteins such as glutathione reductase to recycle oxidized glutathione back to its reduced form allowing continuous protection against reactive oxygen species. This pathway is essential for maintaining balance between oxidative stress and antioxidant defense in the organism.

GPx-3 has been linked to cardiovascular diseases and certain types of cancer. Low levels of GPx-3 in plasma have been associated with increased risk of thrombosis as antioxidant defenses are compromised. In cancer studies altered GPx-3 expression is often observed thought to affect the progression of disease by changing the cellular redox environment. Other proteins that interact with GPx-3 during disease conditions include thioredoxin and catalase both influencing and being regulated by redox states in diseased tissues.

Product protocols

For this product, it's our understanding that no specific protocols are required. You can visit:

Target data

Protects cells and enzymes from oxidative damage, by catalyzing the reduction of hydrogen peroxide, lipid peroxides and organic hydroperoxide, by glutathione.
See full target information GPX3

Additional targets

Epididymal secretory glutathione peroxidase

Publications (3)

Recent publications for all applications. Explore the full list and refine your search

Experimental and therapeutic medicine 27:118 PubMed38361519

2024

GPX3 represses pancreatic cancer cell proliferation, migration and invasion, and improves their chemo‑sensitivity by regulating the JNK/c‑Jun signaling pathway.

Applications

Unspecified application

Species

Unspecified reactive species

Ye Ma,Lixing Zhang,Xin Gao,Dongming Zhu

Neoplasma 70: PubMed38053382

2023

GPX3 is a key cholesterol-related gene associated with prognosis and tumor-infiltrating T cells in colorectal cancer.

Applications

Unspecified application

Species

Unspecified reactive species

Jiming Chen,Yinhang Wu,Qing Zhou,Yifei Song,Jing Zhuang,Kongjie Lu,Xi Yang

FASEB journal : official publication of the Federation of American Societies for Experimental Biology 37:e22738 PubMed36583727

2022

Vitamin D-vitamin D receptor alleviates oxidative stress in ischemic acute kidney injury via upregulating glutathione peroxidase 3.

Applications

Unspecified application

Species

Unspecified reactive species

Xueqin Wu,Shiqi Tang,Qing Dai,Bin Yi,Shikun Yang,Jian Sun,Yong Zhong,Wei Lin,Jun Liu,Yan Liu,Jianwen Wang,Jishi Liu,Qin Liao,Wei Zhang,Hao Zhang
View all publications

Product promise

We are committed to supporting your work with high-quality reagents, and we're here for you every step of the way. In the unlikely event that one of our products does not perform as expected, you're protected by our Product Promise.
For full details, please see our Terms & Conditions

Please note: All products are 'FOR RESEARCH USE ONLY. NOT FOR USE IN DIAGNOSTIC OR THERAPEUTIC PROCEDURES'.

For licensing inquiries, please contact partnerships@abcam.com